Suppr超能文献

恢复前列环素/PGI2-PTGIR信号通路通过成纤维细胞特异性抑制YAP/TAZ减轻克罗恩病中的肠道纤维化。

Restoring Prostacyclin/PGI2-PTGIR signaling alleviates intestinal fibrosis in Crohn's disease via fibroblast-specific YAP/TAZ inhibition.

作者信息

Ou Weijun, Wang Yaosheng, Xu Weimin, Hua Zhebin, Wang Xiaolei, Ge Wensong, Ding Wenjun, Chen Yingwei, Liu Chen-Ying, Du Peng

机构信息

Department of Colorectal Surgery, Xinhua Hospital, Shanghai Jiaotong University, School of Medicine, Shanghai, China.

Shanghai Colorectal Cancer Research Center, Xinhua Hospital Affiliated to Shanghai Jiao Tong University School of Medicine, Shanghai, China.

出版信息

J Crohns Colitis. 2025 Jun 4;19(6). doi: 10.1093/ecco-jcc/jjaf084.

Abstract

BACKGROUND AND AIMS

Intestinal obstruction caused by fibrosis is a common and serious complication of Crohn's disease (CD). Yes-associated protein (YAP) and transcriptional coactivator with PDZ-binding motifs (TAZ), the transcriptional effectors of the Hippo signaling pathway, have emerged as key drivers of intestinal fibrosis. Systematic inhibition of YAP/TAZ failed to combat fibrotic progression, probably due to the vital role of epithelial YAP/TAZ in intestinal homeostasis.

METHODS

Enzyme-Linked Immunosorbent Assay (ELISA) and immunohistochemical staining were used to detect serum Prostaglandin I2 (PGI2) levels and PGI2 Receptor (PTGIR) in clinical samples derived from CD patients. Dual luciferase reporter and Cut & Run assays were performed to explore the transcriptional regulatory mechanisms of PTGIR and PGI2 synthase (PTGIS) by tumor necrosis factor α (TNF-α) and transforming growth factor-beta (TGF-β), respectively. Primary intestinal fibroblasts and a chronic colitis model were used for assessing the efficacy of a PTGIR agonist in combating fibrosis.

RESULTS

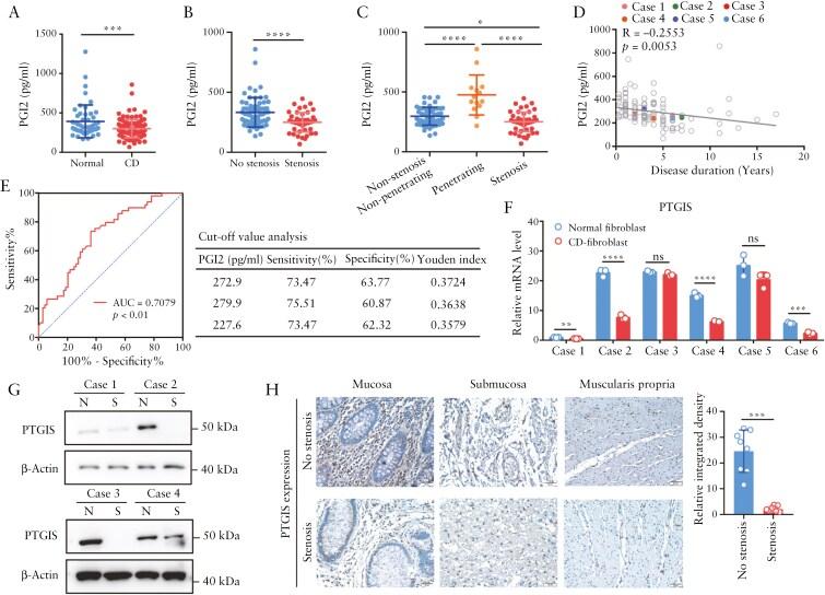
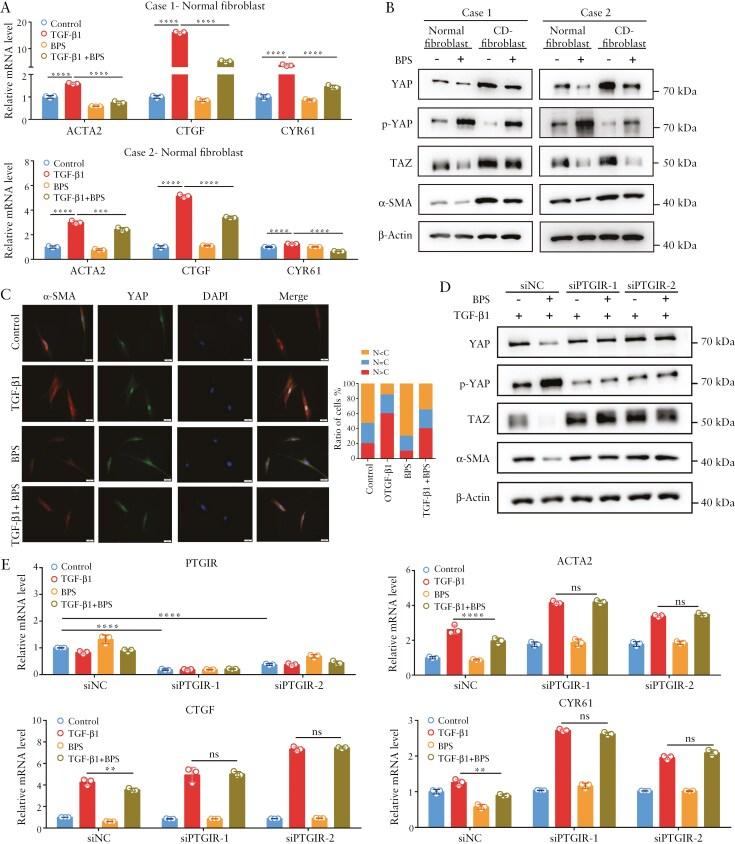
The Gαs-coupled PTGIR is expressed in intestinal fibroblasts but is barely expressed in intestinal epithelial cells. PTGIR transcription is directly activated by p65 in fibroblasts upon TNF-α stimulation. Importantly, PTGIS is transcriptionally suppressed by TGF-β, leading to the loss of endogenous antifibrotic PGI2-PTGIR signaling. Serum PGI2 levels are decreased in CD patients with stenosis and are negatively correlated with disease duration. The PTGIR agonist inhibited the profibrotic function of YAP/TAZ in intestinal fibroblasts in vitro and reversed intestinal fibrosis in vivo.

CONCLUSIONS

The antifibrotic effects of PGI2-PTGIR signaling are impaired in CD. Restoring PGI2-PTGIR signaling is a pharmacologically tractable and cell-selective approach to targeting YAP/TAZ via PTGIR, which reverses intestinal fibrosis.

摘要

背景与目的

由纤维化引起的肠梗阻是克罗恩病(CD)常见且严重的并发症。Yes相关蛋白(YAP)和含PDZ结合基序的转录共激活因子(TAZ)是Hippo信号通路的转录效应因子,已成为肠道纤维化的关键驱动因素。对YAP/TAZ的系统性抑制未能对抗纤维化进展,这可能是由于上皮细胞中的YAP/TAZ在肠道稳态中起重要作用。

方法

采用酶联免疫吸附测定(ELISA)和免疫组织化学染色检测CD患者临床样本中的血清前列腺素I2(PGI2)水平和PGI2受体(PTGIR)。分别进行双荧光素酶报告基因检测和Cut & Run分析,以探究肿瘤坏死因子α(TNF-α)和转化生长因子β(TGF-β)对PTGIR和PGI2合酶(PTGIS)的转录调控机制。使用原代肠道成纤维细胞和慢性结肠炎模型评估PTGIR激动剂对抗纤维化的效果。

结果

Gαs偶联的PTGIR在肠道成纤维细胞中表达,但在肠道上皮细胞中几乎不表达。在TNF-α刺激下,成纤维细胞中的p65直接激活PTGIR转录。重要的是,TGF-β对PTGIS进行转录抑制,导致内源性抗纤维化PGI2-PTGIR信号丧失。狭窄型CD患者的血清PGI2水平降低,且与病程呈负相关。PTGIR激动剂在体外抑制了肠道成纤维细胞中YAP/TAZ的促纤维化功能,并在体内逆转了肠道纤维化。

结论

PGI2-PTGIR信号的抗纤维化作用在CD中受损。恢复PGI2-PTGIR信号是一种通过PTGIR靶向YAP/TAZ的药理学上可行且细胞选择性的方法,可逆转肠道纤维化。

https://cdn.ncbi.nlm.nih.gov/pmc/blobs/a236/12138779/8b4f246785dd/jjaf084_fig8.jpg

文献检索

告别复杂PubMed语法,用中文像聊天一样搜索,搜遍4000万医学文献。AI智能推荐,让科研检索更轻松。

立即免费搜索

文件翻译

保留排版,准确专业,支持PDF/Word/PPT等文件格式,支持 12+语言互译。

免费翻译文档

深度研究

AI帮你快速写综述,25分钟生成高质量综述,智能提取关键信息,辅助科研写作。

立即免费体验