• 文献检索
  • 文档翻译
  • 深度研究
  • 学术资讯
  • Suppr Zotero 插件Zotero 插件
  • 邀请有礼
  • 套餐&价格
  • 历史记录
应用&插件
Suppr Zotero 插件Zotero 插件浏览器插件Mac 客户端Windows 客户端微信小程序
定价
高级版会员购买积分包购买API积分包
服务
文献检索文档翻译深度研究API 文档MCP 服务
关于我们
关于 Suppr公司介绍联系我们用户协议隐私条款
关注我们

Suppr 超能文献

核心技术专利:CN118964589B侵权必究
粤ICP备2023148730 号-1Suppr @ 2026

文献检索

告别复杂PubMed语法,用中文像聊天一样搜索,搜遍4000万医学文献。AI智能推荐,让科研检索更轻松。

立即免费搜索

文件翻译

保留排版,准确专业,支持PDF/Word/PPT等文件格式,支持 12+语言互译。

免费翻译文档

深度研究

AI帮你快速写综述,25分钟生成高质量综述,智能提取关键信息,辅助科研写作。

立即免费体验

通过紫外线A照射和手术切除角膜内皮层在小鼠角膜中产生Fuchs内皮性角膜营养不良(FECD)表型

Generation of FECD Phenotypes in the Mouse Cornea by UVA Exposure and Surgical Removal of its Corneal Endothelial Layer.

作者信息

Sharma Susmita, Sahoo Rudranarayan, Chawla Saurabh, Das Sujata, Alone Debasmita Pankaj

机构信息

School of Biological Sciences, National Institute of Science Education and Research (NISER) Bhubaneswar, P.O. Bhimpur- Padanpur, Jatni, Khurda, Odisha, India.

Homi Bhabha National Institute (HBNI), Training School Complex, Anushaktinagar, Mumbai, India.

出版信息

Bio Protoc. 2025 Mar 20;15(6):e5249. doi: 10.21769/BioProtoc.5249.

DOI:10.21769/BioProtoc.5249
PMID:40395849
原文链接:https://pmc.ncbi.nlm.nih.gov/articles/PMC12086347/
Abstract

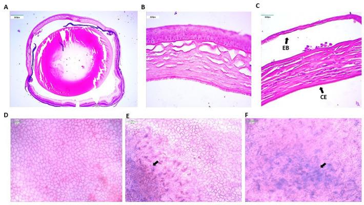
Fuchs endothelial corneal dystrophy (FECD) is a rare and multifactorial disorder leading to cell death in the innermost layer of the cornea, i.e., the endothelium; UV radiation is reported as the major environmental risk for the disease. Establishing an animal model for this disease has remained challenging in FECD research. We have developed a detailed protocol for the establishment of a UVA-induced FECD mouse model and removal of corneal endothelium from the eye for further molecular and histological studies by taking references from previous studies. UVA light of 500 J/cm was focused on the C57BL/6J female mouse cornea and kept for an observation period of 90 days. The animal developed corneal scarring by the end of three months. Slit-lamp microscopy and alizarin red-trypan blue staining confirmed endothelial cell death and formation of corneal guttae in the endothelium. Surgical removal of the endothelial layer was successfully done in the diseased mouse, and the result was confirmed by immunofluorescence. This study is relevant for in-depth research using a FECD mouse model, which will surpass the limitation of human tissue scarcity and can be used for in vivo drug targeting to develop therapeutics to cure FECD. Key features • UVA radiation induces FECD only in the exposed eye of female mice. • Females are more affected and develop the FECD phenotype. • This protocol will help dissect the endothelium layer with Descemet's membrane (DM) from the mouse cornea, which is equivalent to human surgical tissue.

摘要

富克斯内皮性角膜营养不良(FECD)是一种罕见的多因素疾病,可导致角膜最内层即内皮细胞死亡;据报道,紫外线辐射是该疾病的主要环境风险因素。在FECD研究中,建立这种疾病的动物模型一直具有挑战性。我们参考以往研究,制定了一份详细的方案,用于建立紫外线A(UVA)诱导的FECD小鼠模型,并从眼中去除角膜内皮,以进行进一步的分子和组织学研究。将500 J/cm的UVA光聚焦在C57BL/6J雌性小鼠的角膜上,并持续观察90天。三个月结束时,该动物出现了角膜瘢痕形成。裂隙灯显微镜检查和茜素红-台盼蓝染色证实了内皮细胞死亡以及内皮中角膜小滴的形成。在患病小鼠中成功完成了内皮层的手术切除,免疫荧光证实了结果。这项研究对于使用FECD小鼠模型进行深入研究具有重要意义,该模型将突破人体组织稀缺的限制,可用于体内药物靶向研究,以开发治疗FECD的疗法。关键特征 • UVA辐射仅在雌性小鼠的暴露眼中诱导FECD。 • 雌性受影响更大并出现FECD表型。 • 该方案将有助于从小鼠角膜中分离出带有后弹力层(DM)的内皮层,这相当于人类手术组织。

https://cdn.ncbi.nlm.nih.gov/pmc/blobs/38cf/12086347/c91abe9bfa37/BioProtoc-15-6-5249-g009.jpg
https://cdn.ncbi.nlm.nih.gov/pmc/blobs/38cf/12086347/46fe74fb02d9/BioProtoc-15-6-5249-g001.jpg
https://cdn.ncbi.nlm.nih.gov/pmc/blobs/38cf/12086347/9e447bcefeab/BioProtoc-15-6-5249-g002.jpg
https://cdn.ncbi.nlm.nih.gov/pmc/blobs/38cf/12086347/85aab16cbb64/BioProtoc-15-6-5249-g003.jpg
https://cdn.ncbi.nlm.nih.gov/pmc/blobs/38cf/12086347/c53368d18c44/BioProtoc-15-6-5249-v001.jpg
https://cdn.ncbi.nlm.nih.gov/pmc/blobs/38cf/12086347/22f7b7784ea0/BioProtoc-15-6-5249-g004.jpg
https://cdn.ncbi.nlm.nih.gov/pmc/blobs/38cf/12086347/fb9965e05d03/BioProtoc-15-6-5249-g005.jpg
https://cdn.ncbi.nlm.nih.gov/pmc/blobs/38cf/12086347/8dbbc6b3738a/BioProtoc-15-6-5249-g006.jpg
https://cdn.ncbi.nlm.nih.gov/pmc/blobs/38cf/12086347/d752c7ec81b8/BioProtoc-15-6-5249-g007.jpg
https://cdn.ncbi.nlm.nih.gov/pmc/blobs/38cf/12086347/5bbc8912baa3/BioProtoc-15-6-5249-g008.jpg
https://cdn.ncbi.nlm.nih.gov/pmc/blobs/38cf/12086347/c91abe9bfa37/BioProtoc-15-6-5249-g009.jpg
https://cdn.ncbi.nlm.nih.gov/pmc/blobs/38cf/12086347/46fe74fb02d9/BioProtoc-15-6-5249-g001.jpg
https://cdn.ncbi.nlm.nih.gov/pmc/blobs/38cf/12086347/9e447bcefeab/BioProtoc-15-6-5249-g002.jpg
https://cdn.ncbi.nlm.nih.gov/pmc/blobs/38cf/12086347/85aab16cbb64/BioProtoc-15-6-5249-g003.jpg
https://cdn.ncbi.nlm.nih.gov/pmc/blobs/38cf/12086347/c53368d18c44/BioProtoc-15-6-5249-v001.jpg
https://cdn.ncbi.nlm.nih.gov/pmc/blobs/38cf/12086347/22f7b7784ea0/BioProtoc-15-6-5249-g004.jpg
https://cdn.ncbi.nlm.nih.gov/pmc/blobs/38cf/12086347/fb9965e05d03/BioProtoc-15-6-5249-g005.jpg
https://cdn.ncbi.nlm.nih.gov/pmc/blobs/38cf/12086347/8dbbc6b3738a/BioProtoc-15-6-5249-g006.jpg
https://cdn.ncbi.nlm.nih.gov/pmc/blobs/38cf/12086347/d752c7ec81b8/BioProtoc-15-6-5249-g007.jpg
https://cdn.ncbi.nlm.nih.gov/pmc/blobs/38cf/12086347/5bbc8912baa3/BioProtoc-15-6-5249-g008.jpg
https://cdn.ncbi.nlm.nih.gov/pmc/blobs/38cf/12086347/c91abe9bfa37/BioProtoc-15-6-5249-g009.jpg

相似文献

1
Generation of FECD Phenotypes in the Mouse Cornea by UVA Exposure and Surgical Removal of its Corneal Endothelial Layer.通过紫外线A照射和手术切除角膜内皮层在小鼠角膜中产生Fuchs内皮性角膜营养不良(FECD)表型
Bio Protoc. 2025 Mar 20;15(6):e5249. doi: 10.21769/BioProtoc.5249.
2
Rapid detection of guttae area using aniline blue staining in Fuchs endothelial corneal dystrophy mouse model.使用苯胺蓝染色快速检测 Fuchs 内皮角膜营养不良小鼠模型中的角膜小滴区。
Clin Exp Pharmacol Physiol. 2024 Oct;51(10):e13921. doi: 10.1111/1440-1681.13921.
3
MitoQ relieves mitochondrial dysfunction in UVA and cigarette smoke-induced Fuchs endothelial corneal dystrophy.MitoQ 可缓解 UVA 和香烟烟雾引起的 Fuchs 内皮角膜营养不良的线粒体功能障碍。
Exp Eye Res. 2024 Oct;247:110056. doi: 10.1016/j.exer.2024.110056. Epub 2024 Aug 22.
4
TCF4 trinucleotide repeat expansions and UV irradiation increase susceptibility to ferroptosis in Fuchs endothelial corneal dystrophy.TCF4 三核苷酸重复扩展和紫外线照射增加了 Fuchs 内皮角膜营养不良对铁死亡的易感性。
Redox Biol. 2024 Nov;77:103348. doi: 10.1016/j.redox.2024.103348. Epub 2024 Sep 10.
5
Ultraviolet A light induces DNA damage and estrogen-DNA adducts in Fuchs endothelial corneal dystrophy causing females to be more affected.中波紫外线可引起 Fuchs 内皮角膜营养不良的 DNA 损伤和雌激素-DNA 加合物,导致女性受影响更大。
Proc Natl Acad Sci U S A. 2020 Jan 7;117(1):573-583. doi: 10.1073/pnas.1912546116. Epub 2019 Dec 18.
6
Biomechanical changes to Descemet's membrane precede endothelial cell loss in an early-onset murine model of Fuchs endothelial corneal dystrophy.生物力学变化对 Descemet 膜的影响早于内皮细胞丢失在一个早期发病的鼠模型的 Fuchs 内皮角膜营养不良。
Exp Eye Res. 2019 Mar;180:18-22. doi: 10.1016/j.exer.2018.11.021. Epub 2018 Nov 22.
7
Feasibility of cell-based therapy combined with descemetorhexis for treating Fuchs endothelial corneal dystrophy in rabbit model.基于细胞的疗法联合后弹力层撕除术治疗兔模型中富克斯内皮性角膜营养不良的可行性。
PLoS One. 2018 Jan 16;13(1):e0191306. doi: 10.1371/journal.pone.0191306. eCollection 2018.
8
Matrix metalloproteinases and their inhibitors in Fuchs endothelial corneal dystrophy.基质金属蛋白酶及其抑制剂在 Fuchs 内皮角膜营养不良中的作用。
Exp Eye Res. 2021 Apr;205:108500. doi: 10.1016/j.exer.2021.108500. Epub 2021 Feb 19.
9
Proliferator-Activated Receptor Alpha Inhibits Abnormal Extracellular Matrix Accumulation and Maintains Energy Metabolism in Late-Onset Fuchs Endothelial Corneal Dystrophy.过氧化物酶体增殖物激活受体α抑制迟发性富克斯内皮性角膜营养不良中异常细胞外基质的积累并维持能量代谢。
Invest Ophthalmol Vis Sci. 2025 Apr 1;66(4):36. doi: 10.1167/iovs.66.4.36.
10
Dysregulation of DNA repair genes in Fuchs endothelial corneal dystrophy.DNA 修复基因在 Fuchs 内皮角膜营养不良中的失调。
Exp Eye Res. 2023 Jun;231:109499. doi: 10.1016/j.exer.2023.109499. Epub 2023 May 9.

本文引用的文献

1
Characterisation of the role played by ELMO1, GPR141 and the intergenic polymorphism rs918980 in Fuchs' dystrophy in the Indian population.ELMO1、GPR141及基因间多态性rs918980在印度人群富克斯角膜营养不良中所起作用的特征分析
FEBS Open Bio. 2025 May;15(5):822-835. doi: 10.1002/2211-5463.70006. Epub 2025 Feb 19.
2
Characterization of a Novel Mouse Model for Fuchs Endothelial Corneal Dystrophy.新型 Fuchs 内皮角膜营养不良小鼠模型的特性研究。
Invest Ophthalmol Vis Sci. 2024 Apr 1;65(4):18. doi: 10.1167/iovs.65.4.18.
3
Step-by-step preparation of mouse eye sections for routine histology, immunofluorescence, and RNA hybridization multiplexing.
一步一步地准备用于常规组织学、免疫荧光和 RNA 杂交多重分析的小鼠眼球切片。
STAR Protoc. 2021 Nov 5;2(4):100879. doi: 10.1016/j.xpro.2021.100879. eCollection 2021 Dec 17.
4
A whole-mount immunohistochemistry protocol for detection of mouse corneal nerves.一种用于检测小鼠角膜神经的全组织免疫组织化学方案。
STAR Protoc. 2021 Aug 12;2(3):100734. doi: 10.1016/j.xpro.2021.100734. eCollection 2021 Sep 17.
5
Fuchs endothelial corneal dystrophy: The vicious cycle of Fuchs pathogenesis.Fuchs 内皮角膜营养不良:Fuchs 发病机制的恶性循环。
Prog Retin Eye Res. 2021 Jan;80:100863. doi: 10.1016/j.preteyeres.2020.100863. Epub 2020 May 8.
6
Ultraviolet A light induces DNA damage and estrogen-DNA adducts in Fuchs endothelial corneal dystrophy causing females to be more affected.中波紫外线可引起 Fuchs 内皮角膜营养不良的 DNA 损伤和雌激素-DNA 加合物,导致女性受影响更大。
Proc Natl Acad Sci U S A. 2020 Jan 7;117(1):573-583. doi: 10.1073/pnas.1912546116. Epub 2019 Dec 18.
7
REVIEW: Current understanding of the pathogenesis of Fuchs' endothelial corneal dystrophy.综述:对富克斯内皮性角膜营养不良发病机制的当前认识。
Mol Vis. 2019 Jun 5;25:295-310. eCollection 2019.
8
Endothelial Keratoplasty: A Review of Indications at a Tertiary Eye Care Centre in South India.内皮角膜移植术:印度南部一家三级眼科护理中心的适应症综述
Asia Pac J Ophthalmol (Phila). 2014 Jul-Aug;3(4):207-10. doi: 10.1097/APO.0b013e3182a75304.
9
Localization and expression of zonula occludins-1 in the rabbit corneal epithelium following exposure to benzalkonium chloride.苯扎氯铵暴露后兔角膜上皮细胞紧密连接蛋白-1 的定位与表达
PLoS One. 2012;7(7):e40893. doi: 10.1371/journal.pone.0040893. Epub 2012 Jul 18.
10
Prevalence and severity of fuchs corneal dystrophy in Tangier Island.蒂甘尼岛的 Fuchs 角膜营养不良的患病率和严重程度。
Am J Ophthalmol. 2012 Jun;153(6):1067-72. doi: 10.1016/j.ajo.2011.11.033. Epub 2012 Feb 8.