• 文献检索
  • 文档翻译
  • 深度研究
  • 学术资讯
  • Suppr Zotero 插件Zotero 插件
  • 邀请有礼
  • 套餐&价格
  • 历史记录
应用&插件
Suppr Zotero 插件Zotero 插件浏览器插件Mac 客户端Windows 客户端微信小程序
定价
高级版会员购买积分包购买API积分包
服务
文献检索文档翻译深度研究API 文档MCP 服务
关于我们
关于 Suppr公司介绍联系我们用户协议隐私条款
关注我们

Suppr 超能文献

核心技术专利:CN118964589B侵权必究
粤ICP备2023148730 号-1Suppr @ 2026

文献检索

告别复杂PubMed语法,用中文像聊天一样搜索,搜遍4000万医学文献。AI智能推荐,让科研检索更轻松。

立即免费搜索

文件翻译

保留排版,准确专业,支持PDF/Word/PPT等文件格式,支持 12+语言互译。

免费翻译文档

深度研究

AI帮你快速写综述,25分钟生成高质量综述,智能提取关键信息,辅助科研写作。

立即免费体验

抑制15-前列腺素脱氢酶可阻止血脑屏障退化,并保护小鼠免受阿尔茨海默病和创伤性脑损伤的影响。

Inhibiting 15-PGDH blocks blood-brain barrier deterioration and protects mice from Alzheimer's disease and traumatic brain injury.

作者信息

Koh Yeojung, Vázquez-Rosa Edwin, Gao Farrah, Li Hongyun, Chakraborty Suwarna, Tripathi Sunil Jamuna, Barker Sarah, Bud Zea, Bangalore Anusha, Kandjoze Uapingena P, León-Alvarado Rose A, Sridharan Preethy S, Cordova Brittany A, Yu Youngmin, Hyung Jiwon, Fang Hua, Singh Salendra, Katabathula Ramachandra, LaFramboise Thomas, Kasturi Lakshmi, Lutterbaugh James, Beard Lydia, Cordova Erika, Cintrón-Pérez Coral J, Franke Kathryn, Fragoso Mariana Franco, Miller Emiko, Indrakumar Vidya, Noel Kamryn L, Dhar Matasha, Ajroud Kaouther, Zamudio Carlos, Lopes Filipa Blasco Tavares Pereira, Bambakidis Evangeline, Zhu Xiongwei, Wilson Brigid, Flanagan Margaret E, Gefen Tamar, Fujioka Hisashi, Fink Stephen P, Desai Amar B, Dawson Dawn, Williams Noelle S, Kim Young-Kwang, Ready Joseph M, Paul Bindu D, Shin Min-Kyoo, Markowitz Sanford D, Pieper Andrew A

机构信息

Department of Psychiatry, School of Medicine, Case Western Reserve University, Cleveland, OH 44106.

Brain Health Medicines Center, Harrington Discovery Institute, University Hospitals, Cleveland Medical Center, Cleveland, OH 44106.

出版信息

Proc Natl Acad Sci U S A. 2025 May 27;122(21):e2417224122. doi: 10.1073/pnas.2417224122. Epub 2025 May 21.

DOI:10.1073/pnas.2417224122
PMID:40397680
原文链接:https://pmc.ncbi.nlm.nih.gov/articles/PMC12130856/
Abstract

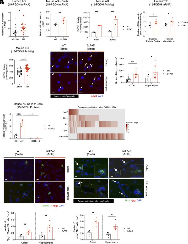
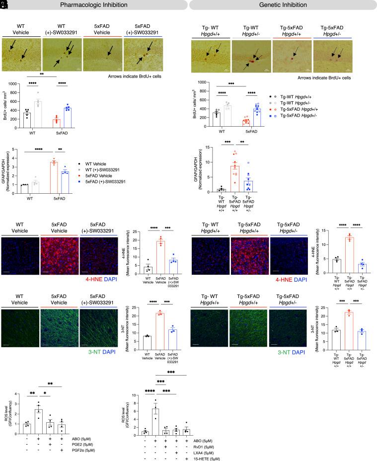
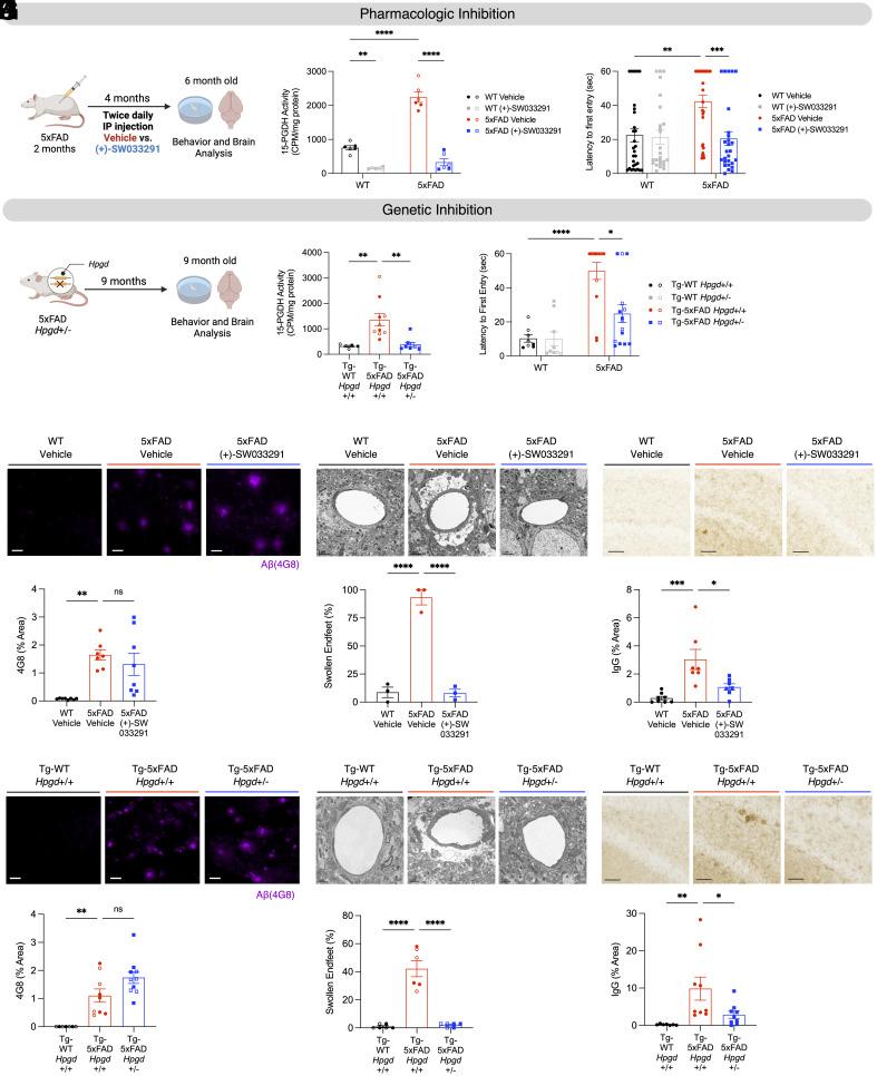
Alzheimer's disease (AD) and traumatic brain injury (TBI) are currently untreatable neurodegenerative disorders afflicting millions of people worldwide. These conditions are pathologically related, and TBI is one of the greatest risk factors for AD. Although blood-brain barrier (BBB) disruption drives progression of both AD and TBI, strategies to preserve BBB integrity have been hindered by lack of actionable targets. Here, we identify 15-hydroxyprostaglandin dehydrogenase (15-PGDH), an enzyme that catabolizes eicosanoids and other anti-inflammatory mediators, as a therapeutic candidate that protects the BBB. We demonstrate that 15-PGDH is enriched in BBB-associated myeloid cells and becomes markedly elevated in human and mouse models of AD and TBI, as well as aging, another major risk factor for AD. Pathological increase in 15-PGDH correlates with pronounced oxidative stress, neuroinflammation, and neurodegeneration, alongside profound BBB structural degeneration characterized by astrocytic endfeet swelling and functional impairment. Pharmacologic inhibition or genetic reduction of 15-PGDH in AD and TBI models strikingly mitigates oxidative damage, suppresses neuroinflammation, and restores BBB integrity. Most notably, inhibiting 15-PGDH not only halts neurodegeneration but also preserves cognitive function at levels indistinguishable from healthy controls. Remarkably, these neuroprotective effects in AD are achieved without affecting amyloid pathology, underscoring a noncanonical mechanism for treating AD. In a murine microglia cell line exposed to amyloid beta oligomer, major protection was demonstrated by multiple anti-inflammatory substrates that 15-PGDH degrades. Thus, our findings position 15-PGDH inhibition as a broad-spectrum strategy to protect the BBB and thereby preserve brain health and cognition in AD and TBI.

摘要

阿尔茨海默病(AD)和创伤性脑损伤(TBI)是目前无法治愈的神经退行性疾病,全球数以百万计的人深受其害。这些病症在病理上相关,而TBI是AD最大的风险因素之一。尽管血脑屏障(BBB)破坏推动了AD和TBI的进展,但由于缺乏可操作的靶点,保护BBB完整性的策略受到了阻碍。在这里,我们确定15-羟基前列腺素脱氢酶(15-PGDH),一种分解类花生酸和其他抗炎介质的酶,作为保护BBB的治疗候选物。我们证明15-PGDH在与BBB相关的髓样细胞中富集,并且在AD和TBI的人类和小鼠模型以及衰老(AD的另一个主要风险因素)中显著升高。15-PGDH的病理性增加与明显的氧化应激、神经炎症和神经退行性变相关,同时伴有以星形胶质细胞终足肿胀和功能障碍为特征的严重BBB结构退化。在AD和TBI模型中对15-PGDH进行药理抑制或基因敲低可显著减轻氧化损伤、抑制神经炎症并恢复BBB完整性。最值得注意的是,抑制15-PGDH不仅能阻止神经退行性变,还能将认知功能维持在与健康对照难以区分的水平。值得注意的是,在AD中实现这些神经保护作用时不会影响淀粉样蛋白病理学,这突出了一种治疗AD的非经典机制。在暴露于淀粉样β寡聚体的小鼠小胶质细胞系中,15-PGDH降解的多种抗炎底物显示出主要的保护作用。因此,我们的研究结果将抑制15-PGDH定位为一种广谱策略,以保护BBB,从而在AD和TBI中维持脑健康和认知。

https://cdn.ncbi.nlm.nih.gov/pmc/blobs/023f/12130856/9a7126978151/pnas.2417224122fig04.jpg
https://cdn.ncbi.nlm.nih.gov/pmc/blobs/023f/12130856/10d9727521ae/pnas.2417224122fig01.jpg
https://cdn.ncbi.nlm.nih.gov/pmc/blobs/023f/12130856/b5076ba8262a/pnas.2417224122fig02.jpg
https://cdn.ncbi.nlm.nih.gov/pmc/blobs/023f/12130856/6ee04551f485/pnas.2417224122fig03.jpg
https://cdn.ncbi.nlm.nih.gov/pmc/blobs/023f/12130856/9a7126978151/pnas.2417224122fig04.jpg
https://cdn.ncbi.nlm.nih.gov/pmc/blobs/023f/12130856/10d9727521ae/pnas.2417224122fig01.jpg
https://cdn.ncbi.nlm.nih.gov/pmc/blobs/023f/12130856/b5076ba8262a/pnas.2417224122fig02.jpg
https://cdn.ncbi.nlm.nih.gov/pmc/blobs/023f/12130856/6ee04551f485/pnas.2417224122fig03.jpg
https://cdn.ncbi.nlm.nih.gov/pmc/blobs/023f/12130856/9a7126978151/pnas.2417224122fig04.jpg

相似文献

1
Inhibiting 15-PGDH blocks blood-brain barrier deterioration and protects mice from Alzheimer's disease and traumatic brain injury.抑制15-前列腺素脱氢酶可阻止血脑屏障退化,并保护小鼠免受阿尔茨海默病和创伤性脑损伤的影响。
Proc Natl Acad Sci U S A. 2025 May 27;122(21):e2417224122. doi: 10.1073/pnas.2417224122. Epub 2025 May 21.
2
The Black Book of Psychotropic Dosing and Monitoring.《精神药物剂量与监测黑皮书》
Psychopharmacol Bull. 2024 Jul 8;54(3):8-59.
3
Photobiomodulation mitigates blood-brain barrier disruption in APP/PS1 mouse model of Alzheimer's disease by activating the AMPK pathway.光生物调节通过激活AMPK途径减轻阿尔茨海默病APP/PS1小鼠模型中的血脑屏障破坏。
Alzheimers Res Ther. 2025 Jun 23;17(1):141. doi: 10.1186/s13195-025-01787-7.
4
A Novel Design of a Portable Birdcage via Meander Line Antenna (MLA) to Lower Beta Amyloid (Aβ) in Alzheimer's Disease.一种通过曲折线天线(MLA)设计的便携式鸟笼,用于降低阿尔茨海默病中的β淀粉样蛋白(Aβ)。
IEEE J Transl Eng Health Med. 2025 Apr 10;13:158-173. doi: 10.1109/JTEHM.2025.3559693. eCollection 2025.
5
Dysfunction of the blood-brain barrier in Alzheimer's disease: Evidence from human studies.阿尔茨海默病中血脑屏障功能障碍:来自人体研究的证据。
Neuropathol Appl Neurobiol. 2022 Apr;48(3):e12782. doi: 10.1111/nan.12782. Epub 2022 Feb 2.
6
Co-Aggregation of Syndecan-3 with β-Amyloid Aggravates Neuroinflammation and Cognitive Impairment in 5×FAD Mice.Syndecan-3与β-淀粉样蛋白的共聚集加重5×FAD小鼠的神经炎症和认知障碍。
Int J Mol Sci. 2025 Jun 8;26(12):5502. doi: 10.3390/ijms26125502.
7
Carbon dots as dual inhibitors of tau and amyloid-beta aggregation for the treatment of Alzheimer's disease.碳点作为双靶点抑制剂抑制 tau 和淀粉样β聚集用于阿尔茨海默病的治疗。
Acta Biomater. 2024 Jul 15;183:341-355. doi: 10.1016/j.actbio.2024.06.001. Epub 2024 Jun 5.
8
Pharmacotherapy for chronic cognitive impairment in traumatic brain injury.创伤性脑损伤慢性认知障碍的药物治疗
Cochrane Database Syst Rev. 2015 Dec 1;2015(12):CD009221. doi: 10.1002/14651858.CD009221.pub2.
9
Acute targeting of N-terminal tau protein has long-lasting beneficial effects in Tg2576 APP/Aβ mouse model by reducing cognitive impairment, cerebral Aβ-amyloidosis, synaptic remodeling and microgliosis later in life.在Tg2576 APP/Aβ小鼠模型中,对N端tau蛋白进行急性靶向作用可通过减轻晚年的认知障碍、脑Aβ淀粉样变性、突触重塑和小胶质细胞增生,产生长期有益影响。
Acta Neuropathol Commun. 2025 May 29;13(1):121. doi: 10.1186/s40478-025-02022-y.
10
Rationale for a Multi-Factorial Approach for the Reversal of Cognitive Decline in Alzheimer's Disease and MCI: A Review.多因素方法逆转阿尔茨海默病和 MCI 认知衰退的理由:综述。
Int J Mol Sci. 2023 Jan 14;24(2):1659. doi: 10.3390/ijms24021659.

引用本文的文献

1
15-PGDH inhibition preserves blood-brain barrier integrity and cognition.15-前列腺素脱氢酶抑制可维持血脑屏障完整性并改善认知。
Proc Natl Acad Sci U S A. 2025 Jul 8;122(27):e2511399122. doi: 10.1073/pnas.2511399122. Epub 2025 Jun 30.

本文引用的文献

1
Acutely blocking excessive mitochondrial fission prevents chronic neurodegeneration after traumatic brain injury.急性阻断过度的线粒体裂变可预防创伤性脑损伤后的慢性神经退行性变。
Cell Rep Med. 2024 Sep 17;5(9):101715. doi: 10.1016/j.xcrm.2024.101715. Epub 2024 Sep 5.
2
Developing blood-brain barrier arterial spin labelling as a non-invasive early biomarker of Alzheimer's disease (DEBBIE-AD): a prospective observational multicohort study protocol.开发血脑屏障动脉自旋标记作为阿尔茨海默病(DEBBIE-AD)的无创早期生物标志物:一项前瞻性观察性多队列研究方案。
BMJ Open. 2024 Mar 8;14(3):e081635. doi: 10.1136/bmjopen-2023-081635.
3
Inhibition of 15-hydroxyprostaglandin dehydrogenase protects neurons from ferroptosis in ischemic stroke.
抑制15-羟基前列腺素脱氢酶可保护神经元免受缺血性脑卒中中的铁死亡。
MedComm (2020). 2024 Jan 7;5(1):e452. doi: 10.1002/mco2.452. eCollection 2024 Jan.
4
Regeneration of neuromuscular synapses after acute and chronic denervation by inhibiting the gerozyme 15-prostaglandin dehydrogenase.通过抑制 geroprozome 15-前列腺素脱氢酶实现急性和慢性去神经支配后神经肌肉突触的再生。
Sci Transl Med. 2023 Oct 11;15(717):eadg1485. doi: 10.1126/scitranslmed.adg1485.
5
Application of P7C3 Compounds to Investigating and Treating Acute and Chronic Traumatic Brain Injury.P7C3 化合物在急性和慢性创伤性脑损伤研究和治疗中的应用。
Neurotherapeutics. 2023 Oct;20(6):1616-1628. doi: 10.1007/s13311-023-01427-8. Epub 2023 Aug 31.
6
Longitudinal monitoring of axonal degeneration after brain injury.脑损伤后轴突变性的纵向监测。
Cell Rep Methods. 2023 May 16;3(5):100481. doi: 10.1016/j.crmeth.2023.100481. eCollection 2023 May 22.
7
Increased Risk of Aging-Related Neurodegenerative Disease after Traumatic Brain Injury.创伤性脑损伤后与衰老相关的神经退行性疾病风险增加。
Biomedicines. 2023 Apr 11;11(4):1154. doi: 10.3390/biomedicines11041154.
8
Emerging roles of astrocytes in blood-brain barrier disruption upon amyloid-beta insults in Alzheimer's disease.星形胶质细胞在阿尔茨海默病中淀粉样β蛋白损伤后血脑屏障破坏中的新作用。
Neural Regen Res. 2023 Sep;18(9):1890-1902. doi: 10.4103/1673-5374.367832.
9
Inhibition of Eicosanoid Degradation Mitigates Fibrosis of the Heart.抑制类花生酸降解可减轻心脏纤维化。
Circ Res. 2023 Jan 6;132(1):10-29. doi: 10.1161/CIRCRESAHA.122.321475. Epub 2022 Dec 8.
10
Oxidative Stress in Traumatic Brain Injury.颅脑创伤中的氧化应激。
Int J Mol Sci. 2022 Oct 27;23(21):13000. doi: 10.3390/ijms232113000.