Suppr超能文献

断喙及喷洒带苦味化合物的羽毛对番鸭啄羽行为及福利的影响

Effect of beak trimming and feather spraying with bitter taste compound on feather pecking and welfare of Muscovy ducks.

作者信息

Hefnawy Eman, Sabek Ahmed, El-Laithy Saeed, Ahmed Souad

机构信息

Department of Hygiene and Veterinary Management, Faculty of Veterinary medicine, Benha University, Moshtohour, 13736, Benha city, 13518, Egypt.

出版信息

Sci Rep. 2025 May 21;15(1):17660. doi: 10.1038/s41598-025-01371-x.

Abstract

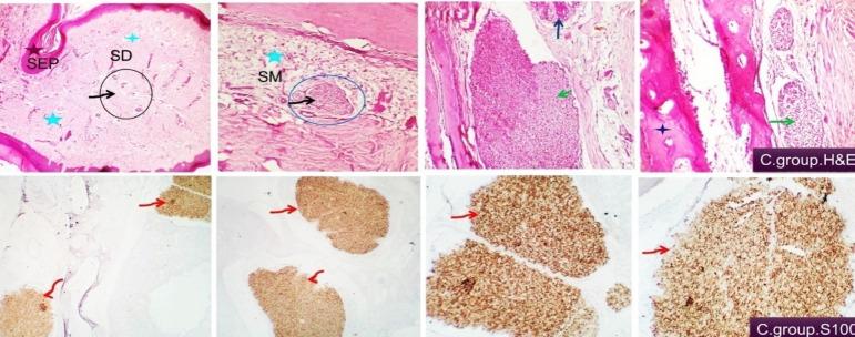
The current study was conducted to compare the effect of beak trimming and feather spraying with bitter taste compound (almond oil) on feather pecking behavior and duck welfare. A total of 63 healthy male 2-weeks-old Muscovy ducklings were randomly allocated to 3 groups. The first group was the control group (no beak trimming and no feather spraying), ducks in the second group were trimmed by scissors at 3 weeks of age, and birds in the third group were sprayed with bitter almond oil weekly from the age of 3 weeks. Growth performance parameters were evaluated. Some behavioral patterns were recorded by using focal sampling. Feather condition score and serum cortisol level were evaluated. At the end of the experiment, bills were collected for histopathological examination. The results showed that beak trimming with scissors had no negative effects on Muscovy ducks' growth performance and significantly lowered feather pecking bouts resulting in good feather conditions. Feather spraying with bitter almond oil had adverse effects on growth performance, obviously increased feather pecking resulted in deterioration of feather quality and markedly increased the level of cortisol (p < 0.001). Bill morphological analysis with hematoxylin and eosin (H&E) and S100 stains illustrated that the trimmed beak had an increase in the amount of connective tissue (scar tissue formation), numerous blood vessels, fewer nerve bundles, and no neuroma formation. In the Muscovy ducks' sector, beak trimming with scissors at 3 weeks of age is good practice to control feather pecking and cannibalism without adverse effect on the welfare of ducks.

摘要

本研究旨在比较断喙和用苦味化合物(杏仁油)喷洒羽毛对啄羽行为和鸭福利的影响。总共63只健康的2周龄雄性番鸭随机分为3组。第一组为对照组(不进行断喙和不喷洒羽毛),第二组的鸭在3周龄时用剪刀断喙,第三组的鸭从3周龄开始每周喷洒苦杏仁油。评估生长性能参数。使用焦点取样记录一些行为模式。评估羽毛状况评分和血清皮质醇水平。实验结束时,收集鸭嘴进行组织病理学检查。结果表明,用剪刀断喙对番鸭的生长性能没有负面影响,并且显著降低了啄羽次数,使羽毛状况良好。用苦杏仁油喷洒羽毛对生长性能有不利影响,明显增加了啄羽行为,导致羽毛质量恶化,并显著提高了皮质醇水平(p < 0.001)。用苏木精和伊红(H&E)以及S100染色进行的鸭嘴形态学分析表明,断喙处结缔组织量增加(形成瘢痕组织),血管众多,神经束较少,且无神经瘤形成。在番鸭群体中,3周龄时用剪刀断喙是控制啄羽和同类相残的良好做法,且对鸭的福利没有不利影响。

https://cdn.ncbi.nlm.nih.gov/pmc/blobs/629e/12095538/37df5cb6d010/41598_2025_1371_Fig1_HTML.jpg

文献AI研究员

20分钟写一篇综述,助力文献阅读效率提升50倍。

立即体验

用中文搜PubMed

大模型驱动的PubMed中文搜索引擎

马上搜索

文档翻译

学术文献翻译模型,支持多种主流文档格式。

立即体验