• 文献检索
  • 文档翻译
  • 深度研究
  • 学术资讯
  • Suppr Zotero 插件Zotero 插件
  • 邀请有礼
  • 套餐&价格
  • 历史记录
应用&插件
Suppr Zotero 插件Zotero 插件浏览器插件Mac 客户端Windows 客户端微信小程序
定价
高级版会员购买积分包购买API积分包
服务
文献检索文档翻译深度研究API 文档MCP 服务
关于我们
关于 Suppr公司介绍联系我们用户协议隐私条款
关注我们

Suppr 超能文献

核心技术专利:CN118964589B侵权必究
粤ICP备2023148730 号-1Suppr @ 2026

文献检索

告别复杂PubMed语法,用中文像聊天一样搜索,搜遍4000万医学文献。AI智能推荐,让科研检索更轻松。

立即免费搜索

文件翻译

保留排版,准确专业,支持PDF/Word/PPT等文件格式,支持 12+语言互译。

免费翻译文档

深度研究

AI帮你快速写综述,25分钟生成高质量综述,智能提取关键信息,辅助科研写作。

立即免费体验

髌股疼痛患者与非髌股疼痛患者在深蹲时髌软骨厚度与膝关节外旋的关系——一项初步研究

Patellar cartilage thickness relates to knee external rotation during squatting in individuals with and without patellofemoral pain-a pilot study.

作者信息

Nagahori Hiraku, Ho Kai-Yu

机构信息

Department of Physical Therapy, University of Nevada, Las Vegas, Las Vegas, NV, United States.

Division of Biokinesiology and Physical Therapy, University of Southern California, Los Angeles, CA, United States.

出版信息

Front Sports Act Living. 2025 May 8;7:1575115. doi: 10.3389/fspor.2025.1575115. eCollection 2025.

DOI:10.3389/fspor.2025.1575115
PMID:40406422
原文链接:https://pmc.ncbi.nlm.nih.gov/articles/PMC12095021/
Abstract

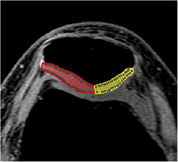
The relationship between patellofemoral cartilage morphology and knee external rotation (KER), one of the possible factors increasing patellar cartilage stress, has been rarely explored in individuals with and without patellofemoral pain (PFP). Ten individuals with PFP and 10 pain-free controls, matched for age, weight, height, and activity level, participated. Patellar cartilage morphology was assessed using 3-Tesla magnetic resonance imaging. Lower extremity kinematics during bilateral squatting at 45° of knee flexion were captured using a 3-dimensional motion capture system. Pearson and Spearman correlation coefficients were used to assess the associations between cartilage thickness (medial, lateral, and total) and peak KER, along with other peak joint angles across the three planes. Across all participants, there were significantly moderate correlations between medial cartilage thickness and KER ( = -0.48,  = 0.03), and total cartilage thickness and KER ( = -0.47,  = 0.35). In the PFP group, there was a significantly large correlation between medial cartilage thickness and KER ( = -0.66,  = 0.03). In the control group, there was a significant very large correlation between lateral cartilage thickness and KER ( = -0.79,  = 0.01) and a significant very large correlation between total cartilage thickness and KER ( = -0.75,  = 0.01). The findings suggest that thinner patellar cartilage is associated with increased KER during bilateral squatting in persons with and without PFP. Since our study focused on a double-limb activity, which may require less KER, future research should examine its impact on cartilage morphology during single-limb activities.

摘要

髌股关节软骨形态与膝关节外旋(KER)之间的关系,是增加髌软骨应力的可能因素之一,在有和没有髌股关节疼痛(PFP)的个体中很少被研究。10名患有PFP的个体和10名年龄、体重、身高和活动水平相匹配的无疼痛对照者参与了研究。使用3特斯拉磁共振成像评估髌软骨形态。在膝关节屈曲45°的双侧深蹲过程中,使用三维运动捕捉系统记录下肢运动学数据。使用Pearson和Spearman相关系数评估软骨厚度(内侧、外侧和总厚度)与峰值KER之间的关联,以及三个平面上的其他峰值关节角度之间的关联。在所有参与者中,内侧软骨厚度与KER之间存在显著的中度相关性(r = -0.48,p = 0.03),总软骨厚度与KER之间也存在显著的中度相关性(r = -0.47,p = 0.35)。在PFP组中,内侧软骨厚度与KER之间存在显著的强相关性(r = -0.66,p = 0.03)。在对照组中,外侧软骨厚度与KER之间存在显著的极强相关性(r = -0.79,p = 0.01),总软骨厚度与KER之间也存在显著的极强相关性(r = -0.75,p = 0.01)。研究结果表明,无论有无PFP,在双侧深蹲过程中,较薄的髌软骨与增加的KER相关。由于我们的研究集中在双下肢活动,这可能需要较少的KER,未来的研究应检查其对单下肢活动期间软骨形态的影响。

https://cdn.ncbi.nlm.nih.gov/pmc/blobs/6f1d/12095021/5692f763b40b/fspor-07-1575115-g002.jpg
https://cdn.ncbi.nlm.nih.gov/pmc/blobs/6f1d/12095021/6fced35c762b/fspor-07-1575115-g001.jpg
https://cdn.ncbi.nlm.nih.gov/pmc/blobs/6f1d/12095021/5692f763b40b/fspor-07-1575115-g002.jpg
https://cdn.ncbi.nlm.nih.gov/pmc/blobs/6f1d/12095021/6fced35c762b/fspor-07-1575115-g001.jpg
https://cdn.ncbi.nlm.nih.gov/pmc/blobs/6f1d/12095021/5692f763b40b/fspor-07-1575115-g002.jpg

相似文献

1
Patellar cartilage thickness relates to knee external rotation during squatting in individuals with and without patellofemoral pain-a pilot study.髌股疼痛患者与非髌股疼痛患者在深蹲时髌软骨厚度与膝关节外旋的关系——一项初步研究
Front Sports Act Living. 2025 May 8;7:1575115. doi: 10.3389/fspor.2025.1575115. eCollection 2025.
2
Differences in patellar cartilage thickness, transverse relaxation time, and deformational behavior: a comparison of young women with and without patellofemoral pain.髌股疼痛综合征患者与无髌股疼痛综合征患者髌软骨厚度、横向弛豫时间及变形行为的差异比较。
Am J Sports Med. 2011 Feb;39(2):384-91. doi: 10.1177/0363546510381363. Epub 2010 Oct 20.
3
Patellar Instability髌骨不稳定
4
Using Dual-Orthogonal Fluoroscopy and CT to Assess the Relationship Between Knee Morphology and Patellar Kinematics in Patients With Patellofemoral Pain.使用双正交荧光透视和CT评估髌股疼痛患者的膝关节形态与髌骨运动学之间的关系。
Cureus. 2023 Aug 25;15(8):e44139. doi: 10.7759/cureus.44139. eCollection 2023 Aug.
5
The effect of patellofemoral pain syndrome on patellofemoral joint kinematics under upright weight-bearing conditions.髌股疼痛综合征对直立承重条件下髌股关节运动学的影响。
PLoS One. 2020 Sep 30;15(9):e0239907. doi: 10.1371/journal.pone.0239907. eCollection 2020.
6
Patellar thickness and lateral retinacular release affects patellofemoral kinematics in total knee arthroplasty.髌骨关节厚度和外侧支持带松解对全膝关节置换术后髌股关节运动学的影响。
Knee Surg Sports Traumatol Arthrosc. 2014 Mar;22(3):526-33. doi: 10.1007/s00167-012-2312-z. Epub 2012 Dec 28.
7
Patellofemoral Pain in Adolescents: Understanding Patellofemoral Morphology and Its Relationship to Maltracking.青少年髌股疼痛:了解髌股形态及其与外侧轨迹不良的关系。
Am J Sports Med. 2020 Feb;48(2):341-350. doi: 10.1177/0363546519889347. Epub 2019 Dec 13.
8
Patellofemoral joint contact area is influenced by tibiofemoral rotation alignment in individuals who have patellofemoral pain.在患有髌股关节疼痛的个体中,髌股关节接触面积受胫股旋转对线的影响。
J Orthop Sports Phys Ther. 2007 Sep;37(9):521-8. doi: 10.2519/jospt.2007.37.9.521.
9
Femur rotation and patellofemoral joint kinematics: a weight-bearing magnetic resonance imaging analysis.股骨旋转和髌股关节运动学:负重磁共振成像分析。
J Orthop Sports Phys Ther. 2010 May;40(5):277-85. doi: 10.2519/jospt.2010.3215.
10
Internal rotational patellar resection and patella alta induced patellar maltracking in total knee arthroplasty: intraoperative measurement of the patellofemoral pressure.全膝关节置换术中髌股关节压力的术中测量:内旋髌骨切除术和高位髌骨导致髌骨轨迹不良
Knee Surg Relat Res. 2024 Aug 22;36(1):25. doi: 10.1186/s43019-024-00231-8.

本文引用的文献

1
Kinematic and Kinetic Gait Characteristics in People with Patellofemoral Pain: A Systematic Review and Meta-analysis.髌股疼痛综合征患者的运动学和动力学步态特征:系统评价和荟萃分析。
Sports Med. 2023 Feb;53(2):519-547. doi: 10.1007/s40279-022-01781-1. Epub 2022 Nov 5.
2
Tibial internal and external rotation taping for improving pain in patients with patellofemoral pain syndrome.胫骨内、外旋贴扎治疗髌股疼痛综合征患者的疼痛
J Sci Med Sport. 2022 Aug;25(8):644-648. doi: 10.1016/j.jsams.2022.04.003. Epub 2022 Apr 12.
3
Pain severity during functional activities in individuals with patellofemoral pain: A systematic review with meta-analysis.
髌股疼痛综合征患者功能活动时的疼痛严重程度:系统评价与荟萃分析。
J Sci Med Sport. 2022 May;25(5):399-406. doi: 10.1016/j.jsams.2022.01.004. Epub 2022 Jan 26.
4
Compressive mechanical stress enhances susceptibility to interleukin-1 by increasing interleukin-1 receptor expression in 3D-cultured ATDC5 cells.压缩机械应力通过增加三维培养的ATDC5细胞中白细胞介素-1受体的表达来增强对白细胞介素-1的敏感性。
BMC Musculoskelet Disord. 2021 Mar 1;22(1):238. doi: 10.1186/s12891-021-04095-x.
5
Mulligan Knee Taping Using Both Elastic and Rigid Tape Reduces Pain and Alters Lower Limb Biomechanics in Female Patients With Patellofemoral Pain.使用弹性胶带和刚性胶带的穆里根膝关节贴扎可减轻患有髌股疼痛的女性患者的疼痛并改变下肢生物力学。
Orthop J Sports Med. 2020 May 29;8(5):2325967120921673. doi: 10.1177/2325967120921673. eCollection 2020 May.
6
Mechanotransduction pathways in the regulation of cartilage chondrocyte homoeostasis.机械转导通路在软骨细胞稳态调控中的作用。
J Cell Mol Med. 2020 May;24(10):5408-5419. doi: 10.1111/jcmm.15204. Epub 2020 Apr 1.
7
National Athletic Trainers' Association Position Statement: Management of Individuals With Patellofemoral Pain.美国国家运动训练协会立场声明:髌股疼痛综合征患者的管理。
J Athl Train. 2018 Sep;53(9):820-836. doi: 10.4085/1062-6050-231-15.
8
Patellofemoral joint stress during incline and decline running.上下坡跑步时的髌股关节应力
Phys Ther Sport. 2018 Nov;34:136-140. doi: 10.1016/j.ptsp.2018.09.010. Epub 2018 Sep 27.
9
The influence of isolated femur and tibia rotations on patella cartilage stress: a sensitivity analysis.孤立的股骨和胫骨旋转对髌骨软骨应力的影响:一项敏感性分析。
Clin Biomech (Bristol). 2018 May;54:125-131. doi: 10.1016/j.clinbiomech.2018.03.003. Epub 2018 Mar 12.
10
Acute Effects of Walking on the Deformation of Femoral Articular Cartilage in Older Adults.老年人步行对股骨关节软骨变形的急性影响。
J Geriatr Phys Ther. 2019 Jul/Sep;42(3):E35-E41. doi: 10.1519/JPT.0000000000000185.