• 文献检索
  • 文档翻译
  • 深度研究
  • 学术资讯
  • Suppr Zotero 插件Zotero 插件
  • 邀请有礼
  • 套餐&价格
  • 历史记录
应用&插件
Suppr Zotero 插件Zotero 插件浏览器插件Mac 客户端Windows 客户端微信小程序
定价
高级版会员购买积分包购买API积分包
服务
文献检索文档翻译深度研究API 文档MCP 服务
关于我们
关于 Suppr公司介绍联系我们用户协议隐私条款
关注我们

Suppr 超能文献

核心技术专利:CN118964589B侵权必究
粤ICP备2023148730 号-1Suppr @ 2026

文献检索

告别复杂PubMed语法,用中文像聊天一样搜索,搜遍4000万医学文献。AI智能推荐,让科研检索更轻松。

立即免费搜索

文件翻译

保留排版,准确专业,支持PDF/Word/PPT等文件格式,支持 12+语言互译。

免费翻译文档

深度研究

AI帮你快速写综述,25分钟生成高质量综述,智能提取关键信息,辅助科研写作。

立即免费体验

门静脉包虫血栓形成:一例罕见病例报告。

Hydatid thrombosis of the portal vein: a rare case report.

作者信息

Chait Fatima, Bahlouli Nourrelhouda, Sfar Kaouthar, Lahlou Ihssane, Edderai Meryem, El Fenni Jamal

机构信息

Radiology Department, Military Teaching Hospital Mohammed V, Mohammed V University, Rabat 10045, Morocco.

出版信息

J Surg Case Rep. 2025 May 23;2025(5):rjaf337. doi: 10.1093/jscr/rjaf337. eCollection 2025 May.

DOI:10.1093/jscr/rjaf337
PMID:40417048
原文链接:https://pmc.ncbi.nlm.nih.gov/articles/PMC12100738/
Abstract

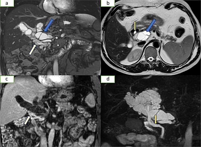
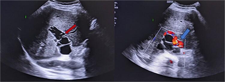
Hydatidosis, caused by , is a widespread parasitic disease, especially in livestock areas. In Morocco, it is hyperendemic and poses a major health concern. The liver and lungs are the most affected organs, but portal vein involvement is extremely rare, with only eight reported cases. We present a 56-year-old man with a recurrent hepatic hydatid cyst, three years after a left hepatectomy. Imaging revealed hydatid thrombosis of the portal vein, a rare complication requiring distinct management from typical venous thrombosis.

摘要

由……引起的包虫病是一种广泛传播的寄生虫病,尤其在牧区。在摩洛哥,它是高度流行的,并且是一个主要的健康问题。肝脏和肺是受影响最严重的器官,但门静脉受累极为罕见,仅有八例报告病例。我们报告一例56岁男性,在左肝切除术后三年出现复发性肝包虫囊肿。影像学检查显示门静脉包虫血栓形成,这是一种罕见的并发症,需要与典型的静脉血栓形成进行不同的处理。 (原文中“caused by ”后缺少具体病因信息)

https://cdn.ncbi.nlm.nih.gov/pmc/blobs/db39/12100738/660eef6a0d2e/rjaf337f4.jpg
https://cdn.ncbi.nlm.nih.gov/pmc/blobs/db39/12100738/5c86a434224b/rjaf337f1.jpg
https://cdn.ncbi.nlm.nih.gov/pmc/blobs/db39/12100738/6e412711afef/rjaf337f2.jpg
https://cdn.ncbi.nlm.nih.gov/pmc/blobs/db39/12100738/2d9a450a3b91/rjaf337f3.jpg
https://cdn.ncbi.nlm.nih.gov/pmc/blobs/db39/12100738/660eef6a0d2e/rjaf337f4.jpg
https://cdn.ncbi.nlm.nih.gov/pmc/blobs/db39/12100738/5c86a434224b/rjaf337f1.jpg
https://cdn.ncbi.nlm.nih.gov/pmc/blobs/db39/12100738/6e412711afef/rjaf337f2.jpg
https://cdn.ncbi.nlm.nih.gov/pmc/blobs/db39/12100738/2d9a450a3b91/rjaf337f3.jpg
https://cdn.ncbi.nlm.nih.gov/pmc/blobs/db39/12100738/660eef6a0d2e/rjaf337f4.jpg

相似文献

1
Hydatid thrombosis of the portal vein: a rare case report.门静脉包虫血栓形成:一例罕见病例报告。
J Surg Case Rep. 2025 May 23;2025(5):rjaf337. doi: 10.1093/jscr/rjaf337. eCollection 2025 May.
2
Liver hydatidosis disease with portal vein invasion: Report of a rare case and review of literature.肝包虫病伴门静脉侵犯:1例罕见病例报告及文献复习
Radiol Case Rep. 2023 Nov 15;19(1):445-448. doi: 10.1016/j.radcr.2023.10.048. eCollection 2024 Jan.
3
Hydatid disease of the liver with portal vein invasion and cavernous transformation: A case report and literature review.肝包虫病伴门静脉侵犯及海绵样变:1例报告并文献复习
IDCases. 2020 Nov 4;23:e01006. doi: 10.1016/j.idcr.2020.e01006. eCollection 2021.
4
Hydatid disease of the liver with portal vein invasion mimicking portal vein thrombosis.肝包虫病伴门静脉侵犯,酷似门静脉血栓形成。
Arab J Gastroenterol. 2019 Mar;20(1):50-52. doi: 10.1016/j.ajg.2019.01.010. Epub 2019 Mar 8.
5
Rupture of a liver hydatid cyst into the right portal vein leading to right portal vein thrombosis: a case report and literature review.肝包虫囊肿破裂入右门静脉导致右门静脉血栓形成:病例报告及文献复习。
J Int Med Res. 2023 Aug;51(8):3000605231191018. doi: 10.1177/03000605231191018.
6
Hydatid liver cyst causing portal vein thrombosis and cavernous transformation: a case report and literature review.肝包虫囊肿致门静脉血栓形成及海绵样变:1例报告并文献复习
Gastroenterol Hepatol Bed Bench. 2016 Fall;9(4):331-335.
7
[Hydatidosis of psoas muscle revealed by vascular axis compression in lower limb: About one case at the Ibn Sina University hospital, Rabat, Morocco].[下肢血管轴受压揭示的腰大肌包虫病:摩洛哥拉巴特伊本·西那大学医院1例报告]
Med Trop Sante Int. 2022 Jul 18;2(3). doi: 10.48327/mtsi.v2i3.2022.195. eCollection 2022 Sep 30.
8
Hydatid cyst of the liver invading the inferior vena cava.肝脏包虫囊肿侵犯下腔静脉。
Radiol Case Rep. 2023 Sep 28;18(12):4341-4344. doi: 10.1016/j.radcr.2023.09.007. eCollection 2023 Dec.
9
Primary subcutaneous hydatid cyst in the left flank: A case report and review of the literature.左侧腰部原发性皮下包虫囊肿:一例报告并文献复习
Int J Surg Case Rep. 2025 Apr;129:111206. doi: 10.1016/j.ijscr.2025.111206. Epub 2025 Mar 25.
10
Peritoneal hydatidosis secondary to an asymptomatic liver hydatid cyst rupture: A case report.无症状性肝包虫囊肿破裂继发腹膜包虫病:一例报告
Int J Surg Case Rep. 2024 Oct;123:110220. doi: 10.1016/j.ijscr.2024.110220. Epub 2024 Aug 28.

本文引用的文献

1
Hydatid disease of the liver with portal vein invasion mimicking portal vein thrombosis.肝包虫病伴门静脉侵犯,酷似门静脉血栓形成。
Arab J Gastroenterol. 2019 Mar;20(1):50-52. doi: 10.1016/j.ajg.2019.01.010. Epub 2019 Mar 8.
2
Portal hydatid with secondary cavernomatosis.
Rev Esp Enferm Dig. 2017 Mar;109(3):218-219.
3
An unusual cause of portal cavernomatosis.门静脉海绵样变的一种罕见病因。
Ann Hepatol. 2012 Nov-Dec;11(6):944-8.
4
Hydatid disease involving some rare locations in the body: a pictorial essay.累及身体一些罕见部位的包虫病:一篇图文并茂的文章。
Korean J Radiol. 2007 Nov-Dec;8(6):531-40. doi: 10.3348/kjr.2007.8.6.531.
5
Biliary complications after hydatid liver surgery: incidence and risk factors.肝包虫手术后的胆道并发症:发生率及危险因素
J Gastrointest Surg. 2002 Sep-Oct;6(5):706-12. doi: 10.1016/s1091-255x(02)00046-x.
6
[Portal hypertension as complication of hepatic hydatidosis].[肝包虫病并发症之门静脉高压症]
An Med Interna. 2001 Nov;18(11):608-9.
7
The rupture of hepatic hydatid disease into the right hepatic vein and bile ducts: a case report.
Hepatogastroenterology. 1996 Jul-Aug;43(10):1006-8.