Suppr超能文献

白细胞介素-1在血管平滑肌细胞上的信号传导在川崎病小鼠模型中加速动脉粥样硬化。

Interleukin-1 Signaling on Vascular Smooth Muscle Cells Accelerates Atherosclerosis in a Murine Model of Kawasaki Disease.

作者信息

Chen Shuang, Savas Asli, Atici Asli, Lee Youngho, Lane Malcolm, Aubuchon Emily, Moreira Debbie, Hsu-Wilbraham Alexander, Shimada Kenichi, Crother Timothy R, Noval Rivas Magali, Arditi Moshe

机构信息

Department of Pediatrics, Division of Infectious Diseases and Immunology Guerin Children's at Cedars-Sinai Medical Center Los Angeles CA USA.

Infectious and Immunologic Diseases Research Center (IIDRC) and Department of Biomedical Sciences Cedars-Sinai Medical Center Los Angeles CA USA.

出版信息

J Am Heart Assoc. 2025 Jun 3;14(11):e040687. doi: 10.1161/JAHA.124.040687. Epub 2025 May 26.

Abstract

BACKGROUND

We previously showed that cell wall extract-induced Kawasaki disease (KD) vasculitis significantly accelerates atherosclerosis in hypercholesterolemic mice on high-fat diet. Here, we investigated the contribution of IL-1 (interleukin-1) signaling on vascular smooth muscle cells in this model.

METHODS

Tamoxifen-inducible vascular smooth muscle cell-specific IL-1 receptor ( knockout () mice and littermate controls, all on background, were injected with either PBS or cell wall extract. Two weeks later, mice were fed a tamoxifen diet for 2 weeks to induce deletion on vascular smooth muscle cells before being exposed to 8 weeks of Western diet to promote atherosclerosis.

RESULTS

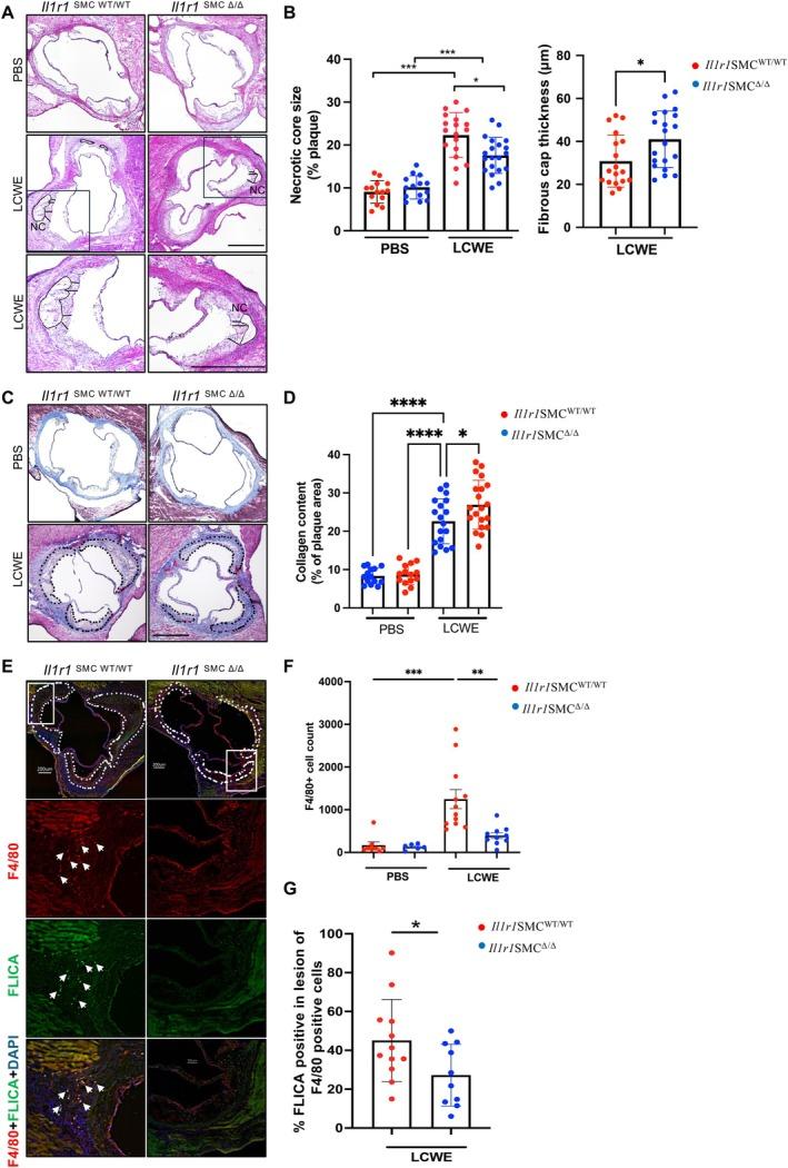
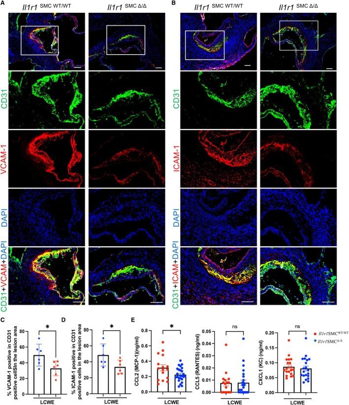
KD vasculitis led to a significant acceleration of atherosclerosis. mice had significantly diminished atherosclerotic plaque size, macrophage infiltration, and necrotic core formation in the aortic root, as well as diminished lipid accumulation in the aorta compared with control mice, despite similar serum cholesterol levels. mice also had significantly diminished expression of endothelial adhesion molecules VCAM-1 (vascular cell adhesion molecule 1) and ICAM-1 (intercellular adhesion molecule 1) in the lesion area, as well as reduced serum MCP-1 (monocyte chemotaxis protein-1) levels compared with control mice. Monocyte and macrophage recruitment was significantly reduced in the SMC group compared with the SMC group.

CONCLUSIONS

Our results suggest an important pathophysiologic link between IL-1 signaling on vascular smooth muscle cells and subsequent acceleration of atherosclerosis in hypercholesterolemic mice following KD vasculitis. Thus, further studies are warranted to investigate the role of IL-1 signaling not only in acute KD but also in the subsequent vascular remodeling and long-term complications of KD vasculitis, including accelerated atherosclerosis.

摘要

背景

我们之前的研究表明,细胞壁提取物诱导的川崎病(KD)血管炎可显著加速高脂饮食的高胆固醇血症小鼠的动脉粥样硬化进程。在此,我们研究了白细胞介素-1(IL-1)信号通路在该模型中对血管平滑肌细胞的作用。

方法

将他莫昔芬诱导的血管平滑肌细胞特异性IL-1受体敲除(KO)小鼠及其同窝对照小鼠(均为背景),分别注射磷酸盐缓冲液(PBS)或细胞壁提取物。两周后,给小鼠喂食他莫昔芬饮食2周,以诱导血管平滑肌细胞中基因敲除,然后使其接受8周的西式饮食以促进动脉粥样硬化。

结果

KD血管炎导致动脉粥样硬化显著加速。与对照小鼠相比,KO小鼠主动脉根部的动脉粥样硬化斑块大小、巨噬细胞浸润和坏死核心形成均显著减少,主动脉中的脂质积累也减少,尽管血清胆固醇水平相似。与对照小鼠相比,KO小鼠病变区域的内皮黏附分子血管细胞黏附分子-1(VCAM-1)和细胞间黏附分子-1(ICAM-1)的表达也显著降低,血清单核细胞趋化蛋白-1(MCP-1)水平也降低。与SMC组相比,SMC组的单核细胞和巨噬细胞募集显著减少。

结论

我们的结果表明,血管平滑肌细胞上的IL-1信号通路与KD血管炎后高胆固醇血症小鼠随后的动脉粥样硬化加速之间存在重要的病理生理联系。因此,有必要进一步研究IL-1信号通路不仅在急性KD中的作用,还包括在KD血管炎随后的血管重塑和长期并发症(包括加速的动脉粥样硬化)中的作用。

https://cdn.ncbi.nlm.nih.gov/pmc/blobs/b526/12229219/bfb5889587d0/JAH3-14-e040687-g004.jpg

文献检索

告别复杂PubMed语法,用中文像聊天一样搜索,搜遍4000万医学文献。AI智能推荐,让科研检索更轻松。

立即免费搜索

文件翻译

保留排版,准确专业,支持PDF/Word/PPT等文件格式,支持 12+语言互译。

免费翻译文档

深度研究

AI帮你快速写综述,25分钟生成高质量综述,智能提取关键信息,辅助科研写作。

立即免费体验