Suppr超能文献

急性传染性单核细胞增多症继发急性肾损伤和病毒性心肌炎

Acute Kidney Injury and Viral Myocarditis Secondary to Acute Epstein-Barr Virus Infection.

作者信息

Santos Reis Catarina, Fernandes Bernardo, Lisboa Gonçalves Pedro, Neto Ricardo, Silva Roberto, Camões Isabel

机构信息

Internal Medicine Department, Unidade Local de Saúde São João, Porto, PRT.

Nephrology Department, Unidade Local de Saúde São João, Porto, PRT.

出版信息

Cureus. 2025 Apr 27;17(4):e83061. doi: 10.7759/cureus.83061. eCollection 2025 Apr.

Abstract

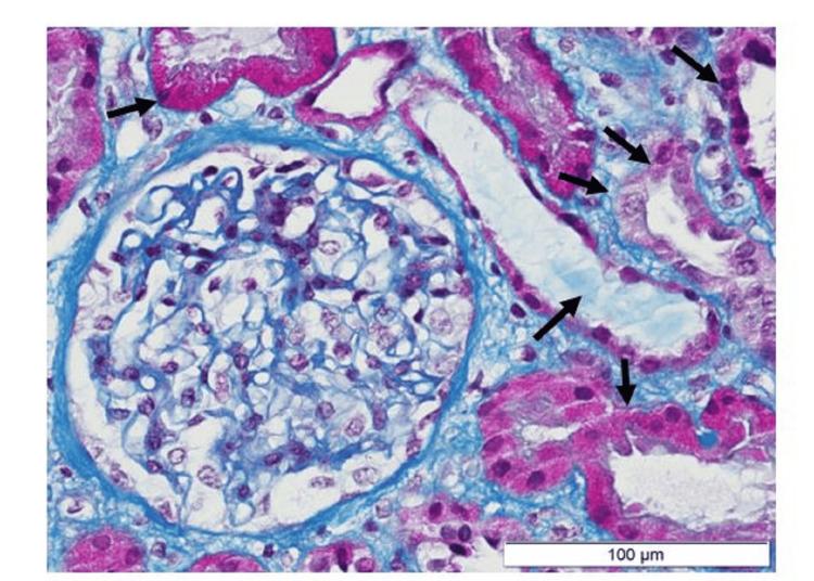
Epstein-Barr virus (EBV) typically causes a self-limiting disease characterized by fever, pharyngitis, and lymphadenopathy. Clinically overt renal and cardiac involvement is rare, and its presentation ranges from subclinical manifestations to severe organ dysfunction. In cases where renal biopsies have been performed, the most common pathology identified is interstitial nephritis. We report a case of a 24-year-old male with a history of recurrent tonsillitis - the most recent episode occurring one month prior - who presented to the Emergency Department with a three-day symptom of asthenia, diffuse abdominal pain, and vomiting. His blood tests showed acute kidney injury (AKI) and elevated natriuretic peptide levels, with negative troponin levels. Viral markers were consistent with primary EBV infection. Renal biopsy revealed moderate acute tubular necrosis, with no glomerular injury. Renal function showed signs of improvement within the initial three days following the initiation of fluid therapy. Given the high index of clinical suspicion, a cardiac MRI was performed, revealing myocarditis. This case underscores the potential for EBV to present with AKI and myocarditis, contributing valuable insights into the diverse clinical manifestations of EBV infection.

摘要

爱泼斯坦-巴尔病毒(EBV)通常引起一种以发热、咽炎和淋巴结病为特征的自限性疾病。临床上明显的肾脏和心脏受累情况罕见,其表现范围从亚临床症状到严重器官功能障碍。在进行肾活检的病例中,最常见的病理表现是间质性肾炎。我们报告一例24岁男性病例,该患者有复发性扁桃体炎病史——最近一次发作发生在一个月前——因出现乏力、弥漫性腹痛和呕吐三天症状而就诊于急诊科。他的血液检查显示急性肾损伤(AKI)和利钠肽水平升高,肌钙蛋白水平阴性。病毒标志物与原发性EBV感染一致。肾活检显示中度急性肾小管坏死,无肾小球损伤。在开始液体治疗后的最初三天内,肾功能显示出改善迹象。鉴于临床怀疑指数较高,进行了心脏磁共振成像(MRI)检查,结果显示为心肌炎。该病例强调了EBV出现AKI和心肌炎的可能性,为EBV感染的多种临床表现提供了有价值的见解。

https://cdn.ncbi.nlm.nih.gov/pmc/blobs/fdb8/12107502/864241378183/cureus-0017-00000083061-i01.jpg

文献AI研究员

20分钟写一篇综述,助力文献阅读效率提升50倍。

立即体验

用中文搜PubMed

大模型驱动的PubMed中文搜索引擎

马上搜索

文档翻译

学术文献翻译模型,支持多种主流文档格式。

立即体验