Suppr超能文献

用于诊断甲状腺脂质瘤的诊断工具:病例报告

Diagnostic Tools Applied to Determine Thyroid Lipoadenoma: A Case Report.

作者信息

Chan Luo-Wei, Chen Jia-Yu, Kao Jui-Ju, Yu Min-Wei, Liang Hsin-Rou

机构信息

Department of Clinical Education and Training, Kaohsiung Medical University Hospital, Kaohsiung, TWN.

Department of Pathology, Kaohsiung Medical University Hospital, Kaohsiung, TWN.

出版信息

Cureus. 2025 Apr 27;17(4):e83096. doi: 10.7759/cureus.83096. eCollection 2025 Apr.

Abstract

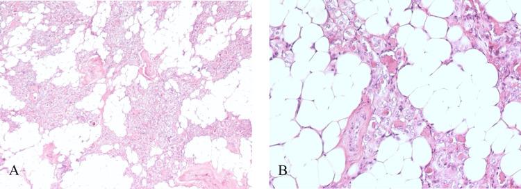
We report a case of thyroid lipoadenoma of the thyroid gland, an extremely rare benign lesion containing both adipose tissue and thyroid tissue. A 74-year-old Chinese female underwent a series of examinations for the incidental thyroid nodule. The sonogram showed a well-encapsulated and hyper-isoechoic nodule in the left thyroid gland. The CT revealed a low-attenuation thyroid nodule without evidence of extrathyroid extension. Fine-needle aspiration (FNA) cytology reported atypia of undetermined significance. As none of these studies could confirm the diagnosis and rule out potential malignancy, the patient ultimately received minimally invasive video-assisted thyroidectomy (MIVAT). Final pathology confirmed the diagnosis of thyroid lipoadenoma, consisting of adipose tissue and follicular cells, with adipose tissue comprising approximately 40% to 50% of the lesion. Common diagnostic tools for thyroid nodules offer limited utility in identifying thyroid lipoadenoma, often requiring thyroidectomy for definitive diagnosis and management.

摘要

我们报告一例甲状腺脂质腺瘤,这是一种极为罕见的良性病变,同时包含脂肪组织和甲状腺组织。一名74岁的中国女性因偶然发现的甲状腺结节接受了一系列检查。超声检查显示左甲状腺有一个边界清晰、等回声为主的高回声结节。CT显示甲状腺结节呈低密度,无甲状腺外侵犯迹象。细针穿刺(FNA)细胞学报告为意义不明确的非典型性病变。由于这些检查均无法确诊并排除潜在恶性肿瘤,该患者最终接受了微创电视辅助甲状腺切除术(MIVAT)。最终病理确诊为甲状腺脂质腺瘤,由脂肪组织和滤泡细胞组成,脂肪组织约占病变的40%至50%。甲状腺结节的常见诊断工具在识别甲状腺脂质腺瘤方面效用有限,通常需要进行甲状腺切除术以明确诊断和治疗。

https://cdn.ncbi.nlm.nih.gov/pmc/blobs/d4c0/12116825/25c29bda8381/cureus-0017-00000083096-i01.jpg

文献AI研究员

20分钟写一篇综述,助力文献阅读效率提升50倍。

立即体验

用中文搜PubMed

大模型驱动的PubMed中文搜索引擎

马上搜索

文档翻译

学术文献翻译模型,支持多种主流文档格式。

立即体验