• 文献检索
  • 文档翻译
  • 深度研究
  • 学术资讯
  • Suppr Zotero 插件Zotero 插件
  • 邀请有礼
  • 套餐&价格
  • 历史记录
应用&插件
Suppr Zotero 插件Zotero 插件浏览器插件Mac 客户端Windows 客户端微信小程序
定价
高级版会员购买积分包购买API积分包
服务
文献检索文档翻译深度研究API 文档MCP 服务
关于我们
关于 Suppr公司介绍联系我们用户协议隐私条款
关注我们

Suppr 超能文献

核心技术专利:CN118964589B侵权必究
粤ICP备2023148730 号-1Suppr @ 2026

文献检索

告别复杂PubMed语法,用中文像聊天一样搜索,搜遍4000万医学文献。AI智能推荐,让科研检索更轻松。

立即免费搜索

文件翻译

保留排版,准确专业,支持PDF/Word/PPT等文件格式,支持 12+语言互译。

免费翻译文档

深度研究

AI帮你快速写综述,25分钟生成高质量综述,智能提取关键信息,辅助科研写作。

立即免费体验

一例达托霉素诱导的嗜酸性粒细胞性肺炎及其治疗见解

A Case of Daptomycin-Induced Eosinophilic Pneumonia and Its Management Insights.

作者信息

Yordanka Diaz Saez, Allena Nishant, Doddi Swetha, Patel Harish, Pandey Neelanjana, Vakde Trupti

机构信息

Pulmonary and Critical Care Medicine, BronxCare Health System, Bronx, USA.

Internal Medicine, BronxCare Health System, Bronx, USA.

出版信息

Cureus. 2025 Apr 29;17(4):e83195. doi: 10.7759/cureus.83195. eCollection 2025 Apr.

DOI:10.7759/cureus.83195
PMID:40443582
原文链接:https://pmc.ncbi.nlm.nih.gov/articles/PMC12121850/
Abstract

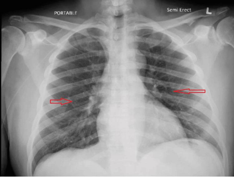
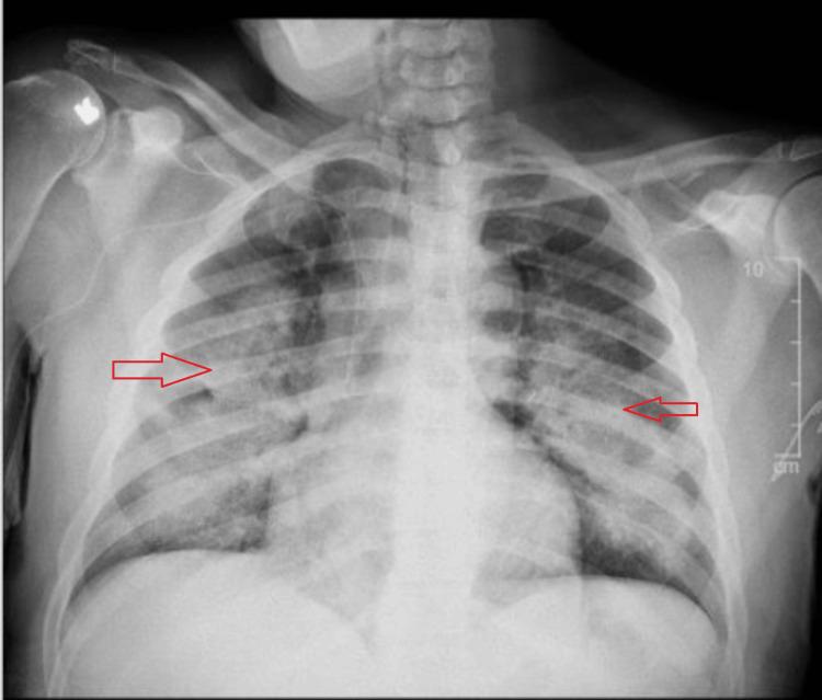
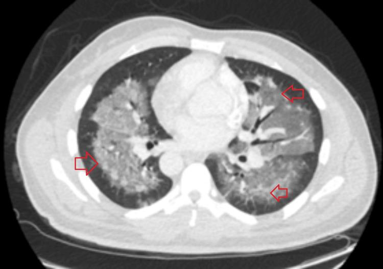
Pulmonary infiltrates, arising from diverse etiologies such as infections, cardiac conditions, or parenchymal diseases, present a diagnostic challenge. Drug-induced pneumonitis, although less common, should be considered, especially when symptoms develop after medication initiation. This case report highlights a rare yet significant complication of antibiotic therapy, daptomycin-induced eosinophilic pneumonia (DIEP). A 56-year-old male with a history of type 2 diabetes mellitus, hypertension, and renal insufficiency presented with pleuritic chest pain and a productive cough for two days. Chest X-ray and CT imaging revealed bilateral scattered airspace opacities and ground-glass opacities, suggesting pneumonia or pulmonary edema. Initially treated for healthcare-associated pneumonia, the patient's condition persisted despite therapy. His medical history included osteomyelitis treated with vancomycin, later switched to daptomycin. Two weeks after the switch, the patient developed new respiratory symptoms. A bronchoalveolar lavage (BAL) was performed to establish the diagnosis of eosinophilic pneumonia. BAL showed >25% eosinophils, confirming daptomycin-induced eosinophilic pneumonia. The antibiotic was discontinued, and prednisone 40 mg daily was initiated, leading to the resolution of symptoms. Daptomycin, an antibiotic commonly used to treat gram-positive infections, can rarely cause eosinophilic pneumonia, a rare adverse reaction characterized by pleuritic chest pain, dyspnea, and diffuse ground-glass opacities on imaging. The mechanism remains unclear but may involve surfactant binding, leading to alveolar epithelial injury. Diagnosis is confirmed through BAL, with eosinophilia greater than 25%. Management consists of discontinuing daptomycin and initiating steroids if necessary. This case underscores the importance of early recognition and prompt discontinuation of the offending drug, along with the use of steroids in cases with severe symptoms. BAL is a key diagnostic tool in confirming drug-induced eosinophilic pneumonia. In conclusion, daptomycin-induced eosinophilic pneumonia is a rare but significant complication requiring vigilance in patients treated with the drug. Early diagnosis and effective management are crucial for achieving favorable outcomes.

摘要

肺部浸润由多种病因引起,如感染、心脏疾病或实质性疾病,这给诊断带来了挑战。药物性肺炎虽不太常见,但也应予以考虑,尤其是在用药后出现症状的情况下。本病例报告强调了抗生素治疗一种罕见但严重的并发症,即达托霉素诱导的嗜酸性粒细胞性肺炎(DIEP)。一名56岁男性,有2型糖尿病、高血压和肾功能不全病史,出现胸膜炎性胸痛和咳痰2天。胸部X线和CT成像显示双侧散在的气腔实变和磨玻璃影,提示肺炎或肺水肿。最初按医疗保健相关肺炎进行治疗,尽管进行了治疗,患者病情仍持续。他的病史包括用万古霉素治疗的骨髓炎,后来改用达托霉素。换药两周后,患者出现了新的呼吸道症状。进行了支气管肺泡灌洗(BAL)以确诊嗜酸性粒细胞性肺炎。BAL显示嗜酸性粒细胞>25%,证实为达托霉素诱导的嗜酸性粒细胞性肺炎。停用抗生素,并开始每日服用40mg泼尼松,症状得以缓解。达托霉素是一种常用于治疗革兰氏阳性感染的抗生素,很少会引起嗜酸性粒细胞性肺炎,这是一种罕见的不良反应,其特征为胸膜炎性胸痛、呼吸困难以及影像学上的弥漫性磨玻璃影。其机制尚不清楚,但可能涉及表面活性剂结合,导致肺泡上皮损伤。通过BAL确诊,嗜酸性粒细胞增多大于25%。处理措施包括停用达托霉素,必要时开始使用类固醇。本病例强调了早期识别和及时停用致病药物的重要性,以及在症状严重的病例中使用类固醇的重要性。BAL是确诊药物性嗜酸性粒细胞性肺炎的关键诊断工具。总之,达托霉素诱导的嗜酸性粒细胞性肺炎是一种罕见但严重的并发症,在用该药物治疗的患者中需要保持警惕。早期诊断和有效管理对于取得良好预后至关重要。

https://cdn.ncbi.nlm.nih.gov/pmc/blobs/b9be/12121850/0c39b384f815/cureus-0017-00000083195-i03.jpg
https://cdn.ncbi.nlm.nih.gov/pmc/blobs/b9be/12121850/85497e8d3f30/cureus-0017-00000083195-i01.jpg
https://cdn.ncbi.nlm.nih.gov/pmc/blobs/b9be/12121850/d6dbf44c560c/cureus-0017-00000083195-i02.jpg
https://cdn.ncbi.nlm.nih.gov/pmc/blobs/b9be/12121850/0c39b384f815/cureus-0017-00000083195-i03.jpg
https://cdn.ncbi.nlm.nih.gov/pmc/blobs/b9be/12121850/85497e8d3f30/cureus-0017-00000083195-i01.jpg
https://cdn.ncbi.nlm.nih.gov/pmc/blobs/b9be/12121850/d6dbf44c560c/cureus-0017-00000083195-i02.jpg
https://cdn.ncbi.nlm.nih.gov/pmc/blobs/b9be/12121850/0c39b384f815/cureus-0017-00000083195-i03.jpg

相似文献

1
A Case of Daptomycin-Induced Eosinophilic Pneumonia and Its Management Insights.一例达托霉素诱导的嗜酸性粒细胞性肺炎及其治疗见解
Cureus. 2025 Apr 29;17(4):e83195. doi: 10.7759/cureus.83195. eCollection 2025 Apr.
2
Daptomycin-Induced Eosinophilic Pneumonia Mimicking Multifocal Pneumonia.达托霉素诱导的嗜酸性粒细胞性肺炎酷似多灶性肺炎。
Cureus. 2022 Oct 20;14(10):e30521. doi: 10.7759/cureus.30521. eCollection 2022 Oct.
3
Rare Lung Malignancy Mimic: A Case of Daptomycin-Induced Acute Eosinophilic Pneumonia.罕见的肺部恶性肿瘤模仿病例:一例达托霉素诱导的急性嗜酸性粒细胞性肺炎
Cureus. 2024 Mar 13;16(3):e56106. doi: 10.7759/cureus.56106. eCollection 2024 Mar.
4
Daptomycin-induced acute eosinophilic pneumonia.达托霉素诱发的急性嗜酸性粒细胞性肺炎。
WMJ. 2014 Oct;113(5):199-201.
5
Daptomycin-Associated Acute Eosinophilic Pneumonia: A Case of a Severe Reaction.达托霉素相关的急性嗜酸性粒细胞性肺炎:一例严重反应病例
Cureus. 2025 Apr 28;17(4):e83157. doi: 10.7759/cureus.83157. eCollection 2025 Apr.
6
Eosinophilic Pneumonia Induced by Daptomycin.达托霉素诱发的嗜酸性粒细胞性肺炎
Cureus. 2024 Feb 27;16(2):e55095. doi: 10.7759/cureus.55095. eCollection 2024 Feb.
7
Eosinophilic pneumonia caused by daptomycin: Six cases from two institutions and a review of the literature.达托霉素引起的嗜酸性粒细胞性肺炎:来自两家机构的6例病例及文献综述
J Infect Chemother. 2017 Apr;23(4):245-249. doi: 10.1016/j.jiac.2016.09.001. Epub 2016 Dec 18.
8
Daptomycin-induced eosinophilic pneumonia.达托霉素诱导的嗜酸性肺炎。
JAAPA. 2024 Apr 1;37(4):1-4. doi: 10.1097/01.JAA.0001005632.20281.96. Epub 2024 Mar 26.
9
Acute Eosinophilic Pneumonia: A Rare Complication of Daptomycin Therapy.急性嗜酸性粒细胞性肺炎:达托霉素治疗的一种罕见并发症。
Cureus. 2020 Jan 28;12(1):e6803. doi: 10.7759/cureus.6803.
10
Diagnosis and Management of Daptomycin-Induced Acute Eosinophilic Pneumonia: A Case Report.达托霉素诱导的急性嗜酸性粒细胞性肺炎的诊断与处理:一例报告
Innov Pharm. 2024 May 31;15(2). doi: 10.24926/iip.v15i2.6200. eCollection 2024.

本文引用的文献

1
Daptomycin eosinophilic pneumonia, a systematic review of the literature and case series.达托霉素嗜酸性粒细胞性肺炎:文献系统评价与病例系列研究
Infection. 2024 Dec;52(6):2145-2168. doi: 10.1007/s15010-024-02349-z. Epub 2024 Jul 19.
2
Acute and chronic eosinophilic pneumonia: an overview.急性和慢性嗜酸性粒细胞性肺炎:综述
Front Med (Lausanne). 2024 Apr 22;11:1355247. doi: 10.3389/fmed.2024.1355247. eCollection 2024.
3
Risk Factors of Daptomycin-Induced Eosinophilic Pneumonia in a Population with Osteoarticular Infection.
骨关节炎感染人群中达托霉素诱导的嗜酸性粒细胞性肺炎的危险因素
Antibiotics (Basel). 2021 Apr 16;10(4):446. doi: 10.3390/antibiotics10040446.
4
Projected Economic Burden of Periprosthetic Joint Infection of the Hip and Knee in the United States.美国人工髋关节和膝关节置换术后假体周围感染的预期经济负担。
J Arthroplasty. 2021 May;36(5):1484-1489.e3. doi: 10.1016/j.arth.2020.12.005. Epub 2020 Dec 9.
5
Effect of Statin Coadministration on the Risk of Daptomycin-Associated Myopathy.他汀类药物合用对达托霉素相关性肌病风险的影响。
Clin Infect Dis. 2018 Oct 15;67(9):1356-1363. doi: 10.1093/cid/ciy287.
6
Adverse events, healthcare interventions and healthcare utilization during home infusion therapy with daptomycin and vancomycin: a propensity score-matched cohort study.达托霉素和万古霉素家庭输注治疗期间的不良事件、医疗保健干预措施及医疗保健利用情况:一项倾向评分匹配队列研究
J Antimicrob Chemother. 2014 May;69(5):1407-15. doi: 10.1093/jac/dkt512. Epub 2014 Jan 6.
7
Drug induced interstitial lung disease.药物性间质性肺疾病
Open Respir Med J. 2012;6:63-74. doi: 10.2174/1874306401206010063. Epub 2012 Jul 27.
8
Eosinophilic pneumonia induced by daptomycin.达托霉素诱发的嗜酸性粒细胞性肺炎。
J Infect. 2007 Apr;54(4):e211-3. doi: 10.1016/j.jinf.2006.11.006. Epub 2007 Jan 17.
9
Nosocomial pneumonia : rationalizing the approach to empirical therapy.医院获得性肺炎:优化经验性治疗方法
Treat Respir Med. 2006;5(1):11-30. doi: 10.2165/00151829-200605010-00002.