• 文献检索
  • 文档翻译
  • 深度研究
  • 学术资讯
  • Suppr Zotero 插件Zotero 插件
  • 邀请有礼
  • 套餐&价格
  • 历史记录
应用&插件
Suppr Zotero 插件Zotero 插件浏览器插件Mac 客户端Windows 客户端微信小程序
定价
高级版会员购买积分包购买API积分包
服务
文献检索文档翻译深度研究API 文档MCP 服务
关于我们
关于 Suppr公司介绍联系我们用户协议隐私条款
关注我们

Suppr 超能文献

核心技术专利:CN118964589B侵权必究
粤ICP备2023148730 号-1Suppr @ 2026

文献检索

告别复杂PubMed语法,用中文像聊天一样搜索,搜遍4000万医学文献。AI智能推荐,让科研检索更轻松。

立即免费搜索

文件翻译

保留排版,准确专业,支持PDF/Word/PPT等文件格式,支持 12+语言互译。

免费翻译文档

深度研究

AI帮你快速写综述,25分钟生成高质量综述,智能提取关键信息,辅助科研写作。

立即免费体验

伊马替尼诱发的复发性胸腔积液

Imatinib-Induced Recurrent Pleural Effusions.

作者信息

Pachika Pranali S, Dande Ranadheer R, Ngo Phuong

机构信息

Hematology and Oncology, University of Louisville, Louisville, USA.

Internal Medicine, Baptist Health Hardin Hospital, Elizabethtown, USA.

出版信息

Cureus. 2025 Apr 28;17(4):e83153. doi: 10.7759/cureus.83153. eCollection 2025 Apr.

DOI:10.7759/cureus.83153
PMID:40443612
原文链接:https://pmc.ncbi.nlm.nih.gov/articles/PMC12121972/
Abstract

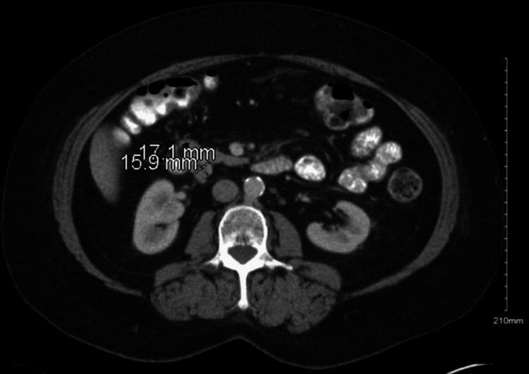
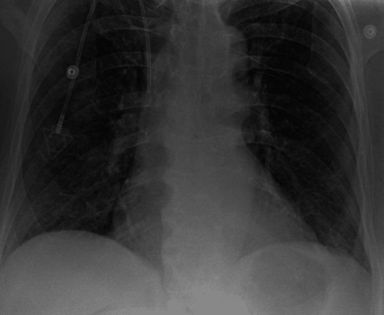
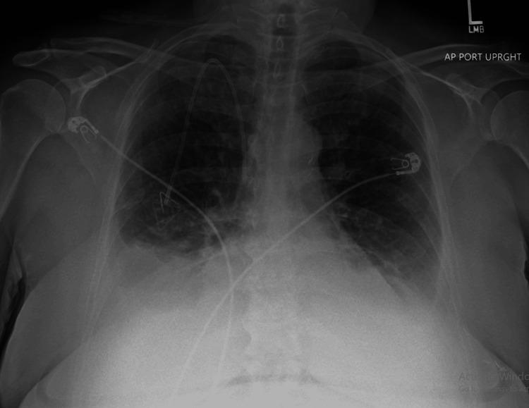
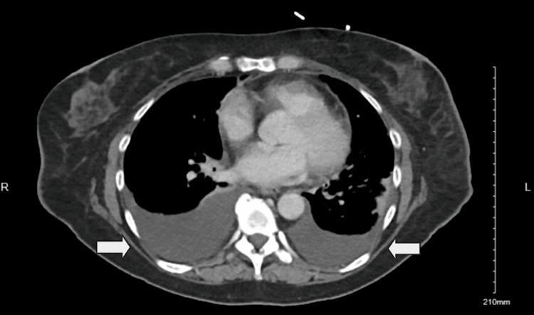
Imatinib, a tyrosine kinase inhibitor, is widely used for treating gastrointestinal stromal tumors (GISTs) and chronic myeloid leukemia (CML). While commonly associated with mild fluid retention, significant pleural effusion is an uncommon but potentially serious adverse effect. We present a case of recurrent pleural effusions secondary to imatinib therapy in a 62-year-old female patient with metastatic lung adenocarcinoma and a concurrent GIST harboring an exon 9 mutation. She was initiated on imatinib 400 mg daily, later increased to twice daily. Within weeks, she developed progressive dyspnea, and imaging revealed large bilateral pleural effusions. Pleural fluid analysis demonstrated an exudative effusion, with cytology and microbiological studies ruling out infection or malignancy. Cardiac function was preserved, and there were no signs of volume overload. She underwent multiple thoracenteses for symptomatic relief. Due to recurrent pleural effusions, imatinib was permanently discontinued, leading to complete resolution of the effusions. Subsequent treatment with sunitinib was not tolerated due to severe mucositis and cytopenias. Despite discontinuation of targeted therapy, both her GIST and metastatic lung cancer remained stable under surveillance. While pleural effusions are frequently reported with dasatinib, they are rare with imatinib. The proposed mechanisms include inhibition of platelet-derived growth factor receptors (PDGFRs), leading to increased vascular permeability, impaired lymphatic drainage, and renal sodium retention. Dose reduction may mitigate fluid retention; however, our patient developed significant pleural effusions at standard dosing, necessitating treatment discontinuation. This case underscores the importance of recognizing pleural effusion as a rare but serious adverse effect of imatinib therapy. Clinicians should maintain a high index of suspicion for drug-induced pleural effusions, particularly in the absence of other etiologies, and consider discontinuation if clinically indicated. Early recognition and management can prevent complications and improve patient outcomes.

摘要

伊马替尼是一种酪氨酸激酶抑制剂,广泛用于治疗胃肠道间质瘤(GIST)和慢性粒细胞白血病(CML)。虽然通常与轻度液体潴留有关,但大量胸腔积液是一种罕见但可能严重的不良反应。我们报告一例62岁女性患者,患有转移性肺腺癌和同时存在外显子9突变的GIST,因伊马替尼治疗继发反复胸腔积液。她开始每天服用400毫克伊马替尼,后来增加到每天两次。几周内,她出现进行性呼吸困难,影像学检查显示双侧大量胸腔积液。胸腔积液分析显示为渗出性积液,细胞学和微生物学研究排除了感染或恶性肿瘤。心脏功能保持正常,没有容量超负荷的迹象。她接受了多次胸腔穿刺以缓解症状。由于反复出现胸腔积液,伊马替尼被永久停用,积液完全消退。随后使用舒尼替尼治疗因严重粘膜炎和血细胞减少而无法耐受。尽管停用了靶向治疗,但在监测下她的GIST和转移性肺癌均保持稳定。虽然达沙替尼经常报告有胸腔积液,但伊马替尼引起的则很少见。推测的机制包括抑制血小板衍生生长因子受体(PDGFR),导致血管通透性增加、淋巴引流受损和肾钠潴留。减少剂量可能减轻液体潴留;然而,我们的患者在标准剂量下出现了大量胸腔积液,需要停药。该病例强调了认识到胸腔积液是伊马替尼治疗罕见但严重的不良反应的重要性。临床医生应高度怀疑药物性胸腔积液,特别是在没有其他病因的情况下,并在临床指征明确时考虑停药。早期识别和管理可以预防并发症并改善患者预后。

https://cdn.ncbi.nlm.nih.gov/pmc/blobs/d990/12121972/4e0d81f515dd/cureus-0017-00000083153-i05.jpg
https://cdn.ncbi.nlm.nih.gov/pmc/blobs/d990/12121972/59219c040d9a/cureus-0017-00000083153-i01.jpg
https://cdn.ncbi.nlm.nih.gov/pmc/blobs/d990/12121972/ad61742e556b/cureus-0017-00000083153-i02.jpg
https://cdn.ncbi.nlm.nih.gov/pmc/blobs/d990/12121972/0d9a142eb26c/cureus-0017-00000083153-i03.jpg
https://cdn.ncbi.nlm.nih.gov/pmc/blobs/d990/12121972/6a793cf400f5/cureus-0017-00000083153-i04.jpg
https://cdn.ncbi.nlm.nih.gov/pmc/blobs/d990/12121972/4e0d81f515dd/cureus-0017-00000083153-i05.jpg
https://cdn.ncbi.nlm.nih.gov/pmc/blobs/d990/12121972/59219c040d9a/cureus-0017-00000083153-i01.jpg
https://cdn.ncbi.nlm.nih.gov/pmc/blobs/d990/12121972/ad61742e556b/cureus-0017-00000083153-i02.jpg
https://cdn.ncbi.nlm.nih.gov/pmc/blobs/d990/12121972/0d9a142eb26c/cureus-0017-00000083153-i03.jpg
https://cdn.ncbi.nlm.nih.gov/pmc/blobs/d990/12121972/6a793cf400f5/cureus-0017-00000083153-i04.jpg
https://cdn.ncbi.nlm.nih.gov/pmc/blobs/d990/12121972/4e0d81f515dd/cureus-0017-00000083153-i05.jpg

相似文献

1
Imatinib-Induced Recurrent Pleural Effusions.伊马替尼诱发的复发性胸腔积液
Cureus. 2025 Apr 28;17(4):e83153. doi: 10.7759/cureus.83153. eCollection 2025 Apr.
2
Recurrent Chylous Pleural Effusions in a Patient Treated With Dasatinib.达沙替尼治疗患者出现复发性乳糜性胸腔积液
Cureus. 2022 Aug 8;14(8):e27778. doi: 10.7759/cureus.27778. eCollection 2022 Aug.
3
Imatinib-Induced Pleuro-Pericardial Effusion and Atrial Fibrillation: An Unusual Side Effect Following the Treatment of a Rare Gastrointestinal Tumor.伊马替尼诱发的胸膜心包积液和心房颤动:一种罕见胃肠道肿瘤治疗后的不寻常副作用。
Cureus. 2023 Apr 17;15(4):e37727. doi: 10.7759/cureus.37727. eCollection 2023 Apr.
4
Imatinib mesylate: in the treatment of gastrointestinal stromal tumours.甲磺酸伊马替尼:用于治疗胃肠道间质瘤。
Drugs. 2003;63(5):513-22; discussion 523-4. doi: 10.2165/00003495-200363050-00005.
5
Pleural effusions due to dasatinib.达沙替尼引起的胸腔积液。
Curr Opin Pulm Med. 2010 Jul;16(4):351-6. doi: 10.1097/MCP.0b013e328338c486.
6
The occurrence and management of fluid retention associated with TKI therapy in CML, with a focus on dasatinib.TKI 治疗相关 CML 液体潴留的发生和管理,重点是达沙替尼。
J Hematol Oncol. 2009 Nov 12;2:46. doi: 10.1186/1756-8722-2-46.
7
Diagnostic Pitfalls of Chylothorax After Dasatinib Treatment of Chronic Myeloid Leukemia.达沙替尼治疗慢性髓性白血病后乳糜胸的诊断陷阱。
Am J Case Rep. 2022 Nov 29;23:e938319. doi: 10.12659/AJCR.938319.
8
Spontaneous regression of dasatinib-related primary effusion lymphoma-like lymphoma.达沙替尼相关性原发性渗出性淋巴瘤样淋巴瘤的自发消退。
Int J Hematol. 2023 Jan;117(1):137-142. doi: 10.1007/s12185-022-03449-y. Epub 2022 Sep 6.
9
Dasatinib-Induced Bilateral Pleural Effusions.达沙替尼诱发双侧胸腔积液。
Cureus. 2022 Apr 7;14(4):e23906. doi: 10.7759/cureus.23906. eCollection 2022 Apr.
10
Pleural/pericardic effusions during dasatinib treatment: incidence, management and risk factors associated to their development.达沙替尼治疗期间的胸腔/心包积液:发生率、处理方法以及与积液发生相关的风险因素。
Expert Opin Drug Saf. 2010 Sep;9(5):713-21. doi: 10.1517/14740331003742935.

本文引用的文献

1
The management of metastatic GIST: current standard and investigational therapeutics.转移性 GIST 的治疗管理:当前标准和研究治疗方法。
J Hematol Oncol. 2021 Jan 5;14(1):2. doi: 10.1186/s13045-020-01026-6.
2
Pulmonary complications of Bcr-Abl tyrosine kinase inhibitors.Bcr-Abl酪氨酸激酶抑制剂的肺部并发症
Eur Respir J. 2020 Oct 29;56(4). doi: 10.1183/13993003.00279-2020. Print 2020 Oct.
3
Pleural Effusion in Adults-Etiology, Diagnosis, and Treatment.成人胸腔积液:病因、诊断与治疗。
Dtsch Arztebl Int. 2019 May 24;116(21):377-386. doi: 10.3238/arztebl.2019.0377.
4
Pleural Effusion in Dasatinib-Treated Patients With Chronic Myeloid Leukemia in Chronic Phase: Identification and Management.达沙替尼治疗的慢性期慢性髓性白血病患者的胸腔积液:识别与管理
Clin Lymphoma Myeloma Leuk. 2017 Feb;17(2):78-82. doi: 10.1016/j.clml.2016.09.012. Epub 2016 Sep 17.
5
Imatinib-induced pleural effusion: A case report.伊马替尼所致胸腔积液:一例报告。
J Postgrad Med. 2017 Jan-Mar;63(1):55-57. doi: 10.4103/0022-3859.194227.
6
Fluid retention associated with imatinib treatment in patients with gastrointestinal stromal tumor: quantitative radiologic assessment and implications for management.胃肠道间质瘤患者伊马替尼治疗相关的液体潴留:定量放射学评估及其对治疗管理的意义
Korean J Radiol. 2015 Mar-Apr;16(2):304-13. doi: 10.3348/kjr.2015.16.2.304. Epub 2015 Feb 27.
7
Pleural effusion in a patient with metastatic gastrointestinal stromal tumor treated with imatinib: case report.伊马替尼治疗转移性胃肠道间质瘤患者并发胸腔积液:病例报告
Future Oncol. 2014 Dec;10(15):2423-7. doi: 10.2217/fon.14.159.
8
Pleural/pericardic effusions during dasatinib treatment: incidence, management and risk factors associated to their development.达沙替尼治疗期间的胸腔/心包积液:发生率、处理方法以及与积液发生相关的风险因素。
Expert Opin Drug Saf. 2010 Sep;9(5):713-21. doi: 10.1517/14740331003742935.
9
Dasatinib 100 mg once daily minimizes the occurrence of pleural effusion in patients with chronic myeloid leukemia in chronic phase and efficacy is unaffected in patients who develop pleural effusion.达沙替尼 100 毫克,每日一次,可最大程度减少慢性期慢性髓性白血病患者胸腔积液的发生,并且对发生胸腔积液的患者的疗效没有影响。
Cancer. 2010 Jan 15;116(2):377-86. doi: 10.1002/cncr.24734.
10
Targeted chronic myeloid leukemia therapy: Seeking a cure.靶向慢性髓性白血病治疗:寻求治愈方法。
Am J Health Syst Pharm. 2007 Dec 15;64(24 Suppl 15):S9-15. doi: 10.2146/ajhp070482.