Suppr超能文献

一名43岁女性,伴有人格改变和异己肢体现象。

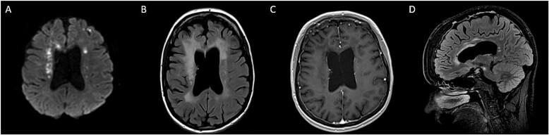
A 43-year-old female with personality changes and alien limb.

作者信息

Zahid Anza, Wszolek Zbigniew K, Alchaki Abdul R

机构信息

Stanley Appel Department of Neurology, Houston Methodist Hospital, Houston, TX, United States.

Department of Neurology, Mayo Clinic, Orlando, FL, United States.

出版信息

Oxf Med Case Reports. 2025 May 28;2025(5):omaf038. doi: 10.1093/omcr/omaf038. eCollection 2025 May.

Abstract

Colony stimulating factor-1 receptor encodes for a tyrosine kinase receptor expressed on microglia. related disorder is a devastating autosomal dominant leukoencephalopathy caused by with variable penetrance in adults. It remains significantly underdiagnosed or misdiagnosed. We report a case of a 43-year-old woman with an insidious onset of neurocognitive decline, alien limb phenomenon, and personality changes over 1 year. In this report we will discuss the clinical approach, differential diagnosis, investigation, and available treatment options for related disorder.

摘要

集落刺激因子-1受体编码一种在小胶质细胞上表达的酪氨酸激酶受体。相关疾病是一种由[具体原因未提及]引起的毁灭性常染色体显性白质脑病,在成年人中具有可变的外显率。它仍然严重诊断不足或误诊。我们报告了一例43岁女性病例,其在1年多时间里隐匿起病,出现神经认知功能下降、异己肢体现象和人格改变。在本报告中,我们将讨论相关疾病的临床处理方法、鉴别诊断、检查及可用的治疗选择。

https://cdn.ncbi.nlm.nih.gov/pmc/blobs/4068/12118061/fbe8a83645e7/omaf038f1.jpg

文献检索

告别复杂PubMed语法,用中文像聊天一样搜索,搜遍4000万医学文献。AI智能推荐,让科研检索更轻松。

立即免费搜索

文件翻译

保留排版,准确专业,支持PDF/Word/PPT等文件格式,支持 12+语言互译。

免费翻译文档

深度研究

AI帮你快速写综述,25分钟生成高质量综述,智能提取关键信息,辅助科研写作。

立即免费体验