• 文献检索
  • 文档翻译
  • 深度研究
  • 学术资讯
  • Suppr Zotero 插件Zotero 插件
  • 邀请有礼
  • 套餐&价格
  • 历史记录
应用&插件
Suppr Zotero 插件Zotero 插件浏览器插件Mac 客户端Windows 客户端微信小程序
定价
高级版会员购买积分包购买API积分包
服务
文献检索文档翻译深度研究API 文档MCP 服务
关于我们
关于 Suppr公司介绍联系我们用户协议隐私条款
关注我们

Suppr 超能文献

核心技术专利:CN118964589B侵权必究
粤ICP备2023148730 号-1Suppr @ 2026

文献检索

告别复杂PubMed语法,用中文像聊天一样搜索,搜遍4000万医学文献。AI智能推荐,让科研检索更轻松。

立即免费搜索

文件翻译

保留排版,准确专业,支持PDF/Word/PPT等文件格式,支持 12+语言互译。

免费翻译文档

深度研究

AI帮你快速写综述,25分钟生成高质量综述,智能提取关键信息,辅助科研写作。

立即免费体验

连接蛋白43通过依赖缝隙连接细胞间通讯的钙/细胞外信号调节激酶信号激活促进肺鳞状细胞癌的侵袭和转移。

Connexin43 Promotes the Invasion and Metastasis of Lung Squamous Cell Carcinoma via GJIC-Dependent Ca/ERK Signaling Activation.

作者信息

Mo Xiaocheng, He Jingchuan, Shen Xiaoju, Li Changsheng, Mo Xiaoxiang, Liang Kai, He Liangjun, Li Tingting, Pan Xiaoqin, Cao Sisi, Mao Naiquan, Xing Shangping, Chen Zhiquan, Luo Zhuo, Yang Jie

机构信息

Department of Pharmacology, School of Pharmacy, Guangxi Medical University, Nanning, Guangxi, People's Republic of China.

Department of Pharmacy, The First Affiliated Hospital of Guangxi Medical University, Nanning, China.

出版信息

Cancer Sci. 2025 Aug;116(8):2086-2100. doi: 10.1111/cas.70076. Epub 2025 May 31.

DOI:10.1111/cas.70076
PMID:40449992
原文链接:https://pmc.ncbi.nlm.nih.gov/articles/PMC12317405/
Abstract

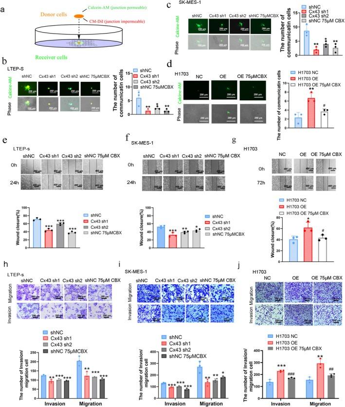
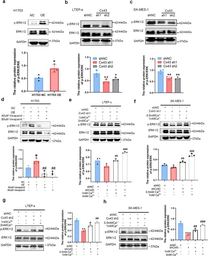
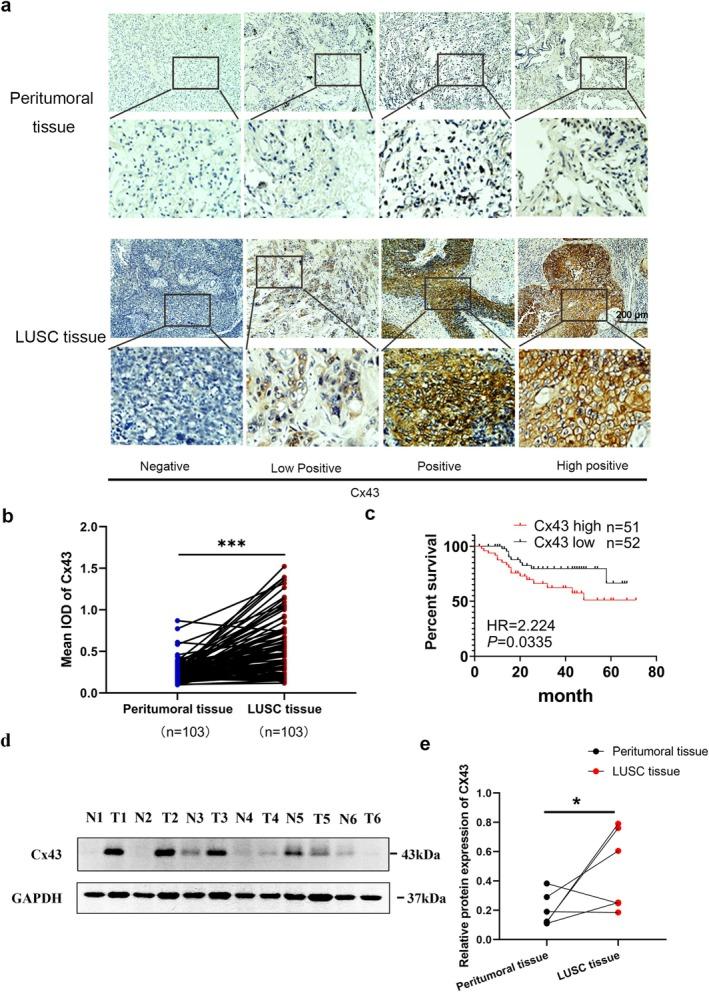
Lung squamous cell carcinoma (LUSC) is an extremely metastatic cancer with limited available treatment and poor outcomes. Connexin43 (Cx43) is frequently overactivated and positively correlated with tumorigenesis in many cancers, including breast cancer and lung adenocarcinoma, but its role in LUSC remains elusive. In this study, we demonstrated that Cx43 was highly expressed in LUSC tissues as compared to matching normal lung tissues (n = 103) and negatively related to prognosis. Through the 3D spheroid cell invasion assay, zCDX (zebrafish cell line-derived xenograft), and orthotopic lung cancer xenograft model, we further revealed that Cx43 promotes LUSC invasion and migration via forming GJIC. Knockdown of Cx43 reduced the Ca transmission and ERK phosphorylation, whereas the addition of Ca enhanced ERK phosphorylation and promoted LUSC invasion and migration. Furthermore, verapamil (40 μM and 80 μM), a calcium channel inhibitor, significantly inhibited ERK phosphorylation as well as the invasion and migration of LUSC cells. Mechanistically, Cx43 promoted the invasion and metastasis of LUSC via activating the Ca/ERK signaling pathway by gap junctional intracellular communication (GJIC). Our findings provide a novel mechanism insight for LUSC invasion and migration and a proof of concept for a new therapeutic strategy to tackle this disease.

摘要

肺鳞状细胞癌(LUSC)是一种具有极高转移性的癌症,可用治疗手段有限,预后较差。连接蛋白43(Cx43)在包括乳腺癌和肺腺癌在内的许多癌症中经常过度激活,且与肿瘤发生呈正相关,但其在LUSC中的作用仍不清楚。在本研究中,我们证明与配对的正常肺组织(n = 103)相比,Cx43在LUSC组织中高表达,且与预后呈负相关。通过三维球体细胞侵袭试验、斑马鱼细胞系衍生异种移植(zCDX)和原位肺癌异种移植模型,我们进一步揭示Cx43通过形成缝隙连接细胞间通讯(GJIC)促进LUSC的侵袭和迁移。敲低Cx43可降低钙传递和ERK磷酸化,而添加钙可增强ERK磷酸化并促进LUSC的侵袭和迁移。此外,钙通道抑制剂维拉帕米(40 μM和80 μM)显著抑制ERK磷酸化以及LUSC细胞的侵袭和迁移。机制上,Cx43通过缝隙连接细胞间通讯(GJIC)激活钙/ERK信号通路促进LUSC的侵袭和转移。我们的研究结果为LUSC的侵袭和迁移提供了新的机制见解,并为治疗该疾病的新治疗策略提供了概念验证。

https://cdn.ncbi.nlm.nih.gov/pmc/blobs/63b0/12317405/004d8fc4b208/CAS-116-2086-g006.jpg
https://cdn.ncbi.nlm.nih.gov/pmc/blobs/63b0/12317405/b785feda8ff6/CAS-116-2086-g007.jpg
https://cdn.ncbi.nlm.nih.gov/pmc/blobs/63b0/12317405/30c9c138ff0e/CAS-116-2086-g008.jpg
https://cdn.ncbi.nlm.nih.gov/pmc/blobs/63b0/12317405/69bca144096d/CAS-116-2086-g001.jpg
https://cdn.ncbi.nlm.nih.gov/pmc/blobs/63b0/12317405/4ed3e9a68696/CAS-116-2086-g003.jpg
https://cdn.ncbi.nlm.nih.gov/pmc/blobs/63b0/12317405/a1a43aba88c3/CAS-116-2086-g010.jpg
https://cdn.ncbi.nlm.nih.gov/pmc/blobs/63b0/12317405/004d8fc4b208/CAS-116-2086-g006.jpg
https://cdn.ncbi.nlm.nih.gov/pmc/blobs/63b0/12317405/b785feda8ff6/CAS-116-2086-g007.jpg
https://cdn.ncbi.nlm.nih.gov/pmc/blobs/63b0/12317405/30c9c138ff0e/CAS-116-2086-g008.jpg
https://cdn.ncbi.nlm.nih.gov/pmc/blobs/63b0/12317405/69bca144096d/CAS-116-2086-g001.jpg
https://cdn.ncbi.nlm.nih.gov/pmc/blobs/63b0/12317405/4ed3e9a68696/CAS-116-2086-g003.jpg
https://cdn.ncbi.nlm.nih.gov/pmc/blobs/63b0/12317405/a1a43aba88c3/CAS-116-2086-g010.jpg
https://cdn.ncbi.nlm.nih.gov/pmc/blobs/63b0/12317405/004d8fc4b208/CAS-116-2086-g006.jpg

相似文献

1
Connexin43 Promotes the Invasion and Metastasis of Lung Squamous Cell Carcinoma via GJIC-Dependent Ca/ERK Signaling Activation.连接蛋白43通过依赖缝隙连接细胞间通讯的钙/细胞外信号调节激酶信号激活促进肺鳞状细胞癌的侵袭和转移。
Cancer Sci. 2025 Aug;116(8):2086-2100. doi: 10.1111/cas.70076. Epub 2025 May 31.
2
SPDYE3 promotes cell cycle and LUSC progression by regulating the CDC25C/CDK1 pathway.SPDYE3通过调节CDC25C/CDK1通路促进细胞周期和肺鳞状细胞癌进展。
Int J Biochem Cell Biol. 2025 Sep;186:106825. doi: 10.1016/j.biocel.2025.106825. Epub 2025 Jun 26.
3
Caveolin-1 inhibits the proliferation and invasion of lung adenocarcinoma via EGFR degradation.小窝蛋白-1通过表皮生长因子受体(EGFR)降解抑制肺腺癌的增殖和侵袭。
Sci Rep. 2025 Jul 1;15(1):21654. doi: 10.1038/s41598-025-05259-8.
4
The role of SH3RF2 in lung squamous cell carcinoma and M2 polarization: insights into LZTS2 ubiquitination.SH3RF2在肺鳞状细胞癌和M2极化中的作用:对LZTS2泛素化的见解
Biol Direct. 2025 Jul 17;20(1):87. doi: 10.1186/s13062-025-00677-0.
5
FHL2 facilitates LUSC growth and therapy resistance through PI3K/AKT/mTOR activation.FHL2通过激活PI3K/AKT/mTOR促进肺鳞状细胞癌的生长和治疗抗性。
J Biol Chem. 2025 Jun 6;301(7):110332. doi: 10.1016/j.jbc.2025.110332.
6
Pterostilbene exerts anti-lung squamous cell carcinoma function by suppressing the level of KANK3.紫檀芪通过抑制 KANK3 水平发挥抗肺鳞癌细胞功能。
Chem Biol Drug Des. 2024 Jul;104(1):e14597. doi: 10.1111/cbdd.14597.
7
[Predictive Value of miRNAs Markers for Advanced Lung Squamous Cell Carcinoma].[微小RNA标志物对晚期肺鳞状细胞癌的预测价值]
Zhongguo Fei Ai Za Zhi. 2025 May 20;28(5):325-333. doi: 10.3779/j.issn.1009-3419.2025.102.16.
8
Integrin αVβ1-activated PYK2 promotes the progression of non-small-cell lung cancer via the STAT3-VGF axis.整合素 αVβ1 激活的 PYK2 通过 STAT3-VGF 轴促进非小细胞肺癌的进展。
Cell Commun Signal. 2024 Jun 6;22(1):313. doi: 10.1186/s12964-024-01639-1.
9
Silencing GRHL3 promotes multiple organ distant metastasis of lung squamous cell carcinoma cells by enhancing SOX2 stability via SIRT1.沉默GRHL3通过SIRT1增强SOX2稳定性促进肺鳞状细胞癌细胞的多器官远处转移。
J Pathol. 2025 Mar;265(3):302-315. doi: 10.1002/path.6385. Epub 2025 Jan 13.
10
TAGLN2 targeted control of ARPC5-mediated activation of the MEK/ERK signaling pathway influences the proliferation, invasion, and metastasis of pancreatic cancer cells.TAGLN2 通过靶向控制 ARPC5 介导的 MEK/ERK 信号通路的激活,影响胰腺癌细胞的增殖、侵袭和转移。
Cell Signal. 2024 Aug;120:111227. doi: 10.1016/j.cellsig.2024.111227. Epub 2024 May 12.

本文引用的文献

1
Deciphering a cell death-associated signature for predicting prognosis and response to immunotherapy in lung squamous cell carcinoma.解析与细胞死亡相关的特征,以预测肺鳞状细胞癌的预后和免疫治疗反应。
Respir Res. 2023 Jul 6;24(1):176. doi: 10.1186/s12931-023-02402-9.
2
Rab32 promotes glioblastoma migration and invasion via regulation of ERK/Drp1-mediated mitochondrial fission.Rab32 通过调控 ERK/Drp1 介导的线粒体分裂促进胶质母细胞瘤迁移和侵袭。
Cell Death Dis. 2023 Mar 15;14(3):198. doi: 10.1038/s41419-023-05721-3.
3
Integrated bioinformatics analyses identifying key transcriptomes correlated with prognosis and immune infiltrations in lung squamous cell carcinoma.
综合生物信息学分析确定与肺鳞状细胞癌预后和免疫浸润相关的关键转录组。
Saudi J Biol Sci. 2023 Apr;30(4):103596. doi: 10.1016/j.sjbs.2023.103596. Epub 2023 Feb 11.
4
Connexin 43-modified bone marrow stromal cells reverse the imatinib resistance of K562 cells via Ca 2+ -dependent gap junction intercellular communication.连接蛋白 43 修饰的骨髓基质细胞通过 Ca 2+ 依赖的缝隙连接细胞间通讯逆转 K562 细胞对伊马替尼的耐药性。
Chin Med J (Engl). 2023 Jan 20;136(2):194-206. doi: 10.1097/CM9.0000000000002554.
5
The roles of connexins and gap junctions in the progression of cancer.缝隙连接蛋白和连接子在癌症进展中的作用。
Cell Commun Signal. 2023 Jan 13;21(1):8. doi: 10.1186/s12964-022-01009-9.
6
Genome-wide identification of gap junction (connexins and pannexins) genes in black rockfish (Sebastes schlegelii): Evolution and immune response mechanism following challenge.黑鲪(Sebastes schlegelii)中缝隙连接(连接蛋白和泛连接蛋白)基因的全基因组鉴定:攻毒后的进化与免疫反应机制
Fish Shellfish Immunol. 2023 Jan;132:108492. doi: 10.1016/j.fsi.2022.108492. Epub 2022 Dec 15.
7
The pro- and anti-tumoral properties of gap junctions in cancer and their role in therapeutic strategies.缝隙连接在癌症中的促肿瘤和抗肿瘤特性及其在治疗策略中的作用。
Redox Biol. 2022 Nov;57:102503. doi: 10.1016/j.redox.2022.102503. Epub 2022 Oct 7.
8
ZIP1 fibroblasts protect lung cancer against chemotherapy via connexin-43 mediated intercellular Zn transfer.ZIP1 成纤维细胞通过连接蛋白 43 介导的细胞间锌转移保护肺癌免受化疗的影响。
Nat Commun. 2022 Oct 7;13(1):5919. doi: 10.1038/s41467-022-33521-4.
9
Connexins orchestrate progression of breast cancer metastasis to the brain by promoting FAK activation.连接蛋白通过促进 FAK 的激活来协调乳腺癌向大脑转移的进展。
Sci Transl Med. 2022 Sep 7;14(661):eaax8933. doi: 10.1126/scitranslmed.aax8933.
10
Clotrimazole Inhibits HCC Migration and Invasion by Modulating the ERK-p65 Signaling Pathway.克霉唑通过调节 ERK-p65 信号通路抑制 HCC 迁移和侵袭。
Drug Des Devel Ther. 2022 Mar 29;16:863-871. doi: 10.2147/DDDT.S354205. eCollection 2022.