Suppr超能文献

暴露于氨环境下的兔卵丘-卵母细胞复合体中长链非编码RNA(LncRNA)与信使核糖核酸(mRNA)的共表达

Co-expression of LncRNA and mRNA in the cumulus-oocyte complex of rabbits exposed to ammonia.

作者信息

Cui Jia, Wu Fengyang, Yang Xinyu, Liu Yanhua, Liu Shudong, Han Shuaijuan, Guo Jiawei, Chen Baojiang

机构信息

School of Life Science and Food Engineering, Hebei University of Engineering, Handan, China.

College of Animal Science and Technology, Hebei Agricultural University, Baoding, China.

出版信息

BMC Vet Res. 2025 Jun 2;21(1):396. doi: 10.1186/s12917-025-04806-9.

Abstract

BACKGROUND

Ammonia (NH) is an environmental pollutant and a potent reproductive stressor widely found in rabbit houses. Exposure to ammonia can result in follicle atresia, affect oocyte maturation and cause cumulus cell apoptosis. Long non-coding RNA (lncRNA) is an important factor in the regulation of cumulus cell development and oocyte maturation. The potential molecular mechanism of NH in the induction of cumulus-oocyte complex (COCs) toxicity and the regulatory role of lncRNA in COCs are currently unclear.

METHODS

A total of 150 female IRA rabbits (35 days old) were randomly divided into three groups, and kept in environmental control rooms for four weeks. The rabbits in the control group (CG) were kept under an NH concentration of < 3 ppm. The two treatment groups were kept under NH concentrations of 10 ppm (low ammonia concentration, LAC) and 30 ppm (high ammonia concentration, HAC). We used a combination of RNA deep sequencing, quantitative real-time polymerase chain reaction (qRT-PCR), and bioinformatic analysis to explore the regulatory mechanism of lncRNA and messenger RNA (mRNA) in COCs.

RESULTS

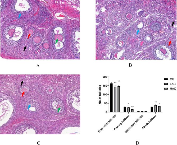
We found that primordial follicles and primary follicles were significantly decreased while atretic follicles were significantly increased in the NH-treated groups. The results from Gene Ontology (GO) items showed that female meiosis sister chromatid cohesion and the regulation of follicle-stimulating hormone secretion were involved in the mechanism of rabbits exposed to NH. The results demonstrated that the mammalian target of the rapamycin (mTOR) signaling pathway and the transforming growth factor-beta (TGF-beta) signaling pathway inhibits germ cell development and follicular growth in the LAC versus the CG group. LncRNAs were involved in the apoptosis of female germ cells via the hypoxia-inducible factor (HIF-1) signaling pathway in the HAC versus the CG group. Co-expression analysis found that lncRNA MAPK3 and lncRNA SHC1 were correlated with changes in cumulus cell and oocyte function after NH exposure.

CONCLUSIONS

These results indicate that NH affected the development and function of COCs by influencing lncRNA expression.

摘要

背景

氨(NH₃)是一种环境污染物,也是一种在兔舍中广泛存在的强效生殖应激源。接触氨会导致卵泡闭锁,影响卵母细胞成熟并引起卵丘细胞凋亡。长链非编码RNA(lncRNA)是调节卵丘细胞发育和卵母细胞成熟的重要因素。目前尚不清楚NH₃诱导卵丘-卵母细胞复合体(COCs)毒性的潜在分子机制以及lncRNA在COCs中的调节作用。

方法

将150只35日龄的雌性IRA兔随机分为三组,在环境控制室饲养四周。对照组(CG)的兔子饲养在NH₃浓度<3 ppm的环境中。两个处理组分别饲养在NH₃浓度为10 ppm(低氨浓度,LAC)和 30 ppm(高氨浓度,HAC)的环境中。我们结合RNA深度测序、定量实时聚合酶链反应(qRT-PCR)和生物信息学分析,以探究lncRNA和信使核糖核酸(mRNA)在COCs中的调控机制。

结果

我们发现,NH₃处理组的原始卵泡和初级卵泡显著减少,而闭锁卵泡显著增加。基因本体论(GO)条目的结果表明,雌性减数分裂姐妹染色单体黏连和促卵泡激素分泌的调节参与了兔子接触NH₃的机制。结果表明,与CG组相比,雷帕霉素哺乳动物靶标(mTOR)信号通路和转化生长因子-β(TGF-β)信号通路在LAC组中抑制生殖细胞发育和卵泡生长。与CG组相比,lncRNA在HAC组中通过缺氧诱导因子(HIF-1)信号通路参与雌性生殖细胞的凋亡。共表达分析发现,lncRNA MAPK3和lncRNA SHC1与NH₃暴露后卵丘细胞和卵母细胞功能的变化相关。

结论

这些结果表明,NH₃通过影响lncRNA表达影响COCs的发育和功能。

https://cdn.ncbi.nlm.nih.gov/pmc/blobs/af49/12128280/1217b1c9153e/12917_2025_4806_Fig2_HTML.jpg

文献检索

告别复杂PubMed语法,用中文像聊天一样搜索,搜遍4000万医学文献。AI智能推荐,让科研检索更轻松。

立即免费搜索

文件翻译

保留排版,准确专业,支持PDF/Word/PPT等文件格式,支持 12+语言互译。

免费翻译文档

深度研究

AI帮你快速写综述,25分钟生成高质量综述,智能提取关键信息,辅助科研写作。

立即免费体验