Suppr超能文献

抑制肿瘤内在的NAT10通过MYC/CDK2/DNMT1途径触发I型干扰素反应来增强抗肿瘤免疫力。

Inhibition of tumor-intrinsic NAT10 enhances antitumor immunity by triggering type I interferon response via MYC/CDK2/DNMT1 pathway.

作者信息

Liu Wan-Cheng, Wei Yi-Hong, Chen Jin-Feng, Xing Xiang-Ling, Jia He-Xiao, Yang Xin-Yu, Huang Ying-Jian, Liu Xiao-Min, Xiao Ke, Guo Xiao-Dong, Can Can, Zhang A-Min, He Na, Zhang Hai-Lei, Ma Dao-Xin

机构信息

Department of Hematology, Qilu Hospital of Shandong University, Jinan, 250012, Shandong, P.R. China.

Department of Clinical Laboratory, Qilu Hospital of Shandong University, Jinan, 250012, Shandong, P.R. China.

出版信息

Nat Commun. 2025 Jun 3;16(1):5154. doi: 10.1038/s41467-025-60293-4.

Abstract

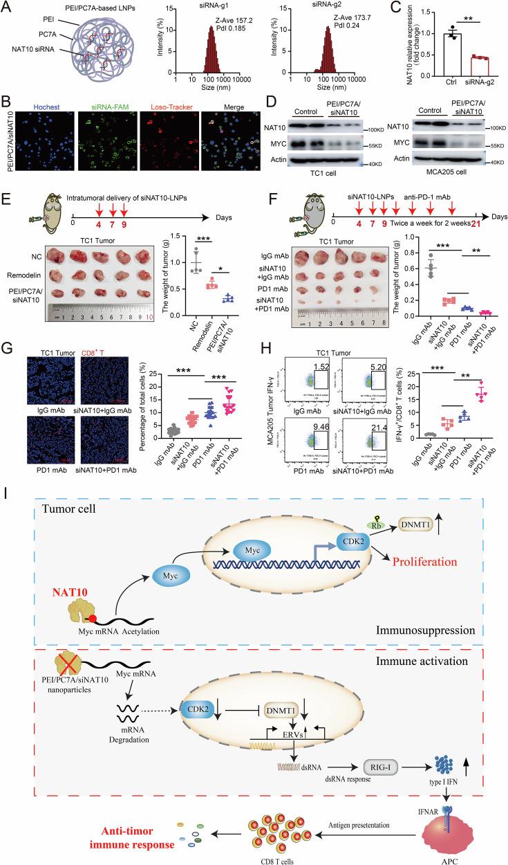
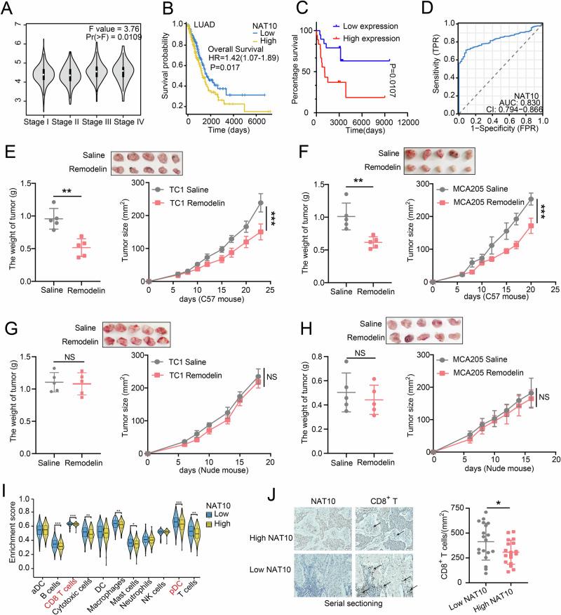
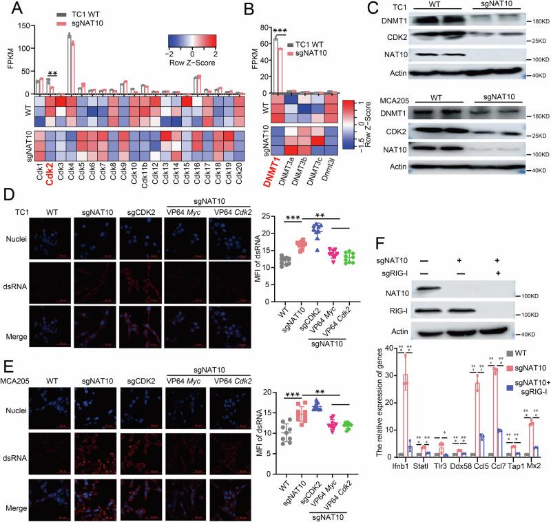
Posttranscriptional modifications are involved in cancer progression. However, the function and regulatory mechanism of mRNA acetylation modification remains largely unknown. Here, we discover an unexpected role of N4-acetylcytidine (ac4C) RNA acetyltransferase NAT10 in reshaping the tumor immune microenvironment. By analyzing patients' data, we find that NAT10 is upregulated in tumor tissues, and negatively correlated with immune cell infiltration and overall survival. Loss of tumoral NAT10 enhances tumor-specific cellular immune response and suppresses tumor growth. Mechanistically, MYC is identified as a key downstream target of NAT10 via enhancing mRNA ac4C modification. Inhibition of NAT10 blocks the MYC/CDK2/DNMT1 pathway, enhances double-stranded RNA (dsRNA) formation, which triggers type I interferon response and improves tumor specific CD8 T cell response in vivo. More importantly, the inhibition of NAT10, using either small molecule inhibitor (Remodelin) or PEI/PC7A/siNAT10 nanoparticles, synergize PD-1 blockade in elevating anti-tumor immune response and repressing tumor progression. Our findings thus uncover the crucial role of tumor-intrinsic NAT10 in tumor immune microenvironment, which represents a promising target for enhancing cancer immunotherapy.

摘要

转录后修饰与癌症进展有关。然而,mRNA乙酰化修饰的功能和调控机制在很大程度上仍不清楚。在此,我们发现N4-乙酰胞苷(ac4C)RNA乙酰转移酶NAT10在重塑肿瘤免疫微环境中具有意想不到的作用。通过分析患者数据,我们发现NAT10在肿瘤组织中上调,且与免疫细胞浸润和总生存期呈负相关。肿瘤NAT10的缺失增强了肿瘤特异性细胞免疫反应并抑制肿瘤生长。机制上,MYC被确定为NAT10的关键下游靶点,通过增强mRNA的ac4C修饰来实现。抑制NAT10可阻断MYC/CDK2/DNMT1通路,增强双链RNA(dsRNA)形成,从而触发I型干扰素反应并改善体内肿瘤特异性CD8 T细胞反应。更重要的是,使用小分子抑制剂(Remodelin)或PEI/PC7A/siNAT10纳米颗粒抑制NAT10,可与PD-1阻断协同作用,增强抗肿瘤免疫反应并抑制肿瘤进展。因此,我们的研究结果揭示了肿瘤内在的NAT10在肿瘤免疫微环境中的关键作用,这代表了增强癌症免疫治疗的一个有前景的靶点。

https://cdn.ncbi.nlm.nih.gov/pmc/blobs/f760/12134272/a156eca6520f/41467_2025_60293_Fig1_HTML.jpg

文献检索

告别复杂PubMed语法,用中文像聊天一样搜索,搜遍4000万医学文献。AI智能推荐,让科研检索更轻松。

立即免费搜索

文件翻译

保留排版,准确专业,支持PDF/Word/PPT等文件格式,支持 12+语言互译。

免费翻译文档

深度研究

AI帮你快速写综述,25分钟生成高质量综述,智能提取关键信息,辅助科研写作。

立即免费体验