Suppr超能文献

左十二指肠旁疝:肠梗阻中具有挑战性的诊断。

Left Paraduodenal Hernia: A Challenging Diagnosis in Intestinal Obstruction.

作者信息

Alshdaifat Bashar I, Alhayali Deema M, Alani Omar S, Al Sane Hazim I, Rasmi Yaser A

机构信息

General Surgery, Al Qassimi Hospital, Sharjah, ARE.

College of Medicine, University of Sharjah, Sharjah, ARE.

出版信息

Cureus. 2025 May 5;17(5):e83540. doi: 10.7759/cureus.83540. eCollection 2025 May.

Abstract

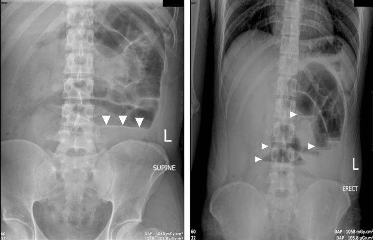
Internal hernias are a rare cause of intestinal obstruction, accounting for a small proportion of cases. Among these, paraduodenal hernias represent a significant subtype and require prompt recognition and intervention to prevent life-threatening complications. We report the case of a 31-year-old male with no significant medical or surgical history who presented with a three-day history of generalized abdominal pain, vomiting, and constipation. Clinical examination revealed abdominal distension, tenderness, and hyperactive bowel sounds. Laboratory findings were unremarkable except for leukocytosis. Abdominal X-ray demonstrated features of small bowel obstruction, and CT imaging identified findings suggestive of a left paraduodenal hernia. Exploratory laparotomy revealed a large encapsulated peritoneal sac originating from the left paraduodenal region and extending into the pelvis. Dilated and edematous but viable small bowel loops were released, and adhesiolysis was performed. A planned second-look surgery two days later confirmed resolution of bowel edema, and the abdomen was closed without complications. Paraduodenal hernias arise from a congenital anomaly involving the mesentery and often present as intermittent or acute bowel obstruction. Diagnosis is challenging due to nonspecific symptoms but can be facilitated by CT imaging. Definitive management involves surgical reduction and repair of the hernia, whether through open or laparoscopic approaches. This case highlights the importance of considering internal hernias in young patients with small bowel obstruction and no prior abdominal surgery. Prompt imaging, timely surgery, and individualized management are crucial for optimal outcomes.

摘要

内疝是肠梗阻的罕见病因,占病例的比例较小。其中,十二指肠旁疝是一种重要的亚型,需要及时识别和干预以预防危及生命的并发症。我们报告一例31岁男性患者,无重大内科或外科病史,出现腹痛、呕吐和便秘3天。临床检查发现腹胀、压痛和肠鸣音亢进。实验室检查除白细胞增多外无异常。腹部X线显示小肠梗阻特征,CT成像发现提示左十二指肠旁疝的表现。剖腹探查发现一个大的包裹性腹膜囊,起源于左十二指肠旁区域并延伸至盆腔。松解扩张、水肿但仍存活的小肠袢,并进行粘连松解术。两天后计划进行的二次探查手术证实肠水肿已消退,腹部闭合无并发症。十二指肠旁疝由涉及肠系膜的先天性异常引起,常表现为间歇性或急性肠梗阻。由于症状不具特异性,诊断具有挑战性,但CT成像有助于诊断。明确的治疗包括通过开放或腹腔镜手术对疝进行复位和修补。该病例强调了在无既往腹部手术史的小肠梗阻年轻患者中考虑内疝的重要性。及时的影像学检查、适时的手术和个体化管理对于取得最佳治疗效果至关重要。

https://cdn.ncbi.nlm.nih.gov/pmc/blobs/0a90/12137200/7083aeb0760e/cureus-0017-00000083540-i01.jpg

文献AI研究员

20分钟写一篇综述,助力文献阅读效率提升50倍。

立即体验

用中文搜PubMed

大模型驱动的PubMed中文搜索引擎

马上搜索

文档翻译

学术文献翻译模型,支持多种主流文档格式。

立即体验