Suppr超能文献

终丝支气管源性囊肿:一例报告及文献复习

Bronchogenic Cyst of the Filum Terminale: A Case Report and Literature Review.

作者信息

Sumayli Ali M, Alzahrani Ahmed J, Aly Mohamed M, Mehrez Mohamed A

机构信息

Neurosurgery, King Khalid Hospital, Najran, SAU.

Neurosurgery, Security Forces Hospital, Riyadh, SAU.

出版信息

Cureus. 2025 May 8;17(5):e83717. doi: 10.7759/cureus.83717. eCollection 2025 May.

Abstract

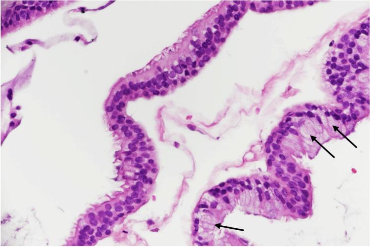
This case report delineates the case of a 35-year-old male patient who has experienced an acute onset of difficulty initiating and evacuating his bladder, with a nine-month background history of gradually progressive low back pain. The patient also had urinary urgency. The MRI spine revealed a well-defined intradural extra-medullary non-enhancing cyst at T12-L1 that measured 1.1 x 1.3 cm and resulted in significant cord compression. There was no other cutaneous, spinal cord, or vertebral abnormality associated. The patient underwent a T12-L1 laminectomy and a gross total excision of the spinal intradural extramedullary cyst, which was observed to be firmly attached to the filum terminale. The opaque fluid was obtained by puncturing the resected cyst. There was no change in the somatosensory evoked potential during the cyst resection. The patient observed a substantial improvement in his voiding habit on the first postoperative day and was discharged two days later. The histological examination verified the diagnosis of a bronchogenic cyst (BC) by demonstrating a benign cyst surrounded by ciliated pseudostratified columnar cells, dispersed Goblet cells, and underlying fibrous tissue. This case represents an example of intraspinal BCs, which are rare intradural extramedullary lesions, most commonly in the cervical or upper thoracic spine. They are slow-growing, and their clinical presentation is variable. Surgical resection remains the primary treatment for symptomatic cases, with gross total resection (GTR) preferred due to its superior outcomes in symptomatic relief and recurrence rates. However, complete resection is often challenging due to the cyst's ventral location or adherence to critical neural structures, emphasizing the importance of electrophysiological monitoring during surgery.

摘要

本病例报告描述了一名35岁男性患者的情况,该患者急性起病,出现排尿起始困难和排尿障碍,伴有9个月逐渐加重的下腰痛病史。患者还伴有尿急症状。脊柱磁共振成像(MRI)显示在T12 - L1水平有一个边界清晰的硬脊膜内髓外无强化囊肿,大小为1.1×1.3厘米,导致明显的脊髓受压。未发现其他相关的皮肤、脊髓或椎体异常。患者接受了T12 - L1椎板切除术及脊髓硬脊膜内髓外囊肿的全切术,术中发现囊肿与终丝紧密相连。通过穿刺切除的囊肿获取了不透明液体。囊肿切除过程中体感诱发电位无变化。患者术后第一天排尿习惯有显著改善,两天后出院。组织学检查通过显示囊肿被纤毛假复层柱状细胞、散在的杯状细胞及下方纤维组织所包绕,确诊为支气管源性囊肿(BC)。本病例代表了脊髓内BC的一个实例,脊髓内BC是罕见的硬脊膜内髓外病变,最常见于颈椎或上胸椎。它们生长缓慢,临床表现多样。手术切除仍然是有症状病例的主要治疗方法,由于全切术在缓解症状和复发率方面效果更佳,因此首选全切术。然而,由于囊肿位于腹侧或与重要神经结构粘连,完整切除往往具有挑战性,这凸显了手术中电生理监测的重要性。

https://cdn.ncbi.nlm.nih.gov/pmc/blobs/d359/12144672/08027900b2ce/cureus-0017-00000083717-i01.jpg

文献AI研究员

20分钟写一篇综述,助力文献阅读效率提升50倍。

立即体验

用中文搜PubMed

大模型驱动的PubMed中文搜索引擎

马上搜索

文档翻译

学术文献翻译模型,支持多种主流文档格式。

立即体验