Moresco Anneke, Agnew Dalen W
Colorado Mesa University, CMU-Tech, Grand Junction, Colorado.
College of Veterinary Medicine, Department of Pathobiology and Diagnostic Investigation, Michigan State University, East Lansing, Michigan.
F S Rep. 2025 Apr 15;6(Suppl 1):32-37. doi: 10.1016/j.xfre.2025.01.010. eCollection 2025 Apr.
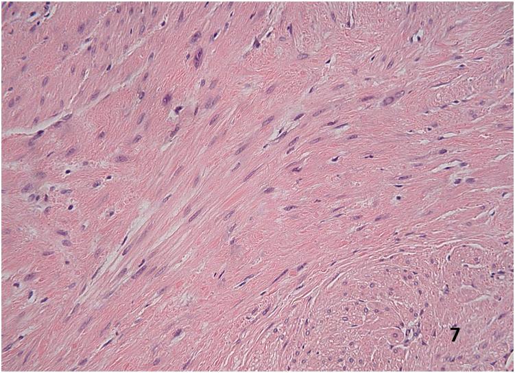
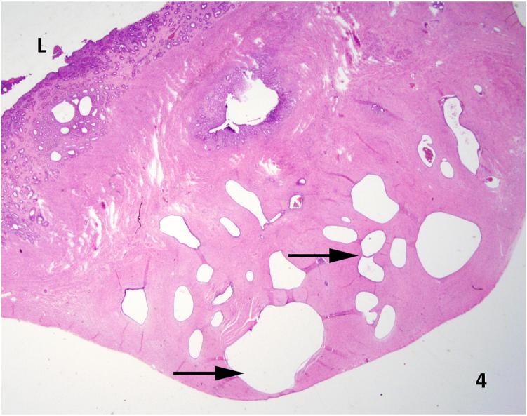
Animal models of human disease have been used for a long time, and frequently, diseases in these models are induced, rather than spontaneous. The present review outlines several examples of naturally occurring reproductive diseases in non-domestic mammals that also occur in humans. Comparative pathology can shed light on risk factors for specific reproductive diseases and can be used to decrease the overall risk in humans. Conversely, human diseases and the extensive literature often available on these can serve as good models for veterinarians to extrapolate for veterinary patients.
人类疾病的动物模型已经使用了很长时间,而且在这些模型中,疾病通常是诱发的,而非自发产生的。本综述概述了一些非家养哺乳动物中自然发生的、在人类中也会出现的生殖系统疾病的例子。比较病理学可以揭示特定生殖系统疾病的风险因素,并可用于降低人类的总体风险。相反,人类疾病以及通常可获得的大量相关文献可以作为兽医推断兽医患者情况的良好模型。