Suppr超能文献

动态对比增强磁共振成像参数与血清标志物在术前直肠癌评估中的比较:联合诊断价值

Comparison of dynamic contrast-enhanced-magnetic resonance imaging parameters and serum markers in preoperative rectal cancer evaluation: Combined diagnostic value.

作者信息

Wang Qun, Zhang Xin-Yu, Yang Jing-Fei, Tao Yi-Lei

机构信息

Department of Radiology, The First People's Hospital of Jiashan, Jiaxing 314000, Zhejiang Province, China.

出版信息

World J Gastrointest Oncol. 2025 May 15;17(5):103809. doi: 10.4251/wjgo.v17.i5.103809.

Abstract

BACKGROUND

Rectal cancer requires accurate preoperative assessment of T stage and differentiation grade for treatment planning. Traditional imaging and serum markers have limitations in diagnostic accuracy.

AIM

To evaluate the predictive value of dynamic contrast-enhanced-magnetic resonance imaging (DCE-MRI) parameters and serum biomarkers [carbohydrate antigen (CA) 19-9, CA125] for determining T stage and differentiation grade in rectal cancer.

METHODS

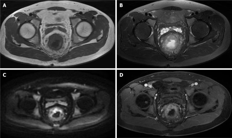
We conducted a retrospective review of clinical data from 126 patients who were pathologically diagnosed with rectal cancer between January 2021 to June 2024. Each patient underwent DCE-MRI scans and serum tests for CA19-9 and CA125. Receiver operating characteristic curves were utilized to assess the diagnostic value of DCE-MRI parameters, including volume transfer constant (Ktrans), rate constant (Kep), and volume fraction of extravascular extracellular space (Ve), as well as serum biomarkers for staging and grading rectal cancer. The DeLong test algorithm was employed to evaluate differences in diagnostic performance among the various indicators.

RESULTS

There were statistically higher levels of Ktrans, Ve, CA19-9, and CA125 serum concentrations of patients with advanced T stages and on poorly differentiated tumors than that in patients with low stages and moderate to high differentiation ( < 0.05). Combined use of Ktrans and Ve for T stage diagnosis showed an area under the curve (AUC) of 0.892 [95% confidence interval (CI): 0.832-0.952], which increased to 0.923 (95%CI: 0.865-0.981) when combined with serum biomarkers. For grades differentiation, the combined DCE-MRI parameters had an AUC of 0.883 (95%CI: 0.821-0.945), which rose to 0.912 (95%CI: 0.855-0.969) when combined with serum markers. According to the Delong test, the combined diagnostic method performed better than a single diagnostic method ( < 0.05).

CONCLUSION

The combined application of DCE-MRI functional parameters and serum tumor markers can significantly improve the diagnostic accuracy of T staging and differentiation degree of rectal cancer, providing a new approach to improve the preoperative assessment system of rectal cancer. This combined diagnostic model has important clinical application value, but further validation is needed through large-scale multicenter studies.

摘要

背景

直肠癌治疗方案的制定需要对T分期和分化程度进行准确的术前评估。传统影像学检查和血清标志物在诊断准确性方面存在局限性。

目的

评估动态对比增强磁共振成像(DCE-MRI)参数和血清生物标志物[糖类抗原(CA)19-9、CA125]在确定直肠癌T分期和分化程度方面的预测价值。

方法

我们回顾性分析了2021年1月至2024年6月间126例经病理诊断为直肠癌患者的临床资料。每位患者均接受了DCE-MRI扫描以及CA19-9和CA125的血清检测。利用受试者工作特征曲线评估DCE-MRI参数的诊断价值,这些参数包括容积转运常数(Ktrans)、速率常数(Kep)和血管外细胞外间隙容积分数(Ve),以及血清生物标志物在直肠癌分期和分级中的诊断价值。采用DeLong检验算法评估各指标在诊断性能上的差异。

结果

T分期较晚和肿瘤分化较差患者的Ktrans、Ve、CA19-9血清浓度及CA125水平在统计学上显著高于T分期较低和中高分化患者(P<0.05)。联合使用Ktrans和Ve进行T分期诊断时曲线下面积(AUC)为0.892[95%置信区间(CI):0.832-0.952],与血清生物标志物联合使用时升至0.923(95%CI:0.865-0.981)。对于分化程度分级,联合DCE-MRI参数的AUC为0.883(95%CI:0.821-0.945),与血清标志物联合使用时升至0.912(95%CI:0.855-0.969)。根据DeLong检验,联合诊断方法的表现优于单一诊断方法(P<0.05)。

结论

DCE-MRI功能参数与血清肿瘤标志物联合应用可显著提高直肠癌T分期和分化程度的诊断准确性,为完善直肠癌术前评估体系提供了新途径。这种联合诊断模型具有重要的临床应用价值,但需要通过大规模多中心研究进一步验证。

https://cdn.ncbi.nlm.nih.gov/pmc/blobs/2b1d/12142251/eb3a205d35fc/103809-g001.jpg

文献AI研究员

20分钟写一篇综述,助力文献阅读效率提升50倍。

立即体验

用中文搜PubMed

大模型驱动的PubMed中文搜索引擎

马上搜索

文档翻译

学术文献翻译模型,支持多种主流文档格式。

立即体验