Suppr超能文献

在唇腭裂合并腭咽闭合不全患者中使用双侧颊肌黏膜瓣的临床结果:病例报告

Clinical outcomes of using bilateral buccinator myomucosal flaps in cleft lip and palate patient with velopharyngeal insufficiency: case report.

作者信息

Park Tae Hyeong, Baek Jin-A, Ko Seung-O

机构信息

Department of Oral and Maxillofacial Surgery, School of Dentistry, Jeonbuk National University Dental Hospital, Jeonju, Korea, Republic of.

出版信息

Maxillofac Plast Reconstr Surg. 2025 Jun 9;47(1):13. doi: 10.1186/s40902-025-00464-x.

Abstract

BACKGROUND

Velopharyngeal insufficiency (VPI) occurs in 5-36% of patients after primary palatorrhaphy for cleft palate, causing hypernasality and nasal emissions due to inadequate velopharyngeal closure. Although various surgical treatments are available, they may present limitations and potential risks, including obstructive sleep apnea. The buccinator myomucosal flap, with a reliable blood supply, provides a versatile option for VPI correction. In addition, it is associated with a low risk of complications, further supporting its safety and applicability in clinical practice. We report successful palatal lengthening using a modified bilateral buccinator myomucosal flap with a buccal fat flap in a 14-year-old patient with persistent VPI despite prior interventions.

CASE PRESENTATION

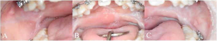
A 14-year-old female with a bilateral complete cleft lip and palate underwent primary cheiloplasty at 3 months and palatorrhaphy at 9 months of age. Despite 10 years of speech therapy and 4 years of speech aid use, hypernasality persisted. To address this, palatal lengthening was performed using bilateral buccinator myomucosal flaps combined with buccal fat flaps. At 1 month postoperatively, partial necrosis of the buccal fat grafts was observed but healed without further complications. At 8 months postoperatively, soft palate elongation exceeding 1 cm was achieved, and nasometric assessments demonstrated nasality reductions of 25.5 percentage points for high vowels (/i/, /wi/) and 19.5 percentage points at the sentence level. In the consonant accuracy evaluation, the patient's word-level accuracy increased from 72.09% preoperatively to 88.37% at 6 months postoperatively. These objective improvements correlated with subjective reports of improved speech and reduced vocal effort.

CONCLUSION

As seen in this case, the combined use of buccinator myomucosal and buccal fat flaps can be a viable surgical option for addressing VPI through soft palate lengthening. This approach can lead to improvement in hypernasality with minimal complications, and its efficacy may be further supported by future long-term follow-up studies involving larger patient populations.

摘要

背景

腭裂一期修复术后,5%-36%的患者会出现腭咽闭合不全(VPI),由于腭咽闭合不足导致鼻音过重和鼻腔漏气。尽管有多种手术治疗方法,但它们可能存在局限性和潜在风险,包括阻塞性睡眠呼吸暂停。颊肌黏膜瓣血供可靠,为VPI矫正提供了一种通用选择。此外,其并发症风险较低,进一步支持了其在临床实践中的安全性和适用性。我们报告了一例14岁患者,尽管之前进行过干预,但仍存在持续性VPI,使用改良双侧颊肌黏膜瓣联合颊脂瓣成功延长腭部的病例。

病例介绍

一名14岁双侧完全性唇腭裂女性患者,3个月时接受了一期唇裂修复术,9个月时接受了腭裂修复术。尽管进行了10年的言语治疗和4年的助音器使用,鼻音过重问题仍然存在。为解决此问题,采用双侧颊肌黏膜瓣联合颊脂瓣进行腭部延长术。术后1个月,观察到颊脂瓣部分坏死,但愈合良好,未出现进一步并发症。术后8个月,软腭延长超过1厘米,鼻音测量评估显示高元音(/i/,/wi/)鼻音降低25.5个百分点,句子水平鼻音降低19.5个百分点。在辅音准确性评估中,患者单词水平的准确性从术前的72.09%提高到术后6个月的88.37%。这些客观改善与言语改善和发声努力减少的主观报告相关。

结论

如本病例所示,联合使用颊肌黏膜瓣和颊脂瓣通过延长软腭来解决VPI可能是一种可行的手术选择。这种方法可以在并发症最少的情况下改善鼻音过重,未来涉及更大患者群体的长期随访研究可能会进一步支持其疗效。

https://cdn.ncbi.nlm.nih.gov/pmc/blobs/a702/12149031/33627db11fee/40902_2025_464_Fig1_HTML.jpg

文献检索

告别复杂PubMed语法,用中文像聊天一样搜索,搜遍4000万医学文献。AI智能推荐,让科研检索更轻松。

立即免费搜索

文件翻译

保留排版,准确专业,支持PDF/Word/PPT等文件格式,支持 12+语言互译。

免费翻译文档

深度研究

AI帮你快速写综述,25分钟生成高质量综述,智能提取关键信息,辅助科研写作。

立即免费体验