• 文献检索
  • 文档翻译
  • 深度研究
  • 学术资讯
  • Suppr Zotero 插件Zotero 插件
  • 邀请有礼
  • 套餐&价格
  • 历史记录
应用&插件
Suppr Zotero 插件Zotero 插件浏览器插件Mac 客户端Windows 客户端微信小程序
定价
高级版会员购买积分包购买API积分包
服务
文献检索文档翻译深度研究API 文档MCP 服务
关于我们
关于 Suppr公司介绍联系我们用户协议隐私条款
关注我们

Suppr 超能文献

核心技术专利:CN118964589B侵权必究
粤ICP备2023148730 号-1Suppr @ 2026

文献检索

告别复杂PubMed语法,用中文像聊天一样搜索,搜遍4000万医学文献。AI智能推荐,让科研检索更轻松。

立即免费搜索

文件翻译

保留排版,准确专业,支持PDF/Word/PPT等文件格式,支持 12+语言互译。

免费翻译文档

深度研究

AI帮你快速写综述,25分钟生成高质量综述,智能提取关键信息,辅助科研写作。

立即免费体验

声动力疗法增强的仿生纳米平台将铁死亡和CD47作为癌症免疫治疗的薄弱环节进行靶向治疗。

Sonodynamic therapy-boosted biomimetic nanoplatform targets ferroptosis and CD47 as vulnerabilities for cancer immunotherapy.

作者信息

Liao Haiqin, Chen Mingyu, Liao Zhipeng, Luo Yi, Chen Sijie, Tan Wanlin, Wang Long, Niu Chengcheng

机构信息

Department of Ultrasound, The Second Xiangya Hospital, Central South University, Changsha, 410011, Hunan, China.

Research Center of Ultrasonography, The Second Xiangya Hospital, Central South University, Changsha, 410011, Hunan, China.

出版信息

J Nanobiotechnology. 2025 Jun 9;23(1):432. doi: 10.1186/s12951-025-03485-w.

DOI:10.1186/s12951-025-03485-w
PMID:40490790
原文链接:https://pmc.ncbi.nlm.nih.gov/articles/PMC12150583/
Abstract

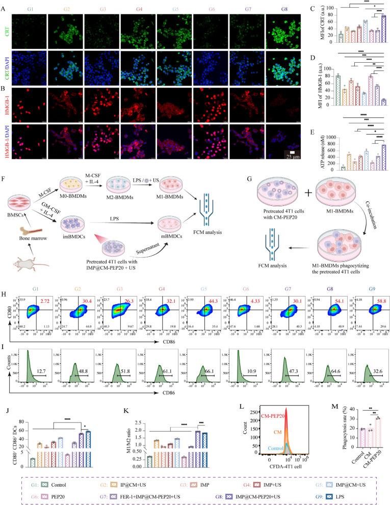
The efficacy of cancer immunotherapy is frequently hindered by the immunosuppressive "cold" tumor microenvironment. Inducing immunogenic cell death (ICD) may address this limitation. Ferroptosis, a form of ICD characterized by iron-dependent lipid peroxidation, has gained attention as a therapeutic target due to its inherent or therapy-induced susceptibility in refractory cancers and resistant tumor microenvironments. CD47, overexpressed on tumor cell membranes, enables immune evasion by suppressing macrophage-mediated surveillance, positioning it as a promising immune checkpoint target for macrophage-driven immunotherapy. Combining ferroptosis induction with CD47 blockade represents a strategic approach to enhance therapeutic outcomes. In this study, we developed a biomimetic nanoplatform-IR780/MnO@PLGA@cell membrane-PEP20 nanoparticles-featuring a shell derived from 4T1 cell membranes conjugated with the CD47-inhibitory peptide PEP20. This design enables tumor-targeted delivery while enhancing macrophage phagocytosis of tumor cells. The MnO core depletes intra-tumoral glutathione, downregulating glutathione peroxidase 4 and accumulating lipid peroxides to trigger ferroptosis. Concurrently, the ultrasound-responsive agent IR780 generates singlet oxygen under ultrasound irradiation, amplifying ferroptosis via oxidative stress. The resultant reactive oxygen species drive M2-to-M1 macrophage repolarization. Ferroptosis-mediated ICD further stimulates dendritic cell antigen presentation, activates cytotoxic T-cell immunity, and establishes durable immune memory. By exploiting tumor defense mechanisms as therapeutic vulnerabilities, this nanoplatform offers an innovative strategy for refractory cancer treatment.

摘要

癌症免疫疗法的疗效常常受到免疫抑制性“冷”肿瘤微环境的阻碍。诱导免疫原性细胞死亡(ICD)或许可以解决这一局限性。铁死亡是一种以铁依赖性脂质过氧化为特征的ICD形式,由于其在难治性癌症和耐药肿瘤微环境中的内在或治疗诱导的易感性,作为一种治疗靶点受到了关注。CD47在肿瘤细胞膜上过度表达,通过抑制巨噬细胞介导的监测实现免疫逃逸,使其成为巨噬细胞驱动的免疫疗法中一个有前景的免疫检查点靶点。将铁死亡诱导与CD47阻断相结合是提高治疗效果的一种策略性方法。在本研究中,我们开发了一种仿生纳米平台——IR780/MnO@PLGA@细胞膜-PEP20纳米颗粒,其外壳源自与CD47抑制肽PEP20偶联的4T1细胞膜。这种设计能够实现肿瘤靶向递送,同时增强巨噬细胞对肿瘤细胞的吞噬作用。MnO核心消耗肿瘤内的谷胱甘肽,下调谷胱甘肽过氧化物酶4并积累脂质过氧化物以触发铁死亡。同时,超声响应剂IR780在超声照射下产生单线态氧,通过氧化应激放大铁死亡。产生的活性氧驱动M2巨噬细胞向M1巨噬细胞重极化。铁死亡介导的ICD进一步刺激树突状细胞的抗原呈递,激活细胞毒性T细胞免疫,并建立持久的免疫记忆。通过利用肿瘤防御机制作为治疗弱点,这种纳米平台为难治性癌症治疗提供了一种创新策略。

https://cdn.ncbi.nlm.nih.gov/pmc/blobs/f64b/12150583/2ec19f8967e7/12951_2025_3485_Fig9_HTML.jpg
https://cdn.ncbi.nlm.nih.gov/pmc/blobs/f64b/12150583/ccee83f2cc82/12951_2025_3485_Fig1_HTML.jpg
https://cdn.ncbi.nlm.nih.gov/pmc/blobs/f64b/12150583/c22e1f5d025c/12951_2025_3485_Fig2_HTML.jpg
https://cdn.ncbi.nlm.nih.gov/pmc/blobs/f64b/12150583/f529d1e96473/12951_2025_3485_Fig3_HTML.jpg
https://cdn.ncbi.nlm.nih.gov/pmc/blobs/f64b/12150583/9a99a250287d/12951_2025_3485_Fig4_HTML.jpg
https://cdn.ncbi.nlm.nih.gov/pmc/blobs/f64b/12150583/de2ebad80a59/12951_2025_3485_Fig5_HTML.jpg
https://cdn.ncbi.nlm.nih.gov/pmc/blobs/f64b/12150583/bdf3a6506cd6/12951_2025_3485_Fig6_HTML.jpg
https://cdn.ncbi.nlm.nih.gov/pmc/blobs/f64b/12150583/7bc7e95f73a7/12951_2025_3485_Fig7_HTML.jpg
https://cdn.ncbi.nlm.nih.gov/pmc/blobs/f64b/12150583/02d8c2cc7d7c/12951_2025_3485_Fig8_HTML.jpg
https://cdn.ncbi.nlm.nih.gov/pmc/blobs/f64b/12150583/2ec19f8967e7/12951_2025_3485_Fig9_HTML.jpg
https://cdn.ncbi.nlm.nih.gov/pmc/blobs/f64b/12150583/ccee83f2cc82/12951_2025_3485_Fig1_HTML.jpg
https://cdn.ncbi.nlm.nih.gov/pmc/blobs/f64b/12150583/c22e1f5d025c/12951_2025_3485_Fig2_HTML.jpg
https://cdn.ncbi.nlm.nih.gov/pmc/blobs/f64b/12150583/f529d1e96473/12951_2025_3485_Fig3_HTML.jpg
https://cdn.ncbi.nlm.nih.gov/pmc/blobs/f64b/12150583/9a99a250287d/12951_2025_3485_Fig4_HTML.jpg
https://cdn.ncbi.nlm.nih.gov/pmc/blobs/f64b/12150583/de2ebad80a59/12951_2025_3485_Fig5_HTML.jpg
https://cdn.ncbi.nlm.nih.gov/pmc/blobs/f64b/12150583/bdf3a6506cd6/12951_2025_3485_Fig6_HTML.jpg
https://cdn.ncbi.nlm.nih.gov/pmc/blobs/f64b/12150583/7bc7e95f73a7/12951_2025_3485_Fig7_HTML.jpg
https://cdn.ncbi.nlm.nih.gov/pmc/blobs/f64b/12150583/02d8c2cc7d7c/12951_2025_3485_Fig8_HTML.jpg
https://cdn.ncbi.nlm.nih.gov/pmc/blobs/f64b/12150583/2ec19f8967e7/12951_2025_3485_Fig9_HTML.jpg

相似文献

1
Sonodynamic therapy-boosted biomimetic nanoplatform targets ferroptosis and CD47 as vulnerabilities for cancer immunotherapy.声动力疗法增强的仿生纳米平台将铁死亡和CD47作为癌症免疫治疗的薄弱环节进行靶向治疗。
J Nanobiotechnology. 2025 Jun 9;23(1):432. doi: 10.1186/s12951-025-03485-w.
2
Oxygen-boosted biomimetic nanoplatform for synergetic phototherapy/ferroptosis activation and reversal of immune-suppressed tumor microenvironment.氧增强仿生纳米平台用于协同光疗/铁死亡激活和逆转免疫抑制的肿瘤微环境。
Biomaterials. 2022 Nov;290:121832. doi: 10.1016/j.biomaterials.2022.121832. Epub 2022 Sep 29.
3
MnO-based nanoparticles remodeling tumor micro-environment to augment sonodynamic immunotherapy against breast cancer.基于MnO的纳米颗粒重塑肿瘤微环境以增强针对乳腺癌的声动力免疫治疗。
Biomater Sci. 2025 May 13;13(10):2767-2782. doi: 10.1039/d5bm00189g.
4
Biomimetic Diselenide-Sonosensitizer Nanoplatform for Enhanced Sonodynamic Therapy and In Situ Remodeling Immunosuppressive Microenvironment via Activating Innate and Adaptive Immunotherapy.用于增强声动力疗法和通过激活固有免疫和适应性免疫疗法原位重塑免疫抑制微环境的仿生二硒化物-声敏剂纳米平台
Adv Healthc Mater. 2025 Mar;14(6):e2403998. doi: 10.1002/adhm.202403998. Epub 2025 Jan 10.
5
Manganese dioxide-based in situ vaccine boosts antitumor immunity via simultaneous activation of immunogenic cell death and the STING pathway.基于二氧化锰的原位疫苗通过同时激活免疫原性细胞死亡和STING通路来增强抗肿瘤免疫力。
Acta Biomater. 2025 Mar 1;194:467-482. doi: 10.1016/j.actbio.2025.01.029. Epub 2025 Jan 18.
6
Multifunctional glycyrrhizic acid-loaded nanoplatform combining ferroptosis induction and HMGB1 blockade for enhanced tumor immunotherapy.多功能负载甘草酸纳米平台结合铁死亡诱导和HMGB1阻断以增强肿瘤免疫治疗
J Nanobiotechnology. 2025 Mar 19;23(1):224. doi: 10.1186/s12951-025-03307-z.
7
An ultrasound-activated nanoplatform remodels tumor microenvironment through diverse cell death induction for improved immunotherapy.超声激活纳米平台通过多种细胞死亡诱导重塑肿瘤微环境,以提高免疫治疗效果。
J Control Release. 2024 Jun;370:501-515. doi: 10.1016/j.jconrel.2024.05.001. Epub 2024 May 9.
8
A Triple-Responsive Polymeric Prodrug Nanoplatform with Extracellular ROS Consumption and Intracellular HO Self-Generation for Imaging-Guided Tumor Chemo-Ferroptosis-Immunotherapy.一种具有细胞外 ROS 消耗和细胞内 HO 自生成功能的三重响应性聚合物前药纳米平台,用于成像引导的肿瘤化学-铁死亡-免疫治疗。
Adv Healthc Mater. 2024 Jun;13(16):e2303568. doi: 10.1002/adhm.202303568. Epub 2024 Feb 13.
9
Nano co-inducer of immunogenic cell death and ferroptosis for anti-tumor immunotherapy.用于抗肿瘤免疫治疗的免疫原性细胞死亡和铁死亡的纳米共诱导剂。
J Colloid Interface Sci. 2025 Nov;697:137980. doi: 10.1016/j.jcis.2025.137980. Epub 2025 May 24.
10
Radiotherapy-sensitized cancer immunotherapy via cGAS-STING immune pathway by activatable nanocascade reaction.通过可激活纳米级联反应激活 cGAS-STING 免疫途径的放射增敏癌症免疫治疗。
J Nanobiotechnology. 2024 May 9;22(1):234. doi: 10.1186/s12951-024-02502-8.

本文引用的文献

1
Total synthesis and target identification of marine cyclopiane diterpenes.海洋环戊烷二萜类化合物的全合成与靶点鉴定
Nat Commun. 2024 Dec 30;15(1):10851. doi: 10.1038/s41467-024-55189-8.
2
Polymeric nanocarrier via metabolism regulation mediates immunogenic cell death with spatiotemporal orchestration for cancer immunotherapy.通过代谢调控的聚合物纳米载体实现免疫原性细胞死亡的时空协调用于癌症免疫治疗。
Nat Commun. 2024 Oct 4;15(1):8586. doi: 10.1038/s41467-024-53010-0.
3
Exploiting ferroptosis vulnerabilities in cancer.利用癌症中的铁死亡脆弱性。
Nat Cell Biol. 2024 Sep;26(9):1407-1419. doi: 10.1038/s41556-024-01425-8. Epub 2024 Jun 10.
4
Carrier-Free Self-Assembly Nano-Sonosensitizers for Sonodynamic-Amplified Cuproptosis-Ferroptosis in Glioblastoma Therapy.无载体自组装纳米声敏剂用于声动力学增强胶质母细胞瘤治疗中的铜死亡-铁死亡。
Adv Sci (Weinh). 2024 Jun;11(23):e2402516. doi: 10.1002/advs.202402516. Epub 2024 Apr 6.
5
Macrophage-derived biomimetic nanoparticles enhanced SDT combined with immunotherapy inhibited tumor growth and metastasis.巨噬细胞衍生的仿生纳米颗粒增强的 SDT 联合免疫疗法抑制肿瘤生长和转移。
Biomaterials. 2024 Mar;305:122456. doi: 10.1016/j.biomaterials.2023.122456. Epub 2024 Jan 5.
6
Nanoparticle-Mediated CD47-SIRPα Blockade and Calreticulin Exposure for Improved Cancer Chemo-Immunotherapy.纳米颗粒介导的 CD47-SIRPα 阻断和钙网蛋白暴露增强癌症化疗免疫治疗。
ACS Nano. 2023 May 23;17(10):8966-8979. doi: 10.1021/acsnano.2c08240. Epub 2023 May 3.
7
Covalent Organic Framework Nanobowls as Activatable Nanosensitizers for Tumor-Specific and Ferroptosis-Augmented Sonodynamic Therapy.共价有机框架纳米碗作为肿瘤特异性和铁死亡增强声动力学治疗的活化纳米敏化剂。
Adv Sci (Weinh). 2023 Feb;10(6):e2206009. doi: 10.1002/advs.202206009. Epub 2023 Jan 3.
8
Targeting drugs to tumours using cell membrane-coated nanoparticles.利用细胞膜包覆的纳米颗粒将药物靶向肿瘤。
Nat Rev Clin Oncol. 2023 Jan;20(1):33-48. doi: 10.1038/s41571-022-00699-x. Epub 2022 Oct 28.
9
Reactive oxygen species-responsive and Raman-traceable hydrogel combining photodynamic and immune therapy for postsurgical cancer treatment.用于术后癌症治疗的活性氧响应和拉曼可追踪水凝胶,结合光动力和免疫治疗。
Nat Commun. 2022 Aug 5;13(1):4553. doi: 10.1038/s41467-022-32160-z.
10
Myeloid cell-targeted therapies for solid tumours.针对实体瘤的髓系细胞靶向疗法。
Nat Rev Immunol. 2023 Feb;23(2):106-120. doi: 10.1038/s41577-022-00737-w. Epub 2022 Jun 13.