Suppr超能文献

经积极钢丝穿透钙化结节后使用旋磨术治疗反复冠状动脉支架内再狭窄:一例报告

An effective treatment for repeated coronary in-stent restenosis using rotational atherectomy after aggressive wire penetration through the calcified nodule: a case report.

作者信息

Tsuru Yasuo, Domei Takenori, Hyodo Makoto, Morofuji Toru, Ando Kenji

机构信息

Department of Cardiology, Kokura Memorial Hospital, Kokura, 3-2-1, Asano, Kokurakita-ku, Kitakyuusyu-shi, Fukuoka 802-8555, Japan.

出版信息

Eur Heart J Case Rep. 2025 Jun 2;9(6):ytaf268. doi: 10.1093/ehjcr/ytaf268. eCollection 2025 Jun.

Abstract

BACKGROUND

Lesions with calcified nodules (CNs) have a significantly higher rate of restenosis. There is no definitive and effective medication or procedural technique to suppress the progression of CNs.

CASE SUMMARY

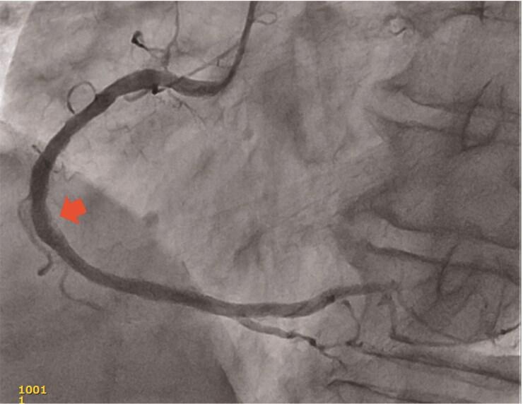
A 71-year-old was referred to our hospital because of typical effort angina pectoris. Diagnostic coronary angiography identified significant severe stenosis in the middle segment of right coronary artery (RCA). In the primary percutaneous coronary intervention (PCI), intravascular ultrasound visualized the eccentric protruding high echoic structure with irregular surface indicating CNs. Percutaneous coronary intervention was successfully performed with rotational atherectomy (RA). However, one year after the PCI, effort angina was recurrent. The patient experienced recurrent restenosis three times, even after repeated PCI using RA and treatment with drug coating balloon. In the fourth PCI, we tried guide wire penetration through the CNs before RA to reduce the more amount of CNs tissue; finally, good patency was achieved. At last, follow-up angiography after final PCI showed no in-stent restenosis.

DISCUSSION

We report a case of a patient who required repeated revascularization to a severe stenotic lesion with CNs in the middle segment of the RCA. Rotational atherectomy after wire penetration into the CNs was effective to avoid a malignant cycle of restenosis.

摘要

背景

伴有钙化结节(CNs)的病变再狭窄率显著更高。目前尚无明确有效的药物或手术技术来抑制CNs的进展。

病例摘要

一名71岁患者因典型劳力性心绞痛转诊至我院。诊断性冠状动脉造影显示右冠状动脉(RCA)中段存在严重的重度狭窄。在初次经皮冠状动脉介入治疗(PCI)中,血管内超声显示出偏心突出的高回声结构,表面不规则,提示为CNs。采用旋磨术(RA)成功完成了经皮冠状动脉介入治疗。然而,PCI术后一年,劳力性心绞痛复发。即使在使用RA重复进行PCI并采用药物涂层球囊治疗后,患者仍三次出现再狭窄复发。在第四次PCI中,我们在RA之前尝试将导丝穿过CNs以减少更多的CNs组织;最终实现了良好的通畅。最后,末次PCI后的随访血管造影显示无支架内再狭窄。

讨论

我们报告了一例患者,其RCA中段伴有CNs的严重狭窄病变需要反复进行血运重建。导丝穿透CNs后进行旋磨术有效地避免了再狭窄的恶性循环。

https://cdn.ncbi.nlm.nih.gov/pmc/blobs/0497/12150021/e8c8950894a0/ytaf268il2.jpg

文献AI研究员

20分钟写一篇综述,助力文献阅读效率提升50倍。

立即体验

用中文搜PubMed

大模型驱动的PubMed中文搜索引擎

马上搜索

文档翻译

学术文献翻译模型,支持多种主流文档格式。

立即体验