Suppr超能文献

单侧突发听力损失作为慢性髓性白血病的首发症状:一例报告及文献综述

Unilateral sudden hearing loss as the first presenting symptom of chronic myeloid leukemia: a case report and literature review.

作者信息

Sun Le, Yin Yue, Guo Xiang, Yu Fan, Xu Jinkun

机构信息

Department of Otorhinolaryngology-Head and Neck Surgery, Beijing Tsinghua Changgung Hospital, School of Clinical Medicine, Tsinghua University, Beijing, China.

Hematology Department, Beijing Tsinghua Changgung Hospital, School of Clinical Medicine, Tsinghua University, Beijing, China.

出版信息

Front Oncol. 2025 May 27;15:1579765. doi: 10.3389/fonc.2025.1579765. eCollection 2025.

Abstract

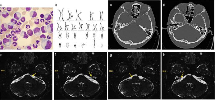
Chronic myeloid leukemia (CML) with sudden deafness as the first symptom is clinically rare and easily overlooked. No conventional treatment for CML-associated sudden hearing loss exists and hearing outcomes remain poor. Here, we describe a case in which sudden unilateral hearing loss was the first presenting symptom in a patient ultimately diagnosed with CML. The patient received imatinib mesylate, sodium bicarbonate, and allopurinol for CML, and systemic and local steroids, hemoreological therapy, and nutritional neurological drugs for hearing loss. Although the patient's CML was effectively controlled, his hearing could not be restored. In the second part of the manuscript, we present the results of a systematic review of case reports of CML-associated sudden hearing loss, identified by screening PubMed, Web of Science, and Medline. Seventeen patients were identified. Hyperviscosity syndrome and labyrinthine artery occlusive infarction were the most common pathogenic mechanisms of hearing loss. In terms of auditory outcomes, eight patients showed no improvement, while nine demonstrated positive outcomes. Among those with improved hearing, four had undergone cochlear implantation, one received intrathecal methotrexate, and one underwent leukoreduction therapy. Aggressive cochlear implantation could improve hearing outcomes in cases where cochlear ossification has not taken place and the leukemia is controlled.

摘要

以突发性耳聋为首发症状的慢性髓系白血病(CML)在临床上较为罕见,容易被忽视。目前尚无针对CML相关性突发性听力损失的常规治疗方法,听力预后仍然较差。在此,我们描述了一例患者,其最初表现为单侧突发性听力损失,最终被诊断为CML。该患者接受了甲磺酸伊马替尼、碳酸氢钠和别嘌醇治疗CML,以及全身性和局部性类固醇、血液学治疗和营养神经药物治疗听力损失。尽管患者的CML得到了有效控制,但其听力未能恢复。在本文的第二部分,我们展示了对通过筛选PubMed、科学网和Medline确定的CML相关性突发性听力损失病例报告的系统评价结果。共确定了17例患者。高黏滞血症和迷路动脉闭塞性梗死是听力损失最常见的致病机制。在听力结果方面,8例患者无改善,而9例显示出阳性结果。在听力改善的患者中,4例接受了人工耳蜗植入,1例接受了鞘内甲氨蝶呤治疗,1例接受了白细胞去除术。在未发生耳蜗骨化且白血病得到控制的情况下,积极的人工耳蜗植入可以改善听力结果。

https://cdn.ncbi.nlm.nih.gov/pmc/blobs/6d5f/12149137/2646d01e31bb/fonc-15-1579765-g001.jpg

文献AI研究员

20分钟写一篇综述,助力文献阅读效率提升50倍。

立即体验

用中文搜PubMed

大模型驱动的PubMed中文搜索引擎

马上搜索

文档翻译

学术文献翻译模型,支持多种主流文档格式。

立即体验