Suppr超能文献

射频消融术治疗各种胰腺肿瘤的安全性和有效性

Safety and Efficacy of Radiofrequency Ablation in Management of Various Pancreatic Neoplasms.

作者信息

Goduguchinta Varshita, Ebrahim Mohamed, Patel Raahi, Randhawa Navkiran, Khalyfa Ahamed, Inamullah Mahnoor, Desai Rahil, Ayub Kamran

机构信息

Franciscan Health, Olympia Fields, IL 60461, USA.

Ascension Saint Joseph Hospital, Chicago, IL 60657, USA.

出版信息

J Clin Med. 2025 Jun 4;14(11):3958. doi: 10.3390/jcm14113958.

Abstract

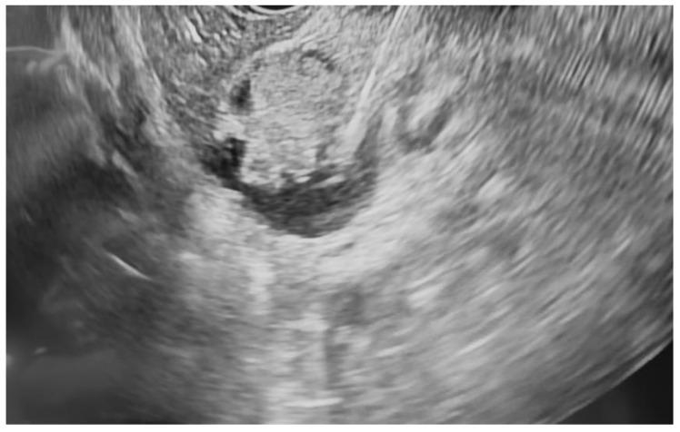
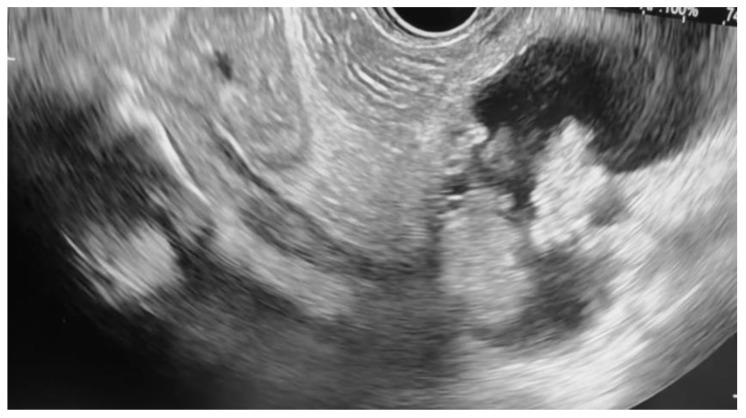
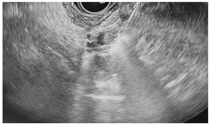
Pancreatic neoplasms, including adenocarcinoma, pancreatic neuroendocrine tumors (pNETs), intraductal papillary mucinous neoplasms (IPMNs), and high-grade cystic lesions, often require surgical resection as a form of curative treatment. However, comorbidities and high-risk features may preclude surgery. Endoscopic ultrasound-guided radiofrequency ablation (EUS-RFA) has emerged as a minimally invasive alternative with proven cytoreductive efficacy in solid tumors. This case series evaluates the safety and efficacy of EUS-RFA in patients with various unresectable, non-metastatic pancreatic neoplasms. A retrospective review was conducted on eight patients who underwent EUS-RFA at our institutions between July 2021 and February 2025. All patients were deemed unsuitable surgical candidates due to comorbidities such as advanced age, cardiovascular disease, renal insufficiency, and COPD or due to patient resistance to surgical intervention. EUS-RFA was performed using a 19-gauge RFA needle (Taewoong Corporation). Follow-up imaging was conducted 3 to 6 months after the completion of RFA treatment. All eight patients demonstrated a good to excellent response in terms of tumor size reduction. The most notable response was observed in a patient with pNET, resulting in complete resolution from 15.6 × 12.0 mm to 0.0 × 0.0 mm after two RFA treatments. Other neoplasms, including pancreatic adenocarcinoma and intraductal papillary mucinous neoplasms (IPMNs), also demonstrated significant reductions. Mild post-procedure complications, including pancreatitis and abdominal pain, were noted in three cases. EUS-RFA is a promising alternative for managing unresectable pancreatic neoplasms in high-risk patients. Our findings support its use across various tumor types with favorable outcomes and minimal complications, reinforcing its role in expanding therapeutic options beyond surgery.

摘要

胰腺肿瘤,包括腺癌、胰腺神经内分泌肿瘤(pNETs)、导管内乳头状黏液性肿瘤(IPMNs)和高级别囊性病变,通常需要手术切除作为一种根治性治疗方式。然而,合并症和高风险特征可能使手术无法进行。内镜超声引导下射频消融术(EUS-RFA)已成为一种微创替代方法,在实体肿瘤中具有已被证实的减瘤疗效。本病例系列评估了EUS-RFA在各种无法切除的非转移性胰腺肿瘤患者中的安全性和有效性。对2021年7月至2025年2月期间在我们机构接受EUS-RFA治疗的8例患者进行了回顾性研究。所有患者均因高龄、心血管疾病、肾功能不全和慢性阻塞性肺疾病等合并症或患者对手术干预的抗拒而被认为不适合手术。使用19号射频消融针(太永公司)进行EUS-RFA。在射频消融治疗完成后3至6个月进行随访成像。所有8例患者在肿瘤缩小方面均表现出良好至优异的反应。在1例pNET患者中观察到最显著的反应,经过两次射频消融治疗后,肿瘤从15.6×12.0毫米完全消退至0.0×0.0毫米。其他肿瘤,包括胰腺腺癌和导管内乳头状黏液性肿瘤(IPMNs),也表现出显著缩小。3例患者出现了轻度术后并发症,包括胰腺炎和腹痛。EUS-RFA是管理高危患者无法切除的胰腺肿瘤的一种有前景的替代方法。我们的研究结果支持其在各种肿瘤类型中的应用,具有良好的疗效和最小的并发症,强化了其在扩展手术以外治疗选择方面的作用。

https://cdn.ncbi.nlm.nih.gov/pmc/blobs/4479/12156178/d01009481ad5/jcm-14-03958-g001.jpg

文献检索

告别复杂PubMed语法,用中文像聊天一样搜索,搜遍4000万医学文献。AI智能推荐,让科研检索更轻松。

立即免费搜索

文件翻译

保留排版,准确专业,支持PDF/Word/PPT等文件格式,支持 12+语言互译。

免费翻译文档

深度研究

AI帮你快速写综述,25分钟生成高质量综述,智能提取关键信息,辅助科研写作。

立即免费体验