• 文献检索
  • 文档翻译
  • 深度研究
  • 学术资讯
  • Suppr Zotero 插件Zotero 插件
  • 邀请有礼
  • 套餐&价格
  • 历史记录
应用&插件
Suppr Zotero 插件Zotero 插件浏览器插件Mac 客户端Windows 客户端微信小程序
定价
高级版会员购买积分包购买API积分包
服务
文献检索文档翻译深度研究API 文档MCP 服务
关于我们
关于 Suppr公司介绍联系我们用户协议隐私条款
关注我们

Suppr 超能文献

核心技术专利:CN118964589B侵权必究
粤ICP备2023148730 号-1Suppr @ 2026

文献检索

告别复杂PubMed语法,用中文像聊天一样搜索,搜遍4000万医学文献。AI智能推荐,让科研检索更轻松。

立即免费搜索

文件翻译

保留排版,准确专业,支持PDF/Word/PPT等文件格式,支持 12+语言互译。

免费翻译文档

深度研究

AI帮你快速写综述,25分钟生成高质量综述,智能提取关键信息,辅助科研写作。

立即免费体验

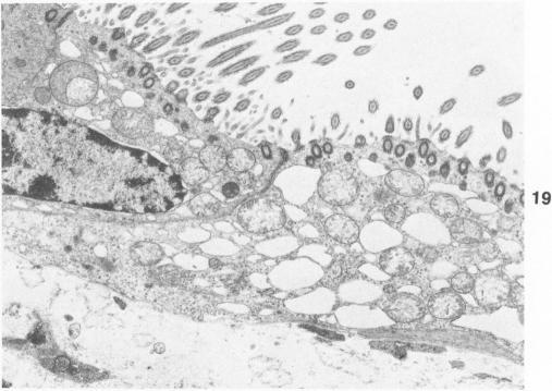
3-甲基吲哚在小鼠中诱导产生的肺部病变。

Pulmonary lesions induced by 3-methylindole in mice.

作者信息

Durham S K, Castleman W L

出版信息

Am J Pathol. 1985 Oct;121(1):128-37.

PMID:4050971
原文链接:https://pmc.ncbi.nlm.nih.gov/articles/PMC1888027/
Abstract

The morphogenesis of pulmonary lesions and associated edema induced by the pulmonary toxicant 3-methylindole (3-MI) was studied by combined light and transmission electron microscopy. Weanling male CD-1 mice received 3-MI dissolved in corn oil by intraperitoneal injection and were studied at intervals from 2 to 360 hours after treatment. Interstitial edema was observed as early as 2 hours and was associated with focal cytoplasmic swelling and membrane alterations in both capillary endothelial cells and Type I alveolar epithelial cells and with sequestration of neutrophils. Cell swelling, cytoplasmic fragmentation, and necrosis of Type I epithelial cells was most severe at 24-48 hours after treatment. Multifocal hypertrophy and hyperplasia of Type II alveolar epithelial cells was observed at 24-96 hours after treatment. Platelet aggregation and aggregates of fibrin were frequently observed in capillaries and small arteries and veins as early as 4 hours and as late as 48 hours after treatment. In airways, the nonciliated bronchiolar epithelial (Clara) cell was the predominant cell affected. Initial lesions in nonciliated cells consisted of loss of microvilli and secretory granules followed by marked swelling of the endoplasmic reticulum and mitochondria. Necrosis of cells lining airways was most pronounced at 24-48 hours after treatment. By 144 hours after administration, pulmonary repair was complete. It is concluded that the mouse is a useful model of 3-MI-induced pulmonary injury and that damage to both Type I alveolar epithelial cells and capillary endothelial cells is important in the pathogenesis of 3-MI-induced pulmonary edema.

摘要

通过光学显微镜和透射电子显微镜相结合的方法,研究了肺部毒物3-甲基吲哚(3-MI)诱导的肺部病变及相关水肿的形态发生过程。断奶雄性CD-1小鼠腹腔注射溶于玉米油的3-MI,并在处理后2至360小时内定期进行研究。早在2小时就观察到间质水肿,其与毛细血管内皮细胞和I型肺泡上皮细胞的局灶性细胞质肿胀、膜改变以及中性粒细胞的隔离有关。I型上皮细胞的细胞肿胀、细胞质碎片化和坏死在处理后24至48小时最为严重。在处理后24至96小时观察到II型肺泡上皮细胞的多灶性肥大和增生。早在处理后4小时和晚至48小时,在毛细血管和小动脉及静脉中经常观察到血小板聚集和纤维蛋白聚集体。在气道中,无纤毛细支气管上皮(克拉拉)细胞是受影响的主要细胞。无纤毛细胞的初始病变包括微绒毛和分泌颗粒的丧失,随后是内质网和线粒体的明显肿胀。气道内衬细胞的坏死在处理后24至48小时最为明显。给药后144小时,肺部修复完成。结论是,小鼠是3-MI诱导的肺损伤的有用模型,I型肺泡上皮细胞和毛细血管内皮细胞的损伤在3-MI诱导的肺水肿发病机制中起重要作用。

https://cdn.ncbi.nlm.nih.gov/pmc/blobs/09fa/1888027/eb760a53ffc2/amjpathol00163-0144-d.jpg
https://cdn.ncbi.nlm.nih.gov/pmc/blobs/09fa/1888027/fa9310494e99/amjpathol00163-0138-a.jpg
https://cdn.ncbi.nlm.nih.gov/pmc/blobs/09fa/1888027/11fe9bf9f934/amjpathol00163-0138-b.jpg
https://cdn.ncbi.nlm.nih.gov/pmc/blobs/09fa/1888027/c5a51b938f7d/amjpathol00163-0138-c.jpg
https://cdn.ncbi.nlm.nih.gov/pmc/blobs/09fa/1888027/29230a1b4b99/amjpathol00163-0138-d.jpg
https://cdn.ncbi.nlm.nih.gov/pmc/blobs/09fa/1888027/fc19d1058b1b/amjpathol00163-0138-e.jpg
https://cdn.ncbi.nlm.nih.gov/pmc/blobs/09fa/1888027/c6586e02afc8/amjpathol00163-0138-f.jpg
https://cdn.ncbi.nlm.nih.gov/pmc/blobs/09fa/1888027/06ea0c8cfc9c/amjpathol00163-0139-a.jpg
https://cdn.ncbi.nlm.nih.gov/pmc/blobs/09fa/1888027/79d2c11fd31d/amjpathol00163-0139-b.jpg
https://cdn.ncbi.nlm.nih.gov/pmc/blobs/09fa/1888027/b50c3fbfad7f/amjpathol00163-0140-a.jpg
https://cdn.ncbi.nlm.nih.gov/pmc/blobs/09fa/1888027/4b8d1389586f/amjpathol00163-0140-b.jpg
https://cdn.ncbi.nlm.nih.gov/pmc/blobs/09fa/1888027/ab7b8c2dc5e1/amjpathol00163-0141-a.jpg
https://cdn.ncbi.nlm.nih.gov/pmc/blobs/09fa/1888027/cccca8b925d4/amjpathol00163-0142-a.jpg
https://cdn.ncbi.nlm.nih.gov/pmc/blobs/09fa/1888027/321a5e7f45b3/amjpathol00163-0142-b.jpg
https://cdn.ncbi.nlm.nih.gov/pmc/blobs/09fa/1888027/8a229da407d7/amjpathol00163-0142-c.jpg
https://cdn.ncbi.nlm.nih.gov/pmc/blobs/09fa/1888027/b1e552eef6ee/amjpathol00163-0143-a.jpg
https://cdn.ncbi.nlm.nih.gov/pmc/blobs/09fa/1888027/34fa23bbe1f6/amjpathol00163-0144-a.jpg
https://cdn.ncbi.nlm.nih.gov/pmc/blobs/09fa/1888027/05bc6e503dff/amjpathol00163-0144-b.jpg
https://cdn.ncbi.nlm.nih.gov/pmc/blobs/09fa/1888027/bc2b283a5b63/amjpathol00163-0144-c.jpg
https://cdn.ncbi.nlm.nih.gov/pmc/blobs/09fa/1888027/eb760a53ffc2/amjpathol00163-0144-d.jpg
https://cdn.ncbi.nlm.nih.gov/pmc/blobs/09fa/1888027/fa9310494e99/amjpathol00163-0138-a.jpg
https://cdn.ncbi.nlm.nih.gov/pmc/blobs/09fa/1888027/11fe9bf9f934/amjpathol00163-0138-b.jpg
https://cdn.ncbi.nlm.nih.gov/pmc/blobs/09fa/1888027/c5a51b938f7d/amjpathol00163-0138-c.jpg
https://cdn.ncbi.nlm.nih.gov/pmc/blobs/09fa/1888027/29230a1b4b99/amjpathol00163-0138-d.jpg
https://cdn.ncbi.nlm.nih.gov/pmc/blobs/09fa/1888027/fc19d1058b1b/amjpathol00163-0138-e.jpg
https://cdn.ncbi.nlm.nih.gov/pmc/blobs/09fa/1888027/c6586e02afc8/amjpathol00163-0138-f.jpg
https://cdn.ncbi.nlm.nih.gov/pmc/blobs/09fa/1888027/06ea0c8cfc9c/amjpathol00163-0139-a.jpg
https://cdn.ncbi.nlm.nih.gov/pmc/blobs/09fa/1888027/79d2c11fd31d/amjpathol00163-0139-b.jpg
https://cdn.ncbi.nlm.nih.gov/pmc/blobs/09fa/1888027/b50c3fbfad7f/amjpathol00163-0140-a.jpg
https://cdn.ncbi.nlm.nih.gov/pmc/blobs/09fa/1888027/4b8d1389586f/amjpathol00163-0140-b.jpg
https://cdn.ncbi.nlm.nih.gov/pmc/blobs/09fa/1888027/ab7b8c2dc5e1/amjpathol00163-0141-a.jpg
https://cdn.ncbi.nlm.nih.gov/pmc/blobs/09fa/1888027/cccca8b925d4/amjpathol00163-0142-a.jpg
https://cdn.ncbi.nlm.nih.gov/pmc/blobs/09fa/1888027/321a5e7f45b3/amjpathol00163-0142-b.jpg
https://cdn.ncbi.nlm.nih.gov/pmc/blobs/09fa/1888027/8a229da407d7/amjpathol00163-0142-c.jpg
https://cdn.ncbi.nlm.nih.gov/pmc/blobs/09fa/1888027/b1e552eef6ee/amjpathol00163-0143-a.jpg
https://cdn.ncbi.nlm.nih.gov/pmc/blobs/09fa/1888027/34fa23bbe1f6/amjpathol00163-0144-a.jpg
https://cdn.ncbi.nlm.nih.gov/pmc/blobs/09fa/1888027/05bc6e503dff/amjpathol00163-0144-b.jpg
https://cdn.ncbi.nlm.nih.gov/pmc/blobs/09fa/1888027/bc2b283a5b63/amjpathol00163-0144-c.jpg
https://cdn.ncbi.nlm.nih.gov/pmc/blobs/09fa/1888027/eb760a53ffc2/amjpathol00163-0144-d.jpg

相似文献

1
Pulmonary lesions induced by 3-methylindole in mice.3-甲基吲哚在小鼠中诱导产生的肺部病变。
Am J Pathol. 1985 Oct;121(1):128-37.
2
Pulmonary endothelial and bronchiolar epithelial lesions induced by 4-ipomeanol in mice.4-异亚丙基丙酮对小鼠肺部内皮细胞和细支气管上皮细胞的损伤
Am J Pathol. 1985 Jan;118(1):66-75.
3
Pulmonary endothelial and alveolar epithelial lesions induced by O,O,S-trimethyl phosphorothioate in rats.大鼠中硫代磷酸O,O,S-三甲基酯诱导的肺内皮和肺泡上皮损伤
J Pathol. 1988 Jul;155(3):247-57. doi: 10.1002/path.1711550311.
4
Ultrastructural pulmonary changes induced by intravenously administered 3-methylindole in goats.静脉注射3-甲基吲哚对山羊肺部造成的超微结构变化
Am J Pathol. 1980 Jun;99(3):551-60.
5
Pulmonary lesions induced by 3-methylindole and bovine respiratory syncytial virus in calves.3-甲基吲哚和牛呼吸道合胞病毒在犊牛中引起的肺部病变
Am J Vet Res. 1990 Nov;51(11):1806-14.
6
3-methylindole-induced pulmonary injury in goats.3-甲基吲哚诱导山羊肺损伤。
Am J Pathol. 1977 Jun;87(3):647-66.
7
Ultrastructural morphogenesis of 4-ipomeanol-induced bronchiolitis and interstitial pneumonia in calves.4-异亚丙基丙酮诱导犊牛细支气管炎和间质性肺炎的超微结构形态发生
Vet Pathol. 1990 May;27(3):141-9. doi: 10.1177/030098589002700301.
8
Pulmonary edema and emphysema in cattle after intraruminal and intravenous administration of 3-methylindole.牛经瘤胃内和静脉内注射3-甲基吲哚后的肺水肿和肺气肿
Am J Vet Res. 1975 Sep;36(9):1341-7.
9
Glycogen accumulation in alveolar type II cells in 3-methylindole--induced pulmonary edema in goats.3-甲基吲哚诱导山羊肺水肿时肺泡Ⅱ型细胞中的糖原积累。
Am J Pathol. 1981 Dec;105(3):255-63.
10
The pathogenesis of bleomycin-induced pulmonary fibrosis in mice.博来霉素诱导的小鼠肺纤维化的发病机制。
Am J Pathol. 1974 Nov;77(2):185-97.

引用本文的文献

1
Effects of intranasal neural stem cells transplantation on olfactory epithelium regeneration in an anosmia-induced mouse model.鼻内神经干细胞移植对嗅觉缺失诱导小鼠模型嗅觉上皮再生的影响。
Sci Rep. 2025 May 16;15(1):17015. doi: 10.1038/s41598-025-01358-8.
2
Site-specific differences in gene expression of secreted proteins in the mouse lung: comparison of methods to show differences by location.小鼠肺部分泌蛋白基因表达的位置特异性差异:比较显示位置差异的方法。
J Histochem Cytochem. 2010 Dec;58(12):1107-19. doi: 10.1369/jhc.2010.956052. Epub 2010 Sep 17.
3
Structural and biochemical changes in lungs of 3-methylindole-treated rats.

本文引用的文献

1
Ultrastructural pulmonary changes induced by intravenously administered 3-methylindole in goats.静脉注射3-甲基吲哚对山羊肺部造成的超微结构变化
Am J Pathol. 1980 Jun;99(3):551-60.
2
Design and testing of a biocontainment system for chemical carcinogens.化学致癌物生物防护系统的设计与测试
J Toxicol Environ Health. 1981 Jan;7(1):1-7. doi: 10.1080/15287398109529953.
3
Pharmacological modulation of the pneumotoxicity of 3-methylindole.3-甲基吲哚肺毒性的药理学调节
3-甲基吲哚处理的大鼠肺部的结构和生化变化
Am J Pathol. 1993 Jan;142(1):129-38.
Biochem Pharmacol. 1982 May 1;31(9):1765-71. doi: 10.1016/0006-2952(82)90682-7.
4
Metabolism and pneumotoxicity of 3-methyloxindole, indole-3-carbinol, and 3-methylindole in goats.山羊体内3-甲基氧化吲哚、吲哚-3-甲醇和3-甲基吲哚的代谢及肺毒性
Am J Vet Res. 1982 Aug;43(8):1418-23.
5
Protective role of endogenous pulmonary glutathione and other sulfhydryl compounds against lung damage by alkylating agents. Investigations with 4-ipomeanol in the rat.内源性肺谷胱甘肽及其他巯基化合物对烷基化剂所致肺损伤的保护作用。用4-异亚丙基丙酮对大鼠进行的研究。
Biochem Pharmacol. 1982 Apr 15;31(8):1579-83. doi: 10.1016/0006-2952(82)90383-5.
6
Leucocytes and pulmonary microvascular injury.白细胞与肺微血管损伤。
Ann N Y Acad Sci. 1982;384:332-43. doi: 10.1111/j.1749-6632.1982.tb21382.x.
7
Intravascular platelet aggregation and pulmonary injury.血管内血小板聚集与肺损伤。
Ann N Y Acad Sci. 1982;384:301-18. doi: 10.1111/j.1749-6632.1982.tb21380.x.
8
Mechanisms of lung vascular injury after intravascular coagulation.血管内凝血后肺血管损伤的机制。
Ann N Y Acad Sci. 1982;384:213-34. doi: 10.1111/j.1749-6632.1982.tb21374.x.
9
The effect of dietary and sulfur compounds in alleviating 3-methylindole-induced pulmonary toxicity in goats.日粮和硫化合物对减轻山羊3-甲基吲哚诱导的肺毒性的影响。
J Nutr. 1983 Sep;113(9):1725-31. doi: 10.1093/jn/113.9.1725.
10
Effects of mixed-function oxidase inducers and inhibitors on cytochrome P-450 content, gel electrophoresis profiles, and 3-methylindole-induced lung toxicity in goats.混合功能氧化酶诱导剂和抑制剂对山羊细胞色素P-450含量、凝胶电泳图谱及3-甲基吲哚所致肺毒性的影响。
Can J Physiol Pharmacol. 1983 Apr;61(4):395-402. doi: 10.1139/y83-060.