• 文献检索
  • 文档翻译
  • 深度研究
  • 学术资讯
  • Suppr Zotero 插件Zotero 插件
  • 邀请有礼
  • 套餐&价格
  • 历史记录
应用&插件
Suppr Zotero 插件Zotero 插件浏览器插件Mac 客户端Windows 客户端微信小程序
定价
高级版会员购买积分包购买API积分包
服务
文献检索文档翻译深度研究API 文档MCP 服务
关于我们
关于 Suppr公司介绍联系我们用户协议隐私条款
关注我们

Suppr 超能文献

核心技术专利:CN118964589B侵权必究
粤ICP备2023148730 号-1Suppr @ 2026

文献检索

告别复杂PubMed语法,用中文像聊天一样搜索,搜遍4000万医学文献。AI智能推荐,让科研检索更轻松。

立即免费搜索

文件翻译

保留排版,准确专业,支持PDF/Word/PPT等文件格式,支持 12+语言互译。

免费翻译文档

深度研究

AI帮你快速写综述,25分钟生成高质量综述,智能提取关键信息,辅助科研写作。

立即免费体验

表现为尿潴留的膀胱继发性淀粉样变性

Secondary Amyloidosis of the Urinary Bladder Presenting As Urinary Retention.

作者信息

MacNevin Wyatt, Bethune Ainsley, Wang Cheng, Cox Ashley

机构信息

Department of Urology, Dalhousie University, Halifax, CAN.

Department of Family Medicine, Dalhousie University, Halifax, CAN.

出版信息

Cureus. 2025 May 14;17(5):e84096. doi: 10.7759/cureus.84096. eCollection 2025 May.

DOI:10.7759/cureus.84096
PMID:40519403
原文链接:https://pmc.ncbi.nlm.nih.gov/articles/PMC12164731/
Abstract

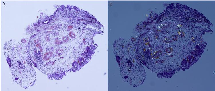
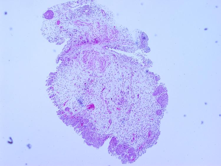
Bladder amyloidosis is a rare condition of insoluble extracellular protein deposition in the urinary bladder arising as a complication of underlying inflammation and immune dyscrasia. Diagnosis of bladder amyloidosis is done through cystoscopy and evidence of amyloid deposition on pathologic evaluation. Here, we present a case of secondary bladder amyloidosis presenting with acute urinary retention. After ruling out bladder malignancy, the patient was managed with suprapubic catheterization after failing beta-3 agonist therapy and clean intermittent catheterization.

摘要

膀胱淀粉样变性是一种罕见的疾病,表现为不溶性细胞外蛋白质在膀胱内沉积,是潜在炎症和免疫失调的并发症。膀胱淀粉样变性的诊断通过膀胱镜检查以及病理评估中淀粉样沉积的证据来进行。在此,我们报告一例以急性尿潴留为表现的继发性膀胱淀粉样变性病例。排除膀胱恶性肿瘤后,患者在β-3激动剂治疗及清洁间歇性导尿失败后,接受了耻骨上膀胱造瘘术治疗。

https://cdn.ncbi.nlm.nih.gov/pmc/blobs/c2ed/12164731/c7ca3b7c91aa/cureus-0017-00000084096-i02.jpg
https://cdn.ncbi.nlm.nih.gov/pmc/blobs/c2ed/12164731/81fe042979f1/cureus-0017-00000084096-i01.jpg
https://cdn.ncbi.nlm.nih.gov/pmc/blobs/c2ed/12164731/c7ca3b7c91aa/cureus-0017-00000084096-i02.jpg
https://cdn.ncbi.nlm.nih.gov/pmc/blobs/c2ed/12164731/81fe042979f1/cureus-0017-00000084096-i01.jpg
https://cdn.ncbi.nlm.nih.gov/pmc/blobs/c2ed/12164731/c7ca3b7c91aa/cureus-0017-00000084096-i02.jpg

相似文献

1
Secondary Amyloidosis of the Urinary Bladder Presenting As Urinary Retention.表现为尿潴留的膀胱继发性淀粉样变性
Cureus. 2025 May 14;17(5):e84096. doi: 10.7759/cureus.84096. eCollection 2025 May.
2
Localized Urinary Bladder Amyloidosis as Urothelial Cancer Mimicker: A Case Series Examining Cystoscopic, Histologic, and Cytologic Findings.
Arch Pathol Lab Med. 2025 Feb 1;149(2):191-194. doi: 10.5858/arpa.2023-0559-OA.
3
Primary bladder amyloidosis.原发性膀胱淀粉样变性
Intern Med. 2014;53(21):2511-3. doi: 10.2169/internalmedicine.53.2903. Epub 2014 Nov 1.
4
Primary localized amyloidosis of urinary bladder: a case report and review of literature.膀胱原发性局限性淀粉样变性:一例报告并文献复习
Nephrourol Mon. 2013 Nov;5(5):994-6. doi: 10.5812/numonthly.10870. Epub 2013 Nov 13.
5
Occlusive dressing therapy using dimethyl sulfoxide in a patient presenting with primary localized amyloidosis of the urinary bladder: a case report.使用二甲亚砜的封闭敷料疗法治疗原发性局限性膀胱淀粉样变性病1例报告
J Med Case Rep. 2013 Jul 26;7:191. doi: 10.1186/1752-1947-7-191.
6
Primary localized amyloidosis of the urinary bladder. A case report.
Folia Med (Plovdiv). 2001;43(3):47-52.
7
Primary amyloidosis of the urinary bladder presenting as painless heamaturia.以无痛性血尿为表现的膀胱原发性淀粉样变性
Int J Health Sci (Qassim). 2011 Jul;5(2):181-5.
8
Localized amyloidosis of the urinary tract: case series of nine patients.泌尿道局限性淀粉样变性:9例患者的病例系列
Urology. 2006 May;67(5):904-9. doi: 10.1016/j.urology.2005.11.029. Epub 2006 Apr 25.
9
Localised amyloidosis of the bladder: A rare mimic of urinary tract malignancy (case report and literature review).膀胱局限性淀粉样变性:一种罕见的泌尿系统恶性肿瘤模仿者(病例报告及文献综述)
Int J Surg Case Rep. 2020;77:708-710. doi: 10.1016/j.ijscr.2020.11.105. Epub 2020 Nov 21.
10
Studies of urinary bladder dysfunction in amyloidosis with polyneuropathy.伴有多神经病的淀粉样变性中膀胱功能障碍的研究。
Acta Med Scand. 1975 Jan-Feb;197(1-2):117-23. doi: 10.1111/j.0954-6820.1975.tb04888.x.

本文引用的文献

1
Primary bladder amyloidosis: About a case of incidental discovery.原发性膀胱淀粉样变性:关于一例偶然发现的病例。
Urol Case Rep. 2020 Oct 24;34:101469. doi: 10.1016/j.eucr.2020.101469. eCollection 2021 Jan.
2
New case of secondary bladder amyloidosis with massive hematuria-role of intravesical instillations with dimethyl sulfoxide.伴大量血尿的继发性膀胱淀粉样变新病例——二甲基亚砜膀胱灌注的作用
Transl Androl Urol. 2019 Oct;8(5):548-555. doi: 10.21037/tau.2019.09.22.
3
Primary amyloidosis of the bladder.膀胱原发性淀粉样变性
Urol Case Rep. 2018 Jan 31;17:111-113. doi: 10.1016/j.eucr.2018.01.026. eCollection 2018 Mar.
4
Primary bladder amyloidosis.原发性膀胱淀粉样变性
BMJ Case Rep. 2011 Jul 20;2011:bcr0520114211. doi: 10.1136/bcr.05.2011.4211.
5
The spectrum of localized amyloidosis: a case series of 20 patients and review of the literature.局限性淀粉样变性的谱系:20例患者的病例系列及文献综述
Amyloid. 2006 Sep;13(3):135-42. doi: 10.1080/13506120600876773.
6
Localized amyloidosis of the urinary tract: case series of nine patients.泌尿道局限性淀粉样变性:9例患者的病例系列
Urology. 2006 May;67(5):904-9. doi: 10.1016/j.urology.2005.11.029. Epub 2006 Apr 25.
7
Primary localized amyloidosis of the bladder: experience with dimethyl sulfoxide therapy.
J Urol. 2002 Sep;168(3):1018-20. doi: 10.1016/S0022-5347(05)64564-8.
8
Primary localized amyloidosis of urinary bladder.膀胱原发性局限性淀粉样变性
Urology. 1980 Feb;15(2):174-80. doi: 10.1016/0090-4295(80)90416-1.
9
DMSO and colchicine therapy in amyloid disease.二甲基亚砜和秋水仙碱治疗淀粉样变性疾病
Ann Rheum Dis. 1984 Jun;43(3):421-3. doi: 10.1136/ard.43.3.421.
10
Primary localized amyloidosis of the bladder: a case of AL (lambda) amyloid protein and combination therapy using dimethyl sulfoxide and cepharanthin.
Urol Int. 1992;48(2):228-31. doi: 10.1159/000282340.