• 文献检索
  • 文档翻译
  • 深度研究
  • 学术资讯
  • Suppr Zotero 插件Zotero 插件
  • 邀请有礼
  • 套餐&价格
  • 历史记录
应用&插件
Suppr Zotero 插件Zotero 插件浏览器插件Mac 客户端Windows 客户端微信小程序
定价
高级版会员购买积分包购买API积分包
服务
文献检索文档翻译深度研究API 文档MCP 服务
关于我们
关于 Suppr公司介绍联系我们用户协议隐私条款
关注我们

Suppr 超能文献

核心技术专利:CN118964589B侵权必究
粤ICP备2023148730 号-1Suppr @ 2026

文献检索

告别复杂PubMed语法,用中文像聊天一样搜索,搜遍4000万医学文献。AI智能推荐,让科研检索更轻松。

立即免费搜索

文件翻译

保留排版,准确专业,支持PDF/Word/PPT等文件格式,支持 12+语言互译。

免费翻译文档

深度研究

AI帮你快速写综述,25分钟生成高质量综述,智能提取关键信息,辅助科研写作。

立即免费体验

与甲氟喹预防相关的急性嗜酸性粒细胞性肺炎:一例报告。

Acute eosinophilic pneumonia associated with mefloquine prophylaxis: A case report.

作者信息

Virzì Francesco, Giacopelli Giuseppe, Tutone Paolo, Profera Luigi, Giarratano Antonino, Raineri Santi Maurizio, Tomasello Sandro, Accurso Giuseppe

机构信息

Unit of Anesthesia, Intensive Care, and Hyperbaric Medicine, Civico Emergency Hospital, Sicily, Partinico, Italy.

Department of Anaesthesia, Intensive Care and Emergency, Policlinico Paolo Giaccone, Sicily, Palermo, Italy.

出版信息

Respir Med Case Rep. 2025 May 22;56:102238. doi: 10.1016/j.rmcr.2025.102238. eCollection 2025.

DOI:10.1016/j.rmcr.2025.102238
PMID:40520329
原文链接:https://pmc.ncbi.nlm.nih.gov/articles/PMC12166702/
Abstract

BACKGROUND

Eosinophilic pneumonia is a rare but potentially life-threatening condition characterized by eosinophilic infiltration of the lung parenchyma, which can present as acute respiratory failure. Drug-induced eosinophilic pneumonia (DIEP) has been associated with several medications, though the pathophysiological mechanisms remain incompletely understood. Among antimalarial agents, mefloquine has rarely been implicated in severe pulmonary adverse effects.

CASE PRESENTATION

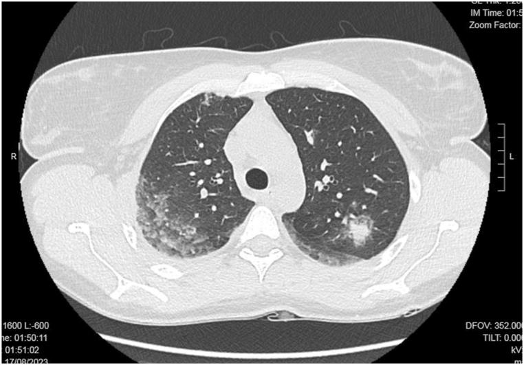
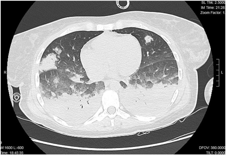
We report the case of a 34-year-old previously healthy female who developed acute respiratory failure after completing a prophylactic regimen of mefloquine for malaria prevention. The patient initially presented with fever, dyspnea, and hypoxemia, rapidly progressing to severe respiratory distress requiring invasive mechanical ventilation. Laboratory tests revealed marked eosinophilia, while thoracic computed tomography (CT) demonstrated diffuse ground-glass opacities and nodular infiltrates. Bronchoalveolar lavage (BAL) was positive for Rhinovirus, suggesting a possible interplay between drug-induced hypersensitivity and viral infection. Following corticosteroid therapy and supportive care, the patient's condition improved, with resolution of eosinophilia and radiological abnormalities.

DISCUSSION

This case highlights the need for heightened clinical suspicion of mefloquine-induced eosinophilic pneumonia in patients presenting with unexplained respiratory symptoms following antimalarial prophylaxis. The pathogenesis may involve immune-mediated reactions and oxidative stress, potentially exacerbated by concurrent infections.

CONCLUSION

Mefloquine should be considered a potential cause of acute eosinophilic pneumonia, particularly in patients with recent drug exposure. Early recognition and timely management, including drug discontinuation and corticosteroid therapy, are crucial to preventing severe complications and ensuring favorable outcomes.

摘要

背景

嗜酸性粒细胞性肺炎是一种罕见但可能危及生命的疾病,其特征为肺实质的嗜酸性粒细胞浸润,可表现为急性呼吸衰竭。药物性嗜酸性粒细胞性肺炎(DIEP)与多种药物有关,但其病理生理机制仍未完全明确。在抗疟药物中,甲氟喹很少引起严重的肺部不良反应。

病例报告

我们报告一例34岁既往健康的女性,在完成预防疟疾的甲氟喹预防方案后发生急性呼吸衰竭。患者最初表现为发热、呼吸困难和低氧血症,迅速进展为严重呼吸窘迫,需要有创机械通气。实验室检查显示明显的嗜酸性粒细胞增多,而胸部计算机断层扫描(CT)显示弥漫性磨玻璃影和结节状浸润。支气管肺泡灌洗(BAL)检测出鼻病毒阳性,提示药物性超敏反应与病毒感染之间可能存在相互作用。经过糖皮质激素治疗和支持治疗,患者病情改善,嗜酸性粒细胞增多和影像学异常消失。

讨论

该病例强调,对于在抗疟预防后出现不明原因呼吸道症状的患者,临床需要提高对甲氟喹诱发嗜酸性粒细胞性肺炎的怀疑。其发病机制可能涉及免疫介导反应和氧化应激,并发感染可能会使其加重。

结论

甲氟喹应被视为急性嗜酸性粒细胞性肺炎的潜在病因,尤其是近期有药物暴露史的患者。早期识别和及时处理,包括停用药物和糖皮质激素治疗,对于预防严重并发症和确保良好预后至关重要。

https://cdn.ncbi.nlm.nih.gov/pmc/blobs/a06f/12166702/dcca123788db/gr3.jpg
https://cdn.ncbi.nlm.nih.gov/pmc/blobs/a06f/12166702/a64a9161507f/gr1.jpg
https://cdn.ncbi.nlm.nih.gov/pmc/blobs/a06f/12166702/43da66653f3f/gr2.jpg
https://cdn.ncbi.nlm.nih.gov/pmc/blobs/a06f/12166702/dcca123788db/gr3.jpg
https://cdn.ncbi.nlm.nih.gov/pmc/blobs/a06f/12166702/a64a9161507f/gr1.jpg
https://cdn.ncbi.nlm.nih.gov/pmc/blobs/a06f/12166702/43da66653f3f/gr2.jpg
https://cdn.ncbi.nlm.nih.gov/pmc/blobs/a06f/12166702/dcca123788db/gr3.jpg

相似文献

1
Acute eosinophilic pneumonia associated with mefloquine prophylaxis: A case report.与甲氟喹预防相关的急性嗜酸性粒细胞性肺炎:一例报告。
Respir Med Case Rep. 2025 May 22;56:102238. doi: 10.1016/j.rmcr.2025.102238. eCollection 2025.
2
A Case of Daptomycin-Induced Eosinophilic Pneumonia and Its Management Insights.一例达托霉素诱导的嗜酸性粒细胞性肺炎及其治疗见解
Cureus. 2025 Apr 29;17(4):e83195. doi: 10.7759/cureus.83195. eCollection 2025 Apr.
3
Mefloquine-induced eosinophilic pneumonia.甲氟喹所致嗜酸性粒细胞性肺炎。
Pharmacotherapy. 2007 Dec;27(12):1767-71. doi: 10.1592/phco.27.12.1767.
4
[Standard technical specifications for methacholine chloride (Methacholine) bronchial challenge test (2023)].[氯化乙酰甲胆碱支气管激发试验标准技术规范(2023年)]
Zhonghua Jie He He Hu Xi Za Zhi. 2024 Feb 12;47(2):101-119. doi: 10.3760/cma.j.cn112147-20231019-00247.
5
Sertraline-Induced Acute Eosinophilic Pneumonia.舍曲林诱发的急性嗜酸性粒细胞性肺炎
Cureus. 2020 Dec 11;12(12):e12022. doi: 10.7759/cureus.12022.
6
Extracorporeal Membrane Oxygenation in Severe Acute Eosinophilic Pneumonia.严重急性嗜酸性粒细胞性肺炎的体外膜肺氧合
Front Med (Lausanne). 2019 Apr 10;6:65. doi: 10.3389/fmed.2019.00065. eCollection 2019.
7
[Case of drug-induced pneumonia possibly due to mefloquine (antimalarial drug)].[可能由甲氟喹(抗疟药)引起的药物性肺炎病例]
Nihon Kokyuki Gakkai Zasshi. 2005 Feb;43(2):103-7.
8
Imipenem/cilastatin-induced acute eosinophilic pneumonia.亚胺培南/西司他丁所致急性嗜酸性粒细胞性肺炎。
BMJ Case Rep. 2016 Mar 4;2016:bcr2016214804. doi: 10.1136/bcr-2016-214804.
9
Vesicoureteral Reflux膀胱输尿管反流
10
Idiopathic acute eosinophilic pneumonia in a 14-month-old girl.一名14个月大女童的特发性急性嗜酸性粒细胞性肺炎
Korean J Pediatr. 2013 Jan;56(1):37-41. doi: 10.3345/kjp.2013.56.1.37. Epub 2013 Jan 29.

本文引用的文献

1
A Review of Modifications of Quinoline Antimalarials: Mefloquine and (hydroxy)Chloroquine.喹啉类抗疟药的修饰综述:甲氟喹和(羟基)氯喹。
Molecules. 2022 Feb 2;27(3):1003. doi: 10.3390/molecules27031003.
2
Atypical pneumonia: Pathophysiology, diagnosis, and treatment.非典型肺炎:病理生理学、诊断与治疗。
Respir Investig. 2022 Jan;60(1):56-67. doi: 10.1016/j.resinv.2021.09.009. Epub 2021 Nov 5.
3
Eosinophilic pneumonia: A review of the previous literature, causes, diagnosis, and management.嗜酸粒细胞性肺炎:对既往文献、病因、诊断和治疗的综述。
Allergol Int. 2019 Oct;68(4):413-419. doi: 10.1016/j.alit.2019.05.006. Epub 2019 Jun 25.
4
Acute Eosinophilic Pneumonia. Causes, Diagnosis, and Management.急性嗜酸性粒细胞性肺炎。病因、诊断与治疗。
Am J Respir Crit Care Med. 2018 Mar 15;197(6):728-736. doi: 10.1164/rccm.201710-1967CI.
5
Acute eosinophilic pneumonia following artenimol-piperaquine exposure.青蒿琥酯-哌喹片暴露后出现急性嗜酸性粒细胞肺炎。
J Travel Med. 2017 Sep 1;24(5). doi: 10.1093/jtm/tax023.
6
Signal detection to identify serious adverse events (neuropsychiatric events) in travelers taking mefloquine for chemoprophylaxis of malaria.信号检测以识别服用甲氟喹进行疟疾化学预防的旅行者中的严重不良事件(神经精神事件)。
Drug Healthc Patient Saf. 2012;4:87-92. doi: 10.2147/DHPS.S34493. Epub 2012 Aug 3.
7
Mefloquine-induced eosinophilic pneumonia.甲氟喹所致嗜酸性粒细胞性肺炎。
Pharmacotherapy. 2007 Dec;27(12):1767-71. doi: 10.1592/phco.27.12.1767.
8
Antimalarial drug toxicity: a review.抗疟药毒性:综述
Chemotherapy. 2007;53(6):385-91. doi: 10.1159/000109767. Epub 2007 Oct 12.
9
[Case of drug-induced pneumonia possibly due to mefloquine (antimalarial drug)].[可能由甲氟喹(抗疟药)引起的药物性肺炎病例]
Nihon Kokyuki Gakkai Zasshi. 2005 Feb;43(2):103-7.
10
Mefloquine. A review of its antimalarial activity, pharmacokinetic properties and therapeutic efficacy.甲氟喹:其抗疟活性、药代动力学特性及治疗效果综述
Drugs. 1993 Mar;45(3):430-75. doi: 10.2165/00003495-199345030-00009.