Suppr超能文献

剖宫产瘢痕妊娠:三例病例报告及文献综述

Cesarean Scar Pregnancy: Three case reports and literature review.

作者信息

Ruiz Pérez Esther, Álvarez Colomo Cristina, Pascual Escudero Victoria, Sanz Díaz-Heredero Álvaro, Casamayor Del Nogal Lidia, Ibáñez Nieto Marta, Canales Martínez Sandra, Bayón Pascual Jimena, Simón de la Fuente Mónica, Horstmann Sendagorta Mónica Consuelo

机构信息

Department of Obstetrics and Gynecology, Hospital Clínico Universitario of Valladolid, Regional Health Management of Castilla y León (SACYL), Spain.

Department of Pediatrics and Immunology, Obstetrics and Gynecology, Nutrition and Bromatology, Psychiatry, and History of Science, Faculty of Medicine, University of Valladolid, Spain.

出版信息

Eur J Obstet Gynecol Reprod Biol X. 2025 May 29;26:100407. doi: 10.1016/j.eurox.2025.100407. eCollection 2025 Jun.

Abstract

INTRODUCTION

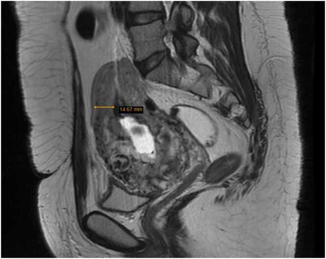
Cesarean Scar Pregnancy (CSP) is defined as an ectopic pregnancy in which the gestational sac implants on the surgical scar of a previous cesarean section or isthmocele.Despite its low incidence, the diagnosis presents a significant difficulty, and a false negative diagnosis can lead to serious complications that may require more aggressive treatments.

OBJECTIVE

The main objective of this study is to present three clinical cases of patients with suspected ectopic pregnancy in the cesarean scar, including a review of the current literature on this condition.

METHODS

The clinical case data were obtained from the patients' medical records, including the results of the additional tests performed, as well as subsequent gynecology appointments. On the other hand, a literature review was conducted on ectopic pregnancies in the cesarean scar.

RESULTS

During ultrasound examinations of patients with a history of previous cesarean sections, special attention should be paid to identifying the implantation site of the gestational sac to rule out CSP.Due to the limited number of trials and case reports on CSP, there is no consensus on standardized treatment and management. The primary goal is to preserve patient's fertility and avoid severe complications such as massive hemorrhage or uterine rupture.

CONCLUSIONS

Cesarean Scar Pregnancy (CSP) should be considered among the diagnostic options when finding a gestational sac located in atypical situations in patients with a history of cesarean section.Early diagnosis and treatment are crucial for achieving the best outcomes. A minimally invasive approach should be planned as first-line treatment in all situations where CSP is included in the differential diagnosis.

摘要

引言

剖宫产瘢痕妊娠(CSP)被定义为一种异位妊娠,即妊娠囊着床于既往剖宫产手术瘢痕或子宫峡部憩室处。尽管其发病率较低,但诊断存在显著困难,假阴性诊断可能导致严重并发症,可能需要更积极的治疗。

目的

本研究的主要目的是呈现三例疑似剖宫产瘢痕异位妊娠患者的临床病例,并对关于该病症的当前文献进行综述。

方法

临床病例数据取自患者的病历记录,包括所进行的额外检查结果以及后续的妇科门诊情况。另一方面,对剖宫产瘢痕异位妊娠进行了文献综述。

结果

在对有剖宫产史的患者进行超声检查时,应特别注意确定妊娠囊的着床部位以排除CSP。由于关于CSP的试验和病例报告数量有限,在标准化治疗和管理方面尚无共识。主要目标是保留患者的生育能力并避免严重并发症,如大出血或子宫破裂。

结论

当在有剖宫产史的患者中发现妊娠囊位于非典型位置时,应将剖宫产瘢痕妊娠(CSP)纳入诊断选项之中。早期诊断和治疗对于取得最佳结果至关重要。在所有将CSP纳入鉴别诊断的情况下,应计划采用微创方法作为一线治疗。

https://cdn.ncbi.nlm.nih.gov/pmc/blobs/4ede/12169773/1ce1fbcfb65a/gr1.jpg

文献检索

告别复杂PubMed语法,用中文像聊天一样搜索,搜遍4000万医学文献。AI智能推荐,让科研检索更轻松。

立即免费搜索

文件翻译

保留排版,准确专业,支持PDF/Word/PPT等文件格式,支持 12+语言互译。

免费翻译文档

深度研究

AI帮你快速写综述,25分钟生成高质量综述,智能提取关键信息,辅助科研写作。

立即免费体验