Suppr超能文献

木村病的综合综述

A Comprehensive Review of Kimura Disease.

作者信息

Lagerstrom Ian T, Danielson David T, Muir Jeannie M, Foss Robert D, Auerbach Aaron, Aguilera Nadine S

机构信息

Department of Pathology, Walter Reed National Military Medical Center, Bethesda, MD, USA.

Department of Pathology, Uniformed Services University of the Health Sciences, Bethesda, MD, USA.

出版信息

Head Neck Pathol. 2025 Jun 23;19(1):75. doi: 10.1007/s12105-025-01812-z.

Abstract

PURPOSE

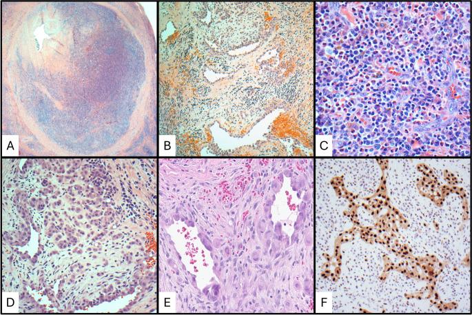
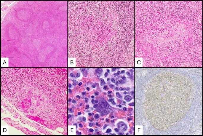
Kimura disease (KD) is a rare, chronic inflammatory disorder that primarily affects the head and neck regions, often mimicking neoplastic conditions. This study aims to provide a comprehensive review of KD, focusing on its clinical presentation, diagnostic challenges, optimal management strategies, and primary histopathologic differential diagnosis.

METHODS

A systematic review of literature was conducted using PubMed, Scopus, and Google Scholar databases. We analyzed case reports, retrospective studies, and clinical trials published in English. We extracted data on epidemiology, clinical presentation, laboratory findings, histologic features, current understanding of the pathogenesis, treatment, and prognosis.

RESULTS

KD predominantly affects young Asian males, presenting with painless subcutaneous masses, peripheral eosinophilia, and elevated serum IgE levels. Histopathology reveals lymphoid follicular hyperplasia with eosinophilic infiltration. Biopsy is required for diagnosis. The pathogenesis of KD is poorly understood, but recent studies have elucidated some potentially important mechanisms of the disease. Treatment options include systemic corticosteroids, surgical excision, radiotherapy, and cytotoxic therapies, with recurrence rates varying among modalities.

CONCLUSION

KD remains a diagnostic challenge due to its overlapping features with a variety of neoplastic and non-neoplastic conditions. While corticosteroids offer temporary relief and can be useful in cases with renal involvement, surgical excision remains the most definitive treatment. Future research should focus on targeted therapies to improve long-term disease control and reduce recurrence.

摘要

目的

木村病(KD)是一种罕见的慢性炎症性疾病,主要累及头颈部区域,常酷似肿瘤性疾病。本研究旨在对KD进行全面综述,重点关注其临床表现、诊断挑战、最佳管理策略以及主要组织病理学鉴别诊断。

方法

使用PubMed、Scopus和谷歌学术数据库对文献进行系统综述。我们分析了以英文发表的病例报告、回顾性研究和临床试验。我们提取了关于流行病学、临床表现、实验室检查结果、组织学特征、目前对发病机制的认识、治疗和预后的数据。

结果

KD主要影响年轻亚洲男性,表现为无痛性皮下肿块、外周嗜酸性粒细胞增多和血清IgE水平升高。组织病理学显示淋巴滤泡增生伴嗜酸性粒细胞浸润。诊断需要活检。KD的发病机制尚不清楚,但最近的研究阐明了该疾病一些潜在的重要机制。治疗选择包括全身用糖皮质激素、手术切除、放疗和细胞毒性疗法,不同治疗方式的复发率各不相同。

结论

由于KD与多种肿瘤性和非肿瘤性疾病有重叠特征,其诊断仍然具有挑战性。虽然糖皮质激素能提供暂时缓解,对有肾脏受累的病例可能有用,但手术切除仍然是最确切的治疗方法。未来的研究应聚焦于靶向治疗,以改善疾病的长期控制并降低复发率。

https://cdn.ncbi.nlm.nih.gov/pmc/blobs/69ea/12185846/03cd0032b8bc/12105_2025_1812_Fig1_HTML.jpg

文献检索

告别复杂PubMed语法,用中文像聊天一样搜索,搜遍4000万医学文献。AI智能推荐,让科研检索更轻松。

立即免费搜索

文件翻译

保留排版,准确专业,支持PDF/Word/PPT等文件格式,支持 12+语言互译。

免费翻译文档

深度研究

AI帮你快速写综述,25分钟生成高质量综述,智能提取关键信息,辅助科研写作。

立即免费体验