Suppr超能文献

槟榔提取物增加了4-硝基喹啉-1-氧化物诱导肿瘤的斯普拉格-道利大鼠的基质肿瘤浸润淋巴细胞。

Areca nut extract increased stromal tumor-infiltrating lymphocytes in 4-nitroquinoline-1-oxide-tumor-induced Sprague-Dawley rats.

作者信息

Sari Liza Meutia, Novita Cut Fera, Andriany Poppy, Sari Dina Keumala

机构信息

Oral Medicine, Universitas Syiah Kuala, Banda Aceh, Indonesia, 23111, Indonesia.

Public Dental Health, Universitas Syiah Kuala, Banda Aceh, Indonesia, 23111, Indonesia.

出版信息

F1000Res. 2025 Jun 20;11:1571. doi: 10.12688/f1000research.125784.3. eCollection 2022.

Abstract

BACKGROUND

Oral squamous cell carcinoma (OSCC) is one of the most common oral cancers with a high mortality rate. The biodiversity source in Indonesia makes areca nut a potential antioxidant in treating disease.

OBJECTIVE

The study aimed to evaluate the effect of areca nut extract on 4-nitroquinoline-1-oxide (NQO)-tumor-induced rats.

METHODS

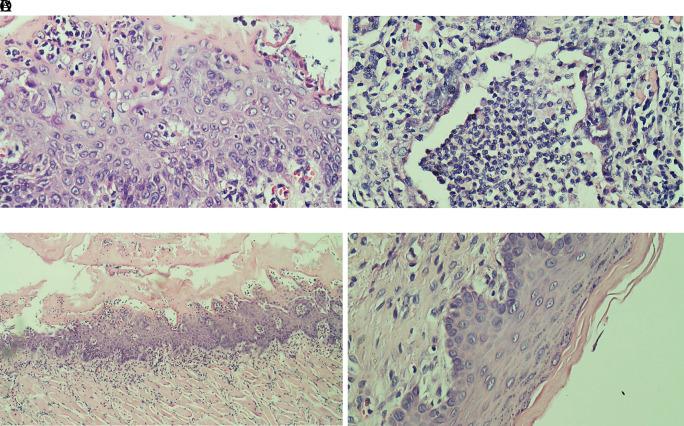
Twenty-eight male Sprague-Dawley rats were divided into four groups. Group 1 served as the control group, group 2 was 4NQO-induced rats without treatment, and groups 3 and 4 were given 4NQO-tumor inducer with 500 and 1000 mg/kg BW of areca nut extract, respectively. The rats in groups 2,3, and 4 received 30 ppm of 4NQO tumor inducer in drinking water for 12 weeks. In the end, all rats were euthanized, and the tongue was removed. The body, liver, kidney, heart, and lung weights were measured. Tongue tumor volume and dysplasia lesions were analyzed. The tumor-infiltrating lymphocytes (TILs) in the tumor and stromal areas were scored semi-quantitatively associating the infiltrate grade (0-3) and analyzed histologically.

RESULTS

There were significant differences in body weight loss between the initial and final phases in groups 1 and 2 (p<0.05). The areca nut at 500 and 1000 mg/kg BW significantly reduced the tumor size compared with groups 1 and 2 (p<0.05). The incidence of OSCC in rats with 500 and 1000 mg/kg BW of areca nut extract after 22 weeks was 0%, but the dysplasia lesions were observed at 28.57% and 85.71%, respectively. The highest mean of stromal TILs was in group 3 and there were significant differences in stromal TILs between groups 2 and 3 (p<0.05).

CONCLUSION

Areca nut extract induced infiltrating lymphocytes in the stromal tumor area on the OSCC lesion of the tongue in 4NQO-induced rats.

摘要

背景

口腔鳞状细胞癌(OSCC)是最常见的口腔癌之一,死亡率很高。印度尼西亚丰富的生物多样性使槟榔成为治疗疾病的潜在抗氧化剂。

目的

本研究旨在评估槟榔提取物对4-硝基喹啉-1-氧化物(NQO)诱导肿瘤的大鼠的影响。

方法

将28只雄性Sprague-Dawley大鼠分为四组。第1组作为对照组,第2组为未治疗的4NQO诱导大鼠,第3组和第4组分别给予500和1000mg/kg体重的槟榔提取物加4NQO肿瘤诱导剂。第2、3和4组的大鼠在饮用水中接受30ppm的4NQO肿瘤诱导剂,持续12周。最后,对所有大鼠实施安乐死并切除舌头。测量身体、肝脏、肾脏、心脏和肺的重量。分析舌肿瘤体积和发育异常病变。对肿瘤和基质区域的肿瘤浸润淋巴细胞(TILs)进行半定量评分,将浸润等级(0-3)进行关联,并进行组织学分析。

结果

第1组和第2组在初始和最终阶段的体重减轻存在显著差异(p<0.05)。与第1组和第2组相比,500和1000mg/kg体重的槟榔显著减小了肿瘤大小(p<0.05)。22周后,给予500和1000mg/kg体重槟榔提取物的大鼠中OSCC的发生率为0%,但发育异常病变的发生率分别为28.57%和85.71%。第3组基质TILs的平均水平最高,第2组和第3组之间的基质TILs存在显著差异(p<0.05)。

结论

槟榔提取物在4NQO诱导的大鼠舌OSCC病变的基质肿瘤区域诱导浸润淋巴细胞。

https://cdn.ncbi.nlm.nih.gov/pmc/blobs/39fd/12187084/10cefbb9ba2f/f1000research-11-183223-g0000.jpg

文献AI研究员

20分钟写一篇综述,助力文献阅读效率提升50倍。

立即体验

用中文搜PubMed

大模型驱动的PubMed中文搜索引擎

马上搜索

文档翻译

学术文献翻译模型,支持多种主流文档格式。

立即体验