Suppr超能文献

中风、发热与血栓微生物学分析:病例报告

Stroke, Fever, and Clot Microbiology Analysis: A Case Report.

作者信息

Baptista Mariana, Tavares de Almeida Pedro, Abreu Gabriela, Jesus Guilherme, Gregório Tiago

机构信息

Internal Medicine Department, Unidade Local de Saúde de Gaia e Espinho, Vila Nova de Gaia, PRT.

Neurology Department, Unidade Local de Saúde de Gaia e Espinho, Vila Nova de Gaia, PRT.

出版信息

Cureus. 2025 May 25;17(5):e84782. doi: 10.7759/cureus.84782. eCollection 2025 May.

Abstract

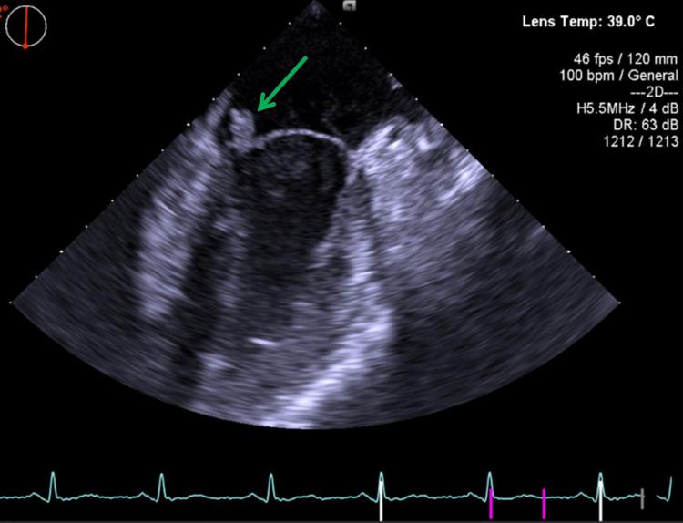
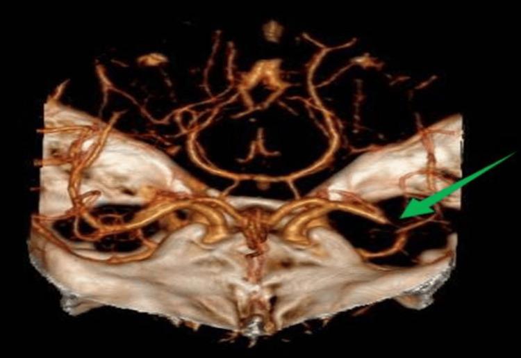
Infective endocarditis (IE) is a rare but serious life-threatening disease, often presenting with highly variable clinical symptoms. Risk factors for this condition include valvular heart disease, age, medical procedures, dental procedures, and intravenous drug use. Patients with IE may exhibit valve dysfunction, heart failure, or neurological complications such as stroke, the latter being caused by an embolus originating from valvular vegetations that occlude more distal vessels in the cerebral circulation. Diagnosis is based on the modified Duke criteria. We report a case of a 20-year-old male patient who presented to the emergency department with the acute onset of aphasia, right-sided hemiparesis, and fever. Neurological examination revealed a National Institute of Health Stroke Scale score of 10, and computed tomography (CT) angiography confirmed a left middle cerebral artery occlusion. Since endocarditis was not known at the time of stroke diagnosis, the patient underwent thrombolysis. He then underwent thrombectomy with successful recanalization, and the retrieved thrombus was sent for microbiological analysis. Laboratory findings showed leukocytosis, elevated erythrocyte sedimentation rate, and elevated C-reactive protein, and both blood and thrombus cultures were positive for . An echocardiogram revealed a vegetation in the mitral valve, confirming the diagnosis of IE. The patient was treated with ceftriaxone, rifampicin, and gentamicin according to antibiotic susceptibility results, and underwent mitral valve replacement surgery, demonstrating a good clinical outcome with recovery from the neurological deficits. This case highlights the importance of considering the diagnosis of IE in patients presenting with stroke and fever, as ischemic stroke can be an embolic complication of IE. It also emphasizes the potential role of microbiological analysis of clots retrieved through thrombectomy in identifying the infective agent, especially in patients where blood cultures are negative or inconclusive. Such identification might help select appropriate antibiotic therapy, although more studies are required to better define its role in patient care.

摘要

感染性心内膜炎(IE)是一种罕见但严重的危及生命的疾病,通常表现出高度可变的临床症状。该疾病的危险因素包括瓣膜性心脏病、年龄、医疗操作、牙科操作和静脉药物使用。IE患者可能出现瓣膜功能障碍、心力衰竭或神经系统并发症,如中风,后者是由源自瓣膜赘生物的栓子引起的,该栓子会阻塞脑循环中更远端的血管。诊断基于改良的杜克标准。我们报告一例20岁男性患者,他因急性失语、右侧偏瘫和发热就诊于急诊科。神经系统检查显示美国国立卫生研究院卒中量表评分为10分,计算机断层扫描(CT)血管造影证实左大脑中动脉闭塞。由于在中风诊断时未知患有心内膜炎,该患者接受了溶栓治疗。然后他接受了血栓切除术,血管成功再通,取出的血栓送去进行微生物分析。实验室检查结果显示白细胞增多、红细胞沉降率升高和C反应蛋白升高,血液和血栓培养均对 呈阳性。超声心动图显示二尖瓣有赘生物,证实了IE的诊断。根据抗生素敏感性结果,该患者接受了头孢曲松、利福平和庆大霉素治疗,并接受了二尖瓣置换手术,临床结果良好,神经功能缺损得以恢复。该病例强调了在出现中风和发热的患者中考虑IE诊断的重要性,因为缺血性中风可能是IE的栓塞并发症。它还强调了对通过血栓切除术取出的凝块进行微生物分析在识别感染病原体方面的潜在作用,特别是在血培养阴性或不确定的患者中。尽管需要更多研究来更好地确定其在患者护理中的作用,但这种识别可能有助于选择合适的抗生素治疗。

https://cdn.ncbi.nlm.nih.gov/pmc/blobs/5e3d/12187033/a9fd0e6810e4/cureus-0017-00000084782-i01.jpg

文献AI研究员

20分钟写一篇综述,助力文献阅读效率提升50倍。

立即体验

用中文搜PubMed

大模型驱动的PubMed中文搜索引擎

马上搜索

文档翻译

学术文献翻译模型,支持多种主流文档格式。

立即体验