Suppr超能文献

外泌体和非外泌体生物标志物在肺癌中的诊断潜力:使用肺癌发生大鼠模型的比较分析

Diagnostic Potential of Exosomal and Non-Exosomal Biomarkers in Lung Cancer: A Comparative Analysis Using a Rat Model of Lung Carcinogenesis.

作者信息

El-Daly Sherien M, Abdelrahman Sahar S, Abd El-Jawad Amira Mohamed, Abdel-Monem Mahmoud A, El-Saeed Gamila S M

机构信息

Medical Biochemistry Department, Medical Research and Clinical Studies Institute, National Research Centre, Dokki, Giza 12622, Egypt.

Cancer Biology and Genetics Laboratory, Centre of Excellence for Advanced Sciences, National Research Centre, Giza 12622, Egypt.

出版信息

Noncoding RNA. 2025 Jun 16;11(3):47. doi: 10.3390/ncrna11030047.

Abstract

BACKGROUND

Identifying liquid biopsy biomarkers with high efficacy is crucial for cancer diagnosis. Exosomal cargo, including miRNAs and proteins, offers enhanced stability in biofluids compared with their free circulating forms, but direct comparisons of their diagnostic performance remain limited. This study evaluates and compares the diagnostic value of selected miRNAs and protein markers in exosomal versus non-exosomal fractions across stages of lung carcinogenesis in a rat model.

METHODS

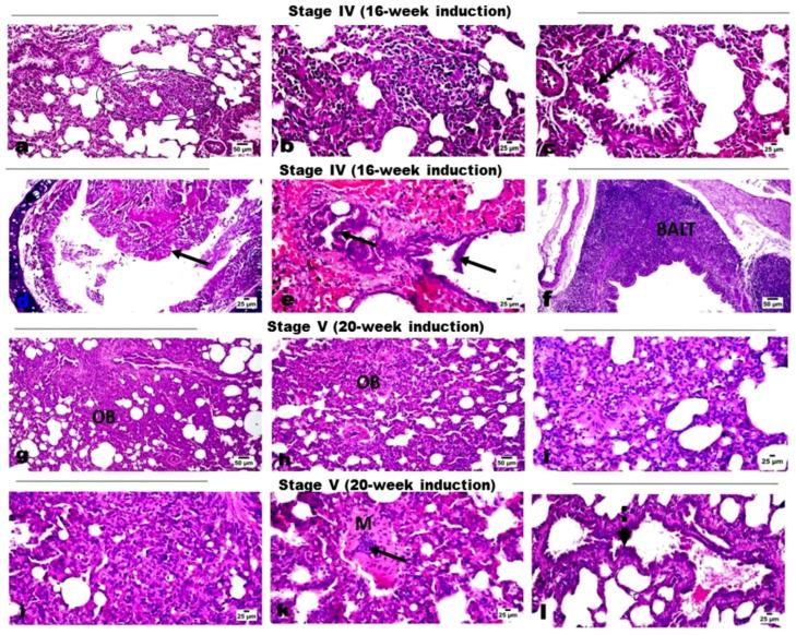
Lung cancer was induced in rats, and blood and lung tissue samples were collected at consecutive stages of tumor induction. We investigated the expression patterns of key miRNAs (miR-19b, miR-21, and miR-145) in exosomes, serum, and tissue and quantified levels of tumor biomarkers CEA and CYFRA 21-1 in exosomal and serum fractions.

RESULTS

Our results revealed distinct expression patterns of the evaluated miRNAs across exosomes, serum, and tissue, throughout different stages of tumor induction. The expression of exosomal miRNAs dynamically changed in parallel with the tumor induction process, demonstrating high diagnostic efficacy. Specifically, exosomal miR-19b and miR-21 were significantly upregulated from an early induction stage, whereas their serum and tissue forms increased only during the late stages of induction. On the other hand, miR-145 was consistently downregulated across all fractions at every stage. Both exosomal and serum CEA levels increased significantly during tumor induction, while serum CYFRA 21-1 outperformed its exosomal counterpart. Strong positive correlations linked exosomal miR-19b and miR-145 with their non-exosomal counterparts, while moderate correlations were seen for miR-21 and the protein markers.

CONCLUSIONS

Our findings underscore the value of integrating exosomal biomarkers in liquid biopsies, highlighting their potential to improve early detection and monitoring of lung cancer development.

摘要

背景

识别高效的液体活检生物标志物对癌症诊断至关重要。外泌体携带物,包括微小RNA(miRNA)和蛋白质,与它们的游离循环形式相比,在生物流体中具有更高的稳定性,但其诊断性能的直接比较仍然有限。本研究评估并比较了大鼠模型中肺癌发生各阶段外泌体与非外泌体部分中选定的miRNA和蛋白质标志物的诊断价值。

方法

诱导大鼠发生肺癌,并在肿瘤诱导的连续阶段收集血液和肺组织样本。我们研究了外泌体、血清和组织中关键miRNA(miR-19b、miR-21和miR-145)的表达模式,并对外泌体和血清部分中肿瘤生物标志物癌胚抗原(CEA)和细胞角蛋白19片段(CYFRA 21-1)的水平进行了定量。

结果

我们的结果显示,在肿瘤诱导的不同阶段,所评估的miRNA在外泌体、血清和组织中的表达模式各不相同。外泌体miRNA的表达与肿瘤诱导过程同步动态变化,显示出高诊断效能。具体而言,外泌体miR-19b和miR-21从诱导早期就显著上调,而它们的血清和组织形式仅在诱导后期增加。另一方面,miR-145在每个阶段的所有部分中均持续下调。在肿瘤诱导期间,外泌体和血清CEA水平均显著升高,而血清CYFRA 21-1的表现优于其外泌体对应物。外泌体miR-19b和miR-145与其非外泌体对应物之间存在强正相关,而miR-21与蛋白质标志物之间存在中度相关。

结论

我们的研究结果强调了在液体活检中整合外泌体生物标志物的价值,突出了它们在改善肺癌早期检测和监测方面的潜力。

https://cdn.ncbi.nlm.nih.gov/pmc/blobs/c5fb/12196065/956257ef90f6/ncrna-11-00047-g001.jpg

文献AI研究员

20分钟写一篇综述,助力文献阅读效率提升50倍。

立即体验

用中文搜PubMed

大模型驱动的PubMed中文搜索引擎

马上搜索

文档翻译

学术文献翻译模型,支持多种主流文档格式。

立即体验