Suppr超能文献

脑淀粉样血管病的临床管理

Clinical Management of Cerebral Amyloid Angiopathy.

作者信息

Theodorou Aikaterini, Fanouraki Stella, Bakola Eleni, Papagiannopoulou Georgia, Palaiodimou Lina, Chondrogianni Maria, Stefanou Maria-Ioanna, Stavrinou Lampis, Athanasaki Athanasia, Psychogios Klearchos, Kargiotis Odysseas, Safouris Apostolos, Velonakis Georgios, Paraskevas Georgios P, Tsivgoulis Georgios

机构信息

Second Department of Neurology, "Attikon" University Hospital, School of Medicine, National and Kapodistrian University of Athens, Rimini 1, Chaidari, 12462 Athens, Greece.

Department of Neurology & Stroke, Eberhard-Karls University of Tübingen, 72074 Tübingen, Germany.

出版信息

J Clin Med. 2025 Jun 15;14(12):4259. doi: 10.3390/jcm14124259.

Abstract

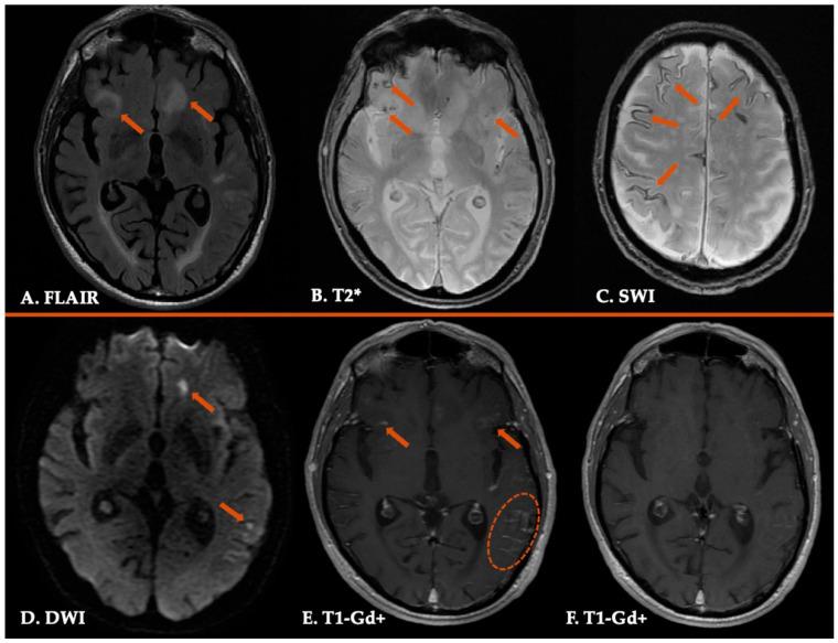
Cerebral amyloid angiopathy (CAA) represents a progressive cerebrovascular disorder, characterized by aberrant accumulation of beta-amyloid isoforms in cortical and leptomeningeal vessel walls of cerebrum and cerebellum. We sought to investigate the clinical manifestations, current different diagnostic tools, various therapeutic strategies and most uncommon subtypes of the disease. The vast majority of CAA remains sporadic, with increasing prevalence with age and very frequent coexistence with Alzheimer's disease. Clinically, CAA can present with spontaneous lobar intracerebral hemorrhage, transient focal neurologic episodes attributed to convexity subarachnoid hemorrhage or cortical superficial siderosis, and progressive cognitive decline leading to dementia. Inflammatory CAA subtype should be recognized early and treated promptly so that better functional outcomes may be achieved. Moreover, genetic and iatrogenic CAA forms are rare, yet increasingly recognized during the last years. Therapeutic management remains challenging for clinicians, especially when markers indicative of higher bleeding risk are present. A targeted therapy does not currently exist. However, various clinical trials are in progress, focusing on offering new promising insights into the disease treatment. This review aims to deepen our understanding of CAA diagnosis and therapeutic approach but also summarizes current evidence on the most uncommon subtypes of this cerebral small-vessel disease.

摘要

脑淀粉样血管病(CAA)是一种进行性脑血管疾病,其特征是大脑和小脑皮质及软脑膜血管壁中β淀粉样蛋白亚型异常积聚。我们试图研究该疾病的临床表现、当前不同的诊断工具、各种治疗策略以及最罕见的亚型。绝大多数CAA仍为散发性,患病率随年龄增长而增加,且常与阿尔茨海默病共存。临床上,CAA可表现为自发性脑叶脑出血、因脑凸面蛛网膜下腔出血或皮质表面铁沉积所致的短暂局灶性神经发作,以及导致痴呆的进行性认知衰退。炎症性CAA亚型应尽早识别并及时治疗,以便获得更好的功能预后。此外,遗传性和医源性CAA形式较为罕见,但在过去几年中越来越受到关注。对于临床医生来说,治疗管理仍然具有挑战性,尤其是当存在提示出血风险较高的标志物时。目前尚无靶向治疗方法。然而,各种临床试验正在进行中,旨在为疾病治疗提供新的有前景的见解。这篇综述旨在加深我们对CAA诊断和治疗方法的理解,同时总结关于这种脑小血管疾病最罕见亚型的现有证据。

https://cdn.ncbi.nlm.nih.gov/pmc/blobs/6eb2/12194787/f047767cce5d/jcm-14-04259-g001.jpg

文献检索

告别复杂PubMed语法,用中文像聊天一样搜索,搜遍4000万医学文献。AI智能推荐,让科研检索更轻松。

立即免费搜索

文件翻译

保留排版,准确专业,支持PDF/Word/PPT等文件格式,支持 12+语言互译。

免费翻译文档

深度研究

AI帮你快速写综述,25分钟生成高质量综述,智能提取关键信息,辅助科研写作。

立即免费体验