Suppr超能文献

[具体物质名称]对顺铂诱导的大鼠肝脏、肾脏和脾脏毒性的保护作用:氧化应激、炎症和Nrf2调节的作用

Protective Impacts of on Cisplatin-Induced Toxicity in Liver, Kidney, and Spleen of Rats: Role of Oxidative Stress, Inflammation, and Nrf2 Modulation.

作者信息

Almutairi Layla A, Abdelghaffar Ebtehal G, Hafney Hany A, Ebaid Hala M, Alkhodair Sahar A, Shaalan Aly A M, El-Hak Heba N Gad

机构信息

Department of Biology, College of Science, Princess Nourah bint Abdulrahman University, Riyadh 13412, Saudi Arabia.

Zoology Department, Faculty of Science, Suez Canal University, Ismailia 41522, Egypt.

出版信息

Life (Basel). 2025 Jun 10;15(6):934. doi: 10.3390/life15060934.

Abstract

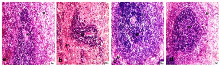
Cisplatin is a widely utilized chemotherapy drug effective against various cancers, yet its use is often constrained by severe toxicity to healthy organs, including the liver, kidneys, and spleen. This study explored the protective role of , a microalga known for its antioxidant and anti-inflammatory properties, against cisplatin-induced organ damage. The research focused on modulating oxidative stress, inflammation, and the Nrf2 signaling pathway. The experimental design included four groups: a control group receiving saline, a cisplatin group administered 1.34 mg/kg weekly for three months, a group receiving 150 mg/kg daily, and a combined cisplatin/ group. Cisplatin treatment significantly elevated oxidative stress markers, such as lipid peroxidation and nitric oxide, while increasing pro-inflammatory cytokines (TNF-α, IL-12, IL-6) and reducing antioxidant capacity. Additionally, liver and kidney function markers were markedly impaired, and histopathological analysis revealed structural damage in the liver, kidneys, and spleen. Conversely, supplementation mitigated these effects, restoring oxidative stress markers, cytokine levels, and organ function to near-normal values. Microscopic examination confirmed that effectively prevented cisplatin-induced structural damage. Notably, while cisplatin increased Nrf2 expression as an adaptive response to oxidative stress, attenuated this effect, reflecting its potent antioxidant capabilities.

摘要

顺铂是一种广泛应用的化疗药物,对多种癌症有效,但其使用常因对包括肝脏、肾脏和脾脏在内的健康器官具有严重毒性而受到限制。本研究探讨了以其抗氧化和抗炎特性而闻名的微藻对顺铂诱导的器官损伤的保护作用。该研究聚焦于调节氧化应激、炎症和Nrf2信号通路。实验设计包括四组:接受生理盐水的对照组、每周给予1.34 mg/kg共三个月的顺铂组、每天接受150 mg/kg的微藻组以及顺铂/微藻联合组。顺铂治疗显著提高了氧化应激标志物,如脂质过氧化和一氧化氮,同时增加了促炎细胞因子(TNF-α、IL-12、IL-6)并降低了抗氧化能力。此外,肝脏和肾脏功能标志物明显受损,组织病理学分析显示肝脏、肾脏和脾脏存在结构损伤。相反,微藻补充减轻了这些影响,使氧化应激标志物、细胞因子水平和器官功能恢复到接近正常的值。显微镜检查证实微藻有效地预防了顺铂诱导的结构损伤。值得注意的是,虽然顺铂增加了Nrf2表达作为对氧化应激的适应性反应,但微藻减弱了这种作用,反映了其强大的抗氧化能力。

https://cdn.ncbi.nlm.nih.gov/pmc/blobs/de55/12194350/1ec5dc463d79/life-15-00934-g001.jpg

文献检索

告别复杂PubMed语法,用中文像聊天一样搜索,搜遍4000万医学文献。AI智能推荐,让科研检索更轻松。

立即免费搜索

文件翻译

保留排版,准确专业,支持PDF/Word/PPT等文件格式,支持 12+语言互译。

免费翻译文档

深度研究

AI帮你快速写综述,25分钟生成高质量综述,智能提取关键信息,辅助科研写作。

立即免费体验