Suppr超能文献

来自阿尔及利亚两个极端温泉的嗜热细菌的分类多样性和抗菌潜力。

Taxonomic Diversity and Antimicrobial Potential of Thermophilic Bacteria from Two Extreme Algerian Hot Springs.

作者信息

Aireche Marwa, Merzoug Mohamed, Hammadi Amaria Ilhem, Zater Zohra Yasmine, Bendida Keltoum, Brakna Chaimaa Naila, Berrazeg Meryem, Aireche Ahmed Yassine, Saidi Yasmine, Todorov Svetoslav Dimitrov, Arabet Dallel, Saidi Djamal

机构信息

Higher School of Biological Sciences of Oran, BP 1042 Saim Mohamed, Cité Emir Abdelkader (EX-INESSMO), Oran 31000, Algeria.

Laboratory of Microorganisms Biology and Biotechnology, University of Oran 1 Ahmed Ben Bella, Oran 31000, Algeria.

出版信息

Microorganisms. 2025 Jun 19;13(6):1425. doi: 10.3390/microorganisms13061425.

Abstract

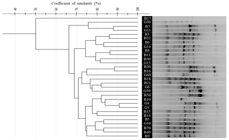
This study investigated thermophilic bacterial communities from two Algerian hot springs: Hammam Debagh (94-98 °C), recognized as the second hottest spring in the world, and Hammam Bouhadjar (61-72 °C), one of the hottest in northwest Algeria. Thirty isolates were obtained, able to grow between 45 °C and 80 °C, tolerating pH 5.0-12.0 and NaCl concentrations up to 3%. Colonies displayed diverse morphologies, from circular and smooth to star-shaped and Saturn-like forms. All isolates were characterized as Gram-positive, catalase-positive rods or filamentous bacteria. Identification by MALDI-TOF, rep-PCR and 16S rRNA sequencing classified them mainly within , , , , and , with predominating. Rep-PCR provided higher resolution, revealing intra-species diversity overlooked by MALDI-TOF MS and 16S rRNA. A subset of six isolates, mainly spp., was selected based on phenotypic and genotypic diversity and tested for antimicrobial activity against thermophilic target isolates from the same hot spring environments. Strong inhibition zones (~24 mm) were observed, with B8 displaying the highest activity. Optimization on Modified Nutrient Agar medium with Gelrite enhanced antimicrobial production and inhibition clarity. These findings highlight the ecological and biotechnological significance of thermophilic bacteria from Algerian geothermal ecosystems. While this study focused on microbial interactions within thermophilic communities, the promising inhibitory profiles reported here provide a foundation for future research targeting foodborne and antibiotic-resistant pathogens, as part of broader efforts in biopreservation and sustainable antimicrobial development.

摘要

本研究调查了来自阿尔及利亚两个温泉的嗜热细菌群落

德巴格温泉(94 - 98°C),被认为是世界第二热的温泉,以及布哈贾尔温泉(61 - 72°C),是阿尔及利亚西北部最热的温泉之一。共获得30株分离株,它们能够在45°C至80°C之间生长,耐受pH值为5.0 - 12.0,NaCl浓度高达3%。菌落呈现出多样的形态,从圆形光滑到星形和土星状。所有分离株均被鉴定为革兰氏阳性、过氧化氢酶阳性的杆状或丝状细菌。通过基质辅助激光解吸电离飞行时间质谱(MALDI - TOF)、重复聚合酶链反应(rep - PCR)和16S rRNA测序进行鉴定,结果表明它们主要属于 、 、 、 和 ,其中 占主导。rep - PCR提供了更高的分辨率,揭示了MALDI - TOF质谱和16S rRNA所忽略的种内多样性。基于表型和基因型多样性选择了一个包含6株分离株的子集,主要为 属菌株,并测试了它们对来自相同温泉环境的嗜热目标分离株的抗菌活性。观察到了较强的抑菌圈(约24毫米),其中 B8表现出最高活性。在添加结冷胶的改良营养琼脂培养基上进行优化,提高了抗菌物质的产量和抑菌清晰度。这些发现突出了阿尔及利亚地热生态系统中嗜热细菌的生态和生物技术意义。虽然本研究聚焦于嗜热群落内的微生物相互作用,但此处报道的有前景的抑菌谱为未来针对食源性病原体和抗生素抗性病原体的研究奠定了基础,这是生物保存和可持续抗菌剂开发更广泛努力的一部分。

https://cdn.ncbi.nlm.nih.gov/pmc/blobs/f3c4/12196180/d40aeb29c4f8/microorganisms-13-01425-g001.jpg

文献AI研究员

20分钟写一篇综述,助力文献阅读效率提升50倍。

立即体验

用中文搜PubMed

大模型驱动的PubMed中文搜索引擎

马上搜索

文档翻译

学术文献翻译模型,支持多种主流文档格式。

立即体验