• 文献检索
  • 文档翻译
  • 深度研究
  • 学术资讯
  • Suppr Zotero 插件Zotero 插件
  • 邀请有礼
  • 套餐&价格
  • 历史记录
应用&插件
Suppr Zotero 插件Zotero 插件浏览器插件Mac 客户端Windows 客户端微信小程序
定价
高级版会员购买积分包购买API积分包
服务
文献检索文档翻译深度研究API 文档MCP 服务
关于我们
关于 Suppr公司介绍联系我们用户协议隐私条款
关注我们

Suppr 超能文献

核心技术专利:CN118964589B侵权必究
粤ICP备2023148730 号-1Suppr @ 2026

文献检索

告别复杂PubMed语法,用中文像聊天一样搜索,搜遍4000万医学文献。AI智能推荐,让科研检索更轻松。

立即免费搜索

文件翻译

保留排版,准确专业,支持PDF/Word/PPT等文件格式,支持 12+语言互译。

免费翻译文档

深度研究

AI帮你快速写综述,25分钟生成高质量综述,智能提取关键信息,辅助科研写作。

立即免费体验

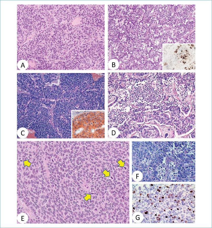
肺部神经内分泌肿瘤的临床需求与病理学解答

Clinical needs and pathology's answers in neuroendocrine neoplasms of the lung.

作者信息

Pelosi Giuseppe, Laffi Alice, Papotti Mauro, Lantuejoul Sylvie, Scoazec Jean-Yves, Gemelli Maria, Ricotta Riccardo, Harari Sergio, Duregon Eleonora, Papa Riccardo, Sonzogni Angelica, Bianchi Fabrizio, Bruno Antonino, Bassani Barbara, Uccella Silvia, Carnaghi Carlo, Bertuzzi Alexia Francesca

机构信息

Department of Oncology and Hemato-Oncology, University of Milan, Milan, Italy.

Inter-Hospital Pathology Division, Istituto di Ricovero e Cura a Carattere Scientifico (IRCCS) MultiMedica, Milan, Italy.

出版信息

Pathologica. 2025 Jun;117(3):220-242. doi: 10.32074/1591-951X-N1102. Epub 2025 Jun 27.

DOI:10.32074/1591-951X-N1102
PMID:40574629
原文链接:https://pmc.ncbi.nlm.nih.gov/articles/PMC12236144/
Abstract

Lung neuroendocrine neoplasms (NENs) make up a variegated ensemble of malignancies encompassing typical carcinoid (TC) and atypical carcinoid (AC). These are low to intermediate grade neuroendocrine tumors (NETs), and large cell neuroendocrine carcinoma (LCNEC) and small cell lung carcinoma (SCLC), which are full-fledged high-grade neuroendocrine carcinomas (NECs) showing similar clinical outcomes. Through a peer interaction between oncologist and pathologist, we herein constructed a practical approach based on questioning and answering regarding 8 practical issues aimed to provide shared solutions for clinical decision-making. These issues were itemized as sequential steps guided by clinical reasoning and concerned differential diagnosis, combined subtypes, primary and metastatic tumors, small diagnostic material, predictive biomarkers, tumor staging and, lastly, standardizing terminology. This study takes advantage of the close interaction between oncologists and pathologists as a tool to better delineate the decision-making on lung NENs.

摘要

肺神经内分泌肿瘤(NENs)是一组多样化的恶性肿瘤,包括典型类癌(TC)和非典型类癌(AC)。这些是低至中级别神经内分泌肿瘤(NETs),以及大细胞神经内分泌癌(LCNEC)和小细胞肺癌(SCLC),后者是成熟的高级别神经内分泌癌(NECs),具有相似的临床结局。通过肿瘤学家和病理学家之间的同行互动,我们在此构建了一种基于问答的实用方法,涉及8个实际问题,旨在为临床决策提供共同的解决方案。这些问题按照临床推理指导的顺序步骤列出,涉及鉴别诊断、混合亚型、原发性和转移性肿瘤、少量诊断材料、预测性生物标志物、肿瘤分期,最后是术语标准化。本研究利用肿瘤学家和病理学家之间的密切互动作为工具,以更好地描述肺NENs的决策过程。

https://cdn.ncbi.nlm.nih.gov/pmc/blobs/2beb/12236144/a7c0b01fa504/pathol-2025-03-220-g002.jpg
https://cdn.ncbi.nlm.nih.gov/pmc/blobs/2beb/12236144/4349c46dc583/pathol-2025-03-220-g001.jpg
https://cdn.ncbi.nlm.nih.gov/pmc/blobs/2beb/12236144/a7c0b01fa504/pathol-2025-03-220-g002.jpg
https://cdn.ncbi.nlm.nih.gov/pmc/blobs/2beb/12236144/4349c46dc583/pathol-2025-03-220-g001.jpg
https://cdn.ncbi.nlm.nih.gov/pmc/blobs/2beb/12236144/a7c0b01fa504/pathol-2025-03-220-g002.jpg

相似文献

1
Clinical needs and pathology's answers in neuroendocrine neoplasms of the lung.肺部神经内分泌肿瘤的临床需求与病理学解答
Pathologica. 2025 Jun;117(3):220-242. doi: 10.32074/1591-951X-N1102. Epub 2025 Jun 27.
2
Clinical and biological heterogeneity of Grade 2 digestive neuroendocrine neoplasms: prognostic significance of the 10% Ki-67 index cutoff and implications for treatment strategies. A longitudinal study.2级消化神经内分泌肿瘤的临床和生物学异质性:10% Ki-67指数临界值的预后意义及对治疗策略的影响。一项纵向研究。
J Endocrinol Invest. 2025 Feb 19. doi: 10.1007/s40618-025-02552-1.
3
Molecular markers help characterize neuroendocrine lung tumors.分子标志物有助于对神经内分泌性肺肿瘤进行特征描述。
Ann Thorac Surg. 1996 Sep;62(3):798-809; discussion 809-10. doi: 10.1016/s0003-4975(96)00435-3.
4
Systemic treatment for neuroendocrine non-small cell lung carcinoma: A cases series and a systematic review of the literature.神经内分泌非小细胞肺癌的系统性治疗:病例系列和文献系统评价。
Lung Cancer. 2023 Jul;181:107232. doi: 10.1016/j.lungcan.2023.107232. Epub 2023 May 10.
5
Prognostic and predictive significance of p53 and ATRX in neuroendocrine neoplasms of GIT and pancreas and their utility as an adjunct to accurate diagnosis-An eight-year retrospective study.p53和ATRX在胃肠道及胰腺神经内分泌肿瘤中的预后和预测意义及其作为准确诊断辅助手段的效用——一项八年回顾性研究
Indian J Gastroenterol. 2025 Feb;44(1):95-102. doi: 10.1007/s12664-024-01678-z. Epub 2024 Oct 1.
6
The International Association for the Study of Lung Cancer Staging Project: The Database and Proposal for the Revision of the Staging of Pulmonary Neuroendocrine Carcinoma in the Forthcoming Ninth Edition of the TNM Classification for Lung Cancer.国际肺癌研究协会分期项目:数据库及对即将出版的第九版肺癌TNM分类中肺神经内分泌癌分期修订的建议。
J Thorac Oncol. 2025 Jan 24. doi: 10.1016/j.jtho.2025.01.013.
7
Neuroendrocrine tumors of the uterine cervix: A therapeutic challenge for gynecologic oncologists.子宫颈神经内分泌肿瘤:对妇科肿瘤学家的治疗挑战。
Gynecol Oncol. 2017 Mar;144(3):637-646. doi: 10.1016/j.ygyno.2016.12.003. Epub 2017 Jan 3.
8
International association for the study of lung cancer/american thoracic society/european respiratory society international multidisciplinary classification of lung adenocarcinoma.国际肺癌研究协会/美国胸科学会/欧洲呼吸学会国际多学科肺腺癌分类。
J Thorac Oncol. 2011 Feb;6(2):244-85. doi: 10.1097/JTO.0b013e318206a221.
9
Neuroendocrine neoplasms as a lynch syndrome manifestation: a case report and comprehensive literature review.神经内分泌肿瘤作为林奇综合征的一种表现:一例病例报告及文献综述
Front Endocrinol (Lausanne). 2025 Jun 17;16:1587889. doi: 10.3389/fendo.2025.1587889. eCollection 2025.
10
Ki-67 assessment of pancreatic neuroendocrine neoplasms: Systematic review and meta-analysis of manual vs. digital pathology scoring.胰腺神经内分泌肿瘤的 Ki-67 评估:手动与数字病理学评分的系统评价和荟萃分析。
Mod Pathol. 2022 Jun;35(6):712-720. doi: 10.1038/s41379-022-01055-1. Epub 2022 Mar 5.

本文引用的文献

1
Relationship between the expressions of DLL3, ASC1, TTF-1 and Ki-67: First steps of precision medicine at SCLC.DLL3、ASC1、TTF-1 和 Ki-67 的表达关系:小细胞肺癌精准医学的初探。
Oncotarget. 2024 Oct 11;15:750-763. doi: 10.18632/oncotarget.28660.
2
Expression and Clinical Outcome in Pulmonary Carcinoids.肺类癌中的表达与临床结果
J Clin Oncol. 2025 Jan 10;43(2):214-225. doi: 10.1200/JCO.23.02708. Epub 2024 Sep 30.
3
Tarlatamab for Large Cell Neuroendocrine Carcinoma in a Young Adult: A Case Report.替雷他明治疗青年大细胞神经内分泌癌:一例报告
JTO Clin Res Rep. 2024 Jul 31;5(10):100712. doi: 10.1016/j.jtocrr.2024.100712. eCollection 2024 Oct.
4
SMARCB1/INI1-deficient undifferentiated tumour of the thorax: a case report and review of the literature.胸部 SMARCB1/INI1 缺陷型未分化肿瘤:病例报告及文献复习。
Pathologica. 2024 Jun;116(3):163-169. doi: 10.32074/1591-951X-955.
5
Differential NEUROD1, ASCL1, and POU2F3 Expression Defines Molecular Subsets of Bladder Small Cell/Neuroendocrine Carcinoma With Prognostic Implications.神经调节蛋白 1(NEUROD1)、激活素 A 受体样激酶 1(ASCL1)和 POU 类 2 型 3(POU2F3)的差异表达定义了具有预后意义的膀胱小细胞/神经内分泌癌的分子亚型。
Mod Pathol. 2024 Oct;37(10):100557. doi: 10.1016/j.modpat.2024.100557. Epub 2024 Jul 2.
6
A Phase I/II Study of Valemetostat (DS-3201b), an EZH1/2 Inhibitor, in Combination with Irinotecan in Patients with Recurrent Small-Cell Lung Cancer.一项关于 Valemetostat(DS-3201b),一种 EZH1/2 抑制剂,与伊立替康联合治疗复发性小细胞肺癌患者的 I/II 期研究。
Clin Cancer Res. 2024 Sep 3;30(17):3697-3703. doi: 10.1158/1078-0432.CCR-23-3383.
7
The Proposed Ninth Edition TNM Classification of Lung Cancer.肺癌第九版 TNM 分期系统。
Chest. 2024 Oct;166(4):882-895. doi: 10.1016/j.chest.2024.05.026. Epub 2024 Jun 15.
8
Assessment of the current and emerging criteria for the histopathological classification of lung neuroendocrine tumours in the lungNENomics project.评估肺神经内分泌肿瘤组织病理学分类的现行和新兴标准——肺神经内分泌肿瘤组学项目。
ESMO Open. 2024 Jun;9(6):103591. doi: 10.1016/j.esmoop.2024.103591. Epub 2024 Jun 14.
9
Big Decisions on Small Cell Lung Cancer: A Focus on Clinical Care Updates and Patient Perspectives.小细胞肺癌的重大决策:关注临床护理更新和患者视角。
Am Soc Clin Oncol Educ Book. 2024 Jun;44(3):e432520. doi: 10.1200/EDBK_432520.
10
Molecular Pathology of Lung Cancer.肺癌的分子病理学。
Clin Lab Med. 2024 Jun;44(2):137-147. doi: 10.1016/j.cll.2023.08.002.