• 文献检索
  • 文档翻译
  • 深度研究
  • 学术资讯
  • Suppr Zotero 插件Zotero 插件
  • 邀请有礼
  • 套餐&价格
  • 历史记录
应用&插件
Suppr Zotero 插件Zotero 插件浏览器插件Mac 客户端Windows 客户端微信小程序
定价
高级版会员购买积分包购买API积分包
服务
文献检索文档翻译深度研究API 文档MCP 服务
关于我们
关于 Suppr公司介绍联系我们用户协议隐私条款
关注我们

Suppr 超能文献

核心技术专利:CN118964589B侵权必究
粤ICP备2023148730 号-1Suppr @ 2026

文献检索

告别复杂PubMed语法,用中文像聊天一样搜索,搜遍4000万医学文献。AI智能推荐,让科研检索更轻松。

立即免费搜索

文件翻译

保留排版,准确专业,支持PDF/Word/PPT等文件格式,支持 12+语言互译。

免费翻译文档

深度研究

AI帮你快速写综述,25分钟生成高质量综述,智能提取关键信息,辅助科研写作。

立即免费体验

放射性心脏病:经导管主动脉瓣置换术与外科主动脉瓣置换术及心包切除术的困境

Radiation-Induced Cardiac Disease: Dilemma of Transcatheter Aortic Valve Replacement vs Surgical Aortic Valve Replacement and Pericardiectomy.

作者信息

Al-Dalakta Astefanos, El Roumi Joseph, Parizher Gary, Tabaja Chadi, Motairek Issam, Ikram Jibran, Ehsan Muhammad, Klein Allan L

机构信息

Center for Diagnosis and Treatment of Pericardial Diseases, Section of Cardiovascular Imaging, Robert and Suzanne Tomsich Department of Cardiovascular Medicine, Sydell and Arnold Miller Family Heart, Vascular and Thoracic Institute, Cleveland Clinic, Cleveland, Ohio, USA.

Center for Diagnosis and Treatment of Pericardial Diseases, Section of Cardiovascular Imaging, Robert and Suzanne Tomsich Department of Cardiovascular Medicine, Sydell and Arnold Miller Family Heart, Vascular and Thoracic Institute, Cleveland Clinic, Cleveland, Ohio, USA.

出版信息

JACC Case Rep. 2025 Jun 25;30(16):104012. doi: 10.1016/j.jaccas.2025.104012.

DOI:10.1016/j.jaccas.2025.104012
PMID:40579075
原文链接:https://pmc.ncbi.nlm.nih.gov/articles/PMC12273823/
Abstract

BACKGROUND

Radiation-induced cardiovascular disease, a complication of mediastinal radiation, often results in valvular and pericardial disease. Management is challenging, especially in high-risk patients.

CASE SUMMARY

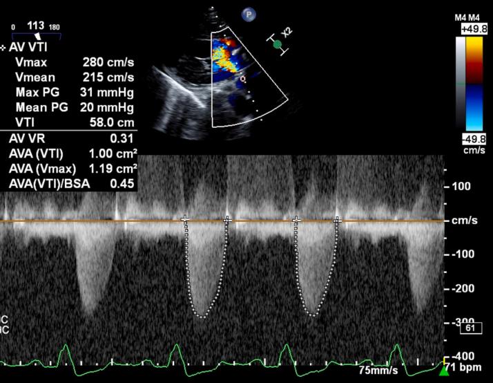
A 59-year-old man with a history of total body radiation presented with fatigue and dyspnea. Multimodality imaging, including echocardiography, cardiac magnetic resonance, and invasive hemodynamic assessment, confirmed severe aortic stenosis and mild constrictive physiology. Because of an elevated surgical risk and minimum contribution of constrictive physiology to symptoms, the multidisciplinary team opted for transcatheter aortic valve replacement over surgical aortic valve replacement with pericardiectomy.

DISCUSSION

This case underscores the complexities of radiation-induced cardiac disease management, emphasizing the role of multimodality imaging in treatment planning. It highlights transcatheter aortic valve replacement as a viable option for high-risk patients with aortic stenosis in this population.

TAKE-HOME MESSAGE: Multimodality imaging is essential for the management of radiation-induced cardiac disease.

摘要

背景

放射性心血管疾病是纵隔放疗的一种并发症,常导致瓣膜和心包疾病。治疗具有挑战性,尤其是在高危患者中。

病例摘要

一名有全身放疗史的59岁男性出现疲劳和呼吸困难。包括超声心动图、心脏磁共振和有创血流动力学评估在内的多模态成像证实存在严重主动脉瓣狭窄和轻度缩窄性生理改变。由于手术风险升高且缩窄性生理改变对症状的影响最小,多学科团队选择经导管主动脉瓣置换术而非行心包切除术的外科主动脉瓣置换术。

讨论

该病例强调了放射性心脏病治疗的复杂性,突出了多模态成像在治疗规划中的作用。它强调经导管主动脉瓣置换术是该人群中高危主动脉瓣狭窄患者的可行选择。

要点

多模态成像对于放射性心脏病的治疗至关重要。

https://cdn.ncbi.nlm.nih.gov/pmc/blobs/b151/12273823/2d0dc669d3aa/gr9.jpg
https://cdn.ncbi.nlm.nih.gov/pmc/blobs/b151/12273823/725bb9c6c563/ga1.jpg
https://cdn.ncbi.nlm.nih.gov/pmc/blobs/b151/12273823/df6cd718aaa3/gr1.jpg
https://cdn.ncbi.nlm.nih.gov/pmc/blobs/b151/12273823/52745cadb59f/gr2.jpg
https://cdn.ncbi.nlm.nih.gov/pmc/blobs/b151/12273823/c1942fe13c0e/gr3.jpg
https://cdn.ncbi.nlm.nih.gov/pmc/blobs/b151/12273823/7dd467f5c5ea/gr4.jpg
https://cdn.ncbi.nlm.nih.gov/pmc/blobs/b151/12273823/f7a18440e153/gr5.jpg
https://cdn.ncbi.nlm.nih.gov/pmc/blobs/b151/12273823/4ba6540c11a0/gr6.jpg
https://cdn.ncbi.nlm.nih.gov/pmc/blobs/b151/12273823/d7ab2dbf6126/gr7.jpg
https://cdn.ncbi.nlm.nih.gov/pmc/blobs/b151/12273823/c074b8530b90/gr8.jpg
https://cdn.ncbi.nlm.nih.gov/pmc/blobs/b151/12273823/2d0dc669d3aa/gr9.jpg
https://cdn.ncbi.nlm.nih.gov/pmc/blobs/b151/12273823/725bb9c6c563/ga1.jpg
https://cdn.ncbi.nlm.nih.gov/pmc/blobs/b151/12273823/df6cd718aaa3/gr1.jpg
https://cdn.ncbi.nlm.nih.gov/pmc/blobs/b151/12273823/52745cadb59f/gr2.jpg
https://cdn.ncbi.nlm.nih.gov/pmc/blobs/b151/12273823/c1942fe13c0e/gr3.jpg
https://cdn.ncbi.nlm.nih.gov/pmc/blobs/b151/12273823/7dd467f5c5ea/gr4.jpg
https://cdn.ncbi.nlm.nih.gov/pmc/blobs/b151/12273823/f7a18440e153/gr5.jpg
https://cdn.ncbi.nlm.nih.gov/pmc/blobs/b151/12273823/4ba6540c11a0/gr6.jpg
https://cdn.ncbi.nlm.nih.gov/pmc/blobs/b151/12273823/d7ab2dbf6126/gr7.jpg
https://cdn.ncbi.nlm.nih.gov/pmc/blobs/b151/12273823/c074b8530b90/gr8.jpg
https://cdn.ncbi.nlm.nih.gov/pmc/blobs/b151/12273823/2d0dc669d3aa/gr9.jpg

相似文献

1
Radiation-Induced Cardiac Disease: Dilemma of Transcatheter Aortic Valve Replacement vs Surgical Aortic Valve Replacement and Pericardiectomy.放射性心脏病:经导管主动脉瓣置换术与外科主动脉瓣置换术及心包切除术的困境
JACC Case Rep. 2025 Jun 25;30(16):104012. doi: 10.1016/j.jaccas.2025.104012.
2
Study protocol for an internahaational prospective non-randomised trial evaluating the long-term outcomes of transcatheter aortic valve implantation versus surgical aortic valve replacement for aortic-valve stenosis in patients at risk to severe valve obstruction: the TAVISAR trial.一项国际前瞻性非随机试验的研究方案,该试验旨在评估经导管主动脉瓣植入术与外科主动脉瓣置换术治疗有严重瓣膜狭窄风险的主动脉瓣狭窄患者的长期疗效:TAVISAR试验
BMJ Open. 2025 May 24;15(5):e101417. doi: 10.1136/bmjopen-2025-101417.
3
Cardiac Surgery心脏外科手术
4
Transcatheter aortic valve implantation with SAPIEN 3 versus surgical aortic valve replacement in patients with symptomatic severe aortic stenosis at low risk of surgical mortality: a cost-utility analysis for Switzerland.经导管主动脉瓣植入术(SAPIEN 3)与外科主动脉瓣置换术治疗低外科死亡率手术风险的有症状重度主动脉瓣狭窄患者:瑞士的成本-效用分析。
Swiss Med Wkly. 2024 Oct 24;154:3558. doi: 10.57187/s.3558.
5
Concomitant Transcatheter Aortic and Mitral Valve Replacement.经导管主动脉瓣和二尖瓣置换术同期进行
JACC Case Rep. 2025 Jun 25;30(16):103772. doi: 10.1016/j.jaccas.2025.103772. Epub 2025 May 10.
6
Development of Cardiac Computed Tomography for Evaluation of Aortic Valve Stenosis.用于评估主动脉瓣狭窄的心脏计算机断层扫描技术的发展
Tomography. 2025 May 28;11(6):62. doi: 10.3390/tomography11060062.
7
Limited versus full sternotomy for aortic valve replacement.主动脉瓣置换术的有限胸骨切开术与全胸骨切开术对比
Cochrane Database Syst Rev. 2017 Apr 10;4(4):CD011793. doi: 10.1002/14651858.CD011793.pub2.
8
Meta-analysis of longitudinal comparison of transcatheter versus surgical aortic valve replacement in patients at low to intermediate surgical risk.低至中度手术风险患者经导管主动脉瓣置换术与外科主动脉瓣置换术纵向比较的荟萃分析。
Int J Surg. 2024 Dec 1;110(12):8097-8106. doi: 10.1097/JS9.0000000000002158.
9
Transcatheter Treatment of Patient With Mitral Valve Endocarditis and Severe Aortic Stenosis and Insufficiency.经导管治疗二尖瓣心内膜炎合并严重主动脉瓣狭窄和关闭不全患者
JACC Case Rep. 2025 Aug 20;30(24):104186. doi: 10.1016/j.jaccas.2025.104186. Epub 2025 Jun 27.
10
Health Related Quality of Life (HRQoL) after transcatheter aortic valve implantation in aortic stenosis patients: exploring a novel threshold for clinically significant improvement after 12 months.主动脉瓣狭窄患者经导管主动脉瓣植入术后的健康相关生活质量(HRQoL):探索12个月后具有临床显著改善的新阈值。
J Patient Rep Outcomes. 2025 May 26;9(1):58. doi: 10.1186/s41687-025-00894-1.

本文引用的文献

1
Pericardial Diseases: International Position Statement on New Concepts and Advances in Multimodality Cardiac Imaging.心包疾病:多模态心脏成像新概念和新进展的国际立场声明。
JACC Cardiovasc Imaging. 2024 Aug;17(8):937-988. doi: 10.1016/j.jcmg.2024.04.010.
2
Radiation-Induced Cardiovascular Disease: Review of an Underrecognized Pathology.辐射诱导性心血管疾病:一种认识不足的病理学综述。
J Am Heart Assoc. 2021 Sep 21;10(18):e021686. doi: 10.1161/JAHA.121.021686. Epub 2021 Sep 6.
3
Outcomes of Patients With Severe Symptomatic Aortic Valve Stenosis After Chest Radiation: Transcatheter Versus Surgical Aortic Valve Replacement.
严重症状性主动脉瓣狭窄患者在胸部放疗后的结局:经导管主动脉瓣置换术与外科主动脉瓣置换术的比较。
J Am Heart Assoc. 2019 May 21;8(10):e012110. doi: 10.1161/JAHA.119.012110.
4
Cardiovascular Complications of Cancer Therapy: Best Practices in Diagnosis, Prevention, and Management: Part 2.癌症治疗的心血管并发症:诊断、预防及管理的最佳实践:第2部分
J Am Coll Cardiol. 2017 Nov 14;70(20):2552-2565. doi: 10.1016/j.jacc.2017.09.1095.
5
Radiation-induced heart disease: pathologic abnormalities and putative mechanisms.放射性心脏病:病理异常和推测机制。
Front Oncol. 2015 Feb 18;5:39. doi: 10.3389/fonc.2015.00039. eCollection 2015.
6
Risk of valvular heart disease after treatment for Hodgkin lymphoma.霍奇金淋巴瘤治疗后发生心脏瓣膜病的风险。
J Natl Cancer Inst. 2015 Feb 23;107(4). doi: 10.1093/jnci/djv008. Print 2015 Apr.
7
Constrictive pericarditis in the modern era: evolving clinical spectrum and impact on outcome after pericardiectomy.现代缩窄性心包炎:临床谱的演变及心包切除术后对预后的影响
Circulation. 1999 Sep 28;100(13):1380-6. doi: 10.1161/01.cir.100.13.1380.