• 文献检索
  • 文档翻译
  • 深度研究
  • 学术资讯
  • Suppr Zotero 插件Zotero 插件
  • 邀请有礼
  • 套餐&价格
  • 历史记录
应用&插件
Suppr Zotero 插件Zotero 插件浏览器插件Mac 客户端Windows 客户端微信小程序
定价
高级版会员购买积分包购买API积分包
服务
文献检索文档翻译深度研究API 文档MCP 服务
关于我们
关于 Suppr公司介绍联系我们用户协议隐私条款
关注我们

Suppr 超能文献

核心技术专利:CN118964589B侵权必究
粤ICP备2023148730 号-1Suppr @ 2026

文献检索

告别复杂PubMed语法,用中文像聊天一样搜索,搜遍4000万医学文献。AI智能推荐,让科研检索更轻松。

立即免费搜索

文件翻译

保留排版,准确专业,支持PDF/Word/PPT等文件格式,支持 12+语言互译。

免费翻译文档

深度研究

AI帮你快速写综述,25分钟生成高质量综述,智能提取关键信息,辅助科研写作。

立即免费体验

用于具有挑战性的二尖瓣经导管缘对缘修复术中引导的三维实时多平面重建

Three-Dimensional Real-Time Multiplanar Reconstruction for Intraprocedural Guidance of Challenging Mitral Transcatheter Edge-to-Edge Repair.

作者信息

Lander Krystle, Thaw Khin May, Murdoch Dale, Lau Katherine, Raffel Christopher, Walters Darren L, Scalia Gregory

机构信息

Department of Cardiology, The Prince Charles Hospital, Chermside, Australia.

Faculty of Health, Medicine and Behavioural Sciences, University of Queensland, Herston, Australia.

出版信息

CASE (Phila). 2025 Apr 18;9(6):175-180. doi: 10.1016/j.case.2025.02.007. eCollection 2025 Jun.

DOI:10.1016/j.case.2025.02.007
PMID:40583869
原文链接:https://pmc.ncbi.nlm.nih.gov/articles/PMC12198112/
Abstract

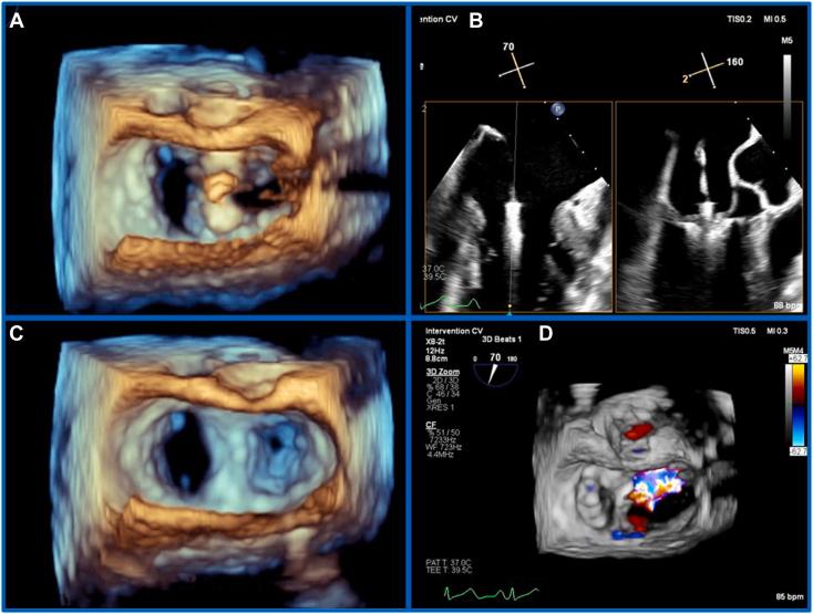
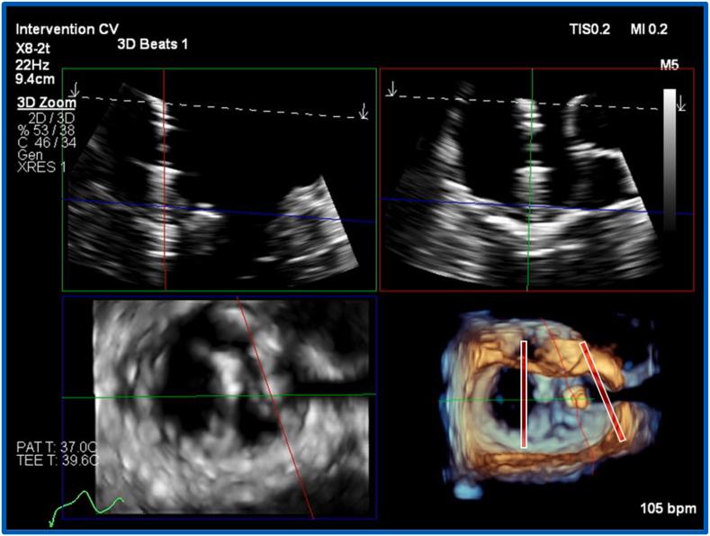
• 3D MPR allows simultaneous viewing and manipulation of intersecting 2D planes. • Mitral TEER demands intuitive anatomic displays and optimal imaging precision. • 3D RT-MPR simplifies complex multidevice and unfavorable anatomy cases. • Lower resolution in the 3D-derived 2D planar images is a current limitation.

摘要

• 三维多平面重组(3D MPR)允许同时查看和操作相交的二维平面。

• 二尖瓣经导管边缘对边缘修复术(Mitral TEER)需要直观的解剖显示和最佳的成像精度。

• 三维实时多平面重组(3D RT-MPR)简化了复杂的多装置和解剖结构不佳的病例。

• 三维衍生二维平面图像的分辨率较低是目前的一个限制。

https://cdn.ncbi.nlm.nih.gov/pmc/blobs/676f/12198112/f275e3d27d5b/gr7.jpg
https://cdn.ncbi.nlm.nih.gov/pmc/blobs/676f/12198112/08a57a3d234b/ga1.jpg
https://cdn.ncbi.nlm.nih.gov/pmc/blobs/676f/12198112/6842ddbe9e60/gr1.jpg
https://cdn.ncbi.nlm.nih.gov/pmc/blobs/676f/12198112/36b55af66c81/gr2.jpg
https://cdn.ncbi.nlm.nih.gov/pmc/blobs/676f/12198112/6efe4d102d38/gr3.jpg
https://cdn.ncbi.nlm.nih.gov/pmc/blobs/676f/12198112/86b6d7fb9fa4/gr4.jpg
https://cdn.ncbi.nlm.nih.gov/pmc/blobs/676f/12198112/f776a29abbaf/gr5.jpg
https://cdn.ncbi.nlm.nih.gov/pmc/blobs/676f/12198112/70998527af15/gr6.jpg
https://cdn.ncbi.nlm.nih.gov/pmc/blobs/676f/12198112/f275e3d27d5b/gr7.jpg
https://cdn.ncbi.nlm.nih.gov/pmc/blobs/676f/12198112/08a57a3d234b/ga1.jpg
https://cdn.ncbi.nlm.nih.gov/pmc/blobs/676f/12198112/6842ddbe9e60/gr1.jpg
https://cdn.ncbi.nlm.nih.gov/pmc/blobs/676f/12198112/36b55af66c81/gr2.jpg
https://cdn.ncbi.nlm.nih.gov/pmc/blobs/676f/12198112/6efe4d102d38/gr3.jpg
https://cdn.ncbi.nlm.nih.gov/pmc/blobs/676f/12198112/86b6d7fb9fa4/gr4.jpg
https://cdn.ncbi.nlm.nih.gov/pmc/blobs/676f/12198112/f776a29abbaf/gr5.jpg
https://cdn.ncbi.nlm.nih.gov/pmc/blobs/676f/12198112/70998527af15/gr6.jpg
https://cdn.ncbi.nlm.nih.gov/pmc/blobs/676f/12198112/f275e3d27d5b/gr7.jpg

相似文献

1
Three-Dimensional Real-Time Multiplanar Reconstruction for Intraprocedural Guidance of Challenging Mitral Transcatheter Edge-to-Edge Repair.用于具有挑战性的二尖瓣经导管缘对缘修复术中引导的三维实时多平面重建
CASE (Phila). 2025 Apr 18;9(6):175-180. doi: 10.1016/j.case.2025.02.007. eCollection 2025 Jun.
2
Intraprocedural 3D-vena contracta area predicts survival after transcatheter edge-to-edge repair: results from MITRA-PRO registry.术中三维缩窄处面积可预测经导管缘对缘修复术后的生存率:来自MITRA-PRO注册研究的结果
Clin Res Cardiol. 2024 Dec 9. doi: 10.1007/s00392-024-02580-6.
3
Advanced Protocol for Three-Dimensional Transesophageal Echocardiography Guidance Implementing Real-Time Multiplanar Reconstruction for Transcatheter Mitral Valve Repair by Direct Annuloplasty.经导管二尖瓣修复的直接瓣环成形术的实时多平面重建的三维经食管超声心动图引导的高级方案。
J Am Soc Echocardiogr. 2019 Oct;32(10):1359-1365. doi: 10.1016/j.echo.2019.05.015. Epub 2019 Jul 15.
4
Systematic Fluoroscopic-Echocardiographic Fusion Imaging Protocol for Transcatheter Edge-to-Edge Mitral Valve Repair Intraprocedural Monitoring.经导管缘对缘二尖瓣修复术中实时监测的系统透视-超声心动图融合成像方案。
J Am Soc Echocardiogr. 2021 Jun;34(6):604-613. doi: 10.1016/j.echo.2021.01.010. Epub 2021 Jan 13.
5
Advanced Echocardiographic Guidance for Transcatheter Tricuspid Edge-To-Edge Repair.经食管超声心动图引导下经导管三尖瓣缘对缘修复术
Cardiol Clin. 2024 Aug;42(3):351-360. doi: 10.1016/j.ccl.2024.01.001. Epub 2024 Feb 10.
6
Advanced Echocardiographic Guidance for Transcatheter Tricuspid Edge-To-Edge Repair.经导管三尖瓣缘对缘修复的高级超声心动图引导
Interv Cardiol Clin. 2025 Jul;14(3):329-338. doi: 10.1016/j.iccl.2024.09.004.
7
The effect of a smaller spacer in the PASCAL Ace on residual mitral valve orifice area.PASCAL Ace中较小间隔物对二尖瓣残余瓣口面积的影响。
Clin Res Cardiol. 2024 Jan 25. doi: 10.1007/s00392-023-02368-0.
8
Impact of Intraprocedural Mitral Regurgitation and Gradient Following Transcatheter Edge-to-Edge Repair for Primary Mitral Regurgitation.经导管缘对缘修复术治疗原发性二尖瓣反流术中二尖瓣反流及梯度的影响。
JACC Cardiovasc Interv. 2024 Jul 8;17(13):1559-1573. doi: 10.1016/j.jcin.2024.05.018.
9
Quality of Life After Mitral Transcatheter Edge-to-Edge Repair According to Baseline Tricuspid Regurgitation.根据基线三尖瓣反流情况评估经导管二尖瓣缘对缘修复术后的生活质量
Struct Heart. 2025 Jan 2;9(6):100408. doi: 10.1016/j.shj.2024.100408. eCollection 2025 Jun.
10
Design and Rationale of ECHO-CLIP Study: Transcatheter Edge-to-Edge Repair for Mitral Regurgitation Under Solely Transesophageal Echocardiographic Guidance Compared With Fluoroscopic and Transesophageal Echocardiographic Coguidance.ECHO-CLIP研究的设计与原理:仅在经食管超声心动图引导下与荧光透视及经食管超声心动图联合引导下经导管二尖瓣反流缘对缘修复术的比较
J Am Heart Assoc. 2025 Jul;14(13):e040672. doi: 10.1161/JAHA.124.040672. Epub 2025 Jun 27.

本文引用的文献

1
Standardized 3D Transoesophageal Echocardiography Manoeuvre for Enhanced Tenting Height Evaluation During Transcatheter Mitral Valve Edge-to-Edge Repair.经导管二尖瓣缘对缘修复术中用于增强帐篷高度评估的标准化三维经食管超声心动图操作
J Clin Med. 2024 Oct 30;13(21):6525. doi: 10.3390/jcm13216525.
2
Echocardiographic Imaging in Transcatheter Structural Intervention: An AAE Review Paper.经导管结构介入治疗中的超声心动图成像:美国超声心动图学会综述文章
JACC Asia. 2023 Jul 25;3(4):556-579. doi: 10.1016/j.jacasi.2023.05.012. eCollection 2023 Aug.
3
Clinical Utility of Three-Dimensional Echocardiography in the Evaluation of Mitral Valve Disease: Tips and Tricks.
三维超声心动图在二尖瓣疾病评估中的临床应用:技巧与窍门
J Clin Med. 2023 Mar 27;12(7):2522. doi: 10.3390/jcm12072522.
4
Real-Time Multiplanar Reconstruction As a Standard Imaging Modality for Structural Heart Procedural Guidance.实时多平面重建作为心脏结构手术指导的标准成像方式。
J Cardiothorac Vasc Anesth. 2023 Apr;37(4):582-583. doi: 10.1053/j.jvca.2022.12.035. Epub 2023 Jan 6.
5
Real-Time Multiplanar Reconstruction Imaging Using 3-Dimensional Transesophageal Echocardiography in Structural Heart Interventions.在结构性心脏介入治疗中使用三维经食管超声心动图进行实时多平面重建成像
J Cardiothorac Vasc Anesth. 2023 Apr;37(4):570-581. doi: 10.1053/j.jvca.2022.11.011. Epub 2022 Nov 13.
6
Complications of Transesophageal Echocardiography: A Review of Injuries, Risk Factors, and Management.经食管超声心动图检查的并发症:损伤、危险因素和处理的综述。
J Cardiothorac Vasc Anesth. 2022 Aug;36(8 Pt B):3292-3302. doi: 10.1053/j.jvca.2022.02.015. Epub 2022 Feb 12.
7
Recommended Standards for the Performance of Transesophageal Echocardiographic Screening for Structural Heart Intervention: From the American Society of Echocardiography.经食管超声心动图在结构性心脏介入治疗中筛查的推荐执行标准:来自美国超声心动图学会。
J Am Soc Echocardiogr. 2022 Jan;35(1):1-76. doi: 10.1016/j.echo.2021.07.006. Epub 2021 Jul 17.
8
Live Three-Dimensional Multiplanar Reconstruction Imaging Guidance for Concomitant Mitral and Tricuspid Valve Repairs Using the MitraClip.使用MitraClip进行二尖瓣和三尖瓣联合修复的实时三维多平面重建成像引导
CASE (Phila). 2020 Feb 11;4(3):119-126. doi: 10.1016/j.case.2020.01.002. eCollection 2020 Jun.
9
Transcatheter Mitral-Valve Repair in Patients with Heart Failure.经导管二尖瓣修复术治疗心力衰竭患者。
N Engl J Med. 2018 Dec 13;379(24):2307-2318. doi: 10.1056/NEJMoa1806640. Epub 2018 Sep 23.
10
Randomized Comparison of Percutaneous Repair and Surgery for Mitral Regurgitation: 5-Year Results of EVEREST II.经皮二尖瓣修复术与手术治疗二尖瓣反流的随机对照研究: EVEREST II 研究 5 年结果
J Am Coll Cardiol. 2015 Dec 29;66(25):2844-2854. doi: 10.1016/j.jacc.2015.10.018.