• 文献检索
  • 文档翻译
  • 深度研究
  • 学术资讯
  • Suppr Zotero 插件Zotero 插件
  • 邀请有礼
  • 套餐&价格
  • 历史记录
应用&插件
Suppr Zotero 插件Zotero 插件浏览器插件Mac 客户端Windows 客户端微信小程序
定价
高级版会员购买积分包购买API积分包
服务
文献检索文档翻译深度研究API 文档MCP 服务
关于我们
关于 Suppr公司介绍联系我们用户协议隐私条款
关注我们

Suppr 超能文献

核心技术专利:CN118964589B侵权必究
粤ICP备2023148730 号-1Suppr @ 2026

文献检索

告别复杂PubMed语法,用中文像聊天一样搜索,搜遍4000万医学文献。AI智能推荐,让科研检索更轻松。

立即免费搜索

文件翻译

保留排版,准确专业,支持PDF/Word/PPT等文件格式,支持 12+语言互译。

免费翻译文档

深度研究

AI帮你快速写综述,25分钟生成高质量综述,智能提取关键信息,辅助科研写作。

立即免费体验

分次陀螺刀放射外科治疗视神经胶质瘤:一例报告及文献复习

Fractionated Gyroscopic Radiosurgery for Optic Nerve Glioma: A Case Report and Review of the Literature.

作者信息

Narayanaswamy Parvathi, Vp Alisha, Manocha Sapna V, Jadhav Ganesh, Chaini Rohit K, Tyagi Sudheer, Oommen Saji, Chauhan Sunil, Kumar Harish, Yadav Ankit

机构信息

Radiation Oncology, Indraprastha Apollo Hospitals, New Delhi, New Delhi, IND.

Neurological Surgery, Indraprastha Apollo Hospitals, New Delhi, New Delhi, IND.

出版信息

Cureus. 2025 May 30;17(5):e85112. doi: 10.7759/cureus.85112. eCollection 2025 May.

DOI:10.7759/cureus.85112
PMID:40589683
原文链接:https://pmc.ncbi.nlm.nih.gov/articles/PMC12207188/
Abstract

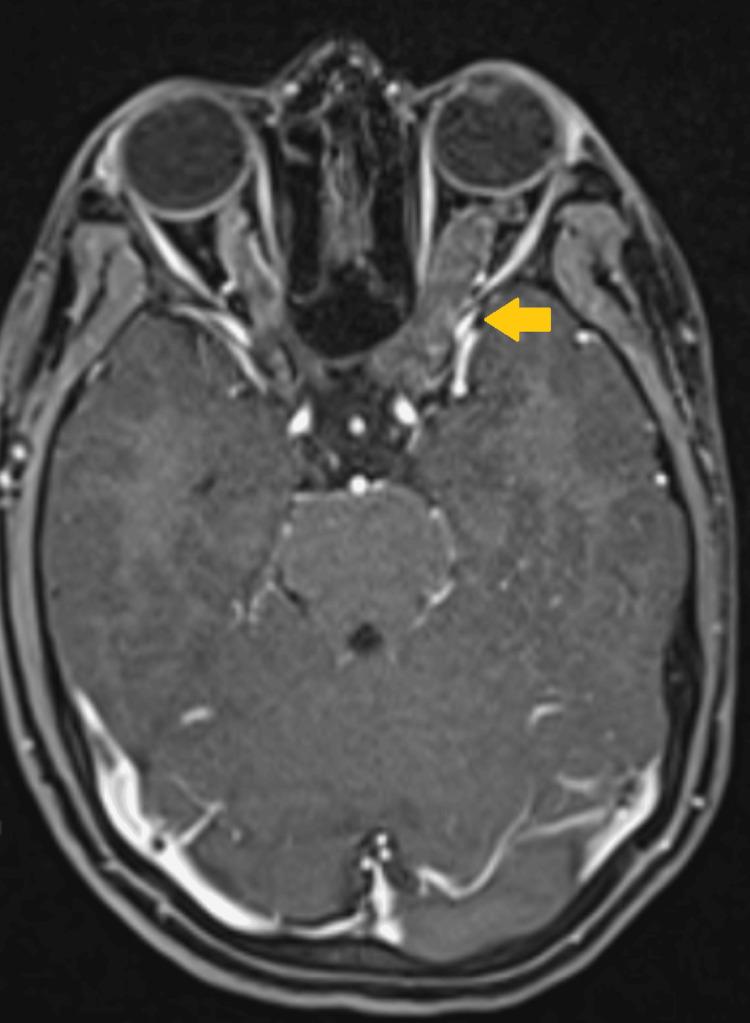
Radiotherapy offers a favorable long-term outcome for the treatment of optic pathway glioma, but at a cost of neurocognitive impairment and decreased quality of life. This has led to a chemotherapy-first approach, deferring radiotherapy till disease progression. We present a case report wherein a 20-year-old female patient with left optic nerve glioma was treated with definitive radiotherapy using a self-shielding gyroscopic radiosurgery (GRS) system. We report the first published use of GRS in the treatment of optic nerve glioma. The patient was treated with 15 Gy at the 56% isodose line in two fractions on alternate days with 17 isocenters and 271 non-coplanar beams, amounting to a total treatment time of 63 minutes. The evaluation of the treatment plan shows considerable sparing of the normal structures, which may translate into better long-term clinical outcomes. A clinical follow-up after a month of treatment showed good clinical control without any undue treatment-related toxicity. Further follow-up is slated as per standard protocol. This case report opens up the potential for considering GRS after careful scrutiny as a first-line approach in the treatment of optic nerve glioma.

摘要

放射治疗对视神经胶质瘤的治疗具有良好的长期效果,但代价是神经认知功能损害和生活质量下降。这导致了一种先进行化疗的方法,将放射治疗推迟到疾病进展时。我们报告一例病例,一名20岁患有左侧视神经胶质瘤的女性患者使用自屏蔽陀螺式放射外科手术(GRS)系统进行了根治性放射治疗。我们报告了GRS首次用于治疗视神经胶质瘤的情况。患者在56%等剂量线处以15 Gy分两次隔日给予治疗,共17个等中心和271条非共面射束,总治疗时间为63分钟。治疗计划评估显示正常结构得到了相当程度的保护,这可能转化为更好的长期临床结果。治疗一个月后的临床随访显示临床控制良好,无任何过度的治疗相关毒性。将按照标准方案进行进一步随访。本病例报告表明,经过仔细审查后,GRS有可能作为视神经胶质瘤治疗的一线方法。

https://cdn.ncbi.nlm.nih.gov/pmc/blobs/814d/12207188/5773f2615559/cureus-0017-00000085112-i04.jpg
https://cdn.ncbi.nlm.nih.gov/pmc/blobs/814d/12207188/dc4051ff139b/cureus-0017-00000085112-i01.jpg
https://cdn.ncbi.nlm.nih.gov/pmc/blobs/814d/12207188/80a61cd479c8/cureus-0017-00000085112-i02.jpg
https://cdn.ncbi.nlm.nih.gov/pmc/blobs/814d/12207188/d446d8a49c0d/cureus-0017-00000085112-i03.jpg
https://cdn.ncbi.nlm.nih.gov/pmc/blobs/814d/12207188/5773f2615559/cureus-0017-00000085112-i04.jpg
https://cdn.ncbi.nlm.nih.gov/pmc/blobs/814d/12207188/dc4051ff139b/cureus-0017-00000085112-i01.jpg
https://cdn.ncbi.nlm.nih.gov/pmc/blobs/814d/12207188/80a61cd479c8/cureus-0017-00000085112-i02.jpg
https://cdn.ncbi.nlm.nih.gov/pmc/blobs/814d/12207188/d446d8a49c0d/cureus-0017-00000085112-i03.jpg
https://cdn.ncbi.nlm.nih.gov/pmc/blobs/814d/12207188/5773f2615559/cureus-0017-00000085112-i04.jpg

相似文献

1
Fractionated Gyroscopic Radiosurgery for Optic Nerve Glioma: A Case Report and Review of the Literature.分次陀螺刀放射外科治疗视神经胶质瘤:一例报告及文献复习
Cureus. 2025 May 30;17(5):e85112. doi: 10.7759/cureus.85112. eCollection 2025 May.
2
The effectiveness and cost-effectiveness of carmustine implants and temozolomide for the treatment of newly diagnosed high-grade glioma: a systematic review and economic evaluation.卡莫司汀植入剂与替莫唑胺治疗新诊断的高级别胶质瘤的有效性和成本效益:一项系统评价与经济学评估
Health Technol Assess. 2007 Nov;11(45):iii-iv, ix-221. doi: 10.3310/hta11450.
3
Radiotherapy for diffuse brainstem glioma in children and young adults.儿童和青年弥漫性脑干胶质瘤的放射治疗
Cochrane Database Syst Rev. 2016 Jun 27;2016(6):CD010439. doi: 10.1002/14651858.CD010439.pub2.
4
A rapid and systematic review of the clinical effectiveness and cost-effectiveness of paclitaxel, docetaxel, gemcitabine and vinorelbine in non-small-cell lung cancer.对紫杉醇、多西他赛、吉西他滨和长春瑞滨在非小细胞肺癌中的临床疗效和成本效益进行的快速系统评价。
Health Technol Assess. 2001;5(32):1-195. doi: 10.3310/hta5320.
5
Whole brain radiotherapy for the treatment of newly diagnosed multiple brain metastases.全脑放疗用于治疗新诊断的多发脑转移瘤。
Cochrane Database Syst Rev. 2012 Apr 18;2012(4):CD003869. doi: 10.1002/14651858.CD003869.pub3.
6
Single and multitarget stereotactic radiosurgery (SRS) with single isocenter in the treatment of multiple brain metastases (BM): institutional experience.单中心单靶点及多靶点立体定向放射外科治疗多发脑转移瘤的机构经验
Clin Transl Oncol. 2025 Jan 15. doi: 10.1007/s12094-024-03844-3.
7
Interventions for the treatment of brain radionecrosis after radiotherapy or radiosurgery.放疗或放射外科手术后脑放射性坏死的治疗干预措施。
Cochrane Database Syst Rev. 2018 Jul 9;7(7):CD011492. doi: 10.1002/14651858.CD011492.pub2.
8
Nutritional interventions for survivors of childhood cancer.儿童癌症幸存者的营养干预措施。
Cochrane Database Syst Rev. 2016 Aug 22;2016(8):CD009678. doi: 10.1002/14651858.CD009678.pub2.
9
A rapid and systematic review of the clinical effectiveness and cost-effectiveness of topotecan for ovarian cancer.拓扑替康治疗卵巢癌的临床有效性和成本效益的快速系统评价。
Health Technol Assess. 2001;5(28):1-110. doi: 10.3310/hta5280.
10
Treatment for sialorrhea (excessive saliva) in people with motor neuron disease/amyotrophic lateral sclerosis.运动神经元病/肌萎缩侧索硬化症患者流涎(唾液过多)的治疗。
Cochrane Database Syst Rev. 2022 May 20;5(5):CD006981. doi: 10.1002/14651858.CD006981.pub3.

本文引用的文献

1
CyberKnife in Pediatric Oncology: A Narrative Review of Treatment Approaches and Outcomes.小儿肿瘤学中的射波刀:治疗方法与结果的叙述性综述
Curr Oncol. 2025 Jan 29;32(2):76. doi: 10.3390/curroncol32020076.
2
Dosimetric comparison of ZAP-X, Gamma Knife, and CyberKnife stereotactic radiosurgery for single brain metastasis.ZAP-X、伽玛刀和 CyberKnife 立体定向放射外科治疗单个脑转移瘤的剂量学比较。
BMC Cancer. 2024 Aug 1;24(1):936. doi: 10.1186/s12885-024-12710-y.
3
Recent Updates on Radiation Therapy for Pediatric Optic Pathway Glioma.
小儿视路胶质瘤放射治疗的最新进展
Brain Tumor Res Treat. 2022 Apr;10(2):94-100. doi: 10.14791/btrt.2022.0003.
4
A Story of Hypofractionation and the Table on the Wall.一个关于大分割放疗和墙上表格的故事。
Int J Radiat Oncol Biol Phys. 2022 Jan 1;112(1):4-21. doi: 10.1016/j.ijrobp.2021.09.027.
5
Repeat stereotactic radiosurgery for progressive vestibular schwannomas after previous radiosurgery: a systematic review and meta-analysis.重复立体定向放射外科治疗前庭神经鞘瘤:一项系统评价和荟萃分析。
Neurosurg Rev. 2021 Dec;44(6):3177-3188. doi: 10.1007/s10143-021-01528-y. Epub 2021 Apr 13.
6
Optic Nerve Gliomas.视神经胶质瘤
J Neurol Surg B Skull Base. 2021 Feb;82(1):91-95. doi: 10.1055/s-0040-1722634. Epub 2021 Jan 19.
7
Early radiotherapy preserves vision in sporadic optic pathway glioma.散发型视神经胶质瘤早期放疗可保留视力。
Cancer. 2021 Jul 1;127(13):2358-2367. doi: 10.1002/cncr.33497. Epub 2021 Mar 19.
8
Characterization of a Novel 3 Megavolt Linear Accelerator for Dedicated Intracranial Stereotactic Radiosurgery.一种用于专用颅内立体定向放射外科的新型3兆伏直线加速器的特性
Cureus. 2019 Mar 19;11(3):e4275. doi: 10.7759/cureus.4275.
9
Outcomes Following Proton Therapy for Pediatric Low-Grade Glioma.质子治疗儿科低级别胶质瘤的结果。
Int J Radiat Oncol Biol Phys. 2019 May 1;104(1):149-156. doi: 10.1016/j.ijrobp.2019.01.078. Epub 2019 Jan 23.
10
Clinical Presentation and Outcome of Patients With Optic Pathway Glioma.视神经胶质瘤患者的临床表现和预后。
Pediatr Neurol. 2017 Oct;75:55-60. doi: 10.1016/j.pediatrneurol.2017.06.019. Epub 2017 Jul 6.