• 文献检索
  • 文档翻译
  • 深度研究
  • 学术资讯
  • Suppr Zotero 插件Zotero 插件
  • 邀请有礼
  • 套餐&价格
  • 历史记录
应用&插件
Suppr Zotero 插件Zotero 插件浏览器插件Mac 客户端Windows 客户端微信小程序
定价
高级版会员购买积分包购买API积分包
服务
文献检索文档翻译深度研究API 文档MCP 服务
关于我们
关于 Suppr公司介绍联系我们用户协议隐私条款
关注我们

Suppr 超能文献

核心技术专利:CN118964589B侵权必究
粤ICP备2023148730 号-1Suppr @ 2026

文献检索

告别复杂PubMed语法,用中文像聊天一样搜索,搜遍4000万医学文献。AI智能推荐,让科研检索更轻松。

立即免费搜索

文件翻译

保留排版,准确专业,支持PDF/Word/PPT等文件格式,支持 12+语言互译。

免费翻译文档

深度研究

AI帮你快速写综述,25分钟生成高质量综述,智能提取关键信息,辅助科研写作。

立即免费体验

由……引起的肺部疾病的进展与临床实践 (你提供的原文不完整,这里只是根据现有内容翻译)

The Advance and Clinical Practice on Lung Disease Caused by .

作者信息

Zhang Lijun, Rao Yao, Li Zhongyan, Fan Mei, Xiang Zongjun, Wang Jingsong

机构信息

Department of Clinical Pharmacy, Dazhou Central Hospital, Dazhou, Sichuan, People's Republic of China.

Department of Respiratory, Dazhou Central Hospital, Dazhou, Sichuan, People's Republic of China.

出版信息

Infect Drug Resist. 2025 Jun 25;18:3103-3115. doi: 10.2147/IDR.S524214. eCollection 2025.

DOI:10.2147/IDR.S524214
PMID:40590044
原文链接:https://pmc.ncbi.nlm.nih.gov/articles/PMC12206908/
Abstract

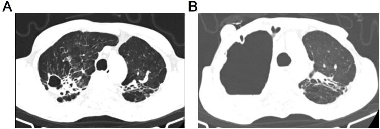
lung disease has gradually become a common clinical condition, with its incidence rate continuously rising, especially among patients with weakened immune function or those with chronic lung diseases. Given the high resistance of to antibiotics, the options for antibiotics are very limited. Additionally, long treatment times and poor patient compliance lead to low cure rates and high recurrence rates, making it one of the significant public health challenges threatening global health. This article presents two cases of patients diagnosed with lung disease using next-generation metagenomic sequencing technology. It reviews and analyzes the current research on along with details from these cases. Furthermore, this article emphasizes the necessity of timely, regular, and comprehensive treatment for lung disease. Meanwhile, we call for the formulation of robust prevention strategies, the optimization and innovation of treatment regimens, and the enhancement of follow-up management after cure to improve the understanding and handling capabilities of lung disease, thereby addressing the increasing clinical challenges.

摘要

肺部疾病已逐渐成为一种常见的临床病症,其发病率持续上升,尤其是在免疫功能低下的患者或患有慢性肺部疾病的人群中。鉴于[病原体名称]对抗生素具有高度耐药性,抗生素的选择非常有限。此外,治疗时间长且患者依从性差导致治愈率低、复发率高,使其成为威胁全球健康的重大公共卫生挑战之一。本文介绍了两例使用下一代宏基因组测序技术诊断为[疾病名称]肺部疾病的患者案例。回顾并分析了当前关于[疾病名称]的研究以及这些案例的详细情况。此外,本文强调了对[疾病名称]肺部疾病进行及时、规范和综合治疗的必要性。同时,我们呼吁制定强有力的预防策略,优化和创新治疗方案,并加强治愈后的随访管理,以提高对[疾病名称]肺部疾病的认识和处理能力,从而应对日益增加的临床挑战。

需注意,原文中部分关键信息缺失(如具体的病原体名称、疾病名称等),我按照格式要求进行了翻译,但实际翻译时应根据准确信息进行调整。

https://cdn.ncbi.nlm.nih.gov/pmc/blobs/d1c4/12206908/15b636b35b5f/IDR-18-3103-g0004.jpg
https://cdn.ncbi.nlm.nih.gov/pmc/blobs/d1c4/12206908/b21baf7177aa/IDR-18-3103-g0001.jpg
https://cdn.ncbi.nlm.nih.gov/pmc/blobs/d1c4/12206908/f0b4f9fe55c9/IDR-18-3103-g0002.jpg
https://cdn.ncbi.nlm.nih.gov/pmc/blobs/d1c4/12206908/6c64ba1d1af1/IDR-18-3103-g0003.jpg
https://cdn.ncbi.nlm.nih.gov/pmc/blobs/d1c4/12206908/15b636b35b5f/IDR-18-3103-g0004.jpg
https://cdn.ncbi.nlm.nih.gov/pmc/blobs/d1c4/12206908/b21baf7177aa/IDR-18-3103-g0001.jpg
https://cdn.ncbi.nlm.nih.gov/pmc/blobs/d1c4/12206908/f0b4f9fe55c9/IDR-18-3103-g0002.jpg
https://cdn.ncbi.nlm.nih.gov/pmc/blobs/d1c4/12206908/6c64ba1d1af1/IDR-18-3103-g0003.jpg
https://cdn.ncbi.nlm.nih.gov/pmc/blobs/d1c4/12206908/15b636b35b5f/IDR-18-3103-g0004.jpg

相似文献

1
The Advance and Clinical Practice on Lung Disease Caused by .由……引起的肺部疾病的进展与临床实践 (你提供的原文不完整,这里只是根据现有内容翻译)
Infect Drug Resist. 2025 Jun 25;18:3103-3115. doi: 10.2147/IDR.S524214. eCollection 2025.
2
Antibiotic treatment for nontuberculous mycobacteria lung infection in people with cystic fibrosis.囊性纤维化患者非结核分枝杆菌肺部感染的抗生素治疗
Cochrane Database Syst Rev. 2016 Dec 19;12(12):CD010004. doi: 10.1002/14651858.CD010004.pub4.
3
Antibiotic treatment for nontuberculous mycobacteria lung infection in people with cystic fibrosis.囊性纤维化患者非结核分枝杆菌肺部感染的抗生素治疗
Cochrane Database Syst Rev. 2012 Dec 12;12:CD010004. doi: 10.1002/14651858.CD010004.pub2.
4
Preclinical murine models for the testing of antimicrobials against Mycobacterium abscessus pulmonary infections: Current practices and recommendations.抗分枝杆菌药物治疗脓肿分枝杆菌肺部感染的临床前小鼠模型:当前的实践和建议。
Tuberculosis (Edinb). 2024 Jul;147:102503. doi: 10.1016/j.tube.2024.102503. Epub 2024 Mar 19.
5
Intravenous antibiotics for pulmonary exacerbations in people with cystic fibrosis.用于囊性纤维化患者肺部加重期的静脉用抗生素
Cochrane Database Syst Rev. 2025 Jan 20;1(1):CD009730. doi: 10.1002/14651858.CD009730.pub3.
6
A rapid and systematic review of the clinical effectiveness and cost-effectiveness of paclitaxel, docetaxel, gemcitabine and vinorelbine in non-small-cell lung cancer.对紫杉醇、多西他赛、吉西他滨和长春瑞滨在非小细胞肺癌中的临床疗效和成本效益进行的快速系统评价。
Health Technol Assess. 2001;5(32):1-195. doi: 10.3310/hta5320.
7
VLX600, an anticancer iron chelator, exerts antimicrobial effects on infections.VLX600是一种抗癌铁螯合剂,对感染具有抗菌作用。
Microbiol Spectr. 2025 Jun 20:e0071925. doi: 10.1128/spectrum.00719-25.
8
Clinical presentation and treatment outcomes of extrapulmonary nontuberculous mycobacterial infections with rapid and slow growth rates in Cali, Colombia.哥伦比亚卡利市肺外非结核分枝杆菌感染的临床表现及快速和缓慢生长率的治疗结果
BMC Infect Dis. 2025 Mar 31;25(1):444. doi: 10.1186/s12879-025-10681-4.
9
Nivolumab for adults with Hodgkin's lymphoma (a rapid review using the software RobotReviewer).纳武单抗用于成人霍奇金淋巴瘤(使用RobotReviewer软件进行的快速综述)
Cochrane Database Syst Rev. 2018 Jul 12;7(7):CD012556. doi: 10.1002/14651858.CD012556.pub2.
10
Management of urinary stones by experts in stone disease (ESD 2025).结石病专家对尿路结石的管理(2025年结石病专家共识)
Arch Ital Urol Androl. 2025 Jun 30;97(2):14085. doi: 10.4081/aiua.2025.14085.

本文引用的文献

1
Nontuberculous Mycobacterial Pulmonary Disease: Patients, Principles, and Prospects.非结核分枝杆菌肺病:患者、原则与展望。
Clin Infect Dis. 2024 Oct 15;79(4):e27-e47. doi: 10.1093/cid/ciae421.
2
Combination of Imipenem-Cilastatin-Relebactam and Amoxicillin in the Antibiotic Regimen in Two Cases of Mycobacterium abscessus Lung Infection.亚胺培南-西司他丁-瑞来巴坦与阿莫西林联合用于两例脓肿分枝杆菌肺部感染的抗生素治疗方案
Cureus. 2024 Jul 22;16(7):e65112. doi: 10.7759/cureus.65112. eCollection 2024 Jul.
3
Dual β-lactams for the treatment of Mycobacterium abscessus: a review of the evidence and a call to act against an antibiotic nightmare.
双重β-内酰胺类药物治疗脓肿分枝杆菌:对证据的回顾及对对抗抗生素噩梦的呼吁。
J Antimicrob Chemother. 2024 Nov 4;79(11):2731-2741. doi: 10.1093/jac/dkae288.
4
In vitro antimicrobial activity of doxycycline, minocycline, and tigecycline against Mycobacterium abscessus complex: A meta-analysis study.体外研究多西环素、米诺环素和替加环素对脓肿分枝杆菌复合体的抗菌活性:一项荟萃分析研究。
Diagn Microbiol Infect Dis. 2024 Oct;110(2):116435. doi: 10.1016/j.diagmicrobio.2024.116435. Epub 2024 Jul 11.
5
Long-term Outcomes of Adjunctive Lung Resection for Nontuberculous Mycobacteria Pulmonary Disease.非结核分枝杆菌肺病辅助性肺切除术的长期疗效
Open Forum Infect Dis. 2024 Jun 24;11(7):ofae345. doi: 10.1093/ofid/ofae345. eCollection 2024 Jul.
6
Synergistic effects of sulopenem in combination with cefuroxime or durlobactam against .舒巴坦与头孢呋辛或多尼培南联用对. 的协同作用
mBio. 2024 Jun 12;15(6):e0060924. doi: 10.1128/mbio.00609-24. Epub 2024 May 14.
7
Contezolid-Containing Regimen Successfully Treated Multiple Drug Resistance Mycobacterium Abscessus Complex Infection of Skin: A Case Report and Literature Review.含康替唑胺方案成功治疗皮肤多重耐药脓肿分枝杆菌复合感染:一例报告及文献综述
Infect Drug Resist. 2024 Mar 27;17:1243-1249. doi: 10.2147/IDR.S453541. eCollection 2024.
8
activity of cefoxitin, imipenem, meropenem, and ceftaroline in combination with vaborbactam against .头孢西丁、亚胺培南、美罗培南和头孢洛林与沃博巴坦联合对. 的活性
Antimicrob Agents Chemother. 2024 May 2;68(5):e0017424. doi: 10.1128/aac.00174-24. Epub 2024 Apr 1.
9
Global Epidemiology of Nontuberculous Mycobacterial Pulmonary Disease: A Review.非结核分枝杆菌性肺病的全球流行病学:综述。
Clin Chest Med. 2023 Dec;44(4):675-721. doi: 10.1016/j.ccm.2023.08.012. Epub 2023 Sep 21.
10
[Promoting critical care system and capacity building in pulmonary and critical care medicine subspecialties].[促进肺与重症医学亚专业的重症监护系统及能力建设]
Zhonghua Yi Xue Za Zhi. 2023 Oct 31;103(40):3149-3151. doi: 10.3760/cma.j.cn112137-20230602-00919.