Suppr超能文献

手术联合靶向治疗未分类肾细胞癌伴多器官转移:1例报告及文献复习

Unclassified renal cell carcinoma with multi-organ metastasis treated with surgery and targeted therapy combination: a case report and literature review.

作者信息

Tang Gonglin, Sun Jianing, Yang Rui, Chen Xin, Wu Gang, Zhao Hongwei

机构信息

Department of Urology, The Affiliated Yantai Yuhuangding Hospital of Qingdao University, No. 20 East Yuhuangding Road, Yantai, Shandong, 264000, China.

School of Clinical Medicine, Shandong Second Medical University, Weifang, China.

出版信息

BMC Nephrol. 2025 Jul 1;26(1):300. doi: 10.1186/s12882-025-04274-1.

Abstract

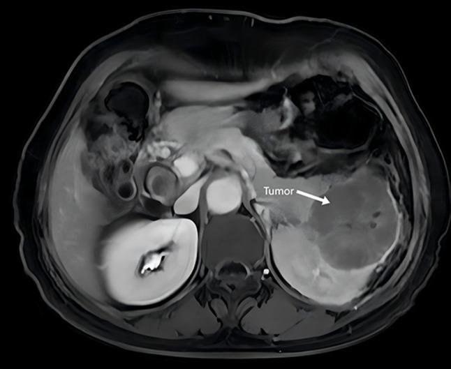
We present a rare case of unclassified renal cell carcinoma (RCC) in a 66-year-old woman, exhibiting multi-organ invasion. The patient was asymptomatic until a health exam revealed a left renal mass. CT scans showed an irregular, 6.8 × 8.9 cm mass involving the renal sinus, with possible pancreatic infiltration and retroperitoneal lymph node metastasis. Intraoperative findings necessitated multi-organ resection, including the left kidney, spleen, and portions of the pancreas. Histopathology confirmed unclassified RCC, positive for CA-9, CD10, Vim, and negative for P504S, CD99, Desmin. Post-surgery, the patient received cabozantinib and nivolumab, and remains progression-free at 22 months of follow-up. This case analyzed the diagnosis and treatment of aggressive unclassified RCC, and showed good efficacy after extensive surgical resection and combined treatment with cabozantinib and nivolumab, which may help further study of unclassified RCC.

摘要

我们报告了一例66岁女性的罕见未分类肾细胞癌(RCC)病例,该病例呈现多器官浸润。患者在健康检查发现左肾肿物之前没有症状。CT扫描显示一个不规则的6.8×8.9厘米肿物,累及肾窦,可能有胰腺浸润和腹膜后淋巴结转移。术中发现需要进行多器官切除,包括左肾、脾脏和部分胰腺。组织病理学证实为未分类RCC,CA-9、CD10、波形蛋白呈阳性,P504S、CD99、结蛋白呈阴性。术后,患者接受了卡博替尼和纳武单抗治疗,在22个月的随访中仍无疾病进展。本病例分析了侵袭性未分类RCC的诊断和治疗,并显示在广泛手术切除以及卡博替尼和纳武单抗联合治疗后有良好疗效,这可能有助于对未分类RCC的进一步研究。

https://cdn.ncbi.nlm.nih.gov/pmc/blobs/a18f/12211169/abc99cea7ee0/12882_2025_4274_Fig1_HTML.jpg

文献检索

告别复杂PubMed语法,用中文像聊天一样搜索,搜遍4000万医学文献。AI智能推荐,让科研检索更轻松。

立即免费搜索

文件翻译

保留排版,准确专业,支持PDF/Word/PPT等文件格式,支持 12+语言互译。

免费翻译文档

深度研究

AI帮你快速写综述,25分钟生成高质量综述,智能提取关键信息,辅助科研写作。

立即免费体验