• 文献检索
  • 文档翻译
  • 深度研究
  • 学术资讯
  • Suppr Zotero 插件Zotero 插件
  • 邀请有礼
  • 套餐&价格
  • 历史记录
应用&插件
Suppr Zotero 插件Zotero 插件浏览器插件Mac 客户端Windows 客户端微信小程序
定价
高级版会员购买积分包购买API积分包
服务
文献检索文档翻译深度研究API 文档MCP 服务
关于我们
关于 Suppr公司介绍联系我们用户协议隐私条款
关注我们

Suppr 超能文献

核心技术专利:CN118964589B侵权必究
粤ICP备2023148730 号-1Suppr @ 2026

文献检索

告别复杂PubMed语法,用中文像聊天一样搜索,搜遍4000万医学文献。AI智能推荐,让科研检索更轻松。

立即免费搜索

文件翻译

保留排版,准确专业,支持PDF/Word/PPT等文件格式,支持 12+语言互译。

免费翻译文档

深度研究

AI帮你快速写综述,25分钟生成高质量综述,智能提取关键信息,辅助科研写作。

立即免费体验

差异性寡聚化调节PHF13的染色质亲和力和功能。

Differential oligomerization regulates PHF13 chromatin affinity and function.

作者信息

Rossi Francesca, Magalhaes Alexandre P, Buschow Rene, Schubert Tobias, Glaser Laura, Fontana Andrea, Mai Julia, Staege Hannah, Grimme Astrid, Will Hans, Schriener Sabrina, Hnisz Denes, Vingron Martin, Chiariello Andrea M, Kinkley Sarah

机构信息

Chromatin Structure and Function Group, Max Planck Institute for Molecular Genetics, 63-73 Ihnestrasse, Berlin14195, Germany.

Multi-level Gene Control Group, Max Planck Institute for Molecular Genetics, 63-73 Ihnestrasse, Berlin14195, Germany.

出版信息

Nucleic Acids Res. 2025 Jun 20;53(12). doi: 10.1093/nar/gkaf572.

DOI:10.1093/nar/gkaf572
PMID:40598901
原文链接:https://pmc.ncbi.nlm.nih.gov/articles/PMC12214034/
Abstract

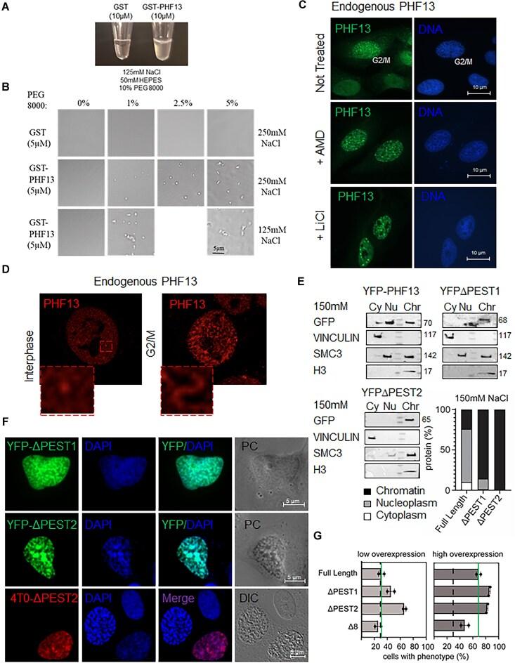
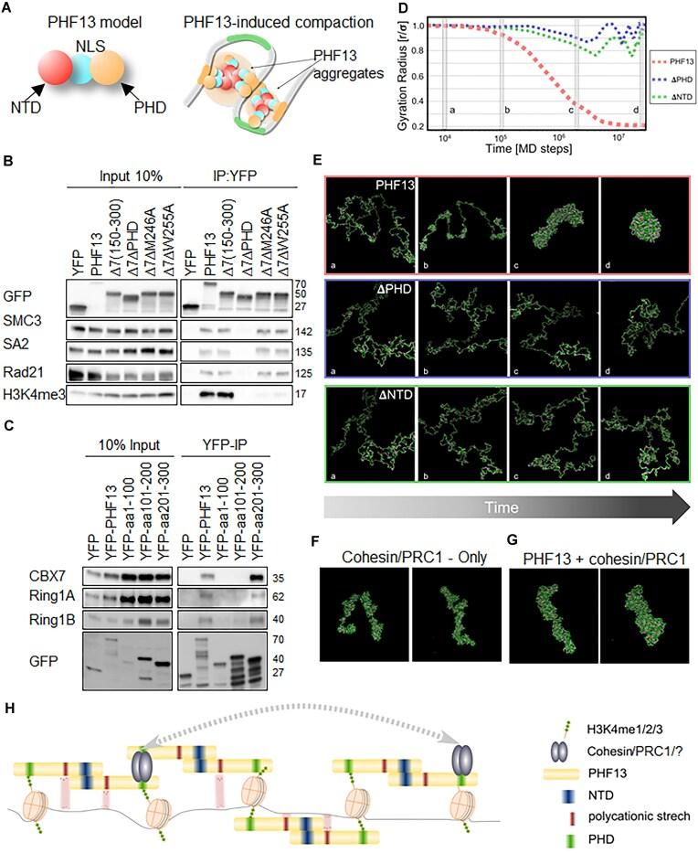
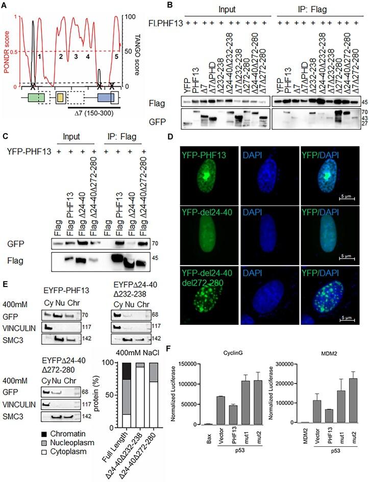
PHF13 is a H3K4me3 epigenetic reader that modulates key chromatin processes including transcription, DNA damage response, and chromatin architecture. PHF13 is found aberrantly regulated in different cancers and its misexpression alters the epigenetic landscape of key transcription factors that regulate epithelial-to-mesenchymal transition. In this study, we sought to understand how PHF13's chromatin affinity and diverse chromatin functions are intrinsically regulated. Our results show that PHF13 can oligomerize via conserved ordered regions in its N- and C- terminus increasing its chromatin valence and avidity, promoting polymer-polymer phase separation (PPPS) and chromatin inaccessibility. Impressively, a ∼3- to 5-fold overexpression of PHF13 was sufficient to globally compact chromatin visible by optical microscopy, dependent on its ordered dimerizing regions and oligomerization potential. Unexpectedly, we discovered that PHF13 can self-associate independent of its ordered domains via intrinsically disordered regions, which conversely reduced PHF13's chromatin affinity, formed liquid-liquid phase separated (LLPS) condensates, and differentially impacted gene expression. Our findings support that there is an intrinsic balance between PHF13's ordered and disordered regions and that PHF13 can phase transition between polymer-polymer and liquid-liquid phase separation states to impact chromatin structure and function.

摘要

PHF13是一种H3K4me3表观遗传阅读器,可调节包括转录、DNA损伤反应和染色质结构在内的关键染色质过程。在不同癌症中发现PHF13受到异常调节,其错误表达会改变调节上皮-间质转化的关键转录因子的表观遗传格局。在本研究中,我们试图了解PHF13的染色质亲和力和多种染色质功能是如何内在调节的。我们的结果表明,PHF13可通过其N端和C端保守的有序区域进行寡聚化,增加其染色质价态和亲和力,促进聚合物-聚合物相分离(PPPS)和染色质不可及性。令人印象深刻的是,PHF13约3至5倍的过表达足以在光学显微镜下全局压缩染色质,这取决于其有序的二聚化区域和寡聚化潜力。出乎意料的是,我们发现PHF13可以通过内在无序区域独立于其有序结构域进行自缔合,这反过来会降低PHF13的染色质亲和力,形成液-液相分离(LLPS)凝聚物,并对基因表达产生不同影响。我们的研究结果支持PHF13的有序和无序区域之间存在内在平衡,并且PHF13可以在聚合物-聚合物和液-液相分离状态之间发生相变,从而影响染色质结构和功能。

https://cdn.ncbi.nlm.nih.gov/pmc/blobs/c394/12214034/70ec75a69765/gkaf572fig9.jpg
https://cdn.ncbi.nlm.nih.gov/pmc/blobs/c394/12214034/3396a2af3e09/gkaf572figgra1.jpg
https://cdn.ncbi.nlm.nih.gov/pmc/blobs/c394/12214034/eea491bc9969/gkaf572fig1.jpg
https://cdn.ncbi.nlm.nih.gov/pmc/blobs/c394/12214034/37bdb7a24195/gkaf572fig2.jpg
https://cdn.ncbi.nlm.nih.gov/pmc/blobs/c394/12214034/109aa9b57c0f/gkaf572fig3.jpg
https://cdn.ncbi.nlm.nih.gov/pmc/blobs/c394/12214034/3a56f1e1e28f/gkaf572fig4.jpg
https://cdn.ncbi.nlm.nih.gov/pmc/blobs/c394/12214034/0ef7ed28c77c/gkaf572fig5.jpg
https://cdn.ncbi.nlm.nih.gov/pmc/blobs/c394/12214034/27a6eddbd38d/gkaf572fig6.jpg
https://cdn.ncbi.nlm.nih.gov/pmc/blobs/c394/12214034/a4ad88d4c834/gkaf572fig7.jpg
https://cdn.ncbi.nlm.nih.gov/pmc/blobs/c394/12214034/9c7d541cb953/gkaf572fig8.jpg
https://cdn.ncbi.nlm.nih.gov/pmc/blobs/c394/12214034/70ec75a69765/gkaf572fig9.jpg
https://cdn.ncbi.nlm.nih.gov/pmc/blobs/c394/12214034/3396a2af3e09/gkaf572figgra1.jpg
https://cdn.ncbi.nlm.nih.gov/pmc/blobs/c394/12214034/eea491bc9969/gkaf572fig1.jpg
https://cdn.ncbi.nlm.nih.gov/pmc/blobs/c394/12214034/37bdb7a24195/gkaf572fig2.jpg
https://cdn.ncbi.nlm.nih.gov/pmc/blobs/c394/12214034/109aa9b57c0f/gkaf572fig3.jpg
https://cdn.ncbi.nlm.nih.gov/pmc/blobs/c394/12214034/3a56f1e1e28f/gkaf572fig4.jpg
https://cdn.ncbi.nlm.nih.gov/pmc/blobs/c394/12214034/0ef7ed28c77c/gkaf572fig5.jpg
https://cdn.ncbi.nlm.nih.gov/pmc/blobs/c394/12214034/27a6eddbd38d/gkaf572fig6.jpg
https://cdn.ncbi.nlm.nih.gov/pmc/blobs/c394/12214034/a4ad88d4c834/gkaf572fig7.jpg
https://cdn.ncbi.nlm.nih.gov/pmc/blobs/c394/12214034/9c7d541cb953/gkaf572fig8.jpg
https://cdn.ncbi.nlm.nih.gov/pmc/blobs/c394/12214034/70ec75a69765/gkaf572fig9.jpg

相似文献

1
Differential oligomerization regulates PHF13 chromatin affinity and function.差异性寡聚化调节PHF13的染色质亲和力和功能。
Nucleic Acids Res. 2025 Jun 20;53(12). doi: 10.1093/nar/gkaf572.
2
PHF13 is a molecular reader and transcriptional co-regulator of H3K4me2/3.PHF13是一种H3K4me2/3的分子阅读器和转录共调节因子。
Elife. 2016 May 25;5:e10607. doi: 10.7554/eLife.10607.
3
Condensate formation of the human RNA-binding protein SMAUG1 is controlled by its intrinsically disordered regions and interactions with 14-3-3 proteins.人类RNA结合蛋白SMAUG1的凝聚物形成受其内在无序区域以及与14-3-3蛋白相互作用的控制。
J Mol Biol. 2025 Jun 28:169314. doi: 10.1016/j.jmb.2025.169314.
4
Structural dynamics of IDR interactions in human SFPQ and implications for liquid-liquid phase separation.人类SFPQ中IDR相互作用的结构动力学及其对液-液相分离的影响
Acta Crystallogr D Struct Biol. 2025 Jul 1;81(Pt 7):357-379. doi: 10.1107/S2059798325005303. Epub 2025 Jun 27.
5
Bath: a Bayesian approach to analyze epigenetic transitions reveals a dual role of H3K27me3 in chondrogenesis.巴斯:一种用于分析表观遗传转变的贝叶斯方法揭示了H3K27me3在软骨形成中的双重作用。
Epigenetics Chromatin. 2025 Jun 27;18(1):38. doi: 10.1186/s13072-025-00594-6.
6
Immunogenicity and seroefficacy of pneumococcal conjugate vaccines: a systematic review and network meta-analysis.肺炎球菌结合疫苗的免疫原性和血清效力:系统评价和网络荟萃分析。
Health Technol Assess. 2024 Jul;28(34):1-109. doi: 10.3310/YWHA3079.
7
Ear drops for the removal of ear wax.用于清除耳垢的滴耳剂。
Cochrane Database Syst Rev. 2018 Jul 25;7(7):CD012171. doi: 10.1002/14651858.CD012171.pub2.
8
Comprehensive single-cell chromatin and transcriptomic profiling of peripheral immune cells in nonsegmental vitiligo.非节段性白癜风外周免疫细胞的单细胞染色质和转录组综合分析
Br J Dermatol. 2025 Jun 20;193(1):115-124. doi: 10.1093/bjd/ljaf041.
9
Signs and symptoms to determine if a patient presenting in primary care or hospital outpatient settings has COVID-19.在基层医疗机构或医院门诊环境中,如果患者出现以下症状和体征,可判断其是否患有 COVID-19。
Cochrane Database Syst Rev. 2022 May 20;5(5):CD013665. doi: 10.1002/14651858.CD013665.pub3.
10
The GATA-like transcription factor Gat201 determines alkaline-restricted growth in .类GATA转录因子Gat201决定了……中的碱性限制生长。 (原文中“in”后面内容缺失)
mSphere. 2025 Jun 25;10(6):e0019125. doi: 10.1128/msphere.00191-25. Epub 2025 Jun 4.

本文引用的文献

1
Cooperation of a polymerizing SAM domain and an intrinsically disordered region enables full SAMD1 function on chromatin.聚合性SAM结构域与内在无序区域的协同作用使SAMD1在染色质上发挥完整功能。
Nucleic Acids Res. 2025 Mar 20;53(6). doi: 10.1093/nar/gkaf259.
2
Multiscale modelling of chromatin 4D organization in SARS-CoV-2 infected cells.新冠病毒感染细胞中染色质 4D 组织的多尺度建模。
Nat Commun. 2024 May 13;15(1):4014. doi: 10.1038/s41467-024-48370-6.
3
Mechanism of phase condensation for chromosome architecture and function.相分离机制在染色体结构与功能中的作用。
Exp Mol Med. 2024 Apr;56(4):809-819. doi: 10.1038/s12276-024-01226-x. Epub 2024 Apr 25.
4
Discovery of a Novel Antiviral Effect of the Restriction Factor SPOC1 against Human Cytomegalovirus.发现限制因子 SPOC1 对人巨细胞病毒具有新的抗病毒作用。
Viruses. 2024 Feb 27;16(3):363. doi: 10.3390/v16030363.
5
Chromatin compaction by Polycomb group proteins revisited.重新审视 Polycomb 组蛋白对染色质的压缩。
Curr Opin Struct Biol. 2024 Jun;86:102806. doi: 10.1016/j.sbi.2024.102806. Epub 2024 Mar 27.
6
Modularity of PRC1 composition and chromatin interaction define condensate properties.PRC1 组成和染色质相互作用的模块化定义了凝聚物的性质。
Mol Cell. 2024 May 2;84(9):1651-1666.e12. doi: 10.1016/j.molcel.2024.03.001. Epub 2024 Mar 22.
7
PARP1-DNA co-condensation drives DNA repair site assembly to prevent disjunction of broken DNA ends.PARP1-DNA 共凝聚驱动 DNA 修复位点组装,以防止断裂 DNA 末端的分离。
Cell. 2024 Feb 15;187(4):945-961.e18. doi: 10.1016/j.cell.2024.01.015. Epub 2024 Feb 5.
8
Interplay between self-assembly and phase separation in a polymer-complex model.聚合物复合物模型中自组装与相分离之间的相互作用
Phys Rev E. 2023 Dec;108(6-1):064501. doi: 10.1103/PhysRevE.108.064501.
9
Construction of novel 7 integrin-related gene signatures in thyroid cancer construction of model based on integrin genes.构建基于整合素基因的甲状腺癌新型 7 整合素相关基因标志物模型。
Medicine (Baltimore). 2023 Dec 15;102(50):e36412. doi: 10.1097/MD.0000000000036412.
10
Loss of cohesin regulator PDS5A reveals repressive role of Polycomb loops.丧失黏连蛋白调节因子 PDS5A 揭示了多梳环的抑制作用。
Nat Commun. 2023 Dec 9;14(1):8160. doi: 10.1038/s41467-023-43869-w.