Suppr超能文献

经导管主动脉瓣植入术中 Myval 球囊扩张瓣膜的移位与错位

MIGRATION AND MISALIGNMENT OF MYVAL BALLOON EXPANDABLE VALVE DURING TRANSCATETHER AORTIC VALVE IMPLATATION.

作者信息

Rotkvić Luka, Mišljenčević Iva, Jelić Alan, Škopljanac Mačina Andrija, Šesto Igor, Štambuk Krešimir

机构信息

Magdalena Clinic for Cardiovascular Diseases, Krapinske Toplice, at Faculty of Medicine, JJ Strossmayer University in Osijek, Osijek, Croatia.

Faculty of Dental Medicine and Health, J.J. Strossmayer University in Osijek, Osijek, Croatia.

出版信息

Acta Clin Croat. 2024 Mar;63(Suppl1):105-110. doi: 10.20471/acc.2024.63.s1.20.

Abstract

INTRODUCTION

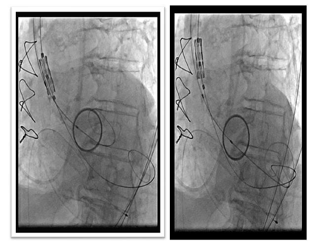
Transcatheter aortic valve implantation (TAVI) is a treatment method for aortic stenosis with proven efficacy and recommended by professional societies in the cardiovascular field. Complications during TAVI are rare but important and potentially devastating, especially embolization or migration of prothesis.

CASE PRESENTATION

We present a case of an 82-year-old patient in whom the prosthesis was displaced during implantation and later expanded in the descending aorta with a new prosthesis implanted in the aortic valve position.

CONCLUSION

Dislocation of the prosthesis during implantation is a serious complication. In most cases the prosthesis can be repositioned elsewhere in the aorta or perform a valve-in-valve procedure. In case of failure, the availability of cardiac surgery is important. Technological improvements, increasing operator experience and adequate periprocedural preparation minimize the risk of complications.

摘要

引言

经导管主动脉瓣植入术(TAVI)是治疗主动脉瓣狭窄的一种方法,其疗效已得到证实,且为心血管领域的专业学会所推荐。TAVI 期间的并发症虽罕见但很重要,且可能具有毁灭性,尤其是人工瓣膜的栓塞或移位。

病例介绍

我们报告一例 82 岁患者,其人工瓣膜在植入过程中发生移位,随后在降主动脉扩张,并在主动脉瓣位置植入了新的人工瓣膜。

结论

植入过程中人工瓣膜脱位是一种严重的并发症。在大多数情况下,人工瓣膜可重新定位至主动脉的其他部位,或进行瓣中瓣手术。若手术失败,心脏外科手术的可及性很重要。技术改进、术者经验增加以及围手术期的充分准备可将并发症风险降至最低。

https://cdn.ncbi.nlm.nih.gov/pmc/blobs/30ce/12207839/e4af4a01b881/acc-63_supp1-105-f1.jpg

文献AI研究员

20分钟写一篇综述,助力文献阅读效率提升50倍。

立即体验

用中文搜PubMed

大模型驱动的PubMed中文搜索引擎

马上搜索

文档翻译

学术文献翻译模型,支持多种主流文档格式。

立即体验