Suppr超能文献

游走脾表现为盆腔肿块:一例罕见病例报告及文献复习

Wandering spleen presenting as a pelvic mass: A rare case report and literature review.

作者信息

Siouri Hajar, Betari Hajar, Mojahid Amal, Mahi Nadia El, Ziani Hamid, Siham Nasri, Kamaoui Imane, Skiker Imane

机构信息

Department of Radiology, Mohammed VI University Hospital, Faculty of Medicine, University Mohammed First, Oujda, Morocco.

出版信息

Radiol Case Rep. 2025 Jun 20;20(9):4469-4473. doi: 10.1016/j.radcr.2025.05.063. eCollection 2025 Sep.

Abstract

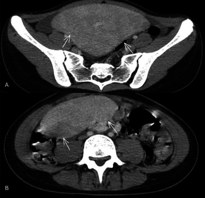
Wandering spleen is a rare condition caused by the absence or laxity of the ligaments that normally hold the spleen in place, resulting in its abnormal mobility within the abdominal or pelvic cavity. We report the case of a 15-year-old girl who presented with acute abdominal pain and nonspecific clinical findings. Abdominal CT revealed an enlarged ectopic spleen in the pelvic region with a long, tortuous vascular pedicle, but no signs of torsion or infarction. This case highlights the variable clinical presentation of wandering spleen, which can range from incidental discovery to acute abdomen, with imaging particularly CT being crucial for diagnosis. In uncomplicated cases, splenopexy is preferred to preserve splenic function, whereas splenectomy is reserved for infarcted or nonviable spleens. The case underscores the importance of considering wandering spleen in adolescents with unexplained abdominal pain and demonstrates how early diagnosis and conservative surgical management can prevent serious complications.

摘要

游走脾是一种罕见的病症,由正常情况下固定脾脏的韧带缺失或松弛引起,导致其在腹腔或盆腔内异常移动。我们报告了一例15岁女孩的病例,她表现为急性腹痛和非特异性临床症状。腹部CT显示盆腔区域有一个肿大的异位脾脏,伴有一条长而迂曲的血管蒂,但没有扭转或梗死的迹象。该病例突出了游走脾临床表现的多样性,其范围可从偶然发现到急腹症,影像学检查尤其是CT对诊断至关重要。在无并发症的情况下,首选脾固定术以保留脾脏功能,而脾切除术则适用于梗死或无活力的脾脏。该病例强调了在不明原因腹痛的青少年中考虑游走脾的重要性,并展示了早期诊断和保守手术治疗如何预防严重并发症。

https://cdn.ncbi.nlm.nih.gov/pmc/blobs/ebfe/12221586/a5fe089dbaa4/gr1.jpg

文献AI研究员

20分钟写一篇综述,助力文献阅读效率提升50倍。

立即体验

用中文搜PubMed

大模型驱动的PubMed中文搜索引擎

马上搜索

文档翻译

学术文献翻译模型,支持多种主流文档格式。

立即体验