• 文献检索
  • 文档翻译
  • 深度研究
  • 学术资讯
  • Suppr Zotero 插件Zotero 插件
  • 邀请有礼
  • 套餐&价格
  • 历史记录
应用&插件
Suppr Zotero 插件Zotero 插件浏览器插件Mac 客户端Windows 客户端微信小程序
定价
高级版会员购买积分包购买API积分包
服务
文献检索文档翻译深度研究API 文档MCP 服务
关于我们
关于 Suppr公司介绍联系我们用户协议隐私条款
关注我们

Suppr 超能文献

核心技术专利:CN118964589B侵权必究
粤ICP备2023148730 号-1Suppr @ 2026

文献检索

告别复杂PubMed语法,用中文像聊天一样搜索,搜遍4000万医学文献。AI智能推荐,让科研检索更轻松。

立即免费搜索

文件翻译

保留排版,准确专业,支持PDF/Word/PPT等文件格式,支持 12+语言互译。

免费翻译文档

深度研究

AI帮你快速写综述,25分钟生成高质量综述,智能提取关键信息,辅助科研写作。

立即免费体验

基于全景X线片牙齿测量值,采用经典分类器和机器学习分类器进行性别估计。

Sex Estimation Based on Tooth Measurements on Panoramic Radiographs with Classical and Machine-Learning Classifiers.

作者信息

Talebi Samaneh, Fallahzadeh Hossien, Jambarsang Sara, Ezoddini Ardakani Fatemeh

机构信息

Center for Healthcare Data Modeling, Department of Biostatistics and Epidemiology, School of Public Health, Shahid Sadoughi University of Medical Sciences, Yazd, Iran.

Department of Oral and Maxillofacial Radiology, Dental Faculty, Shahid Sadoughi University of Medical Sciences, Yazd, Iran.

出版信息

Front Dent. 2025 Apr 12;22:14. doi: 10.18502/fid.v22i14.18470. eCollection 2025.

DOI:10.18502/fid.v22i14.18470
PMID:40630143
原文链接:https://pmc.ncbi.nlm.nih.gov/articles/PMC12236378/
Abstract

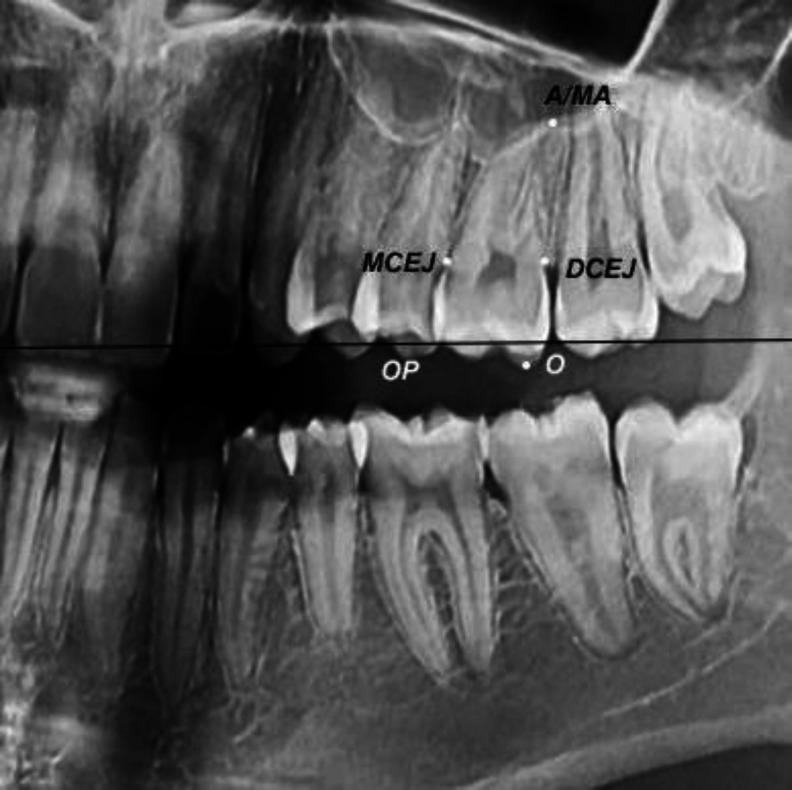
This study assessed sex estimation of Iranians according to maxillary left first molar measurements made on panoramic radiographs using classical and machine-learning classifiers. In this cross-sectional study, tooth length- and width-related variables were calculated for maxillary left first molars on 131 panoramic radiographs (65 males, 66 females; age range of 18-30 years). A subsample of the radiographs was selected and reevaluated by two examiners after 1 month. The intra-class correlation coefficient (ICC) was calculated to assess reliability. The regularized discriminant analysis (RDA), support vector machine (SVM), and cascade-forward and feed-forward neural network models were used for sex estimation. Comparisons were made with the Mann-Whitney and t tests. The intra-observer reliability was 0.9. SVM had the best performance on the test data in both classification schemes. The crown length at the cementoenamel junction (CEJL) and total crown length (CL) in the classification scheme I (sex estimation based on length and width variables), and CEJL/root length (RL), cementoenamel junction width (CEJW)/CEJL, and RL/total tooth length (TTL) in the classification scheme II (sex estimation based on the ratio of variables) were important variables for sex estimation determined by the SVM model. The CEJL had the highest discriminative potential with an area under the curve (AUC) of 78.8. The ratio of variables did not substantially improve sex estimation compared with single variables. CEJL is a reliable measure for sex estimation in Iranians with values higher than 6.25 indicating the male sex and other values indicating the female sex.

摘要

本研究根据在全景X光片上对上颌左侧第一磨牙进行的测量,使用经典分类器和机器学习分类器评估伊朗人的性别估计。在这项横断面研究中,计算了131张全景X光片(65名男性,66名女性;年龄范围为18至30岁)上的上颌左侧第一磨牙与牙长和牙宽相关的变量。选取了一部分X光片样本,1个月后由两名检查人员重新评估。计算组内相关系数(ICC)以评估可靠性。使用正则判别分析(RDA)、支持向量机(SVM)以及级联前馈和前馈神经网络模型进行性别估计。采用曼-惠特尼检验和t检验进行比较。观察者内可靠性为0.9。在两种分类方案中,SVM在测试数据上的表现最佳。在分类方案I(基于长度和宽度变量的性别估计)中,釉牙骨质界处的冠长(CEJL)和总冠长(CL),以及在分类方案II(基于变量比率的性别估计)中,CEJL/根长(RL)、釉牙骨质界宽度(CEJW)/CEJL和RL/总牙长(TTL)是SVM模型确定的性别估计的重要变量。CEJL具有最高的判别潜力,曲线下面积(AUC)为78.8。与单一变量相比,变量比率并未显著改善性别估计。CEJL是伊朗人性别估计的可靠指标,值高于6.25表明为男性,其他值表明为女性。

https://cdn.ncbi.nlm.nih.gov/pmc/blobs/5729/12236378/c9567bb0319f/FID-22-14-g003.jpg
https://cdn.ncbi.nlm.nih.gov/pmc/blobs/5729/12236378/1b1b02cabd42/FID-22-14-g001.jpg
https://cdn.ncbi.nlm.nih.gov/pmc/blobs/5729/12236378/c5567fdfd0fd/FID-22-14-g002.jpg
https://cdn.ncbi.nlm.nih.gov/pmc/blobs/5729/12236378/c9567bb0319f/FID-22-14-g003.jpg
https://cdn.ncbi.nlm.nih.gov/pmc/blobs/5729/12236378/1b1b02cabd42/FID-22-14-g001.jpg
https://cdn.ncbi.nlm.nih.gov/pmc/blobs/5729/12236378/c5567fdfd0fd/FID-22-14-g002.jpg
https://cdn.ncbi.nlm.nih.gov/pmc/blobs/5729/12236378/c9567bb0319f/FID-22-14-g003.jpg

相似文献

1
Sex Estimation Based on Tooth Measurements on Panoramic Radiographs with Classical and Machine-Learning Classifiers.基于全景X线片牙齿测量值,采用经典分类器和机器学习分类器进行性别估计。
Front Dent. 2025 Apr 12;22:14. doi: 10.18502/fid.v22i14.18470. eCollection 2025.
2
Comparison of Two Modern Survival Prediction Tools, SORG-MLA and METSSS, in Patients With Symptomatic Long-bone Metastases Who Underwent Local Treatment With Surgery Followed by Radiotherapy and With Radiotherapy Alone.两种现代生存预测工具 SORG-MLA 和 METSSS 在接受手术联合放疗和单纯放疗治疗有症状长骨转移患者中的比较。
Clin Orthop Relat Res. 2024 Dec 1;482(12):2193-2208. doi: 10.1097/CORR.0000000000003185. Epub 2024 Jul 23.
3
WITHDRAWN: Dental fillings for the treatment of caries in the primary dentition.撤回:用于治疗乳牙龋齿的牙科填充物。
Cochrane Database Syst Rev. 2016 Oct 17;10(10):CD004483. doi: 10.1002/14651858.CD004483.pub3.
4
Dental fillings for the treatment of caries in the primary dentition.用于治疗乳牙龋齿的补牙材料。
Cochrane Database Syst Rev. 2009 Apr 15(2):CD004483. doi: 10.1002/14651858.CD004483.pub2.
5
Are Current Survival Prediction Tools Useful When Treating Subsequent Skeletal-related Events From Bone Metastases?当前的生存预测工具在治疗骨转移后的骨骼相关事件时有用吗?
Clin Orthop Relat Res. 2024 Sep 1;482(9):1710-1721. doi: 10.1097/CORR.0000000000003030. Epub 2024 Mar 22.
6
Releasing Forces in Adhesive Capsulitis Are Important Indicators of Shoulder Stiffness and Postoperative Function.粘连性肩周炎中的松解力是肩部僵硬和术后功能的重要指标。
Clin Orthop Relat Res. 2025 Jun 1;483(6):1033-1046. doi: 10.1097/CORR.0000000000003365. Epub 2025 Jan 28.
7
Systemic pharmacological treatments for chronic plaque psoriasis: a network meta-analysis.系统性药理学治疗慢性斑块状银屑病:网络荟萃分析。
Cochrane Database Syst Rev. 2021 Apr 19;4(4):CD011535. doi: 10.1002/14651858.CD011535.pub4.
8
Falls prevention interventions for community-dwelling older adults: systematic review and meta-analysis of benefits, harms, and patient values and preferences.社区居住的老年人跌倒预防干预措施:系统评价和荟萃分析的益处、危害以及患者的价值观和偏好。
Syst Rev. 2024 Nov 26;13(1):289. doi: 10.1186/s13643-024-02681-3.
9
A rapid and systematic review of the clinical effectiveness and cost-effectiveness of paclitaxel, docetaxel, gemcitabine and vinorelbine in non-small-cell lung cancer.对紫杉醇、多西他赛、吉西他滨和长春瑞滨在非小细胞肺癌中的临床疗效和成本效益进行的快速系统评价。
Health Technol Assess. 2001;5(32):1-195. doi: 10.3310/hta5320.
10
Signs and symptoms to determine if a patient presenting in primary care or hospital outpatient settings has COVID-19.在基层医疗机构或医院门诊环境中,如果患者出现以下症状和体征,可判断其是否患有 COVID-19。
Cochrane Database Syst Rev. 2022 May 20;5(5):CD013665. doi: 10.1002/14651858.CD013665.pub3.

本文引用的文献

1
Machine Learning in Dentistry: A Scoping Review.牙科领域的机器学习:一项范围综述。
J Clin Med. 2023 Jan 25;12(3):937. doi: 10.3390/jcm12030937.
2
A systematic review of odontological sex estimation methods.牙科学性别估计方法的系统评价。
J Forensic Odontostomatol. 2017 Dec 1;35(2):1-19.
3
Morphometric Analysis of Odontometric Parameters for Gender Determination.用于性别判定的牙测量参数的形态测量分析
J Clin Diagn Res. 2017 Aug;11(8):ZC09-ZC13. doi: 10.7860/JCDR/2017/26680.10341. Epub 2017 Aug 1.
4
Odontometric analysis of permanent maxillary first molar in gender determination.恒牙上颌第一磨牙在性别判定中的牙测量分析
J Forensic Dent Sci. 2016 Sep-Dec;8(3):145-149. doi: 10.4103/0975-1475.195120.
5
Sex estimation based on tooth measurements using panoramic radiographs.基于全景X线片牙齿测量的性别估计
Int J Legal Med. 2017 May;131(3):813-821. doi: 10.1007/s00414-016-1434-0. Epub 2016 Aug 17.
6
Gray level co-occurrence and random forest algorithm-based gender determination with maxillary tooth plaster images.基于灰度共生矩阵和随机森林算法的上颌牙齿石膏图像性别判定
Comput Biol Med. 2016 Jun 1;73:102-7. doi: 10.1016/j.compbiomed.2016.04.003. Epub 2016 Apr 13.
7
Comparison of sexual dimorphism of permanent mandibular canine with mandibular first molar by odontometrics.通过牙测量学比较恒牙下颌尖牙与下颌第一磨牙的性别二态性。
J Forensic Dent Sci. 2015 Sep-Dec;7(3):238-43. doi: 10.4103/0975-1475.172449.
8
Sex estimation using diagonal diameter measurements of molar teeth in African American populations.利用非裔美国人臼齿对角线直径测量进行性别估计。
J Forensic Leg Med. 2015 Nov;36:70-80. doi: 10.1016/j.jflm.2015.09.001. Epub 2015 Sep 12.
9
Gender determination using diagonal measurements of maxillary molar and canine teeth in davangere population.在达旺盖尔人群中使用上颌磨牙和尖牙的对角线测量法进行性别判定。
J Clin Diagn Res. 2014 Nov;8(11):ZC141-4. doi: 10.7860/JCDR/2014/9944.5218. Epub 2014 Nov 20.
10
Sex determination by tooth size in a sample of Greek population.希腊人群样本中通过牙齿大小进行性别判定
Homo. 2014 Aug;65(4):322-9. doi: 10.1016/j.jchb.2014.05.002. Epub 2014 May 20.