Suppr超能文献

1例肝血管平滑肌脂肪瘤伴肿瘤出血且脂肪难以检出致诊断困难的切除病例

A Resected Case of Hepatic Angiomyolipoma with Tumor Hemorrhage and Undetectable Fat Causing Diagnostic Difficulty.

作者信息

Tateyama Yumeo, Yamazaki Yuichi, Katayama Ayaka, Murakami Tatsuma, Tojima Hiroki, Araki Kenichiro, Sano Takaaki, Shirabe Ken, Uraoka Toshio

机构信息

Department of Gastroenterology and Hepatology, Gunma University Graduate School of Medicine, Maebashi, Gunma, Japan.

Department of Diagnostic Pathology, Gunma University Graduate School of Medicine, Maebashi, Gunma, Japan.

出版信息

Surg Case Rep. 2025;11(1). doi: 10.70352/scrj.cr.25-0240. Epub 2025 Jul 8.

Abstract

INTRODUCTION

Hepatic angiomyolipoma (AML) is a rare, benign mesenchymal tumor with variable imaging features, often complicating differentiation from malignancy. We report a case of hepatic AML that showed progressive enlargement due to intratumoral hemorrhage, without detectable fat on imaging.

CASE PRESENTATION

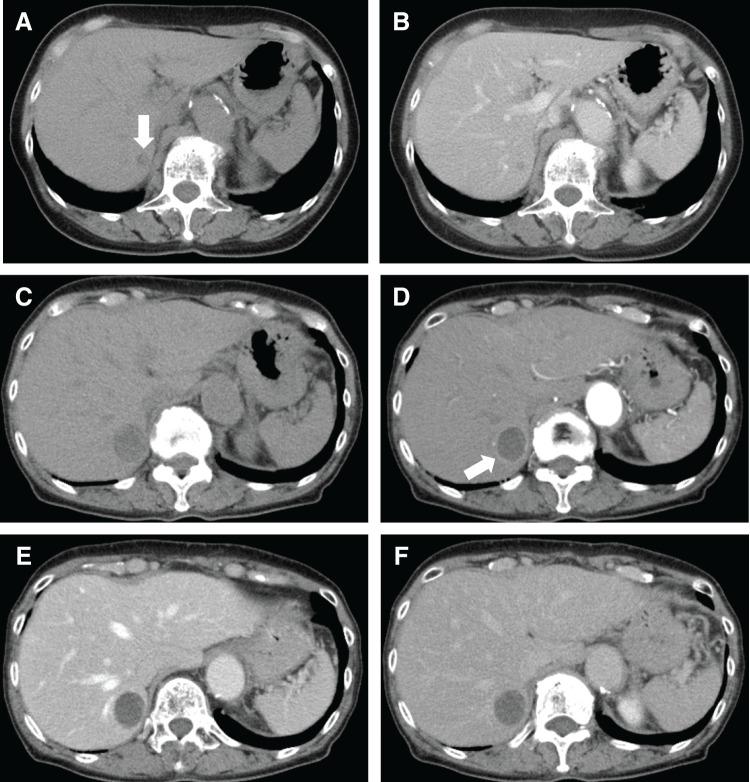
A woman in her 70s with no history of chronic liver disease had previously undergone surgery for lung adenocarcinoma and for localized nodular hyperplasia of the liver. Routine follow-up imaging revealed an enlarging liver mass in the right hepatic lobe, leading to her referral for further evaluation. Tumor markers were within normal ranges, and liver function remained intact. Non-contrast CT showed a low-attenuation nodule, and contrast-enhanced CT demonstrated ring-like peripheral enhancement with a hypovascular center. Magnetic resonance imaging showed low signal on T1-weighted images and high signal on T2-weighted images, with no signal loss in opposed-phase imaging. Ultrasonography demonstrated a low echogenicity within the tumor and high echogenicity in the surrounding area, with no clear contrast effect. The preoperative diagnosis suggested either a hematoma or a necrotic nodule. Given the progressive growth and inconclusive imaging, malignancy could not be excluded. A laparoscopic hepatectomy was performed for definitive diagnosis. The resected tumor was a 2.3 × 2.0 × 1.4 cm well-demarcated, light brown mass with areas of hemorrhage and cystic change. Histopathology confirmed hepatic AML with tumor hemorrhage and extramedullary hematopoiesis.

CONCLUSIONS

Hepatic AML may exhibit progressive growth despite lacking typical imaging features such as intratumoral fat or vascularity, making preoperative diagnosis difficult. In cases where malignancy cannot be ruled out, surgical resection should be considered after careful evaluation of both benign and malignant possibilities.

摘要

引言

肝血管平滑肌脂肪瘤(AML)是一种罕见的良性间叶组织肿瘤,具有多样的影像学特征,常使与恶性肿瘤的鉴别变得复杂。我们报告一例肝AML病例,该病例因肿瘤内出血而逐渐增大,影像学检查未发现脂肪成分。

病例介绍

一名70多岁的女性,无慢性肝病病史,此前曾接受过肺腺癌及肝脏局灶性结节性增生手术。常规随访影像学检查发现右肝叶有一不断增大的肝脏肿块,遂转诊进行进一步评估。肿瘤标志物在正常范围内,肝功能保持正常。非增强CT显示一个低密度结节,增强CT显示周边环形强化,中心血供较少。磁共振成像显示T1加权像上呈低信号,T2加权像上呈高信号,同反相位成像无信号丢失。超声检查显示肿瘤内部呈低回声,周边呈高回声,无明显对比效应。术前诊断提示为血肿或坏死结节。鉴于肿瘤不断生长且影像学表现不明确,不能排除恶性肿瘤的可能。为明确诊断,进行了腹腔镜肝切除术。切除的肿瘤为一个2.3×2.0×1.4 cm的边界清晰、浅棕色肿块,有出血和囊性变区域。组织病理学证实为肝AML伴肿瘤出血和髓外造血。

结论

肝AML可能尽管缺乏肿瘤内脂肪或血管等典型影像学特征,但仍会逐渐生长,这使得术前诊断困难。在不能排除恶性肿瘤的情况下,在仔细评估良性和恶性可能性后,应考虑手术切除。

https://cdn.ncbi.nlm.nih.gov/pmc/blobs/ac1a/12240672/f1296758e31c/scr-11-01-25-0240-g001.jpg

文献AI研究员

20分钟写一篇综述,助力文献阅读效率提升50倍。

立即体验

用中文搜PubMed

大模型驱动的PubMed中文搜索引擎

马上搜索

文档翻译

学术文献翻译模型,支持多种主流文档格式。

立即体验