• 文献检索
  • 文档翻译
  • 深度研究
  • 学术资讯
  • Suppr Zotero 插件Zotero 插件
  • 邀请有礼
  • 套餐&价格
  • 历史记录
应用&插件
Suppr Zotero 插件Zotero 插件浏览器插件Mac 客户端Windows 客户端微信小程序
定价
高级版会员购买积分包购买API积分包
服务
文献检索文档翻译深度研究API 文档MCP 服务
关于我们
关于 Suppr公司介绍联系我们用户协议隐私条款
关注我们

Suppr 超能文献

核心技术专利:CN118964589B侵权必究
粤ICP备2023148730 号-1Suppr @ 2026

文献检索

告别复杂PubMed语法,用中文像聊天一样搜索,搜遍4000万医学文献。AI智能推荐,让科研检索更轻松。

立即免费搜索

文件翻译

保留排版,准确专业,支持PDF/Word/PPT等文件格式,支持 12+语言互译。

免费翻译文档

深度研究

AI帮你快速写综述,25分钟生成高质量综述,智能提取关键信息,辅助科研写作。

立即免费体验

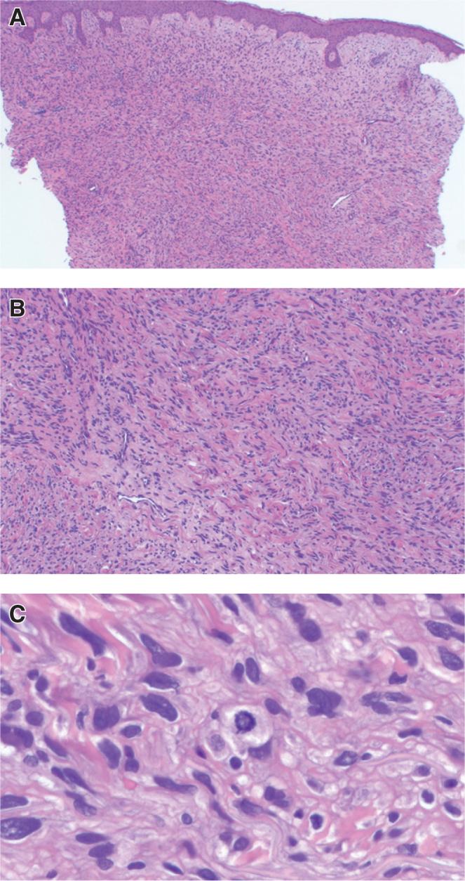
Cutaneous Mass with Indurated Erythema in the Right Popliteal Fossa: A Quiz.

作者信息

Mima Yoshihito, Yamamoto Masako, Iozumi Ken

机构信息

Department of Dermatology, Tokyo Metropolitan Police Hospital, Tokyo, Japan.

出版信息

Acta Derm Venereol. 2025 Jul 11;105:adv43722. doi: 10.2340/actadv.v105.43722.

DOI:10.2340/actadv.v105.43722
PMID:40641330
原文链接:https://pmc.ncbi.nlm.nih.gov/articles/PMC12278590/
Abstract
摘要
https://cdn.ncbi.nlm.nih.gov/pmc/blobs/c885/12278590/d235fed72380/ActaDV-105-43722-g003.jpg
https://cdn.ncbi.nlm.nih.gov/pmc/blobs/c885/12278590/dd6d0df712c4/ActaDV-105-43722-g001.jpg
https://cdn.ncbi.nlm.nih.gov/pmc/blobs/c885/12278590/994346ded387/ActaDV-105-43722-g002.jpg
https://cdn.ncbi.nlm.nih.gov/pmc/blobs/c885/12278590/d235fed72380/ActaDV-105-43722-g003.jpg
https://cdn.ncbi.nlm.nih.gov/pmc/blobs/c885/12278590/dd6d0df712c4/ActaDV-105-43722-g001.jpg
https://cdn.ncbi.nlm.nih.gov/pmc/blobs/c885/12278590/994346ded387/ActaDV-105-43722-g002.jpg
https://cdn.ncbi.nlm.nih.gov/pmc/blobs/c885/12278590/d235fed72380/ActaDV-105-43722-g003.jpg

相似文献

1
Cutaneous Mass with Indurated Erythema in the Right Popliteal Fossa: A Quiz.右侧腘窝伴有硬结性红斑的皮肤肿物:一则病例问答
Acta Derm Venereol. 2025 Jul 11;105:adv43722. doi: 10.2340/actadv.v105.43722.
2
Outcome of Soft Tissue Popliteal Sarcomas: 15 Years of Experience.腘窝软组织肉瘤的治疗结果:15年经验总结
Indian J Orthop. 2024 Sep 25;59(1):34-39. doi: 10.1007/s43465-024-01263-8. eCollection 2025 Jan.
3
Epidermal Cyst Instead of Baker's Cyst in the Popliteal Fossa: A Case Report and Literature Review.腘窝处表皮样囊肿而非贝克囊肿:一例报告及文献综述
Int Med Case Rep J. 2025 Jul 9;18:869-875. doi: 10.2147/IMCRJ.S514251. eCollection 2025.
4
Is Dissection and Preservation of Adherent Popliteal Vessels From a Posterior Soft Tissue Mass Associated With a Higher Proportion of Local Recurrence in Patients With a Distal Femoral Osteosarcoma?从后方软组织肿块中解剖和保留粘连的腘血管是否会增加股骨远端骨肉瘤患者局部复发的比例?
Clin Orthop Relat Res. 2023 Nov 1;481(11):2167-2176. doi: 10.1097/CORR.0000000000002775. Epub 2023 Aug 1.
5
A Case of Rowell Syndrome: Excellent Response to Oral Cyclosporine.罗威尔综合征一例:口服环孢素疗效显著
Acta Dermatovenerol Croat. 2024 Nov;32(3):170-171.
6
Preoperative word-finding difficulties in children with posterior fossa tumours: a European cross-sectional study.儿童后颅窝肿瘤术前找词困难:一项欧洲的横断面研究。
Childs Nerv Syst. 2024 Jan;40(1):87-97. doi: 10.1007/s00381-023-06119-4. Epub 2023 Sep 8.
7
Clinical and epidemiological characterization of patients with cutaneous tuberculosis treated at a referral center in the Brazilian Amazon: case series.巴西亚马逊地区一家转诊中心收治的皮肤结核患者的临床和流行病学特征:病例系列
An Bras Dermatol. 2025 Mar-Apr;100(2):228-236. doi: 10.1016/j.abd.2024.05.007. Epub 2025 Jan 14.
8
Angiosarcoma after Popliteal Aneurysm Exclusion Surgery. A Systematic Review.腘动脉瘤切除术后的血管肉瘤:系统评价。
Ann Vasc Surg. 2022 Oct;86:482-489. doi: 10.1016/j.avsg.2022.06.012. Epub 2022 Jul 9.
9
Graft type for femoro-popliteal bypass surgery.股腘动脉搭桥手术的移植物类型。
Cochrane Database Syst Rev. 2000(2):CD001487. doi: 10.1002/14651858.CD001487.
10
Systematic review and meta-analysis of isolated posterior fossa malformations on prenatal imaging (part 2): neurodevelopmental outcome.产前影像学孤立性后颅窝畸形的系统评价和荟萃分析(第2部分):神经发育结局
Ultrasound Obstet Gynecol. 2016 Jul;48(1):28-37. doi: 10.1002/uog.15755.

本文引用的文献

1
Myxofibrosarcoma landscape: diagnostic pitfalls, clinical management and future perspectives.黏液纤维肉瘤概况:诊断陷阱、临床管理及未来展望
Ther Adv Med Oncol. 2022 Jun 28;14:17588359221093973. doi: 10.1177/17588359221093973. eCollection 2022.
2
Deciphering the Genomic Landscape and Pharmacological Profile of Uncommon Entities of Adult Rhabdomyosarcomas.解析罕见成人横纹肌肉瘤的基因组景观和药物特征。
Int J Mol Sci. 2021 Oct 26;22(21):11564. doi: 10.3390/ijms222111564.
3
OSmfs: An Online Interactive Tool to Evaluate Prognostic Markers for Myxofibrosarcoma.
OSmfs:一种用于评估黏液纤维肉瘤预后标志物的在线交互式工具。
Genes (Basel). 2020 Dec 19;11(12):1523. doi: 10.3390/genes11121523.
4
Myxofibrosarcoma of the mandible: a case report and review of the literature.下颌骨黏液纤维肉瘤:一例报告并文献复习
BMC Oral Health. 2020 Apr 16;20(1):113. doi: 10.1186/s12903-020-01094-7.
5
Primary Culture of Undifferentiated Pleomorphic Sarcoma: Molecular Characterization and Response to Anticancer Agents.未分化多形性肉瘤的原代培养:分子特征及对抗癌药物的反应。
Int J Mol Sci. 2017 Dec 8;18(12):2662. doi: 10.3390/ijms18122662.
6
Biology and Management of Undifferentiated Pleomorphic Sarcoma, Myxofibrosarcoma, and Malignant Peripheral Nerve Sheath Tumors: State of the Art and Perspectives.未分化多形性肉瘤、黏液纤维肉瘤和恶性外周神经鞘瘤的生物学特性和治疗管理:现状与展望。
J Clin Oncol. 2018 Jan 10;36(2):160-167. doi: 10.1200/JCO.2017.75.3467. Epub 2017 Dec 8.
7
Current classification, treatment options, and new perspectives in the management of adipocytic sarcomas.脂肪细胞性肉瘤管理中的当前分类、治疗选择及新观点
Onco Targets Ther. 2016 Oct 11;9:6233-6246. doi: 10.2147/OTT.S112580. eCollection 2016.
8
Validated prediction of clinical outcome in sarcomas and multiple types of cancer on the basis of a gene expression signature related to genome complexity.基于与基因组复杂性相关的基因表达特征,对肉瘤和多种类型癌症的临床结果进行了验证性预测。
Nat Med. 2010 Jul;16(7):781-7. doi: 10.1038/nm.2174. Epub 2010 Jun 27.
9
Extremity soft tissue sarcoma in a series of patients treated at a single institution: local control directly impacts survival.在一家机构治疗的一系列患者中的肢体软组织肉瘤:局部控制直接影响生存。
Ann Surg. 2010 Mar;251(3):506-11. doi: 10.1097/SLA.0b013e3181cf87fa.
10
Change in histological grade in locally recurrent soft tissue sarcomas.局部复发性软组织肉瘤组织学分级的变化
Eur J Cancer. 2004 Oct;40(15):2237-42. doi: 10.1016/j.ejca.2004.04.022.