Suppr超能文献

非囊性纤维化支气管扩张患者分离出皮炎外瓶霉1例罕见病例:定植还是真正感染?

A Rare Case of Exophiala Dermatitidis Isolation in a Patient with Non-Cystic Fibrosis Bronchiectasis: Colonization or True Infection?

作者信息

Bertuccio Francesco Rocco, Baio Nicola, Montini Simone, Ferroni Valentina, Chino Vittorio, Pisanu Lucrezia, Russo Marianna, Giana Ilaria, Gallo Elisabetta, Arlando Lorenzo, Mucaj Klodjana, Tafa Mitela, Arminio Maria, Stefano Emanuela De, Cascina Alessandro, Corsico Angelo Guido, Stella Giulia Maria, Conio Valentina

机构信息

Unit of Respiratory Disease, Cardiothoracic and Vascular Department, IRCCS Policlinico San Matteo, Viale Golgi 19, 27100 Pavia, Italy.

Department of Internal and dicine and Pharmacology, University of Pavia, 27100 Pavia, Italy.

出版信息

Diagnostics (Basel). 2025 Jun 29;15(13):1661. doi: 10.3390/diagnostics15131661.

Abstract

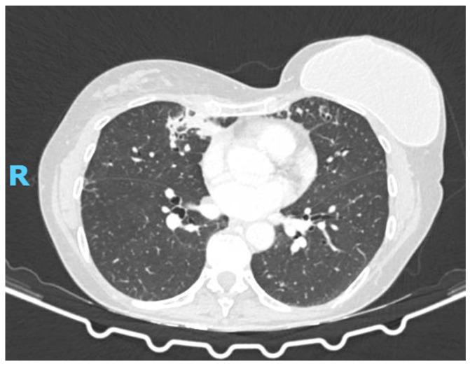
is a dematiaceous, thermotolerant, yeast-like fungus increasingly recognized as an opportunistic pathogen in chronic airway diseases. While commonly associated with cystic fibrosis, its clinical significance in non-cystic fibrosis bronchiectasis (NCFB) remains unclear. We report the case of a 66-year-old immunocompetent woman with a history of breast cancer in remission and NCFB, who presented with chronic cough and dyspnea. Chest CT revealed bilateral bronchiectasis with new pseudonodular opacities. Bronchoalveolar lavage cultures identified , along with and methicillin-sensitive . Given clinical stability and the absence of systemic signs, initial therapy included oral voriconazole, levofloxacin, doxycycline, and inhaled amikacin. Despite persistent fungal isolation on repeat bronchoscopy, the patient remained asymptomatic with stable radiologic and functional findings. Antifungal therapy was discontinued, and the patient continued under close monitoring. The patient exhibited clinical and radiological stability despite repeated fungal isolation, reinforcing the hypothesis of persistent colonization rather than active infection. This case underscores the diagnostic challenges in distinguishing fungal colonization from true infection in structurally abnormal lungs. In NCFB, disrupted mucociliary clearance and microbial dysbiosis may facilitate fungal persistence, even in the absence of overt immunosuppression. The detection of should prompt a comprehensive evaluation, integrating clinical, radiologic, and microbiologic data to guide management. Voriconazole is currently the antifungal agent of choice, though therapeutic thresholds and duration remain undefined. This report highlights the potential role of as an under-recognized respiratory pathogen in NCFB and the importance of a multidisciplinary, individualized approach to diagnosis and treatment. This case underscores the need for further research on fungal colonization in NCFB and the development of evidence-based treatment guidelines. Further studies are needed to clarify the pathogenic significance, optimal management, and long-term outcomes of in non-CF chronic lung diseases.

摘要

是一种暗色、耐热、酵母样真菌,越来越被认为是慢性气道疾病中的机会性病原体。虽然通常与囊性纤维化相关,但其在非囊性纤维化支气管扩张症(NCFB)中的临床意义仍不清楚。我们报告一例66岁免疫功能正常的女性病例,她有乳腺癌缓解病史和NCFB,表现为慢性咳嗽和呼吸困难。胸部CT显示双侧支气管扩张伴新的假结节状混浊。支气管肺泡灌洗培养物鉴定出了[具体真菌名称未给出],以及[其他微生物名称未给出]和甲氧西林敏感的[细菌名称未给出]。鉴于临床稳定且无全身症状,初始治疗包括口服伏立康唑、左氧氟沙星、多西环素和吸入阿米卡星。尽管在重复支气管镜检查时持续分离出真菌,但患者仍无症状,放射学和功能检查结果稳定。抗真菌治疗停药,患者继续接受密切监测。尽管反复分离出真菌,患者仍表现出临床和放射学稳定性,这强化了持续定植而非活动性感染的假说。该病例强调了在结构异常的肺部区分真菌定植与真正感染的诊断挑战。在NCFB中,黏液纤毛清除功能破坏和微生物生态失调可能促进真菌持续存在,即使在没有明显免疫抑制的情况下。[具体真菌名称未给出]的检测应促使进行全面评估,整合临床、放射学和微生物学数据以指导管理。伏立康唑目前是抗真菌治疗的首选药物,但治疗阈值和疗程仍不明确。本报告强调了[具体真菌名称未给出]作为NCFB中一种未被充分认识的呼吸道病原体的潜在作用,以及多学科、个体化诊断和治疗方法的重要性。该病例强调了对NCFB中真菌定植进行进一步研究以及制定循证治疗指南的必要性。需要进一步研究以阐明[具体真菌名称未给出]在非CF慢性肺部疾病中的致病意义、最佳管理和长期结局。

https://cdn.ncbi.nlm.nih.gov/pmc/blobs/d64e/12249320/bf0979aaf0d0/diagnostics-15-01661-g001.jpg

文献检索

告别复杂PubMed语法,用中文像聊天一样搜索,搜遍4000万医学文献。AI智能推荐,让科研检索更轻松。

立即免费搜索

文件翻译

保留排版,准确专业,支持PDF/Word/PPT等文件格式,支持 12+语言互译。

免费翻译文档

深度研究

AI帮你快速写综述,25分钟生成高质量综述,智能提取关键信息,辅助科研写作。

立即免费体验