Suppr超能文献

机器人引导脊柱手术:常规临床实践中一个系统的实施——最新进展

Robotic-Guided Spine Surgery: Implementation of a System in Routine Clinical Practice-An Update.

作者信息

Pojskić Mirza, Bopp Miriam, Alwakaa Omar, Nimsky Christopher, Saß Benjamin

机构信息

Department of Neurosurgery, University of Marburg, 35043 Marburg, Germany.

Center for Mind, Brain and Behavior (CMBB), 35032 Marburg, Germany.

出版信息

J Clin Med. 2025 Jun 23;14(13):4463. doi: 10.3390/jcm14134463.

Abstract

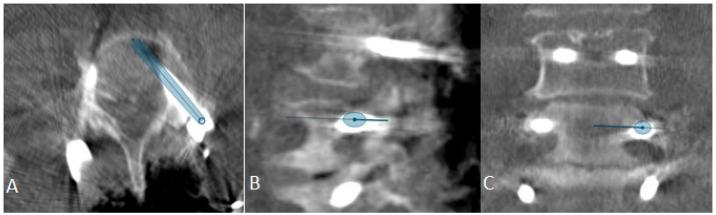
The aim of this study is to present the initiation of robotic-guided (RG) spine surgery into routine clinical care at a single center with the use of intraoperative CT (iCT) automatic registration-based navigation. The workflow included iCT with automatic registration, fusion with preoperative imaging, verification of preplanned screw trajectories, RG introduction of K-wires, and the insertion of pedicle screws (PSs), followed by a control iCT scan. All patients who underwent RG implantation of pedicle screws using the Cirq robotic arm (BrainLab, Munich, Germany) in the thoracolumbar spine at our department were included in the study. The accuracy of the pedicles screws was assessed using the Gertzbein-Robbins scale (GRS). In total, 108 patients (60 female, mean age 68.7 ± 11.4 years) in 109 surgeries underwent RG PS placement. Indications included degenerative spinal disorders ( = 30 patients), spondylodiscitis ( = 24), tumor ( = 33), and fracture ( = 22), with a mean follow-up period of 7.7 ± 9 months. Thirty-seven cases (33.9%) were performed percutaneously, and all others were performed openly. Thirty-three operations were performed on the thoracic spine, forty-four on the lumbar and lumbosacral spine, thirty on the thoracolumbar, one on the cervicothoracic spine, and one on the thoracolumbosacral spine. The screws were inserted using a fluoroscopic (first 12 operations) or navigated technique (latter operations). The mean operation time was 228.8 ± 106 min, and the mean robotic time was 31.5 ± 18.4 min. The mean time per K-wire was 5.35 ± 3.98 min. The operation time was lower in the percutaneous group, while the robot time did not differ between the two groups. Robot time and the time per K-wire improved over time. Out of 688 screws, 592 were GRS A screws (86.1%), 54 B (7.8%), 22 C (3.2%), 12 D (1.7%), and 8 E (1.2%). Seven screws were revised intraoperatively, and after revision, all were GRS A. E screws were either revised or removed. In the case of D screws, screws located at the end of the construct were revised, while so-called in-out-in screws in the middle of the construct were not revised. Brainlab's Cirq Robotic Alignment Module feature enables placement of pedicle screws in the thoracolumbar spine with high accuracy. A learning curve is shown through improvements in robotic time and time per K-wire.

摘要

本研究的目的是介绍在单一中心将机器人引导(RG)脊柱手术引入常规临床护理,采用术中CT(iCT)基于自动配准的导航技术。工作流程包括iCT自动配准、与术前影像融合、预规划螺钉轨迹验证、RG引导下克氏针置入以及椎弓根螺钉(PS)植入,随后进行对照iCT扫描。本研究纳入了在我们科室接受使用Cirq机器人手臂(德国慕尼黑BrainLab公司)在胸腰椎进行RG椎弓根螺钉植入的所有患者。使用Gertzbein-Robbins量表(GRS)评估椎弓根螺钉的准确性。总共109例手术中的108例患者(60例女性,平均年龄68.7±11.4岁)接受了RG PS置入。适应证包括退行性脊柱疾病(n = 30例患者)、脊椎间盘炎(n = 24)、肿瘤(n = 33)和骨折(n = 22),平均随访期为7.7±9个月。37例(33.9%)为经皮手术,其余均为开放手术。胸椎手术33例,腰椎和腰骶椎手术44例,胸腰椎手术30例,颈胸椎手术1例,胸腰段手术1例。螺钉采用透视技术(前12例手术)或导航技术(后序手术)置入。平均手术时间为2(28.8±106)分钟,平均机器人操作时间为31.5±18.4分钟。每根克氏针的平均时间为5.35±3.98分钟。经皮组的手术时间较短,而两组的机器人操作时间无差异。机器人操作时间和每根克氏针的时间随时间有所改善。在688枚螺钉中,592枚为GRS A级螺钉(86.1%),54枚为B级(7.8%),22枚为C级(3.2%),12枚为D级(1.7%),8枚为E级(1.2%)。7枚螺钉在术中进行了翻修,翻修后均为GRS A级。E级螺钉要么进行了翻修,要么被取出。对于D级螺钉,位于结构末端的螺钉进行了翻修,而结构中间的所谓进出式螺钉未进行翻修。Brainlab公司的Cirq机器人对准模块功能能够高精度地在胸腰椎置入椎弓根螺钉。通过机器人操作时间和每根克氏针时间的改善显示出学习曲线。

https://cdn.ncbi.nlm.nih.gov/pmc/blobs/b02d/12250335/7903a2fdd8c7/jcm-14-04463-g001.jpg

文献检索

告别复杂PubMed语法,用中文像聊天一样搜索,搜遍4000万医学文献。AI智能推荐,让科研检索更轻松。

立即免费搜索

文件翻译

保留排版,准确专业,支持PDF/Word/PPT等文件格式,支持 12+语言互译。

免费翻译文档

深度研究

AI帮你快速写综述,25分钟生成高质量综述,智能提取关键信息,辅助科研写作。

立即免费体验