Suppr超能文献

与B细胞淋巴瘤相关的副肿瘤性天疱疮的多学科管理:一例报告

Multidisciplinary Management of Paraneoplastic Pemphigus Associated with B-Cell Lymphoma: A Case Report.

作者信息

Alothman Loulwah, Bin Mubayrik Azizah, Alfurayh Nuha, Aldosary Sara, Alotaibi Hend M, Alajlan Abdulmajeed

机构信息

Oral Medicine and Diagnostic Science Department, College of Dentistry, King Saud University, Riyadh, Saudi Arabia.

Department of Dermatology, Imam Abdulrahman Faisal Hospital, Ministry of Health, Riyadh, Saudi Arabia.

出版信息

Int Med Case Rep J. 2025 Jul 8;18:851-857. doi: 10.2147/IMCRJ.S515068. eCollection 2025.

Abstract

BACKGROUND

Paraneoplastic pemphigus is a rare life-threatening blistering autoimmune mucocutaneous disease associated with various neoplasms. In contrast to the skin, mucosal lesions are refractory and requires considerable healing time, heals far more slowly. A multidisciplinary approach may provide a comprehensive management and a better prognosis.

CASE SUMMARY

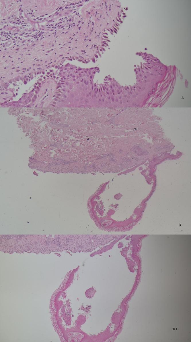
A sixty-one-year-old male patient presented to the ER department in June 2020 complaining of severe inflammation of the left eye along with scaly erythematous skin eruptions affecting the hands, trunk, and feet. Subungual hematoma was also observed. Clinical examination revealed extensive oral ulceration involving the dorsum and ventral surface of the tongue, buccal mucosa, labial mucosa, and hematic crusts were noticed on the lips. The patient was admitted for panophthalmitis secondary to a perforated corneal ulcer. Dermatological investigations were requested in addition to extensive baseline studies to rule out malignancies. The patient had a retroperitoneal lesion and underwent CT guided biopsy. Result was suggestive of low-grade B cell non-Hodgkin's lymphoma. He was treated by the haematology-oncology, dermatology and oral medicine teams.

CONCLUSION

Paraneoplastic pemphigus (PP) is a fatal autoimmune blistering disease associated with underlying malignancy. A multidisciplinary approach to achieve early diagnosis and better management is essential to improve the quality of life of such patients despite their poor prognosis.

CLINICAL SIGNIFICANCE

Paraneoplastic pemphigus is a rare disease associated with mucocutaneous ulcerations and various malignancies, including lymphoproliferative neoplasms. As demonstrated in the current case, multidisciplinary assessment and management have proven to be effective in managing the patient. Physicians and dentists should make their best effort to work collaboratively to manage patients and minimize patient distress and improve life quality and prognosis.

摘要

背景

副肿瘤性天疱疮是一种罕见的、危及生命的水疱性自身免疫性黏膜皮肤疾病,与多种肿瘤相关。与皮肤病变不同,黏膜病变难治且愈合时间长,愈合极为缓慢。多学科方法可能提供全面管理并带来更好的预后。

病例摘要

一名61岁男性患者于2020年6月就诊于急诊科,主诉左眼严重炎症,同时手部、躯干和足部出现鳞屑性红斑皮疹。还观察到甲下血肿。临床检查发现广泛口腔溃疡累及舌背和腹面、颊黏膜、唇黏膜,唇部可见血痂。患者因角膜溃疡穿孔继发全眼球炎入院。除进行广泛的基线检查以排除恶性肿瘤外,还要求进行皮肤科检查。患者有腹膜后病变,接受了CT引导下活检。结果提示为低度B细胞非霍奇金淋巴瘤。他接受了血液肿瘤学、皮肤科和口腔医学团队的治疗。

结论

副肿瘤性天疱疮(PP)是一种与潜在恶性肿瘤相关的致命性自身免疫性水疱病。尽管预后不佳,但采用多学科方法实现早期诊断和更好的管理对于改善此类患者的生活质量至关重要。

临床意义

副肿瘤性天疱疮是一种罕见疾病,与黏膜皮肤溃疡及包括淋巴增殖性肿瘤在内的各种恶性肿瘤相关。如本例所示,多学科评估和管理已被证明对治疗患者有效。医生和牙医应尽最大努力协同工作以管理患者,减少患者痛苦,提高生活质量和预后。

https://cdn.ncbi.nlm.nih.gov/pmc/blobs/22ef/12255323/ae891928b22c/IMCRJ-18-851-g0001.jpg

相似文献

1
Multidisciplinary Management of Paraneoplastic Pemphigus Associated with B-Cell Lymphoma: A Case Report.
Int Med Case Rep J. 2025 Jul 8;18:851-857. doi: 10.2147/IMCRJ.S515068. eCollection 2025.
4
Systemic treatments for metastatic cutaneous melanoma.
Cochrane Database Syst Rev. 2018 Feb 6;2(2):CD011123. doi: 10.1002/14651858.CD011123.pub2.
6
Signs and symptoms to determine if a patient presenting in primary care or hospital outpatient settings has COVID-19.
Cochrane Database Syst Rev. 2022 May 20;5(5):CD013665. doi: 10.1002/14651858.CD013665.pub3.
7
Management of urinary stones by experts in stone disease (ESD 2025).
Arch Ital Urol Androl. 2025 Jun 30;97(2):14085. doi: 10.4081/aiua.2025.14085.
8
Home treatment for mental health problems: a systematic review.
Health Technol Assess. 2001;5(15):1-139. doi: 10.3310/hta5150.

本文引用的文献

1
Paraneoplastic pemphigus: Revised diagnostic criteria based on literature analysis.
J Cutan Pathol. 2021 Sep;48(9):1133-1138. doi: 10.1111/cup.14004. Epub 2021 Apr 17.
2
Pathophysiology of paraneoplastic and autoimmune encephalitis: genes, infections, and checkpoint inhibitors.
Ther Adv Neurol Disord. 2020 Jun 24;13:1756286420932797. doi: 10.1177/1756286420932797. eCollection 2020.
3
Paraneoplastic autoimmune multiorgan syndrome (PAMS): Beyond the single phenotype of paraneoplastic pemphigus.
Autoimmun Rev. 2018 Oct;17(10):1002-1010. doi: 10.1016/j.autrev.2018.04.008. Epub 2018 Aug 11.
4
Paraneoplastic Pemphigus: Insight into the Autoimmune Pathogenesis, Clinical Features and Therapy.
Int J Mol Sci. 2017 Nov 26;18(12):2532. doi: 10.3390/ijms18122532.
6
Melanosis of the lower lip subverted by filler injection: a simulator of early mucosal melanoma.
Australas J Dermatol. 2017 Feb;58(1):71-72. doi: 10.1111/ajd.12475.
7
Adalimumab-Induced Pityriasis Lichenoides Chronica That Responded Well to Methotrexate in a Patient With Psoriasis.
Actas Dermosifiliogr. 2016 Mar;107(2):167-9. doi: 10.1016/j.ad.2015.07.011. Epub 2015 Oct 29.
8
Paraneoplastic Pemphigus: Autoimmune-Cancer Nexus in the Skin.
Anticancer Agents Med Chem. 2015;15(10):1215-23. doi: 10.2174/1871520615666150716105425.
10
Autoimmune blistering dermatoses as systemic diseases.
Clin Dermatol. 2014 May-Jun;32(3):364-75. doi: 10.1016/j.clindermatol.2013.11.003. Epub 2013 Nov 22.

文献AI研究员

20分钟写一篇综述,助力文献阅读效率提升50倍。

立即体验

用中文搜PubMed

大模型驱动的PubMed中文搜索引擎

马上搜索

文档翻译

学术文献翻译模型,支持多种主流文档格式。

立即体验